아카이브 요약
이 페이지의 역할
명동콤비치과의원의 네이버 블로그 원문을 보존한 아카이브 페이지입니다. 치아스토리♡ 카테고리의 임플란트 기간 케이스에 따라 달라진다면 글을 통해 병원의 한국어 정보 제공 방식과 진료 관련 안내 톤을 확인할 수 있습니다.
원문 검증
필요하면 원문 블로그와 병원 프로필로 바로 이동해 문맥을 다시 확인할 수 있습니다.
출처 아카이브 열기아카이브된 블로그 글
명동콤비치과의원 · Naver Blog
치아를 잃게 될 경우 현대인들이 선택할 수 있는 선택지는 임플란트와 브릿지, 틀니가 있는데 그 중에서 임플란트가 단연 기능이나 심미적으로도 우수하고 장점이 많기 때문에 요즘은 치아를 잃고 임플란트 치료를 하는 것이 마치 당연한 수순처럼 받아들여지고 있어요 치아를 잃고 그대로 방치하게 되면 시간이 지날수록 잇몸...
게시일
2021년 11월 30일
원문 기준으로 확인된 발행일입니다.
카테고리
치아스토리♡
원문 블로그 카테고리를 정리해 함께 표시합니다.
이미지 수
7
현재 아카이브에 연결된 이미지 수입니다.
아카이브 요약
명동콤비치과의원의 네이버 블로그 원문을 보존한 아카이브 페이지입니다. 치아스토리♡ 카테고리의 임플란트 기간 케이스에 따라 달라진다면 글을 통해 병원의 한국어 정보 제공 방식과 진료 관련 안내 톤을 확인할 수 있습니다.
원문 검증
필요하면 원문 블로그와 병원 프로필로 바로 이동해 문맥을 다시 확인할 수 있습니다.
출처 아카이브 열기치아를 잃게 될 경우 현대인들이 선택할 수 있는 선택지는
임플란트와 브릿지, 틀니가 있는데 그 중에서 임플란트가
단연 기능이나 심미적으로도 우수하고 장점이 많기 때문에
요즘은 치아를 잃고 임플란트 치료를 하는 것이
마치 당연한 수순처럼 받아들여지고 있어요
치아를 잃고 그대로 방치하게 되면 시간이 지날수록 잇몸 뼈가
흡수되기 때문에 곧바로 임플란트 치료를 하는 것이 좋으며
임플란트는 자연치아 기능의 대부분을 대체할 정도로
심미적이며 저작 기능에 있어서도 우수하다고 할 수 있는데요.
갑자기 치아를 상실하신 분들의 경우 비용부터 치료 방법,
임플란트 기간에 대해서도 궁금하신 점들이 많을 거예요.

임플란트 시술의 전체 과정을 간단히 정리하면 처음에는 구강상태를
정밀 검진받고 시술 과정에 대한 상담을 받게 되실 거예요.
구강 상태에 따라서 임플란트 치료 계획이 달라지며 환자의
구강 상태뿐 아니라 전신 건강, 회복력 등을 함께 고려하여
치료 계획을 세우며 잇몸 뼈가 부족한 경우에는
뼈이식 과정이나 상악동 거상술을 추가적으로 받게 되실 수도 있어요
임플란트 시술 과정은 치아를 발치한 후에
잇몸이 아물기를 기다리는 기간을 거치며
필요한 경우에는 뼈이식을 시행하게 될 수 있어요.
1차 수술에는 치아의 뿌리에 해당하는 인공 치근을 식립하게
되고 2차 수술에는 치조골 속에 매식체가 단단하게 고정된 후
식립한 픽스처에 인공 치근과 보철물을 연결해 주는
지대주를 부착한 후에 수술 부위가 아물면 3차 수술에 보철물을
제작하여 연결하면서 전체적인 과정이 진행된다고 볼 수 있는데요.


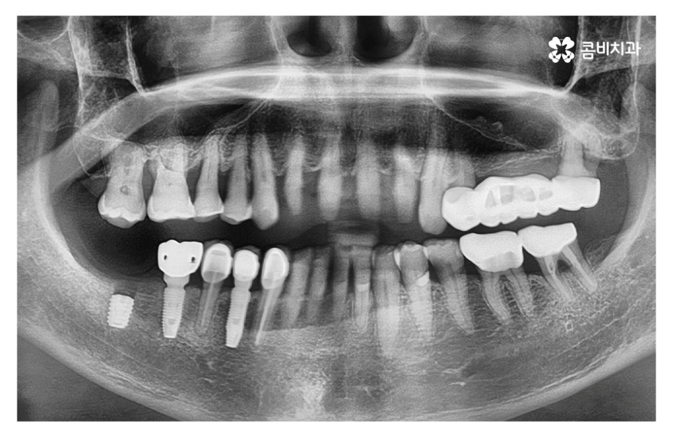
위 케이스의 경우 영구치가 손실된 상태에서 시간이
어느 정도 경과된 후 임플란트 수술을 진행하였으며,
영구치가 손실되고 어느 정도 뼈가 차있고, 현 상태에서
식립이 가능했기 때문에 뼈이식 없이 임플란트를 식립하였고
이때 골 유착 과정을 거치면서 임플란트가 단단하게 고정되고
치료가 마무리되면 자연치아에 버금가는 저작력을 갖추게 될 수 있어요.
위에서 설명드린 임플란트 진행과정이 일반적인 과정이며
임플란트 기간의 경우 환자분들에 따라 다르겠지만
하악을 기준으로 약 3~4개월 정도 걸리며 상악은 하악에
비해 1~2개월가량 기간이 더 걸릴 수 있어요.
뼈이식이 추가되는 경우에는 임플란트 기간이 약 2~6개월가량이
추가적으로 걸릴 수 있으며 잇몸 상태와 회복력 등에 따라서
뼈이식이 동반되는 기간은 개인차가 있을 수 있어요.


위 사진의 경우 인공치근이 골 유착 과정을 거친 후에 2차 수술 과정을
통해 임시고정 나사를 연결하여 잇몸 밖으로 노출시킨 과정이며
이 과정에서 원형의 임시고정 나사가 관찰이 되고 2차 수술 후에는
이곳을 청결하게 관리를 해주어야 잇몸이 잘 아물게 되실 수 있어요.


3차 수술에 보철물을 장착하여 임플란트 시술이 마무리되며
치료가 마무리된 후에는 약 1년 정도는 충분히 안정기를
거치면서 임플란트 부작용에 주의하도록 청결관리와
평소 생활 습관에 있어서도 각별한 주의가 필요할 수 있어요.
임플란트는 이처럼 치료 단계도 여러 단계에 거쳐서 치료가
이뤄지며 시술 후에도 수명을 잘 유지해야 하기 때문에
장기적인 관점으로 바라보고 치료에 임하실 필요가 있는데요.
흔히 알려진 원데이임플란트의 경우 임플란트 기간이
하루 만에 모든 과정이 끝나는 것이 아니라 치아를 발치하고
잇몸이 아무는 기간을 거치지 않고 당일 발치와
인공치근의 식립, 임시치아의 부착까지 이뤄지는 과정을
흔히 발치 즉시 임플란트, 원데이 임플란트 등으로 불리고 있어요.
이러한 방식으로 잇몸이 아무는 기간을 줄이면 임플란트 기간
역시도 단축이 되며 특히 앞니를 잃게 되신 분들의 경우
심미적인 회복을 빠르게 기대할 수 있기 때문에 장점이 있는데요.
다만 모든 환자분들이 원데이 임플란트 치료를 받을 수는 없고,
임플란트의 치료 방법과 계획은 개인의 구강 및 전신 건강 등에
따라 다르기 때문에 치과에서 정확한 검진과 의사와의 상담을
통해서 정확하게 알아보시고 잘 따져보신 후에 결정하실 필요가 있어요.
본 글은 콤비치과의 의료광고 포스팅이며
개인에 따라 출혈 및 부작용이 발생할 수 있습니다.