명동콤비치과의원 (명동)
덧니교정 정확하게 알아보려면
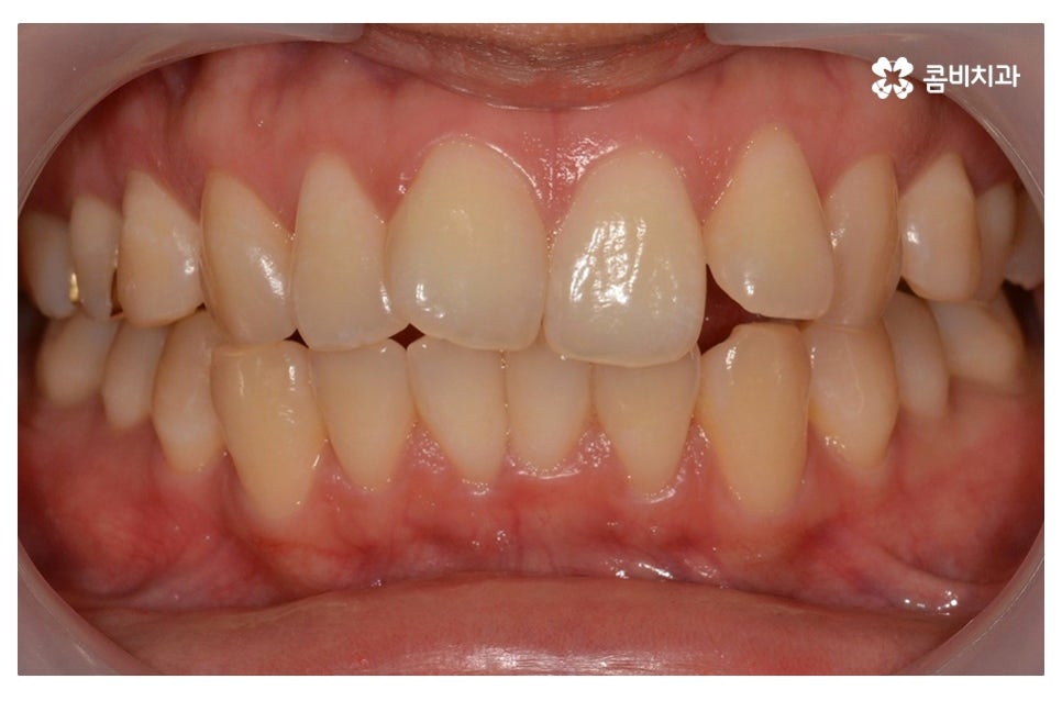
덧니는 심미적인 이유로 교정을 원하시는 분들도 많지만 치아 사이에 음식물이 끼기 쉽고 구강관리를 잘하더라도 치석이 쌓이기 쉽기 때문에 나이가 들수록 덧니로 인해 충치 및 치주질환이 발생하기 쉬울 수 있어요. 덧니가 심해서 부정교합이 있는 경우에는 식사를 할 때마다 불편함을 느낄 수 있고 장기적으로는 턱관절 장애...
아카이브 요약
이 페이지의 역할
명동콤비치과의원 (명동)의 네이버 블로그 원문을 보존한 아카이브 페이지입니다. 치아스토리♡ 카테고리의 덧니교정 정확하게 알아보려면 글을 통해 병원의 한국어 정보 제공 방식과 진료 관련 안내 톤을 확인할 수 있습니다.
덧니는 심미적인 이유로 교정을 원하시는 분들도 많지만
치아 사이에 음식물이 끼기 쉽고 구강관리를 잘하더라도
치석이 쌓이기 쉽기 때문에 나이가 들수록 덧니로 인해
충치 및 치주질환이 발생하기 쉬울 수 있어요.
덧니가 심해서 부정교합이 있는 경우에는 식사를 할 때마다
불편함을 느낄 수 있고 장기적으로는 턱관절 장애나
소화불량으로 이어져서 전신 건강에 악영향을 주는 경우도 있는데요.
덧니는 얼굴 비대칭이나 돌출입 등과 같이 얼굴형에도 영향을
줄 수 있으므로 덧니교정은 종합적인 관점에서 바라보고
치료 계획을 세울 필요가 있어요


덧니교정은 개인에 따라서 치료 계획이 달라질 수 있는데
덧니의 정도가 사람마다 다르고 구강 구조, 얼굴형, 교합 등을
종합적으로 파악하여 치료 계획을 세울 필요가 있어요.
치료 방법부터 구체적인 치료 계획은 정밀 검진을 통해서
의사와 상의해야 하며 발치의 필요성이나 수술 여부에 대해서도
정밀 검진을 통해서 내게 맞는 치료 계획을 의사와 상의해야 할 거예요.



덧니교정을 고민하시는 분들께서 발치에 대한 고민을 하는 경우가
많은데 발치의 필요 여부는 개인에 따라 다르기 때문에
무조건 비발치로 진행하는 것이 좋다고 할 수는 없으며
개인에게 적합한 치료 계획을 1:1 맞춤 설계로 세울 필요가 있어요.
덧니로 인해 고민하는 분들 중에서 돌출입을 개선하고자
하는 분들도 많고 부정교합이 있는 분들도 많기 때문에
치아의 이동 공간과 치아 이동으로 인한 얼굴 변화, 교합 등에
대해서 면밀한 파악이 중요하다고 할 수 있는데요.

3D CT와 같은 첨단 장비를 활용하면 치아와 골격, 얼굴형을 종합적으로
판단할 수 있고 치료 후 결과에 대해서도 시뮬레이션이 가능하기 때문에
나에게 적합한 덧니 교정에 대한 이해도를 높이실 수 있어요.
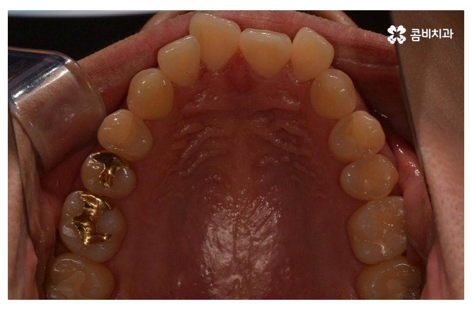
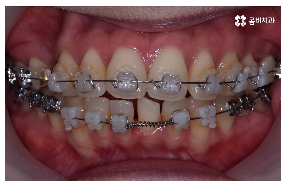
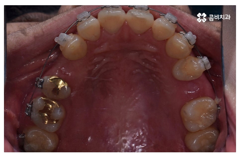
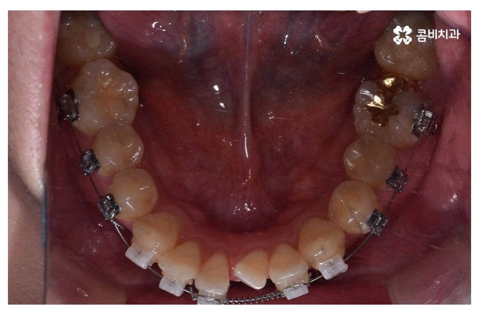
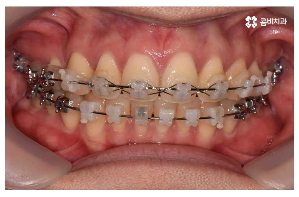
이번 포스팅에서 보인 덧니교정 사례의 경우 기능이 적은 작은 어금니를
발치하여 교정이 진행되었으며 발치를 진행하는 경우
작은 어금니를 발치하는데 충치 등으로 인해 손상이 큰 치아를
발치하는 경우가 일반적이라고 할 수 있어요.
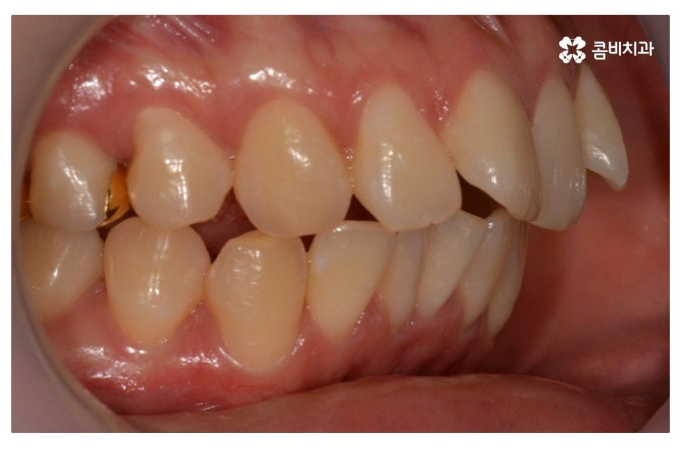
물론 구강 내 치아의 이동 공간이 충분한 경우에는 비발치로도
덧니교정이 진행되는 경우도 있으며 덧니가 심하지 않은 경우에는
부분교정으로 치료가 진행되는 사례도 있어요.




덧니교정은 일반적으로 초등학생 5~6학년 정도부터 구강검진을
통해서 치아교정 계획을 세우는 것이 유리한 편이지만
성인이 된 이후에도 치료가 가능하며 충분히 덧니를 개선할 수 있는데요.
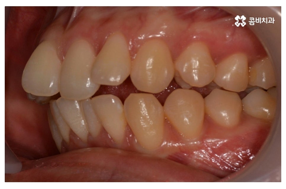
요즘은 교정 장치의 선택에 있어서 다양한 선택이 가능하지만
보편적으로는 본 포스팅의 사례처럼 클리피씨 교정이 많이 선호되고 있어요.
클리피씨 교정은 일반적인 교정보다 치료 기간을 단축시킬 수 있고
통증이 비교적 적으며 세라믹 재질로 심미적이라는 장점이 있어요.



위 환자분의 경우 덧니교정에 걸린 치료 기간은 약 24개월 정도이며
성인 이후에 치료를 진행한 사례라고 볼 수 있어요.
- 개인마다 치료 기간 및 결과가 다를 수 있으므로 정확한 상담이 중요할 수 있어요 -
치아교정은 교정 결과가 우선적으로 중요하겠지만
장치를 풀어낸 이후에는 결과가 잘 유지되도록 꾸준히 잘 관리를
해야 하고 주기적으로 치과를 찾아야 하기 때문에
장기적인 관점으로 믿고 찾을 치과 선택과
담당 의사와의 소통이 중요한 치료라고 할 수 있어요.



덧니로 인해 외모 콤플렉스를 갖고 있거나 부정교합으로 인해
청결관리가 어렵게 느끼신다면 성인 이후에도
덧니교정을 통해서 개선하는 것이 좋으며 교정 장치는
나날이 다양해지고 있고 의술도 발전하고 있는 만큼
자신의 상황에 맞게 장단점을 잘 따져보시고
효율적인 교정 계획을 세우는 것이 바람직할 수 있어요.
본 글은 콤비치과의 의료광고 포스팅이며
개인에 따라 치료 기간 및 결과가 다를 수 있으며
출혈 및 부작용이 발생할 수 있습니다
더 보기
이 병원의 공개 콘텐츠를 계속 살펴보세요
출처 아카이브로 돌아가 더 많은 글을 보거나, 병원 프로필로 이동해 다른 공개 채널도 함께 비교해보세요.