아카이브 요약
이 페이지의 역할
명동콤비치과의원의 네이버 블로그 원문을 보존한 아카이브 페이지입니다. 치아스토리♡ 카테고리의 클리피씨교정 올바르게 판단하려면 글을 통해 병원의 한국어 정보 제공 방식과 진료 관련 안내 톤을 확인할 수 있습니다.
원문 검증
필요하면 원문 블로그와 병원 프로필로 바로 이동해 문맥을 다시 확인할 수 있습니다.
출처 아카이브 열기아카이브된 블로그 글
명동콤비치과의원 · Naver Blog
교정을 하려는 이유는 심미적인 부분부터 저작 기능, 얼굴형 등과 관련이 높은데 보다 구체적으로 예를 들자면 돌출입이나 주걱턱을 개선하고 싶다거나 덧니가 심한 경우, 발음이 새는 경우, 부정교합으로 인한 치아 관리의 어려움, 벌어진 앞니 등 개인에 따라서 정말 다양한 케이스가 있는데요. 치아교정의 목적은 종합...
게시일
2021년 11월 21일
원문 기준으로 확인된 발행일입니다.
카테고리
치아스토리♡
원문 블로그 카테고리를 정리해 함께 표시합니다.
이미지 수
16
현재 아카이브에 연결된 이미지 수입니다.
아카이브 요약
명동콤비치과의원의 네이버 블로그 원문을 보존한 아카이브 페이지입니다. 치아스토리♡ 카테고리의 클리피씨교정 올바르게 판단하려면 글을 통해 병원의 한국어 정보 제공 방식과 진료 관련 안내 톤을 확인할 수 있습니다.
원문 검증
필요하면 원문 블로그와 병원 프로필로 바로 이동해 문맥을 다시 확인할 수 있습니다.
출처 아카이브 열기교정을 하려는 이유는 심미적인 부분부터 저작 기능, 얼굴형 등과
관련이 높은데 보다 구체적으로 예를 들자면 돌출입이나
주걱턱을 개선하고 싶다거나 덧니가 심한 경우, 발음이 새는 경우,
부정교합으로 인한 치아 관리의 어려움, 벌어진 앞니 등
개인에 따라서 정말 다양한 케이스가 있는데요.
치아교정의 목적은 종합적으로 말씀드리자면 가지런한 치열과
올바른 교합 그리고 자신의 얼굴과 자연스럽게
어울리고 치아의 건강 등의 치료 계획을 철저하게
세우는 것이 중요하다고 할 수 있어요.
그래서 치아교정을 처음 고민하고 계획하실 때 정밀검진을
먼저 받는 것이 매우 중요한 첫 순서이며 자신의 구강 상태 및
골격 등에 적합한 치료 계획과 자신에게 맞는
교정 장치를 선택하실 필요가 있는데요.



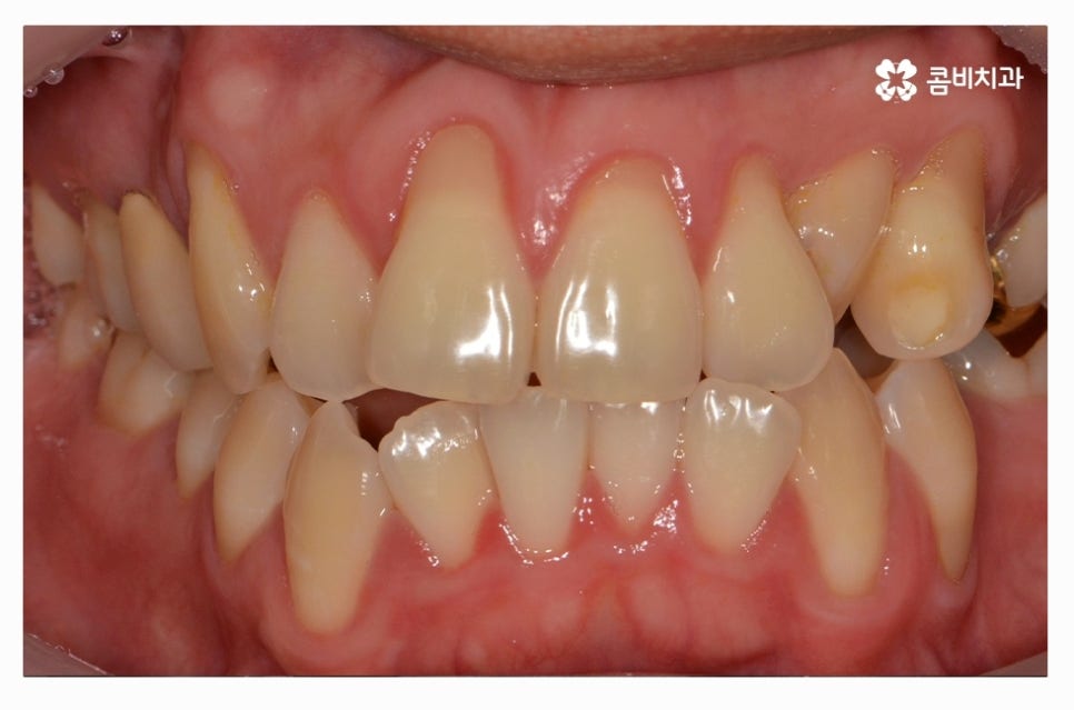
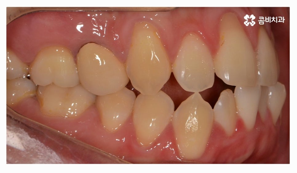
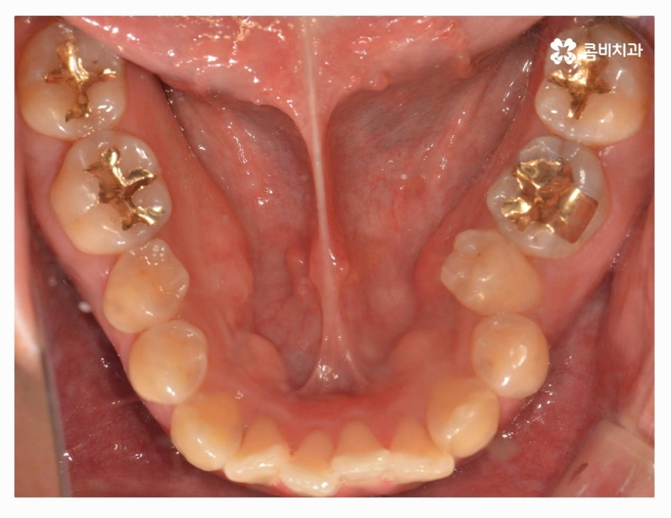
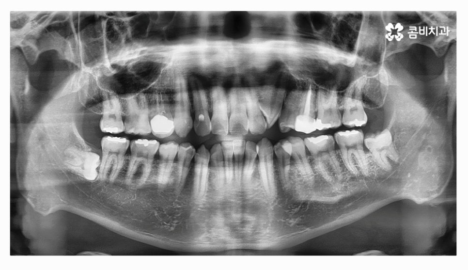
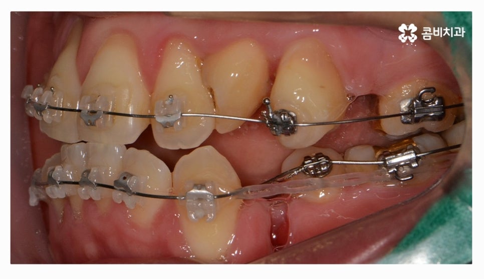
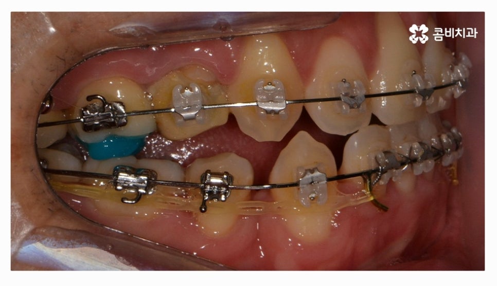
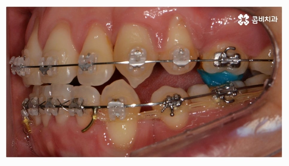
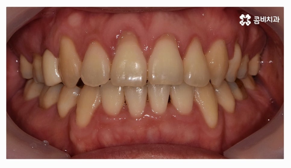
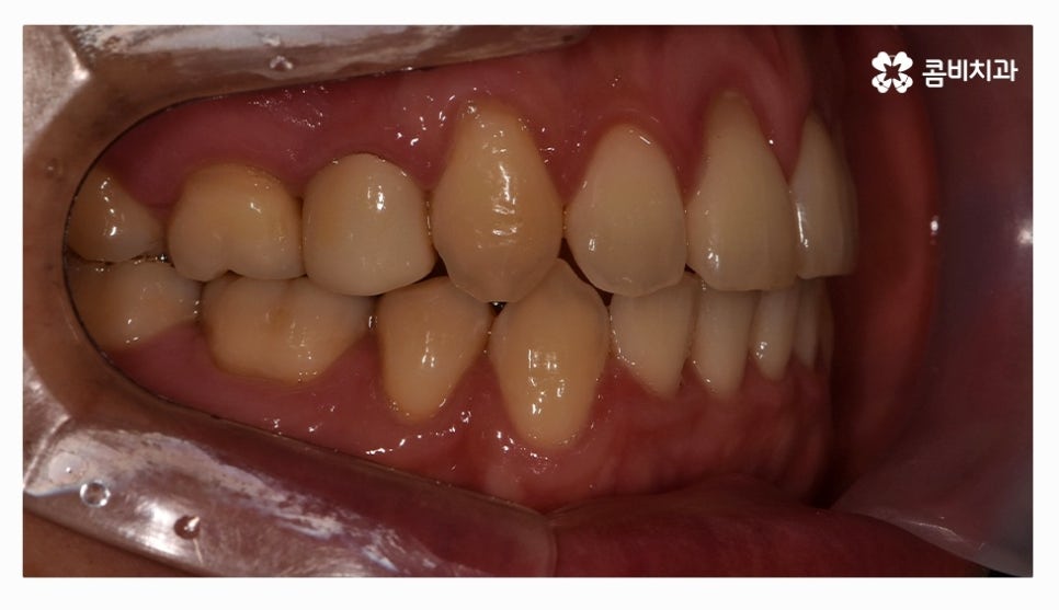
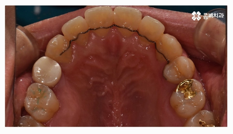
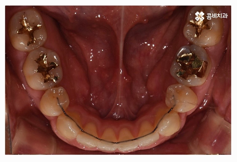
오늘 소개드릴 환자분은 윗니와 아랫니가 제대로 맞물리지 않는
부정교합 사례이며 클리피씨교정을 통해서 치료가 진행된 사례라고 할 수 있어요.
부정교합은 심미적인 부분 외에도 기능적인 부분에 있어서
불편함을 느낄 수밖에 없고 청결관리가 어려워서 나이가 들수록
각종 구강질환이 발생할 확률이 높아질 수 있어요.
또한 교합이 제대로 맞물리지 않기 때문에 음식물을 제대로
씹지 않고 삼키다 보면 장기적으로 위장에 부담을 주며
소화불량과 함께 턱관절 장애를 경험하시는 분들이 많을 거예요.
그렇기 때문에 부정교합은 치아 건강뿐 아니라 전신 건강에도
영향을 주며 미리 예방하거나 빠른 치료를 하는 것이 중요하다고 할 수 있어요



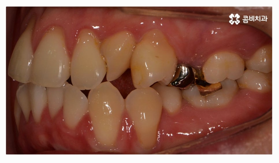
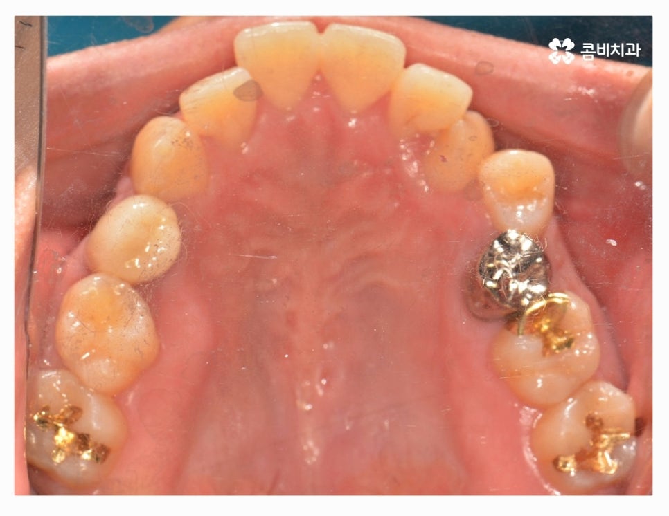
부정교합 환자분들의 경우 발치나 수술이 필요한 경우가 있는데
치아교정을 진행할 때 치아의 이동 공간을 고려해야 하므로
치간 삭제나 어금니 후방 이동으로도 치아 이동 공간이 부족하다면
발치를 필수적으로 해야 하는 경우가 있어요.
간혹 부정교합이지만 앞니 만이라도 가지런해지길 원하시는 분들도
계신데 교합과 얼굴과의 조화를 필수적으로 함께 생각해야 하며
치아교정은 좋은 결과를 얻고 평생 잘 유지해야 하기 때문에
부정교합이신 분들의 경우 전체교정을 해야 하는 경우가 일반적이라고 할 수 있어요.
전체교정을 하시는 분들의 경우 보편적으로 많이 선택하시는
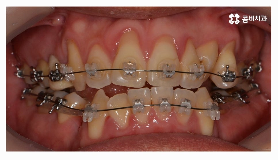
교정 장치는 클리피씨교정이라고 할 수 있을 정도로 선호도가 높으며
클리피씨교정은 자가 결찰 장치로 통증 감소 및 교정 기간을
단축시킬 수 있으며 관리가 편리하다는 장점도 갖고 있어요



클리피씨교정은 세라믹 재질이기 때문에 심미적으로도 우수한 편이며
브라켓과 와이어 고정을 위한 철사를 사용하지 않기 때문에 철사로 인해 찔리거나
입안이 뜯겨 피가 나는 경우를 예방할 수 있는데요.
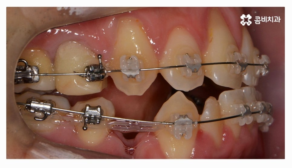
클리피씨교정은 철사를 쓰지 않고 특수 클립이 내장되어
클립을 이용하여 와이어를 고정하고 열고 닫을 수 있기 때문에
교정 장치로 인한 불편함이 줄어들 수 있으며 철사를 사용하지
않는 것만으로도 보다 편안함을 느낄 수 있지만 치아를 적은 힘으로
지속적으로 이동시켜서 상대적으로 통증이 적고 치과 내원 횟수도 줄일 수 있어요.



치아교정은 성장기에 하는 것이 좋다고 알려져 있는데 성장기에 치료를
받는 것은 부정교합의 예방과 초기 치료에 분명한 이점이 있으며
치아교정의 속도가 성인에 비해서 빠르고 결과가 좋다는 장점이 있는데요.
나이가 들면서 치아가 벌어지거나 부정교합으로 인한 불편함,
치열에 대한 심미적인 고민은 성인 이후에도 마찬가지이기 때문에
성인 이후에도 교정치료를 시작하는 분들은 나날이 늘고 있어요.




클리피씨교정이 대중적으로 많이 활용되고 있는 교정 장치인 것은 사실이지만
치열 상태에 따라서 적합한 장치는 달라질 수 있으며
개인의 취향이나 직업 등에 따라서 보다 심미적인 장치를 원하신다면
콤비교정이나 설측교정 등 교정 장치 선택의 폭도 넓어졌기 때문에
내 상황에 맞는 우선순위를 정하시되 정밀검진과 의사와의
상담을 통해서 보다 정확하고 꼼꼼하게 따져보신 후에 결정하실 필요가 있어요.
교정 치료는 장기적으로 봐야 하며 사후 관리까지 생각한다면
꾸준히 신뢰할 수 있는 치과 선택이 중요하니
교정 계획을 여유 있게 세우고 철저하게 준비하는 것이 중요하다고 할 수 있어요.
본 글은 콤비치과의 의료광고 포스팅이며
위 환자는 총 치료기간 약 30개월이 소요되었으며
개인에 따라 치료 기간 및 결과가 차이가 있을 수 있고,
개인에 따라 출혈 및 부작용이 발생할 수 있습니다.