명동콤비치과의원 (명동)
충치 레진 인레이 합리적으로 결정하려면
치아를 잃게 되는 주된 원인을 살펴보면 젊을수록 충치나 사고로 인한 경우가 많고 나이가 들수록 풍치로 인한 경우가 크게 늘어나기 때문에 이러한 구강질환을 잘 예방하는 것이 자연치아를 보존하는 방법이라고 할 수 있는데요. 오늘은 그중에서도 성인 이후에 자주 겪을 수 있는 충치에 대한 이야기를 해볼까 하며 놓치기...
아카이브 요약
이 페이지의 역할
명동콤비치과의원 (명동)의 네이버 블로그 원문을 보존한 아카이브 페이지입니다. 치아스토리♡ 카테고리의 충치 레진 인레이 합리적으로 결정하려면 글을 통해 병원의 한국어 정보 제공 방식과 진료 관련 안내 톤을 확인할 수 있습니다.
치아를 잃게 되는 주된 원인을 살펴보면 젊을수록 충치나
사고로 인한 경우가 많고 나이가 들수록 풍치로 인한 경우가
크게 늘어나기 때문에 이러한 구강질환을 잘 예방하는 것이
자연치아를 보존하는 방법이라고 할 수 있는데요.
오늘은 그중에서도 성인 이후에 자주 겪을 수 있는
충치에 대한 이야기를 해볼까 하며 놓치기 쉬운 충치
발생 사례에 대해서도 이야기해 볼 거예요.
충치는 초기 치료가 중요하게 여겨지는데 치아 경조직에
손상이 발생하면 충치가 발생된 부위를 깎아내고
해당 부위를 치과용 재료로 충전해서 기능을 회복하는 치료가
진행되며 초기에는 레진으로 간단하게 치료할 수 있어요.


충치의 대표적인 증상은 시림, 통증, 구취가 대표적이지만
충치 초기에는 별다른 증상이 없이 까만 점으로 나타나는 경우가 많으며
치아 사이 혹은 내부의 경우에는 눈으로 확인도 어려울뿐더러
증상으로 충치를 느끼는 시점에서는 이미 충치가 상당히 진행된 경우가
많기 때문에 주기적인 검진을 통해서 초기 발견과 치료를 하는 것이 중요하다고 볼 수 있어요.
충치는 진행이 되기 시작하면 자연치료가 되지 않기 때문에 조금이라도 불편한 증상이
느껴진다면 치과에 가보는 것이 좋으며 환자분들에 따라서는
통증에 대한 예민함은 다를 수 있기 때문에 통증과 증상의 심각성이
항상 비례하는 것은 아니므로 정기적인 검진을 통해 객관적인
판단을 하는 것이 자연치아를 지키는데 중요할 수 있어요.


초기 충치의 경우 레진으로 간단하게 치료가 가능하지만
충치가 치아 내부로 깊어진다면 치아의 손상이 그만큼 커지기 때문에
레진으로 치료가 어려울 정도로 범위가 커진 경우에는 인레이 치료를
주로 하게 되며 인레이 치료는 세라믹, 골드 등으로 택할 수 있어요.
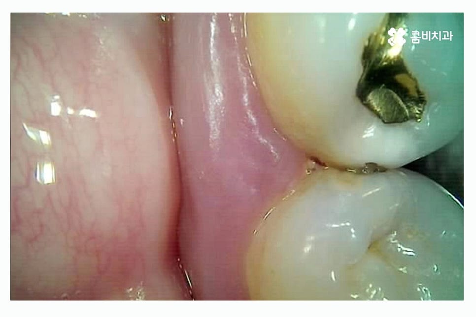
성인 이후에는 충치의 발생률이 통계적으로 줄어들기는 하지만
치아 사이 충치가 발생되는 사례가 많고
이미 과거에 충치 치료를 했던 레진, 인레이 안에 2차 충치가
발생되는 경우도 있기 때문에 이러한 사례의 경우
치과를 주기적으로 방문하지 않는다면 놓치기 쉬울 수 있는데요.



과거에 치료를 했던 레진, 인레이 혹은 아말감과 같은 치과용 치료 재료가
오랜 세월이 지나면서 마모, 접착 불량, 크랙 등의 이유로 교체가 필요한 시기에
치료가 안될 경우 치아 내부로 침이나 음식물이 유입이 되면서
충치가 발생하는 사례가 종종 있어요.
이때 교체 시기를 잘 지키는 것이 중요한데 환자분들의 구강 상태는
개인차가 있기 때문에 정기 검진을 받는 것이 치아에 문제가
생기더라도 초기에 빠른 치료를 할 수 있는 방법이라고 할 수 있어요.
충치 치료를 할 때 기본적으로는 좋은 재료를 선택하고 의사의 숙련도에
따라서 보철물의 내구성에 차이가 발생하기도 하지만
사후관리와 청결 관리 습관 등도 매우 중요하기 때문에
충치 레진, 인레이 치료 후에 유지 관리 역시도 중요한 부분이 될 수 있어요.


인접면 충치가 발생하는 원인으로는 칫솔질을 보다 꼼꼼하게 해야
하는 부분도 있겠지만 평소 치실을 함께 사용하는 것이
치아 사이에 이물질이 낀 채로 방치되는 것을 줄일 수 있으며
평소 식습관도 영향이 있을 수 있어요.
또한 청결관리를 잘하고 좋은 식습관을 유지하더라도
대부분의 사람들은 치석이 조금씩 쌓이기 때문에 주기적으로
치과 스케일링을 받는 것이 각종 구강질환을 예방할 수 있는데요
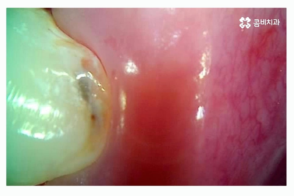
인접면 충치는 초기 발견이 어렵고 치아끼리 맞닿아 있기 때문에
노출이 잘되지 않아서 눈으로도 보기 어렵고
엑스레이를 통해서도 초기에는 확인이 어려운 경우가 많기 때문에
예방을 하는 것이 중요하며 인접면 충치가 발생하면
신경(치수)과도 가깝기 때문에 충치가 조금만 깊어져도
신경치료를 해야 할 가능성이 높아 치아의 수명이 줄어드는 결과를 초래할 수 있어요.


충치는 예방이 최우선이지만 이미 발생했다면 레진으로 때우면
비용도 저렴하고 당일 치료도 가능하기 때문에
초기 치료를 하는 것이 중요하겠고 충치가 깊어졌다면
레진으로는 교합력이 강한 치아나 깊고 넓은 범위를 치료하는 것이 제한될 수 있기 때문에
손상된 부위를 본 떠서 인레이를 통해 치료가 필요할 수 있어요.
레진의 경우 재료가 수축는 성질이 있어 범위가 넓을 경우
미세하게 틈이 벌어지는 경우도 있기 때문에
큰 충치의 경우 인레이 혹은 크라운을 통해서
치아를 덮어 씌우게 되는데 별다른 불편함 없더라도
자연치아를 오랫동안 건강하게 유지하기 위해서는
불편한 증상이 있을 때 치과에 가는 것이 아닌 매년 주기적으로
스케일링과 검진을 실천하는 것이 필수라고 할 수 있어요.
본 글은 콤비치과의 의료광고 포스팅이며
개인에 따라 출혈 및 부작용이 발생할 수 있습니다.
더 보기
이 병원의 공개 콘텐츠를 계속 살펴보세요
출처 아카이브로 돌아가 더 많은 글을 보거나, 병원 프로필로 이동해 다른 공개 채널도 함께 비교해보세요.