명동콤비치과의원 (명동)
20대임플란트 갈수록 늘어나는 이유는
치아가 흔들리거나 빠지는 일은 노년층에게 있는 일이라고 생각하기 쉽지만 요즘 20대임플란트 환자분들이 나날이 늘고 있는데요. 20,30대에 치아를 잃는다면 대부분 사고로 인한 경우라고 생각되실 수 있겠지만 사고가 아닌 충치로 인한 경우도 크게 늘고 있어요. 젊은 환자분들의 경우 치아를 잃게 되었을 때 그 원...
아카이브 요약
이 페이지의 역할
명동콤비치과의원 (명동)의 네이버 블로그 원문을 보존한 아카이브 페이지입니다. 치아스토리♡ 카테고리의 20대임플란트 갈수록 늘어나는 이유는 글을 통해 병원의 한국어 정보 제공 방식과 진료 관련 안내 톤을 확인할 수 있습니다.
치아가 흔들리거나 빠지는 일은 노년층에게 있는 일이라고
생각하기 쉽지만 요즘 20대임플란트 환자분들이 나날이 늘고 있는데요.
20,30대에 치아를 잃는다면 대부분 사고로 인한 경우라고
생각되실 수 있겠지만 사고가 아닌 충치로 인한 경우도 크게 늘고 있어요.
젊은 환자분들의 경우 치아를 잃게 되었을 때 그 원인을
정확하게 분석하여 재발을 방지하는 것이 중요한데
치과를 치통을 느껴야만 가는 분들의 경우 더욱 주의할 필요가 있어요.
충치는 초기에 치료하고 예방하는 것이 무엇보다 중요한데
치아는 한 번 손상이 되면 자연적인 치유와 재생이 되지 않기 때문이며
초기에는 별다른 증상을 느끼지 못하기 때문에 치통을 느껴서
치과에 가는 경우에 이미 치아의 손상이 커진 상황일 수 있어요.

치아가 손상될 수 있는 안 좋은 습관을 갖고 있으면 나이가 들수록
여러 치아의 손상으로 이어질 수 있기 때문에
20대임플란트 치료 후에는 재발 방지에 힘써야 할 거예요.
일반적으로는 성인 이후에 식습관 및 청결관리 습관이 개선되면서
충치 발생률이 줄어드는 경우가 많은데
당장 충치가 없고 치아에 별다른 문제가 없더라도
건강한 치아 관리를 위해서는 주기적인 검진이 필수라고 할 수 있어요.
왜냐하면 성인 이후에 충치 발생률 자체는 줄어들지만
가끔이라도 치아의 손상이 커지면 신경치료를 하게 되거나
치아를 잃게 되고 20대임플란트 치료로 이어질 수 있는데요.


충치로 인해 치아를 잃게 되는 대표적인 사례라면
이미 과거에 치료를 했거나 치아 사이처럼 눈에 잘 띄지 않는 부위에
충치가 심해져서 치수 혹은 치아의 뿌리까지 손상이 심해진 경우라고 할 수 있어요.
충치는 누구나 발생할 수 있고 과거에 레진이나 인레이 등의 치료를
했던 분들이라면 시간이 지날수록 주변 치아 혹은 치료에 쓰인 재료가
손상, 마모 등을 거치게 되는데 치아 속에 2차 충치가 발생하는 경우에는
그로 인한 치아 손상이 심각한 상황으로 커지는 경우가 많다고 할 수 있어요.




그렇기 때문에 이미 충치치료를 했던 부위라고 해서 안심해서는 안 되며
주기적으로 치과 검진을 실천해야 하겠고
특히 매년 스케일링을 통해 치석 제거를 해주실 필요가 있어요.
치석은 칫솔질을 잘해도 누구나 발생하며 치아와 잇몸 사이에 점점 쌓이게
되는데 치석은 충치, 잇몸질환, 구취 등 각종 구강질환의
대표적인 원인이 되고 있으며 칫솔질로는 제거가 안되기 때문에
꼭 매년 최소 1회는 스케일링을 받아야 할 수 있어요.


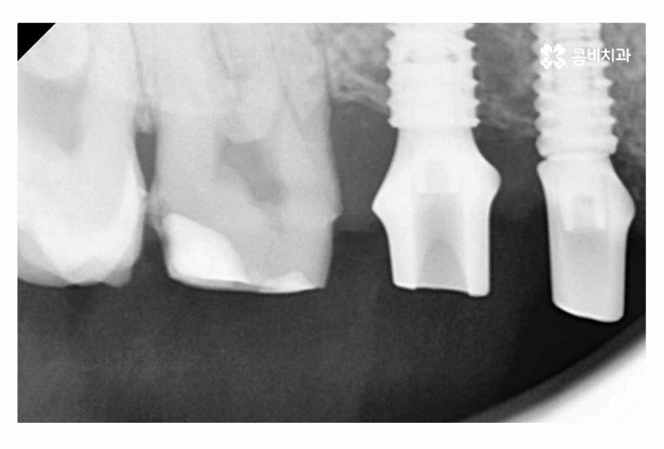
임플란트의 원리는 잇몸에 임플란트를 식립하고 골유착 과정을 통해서
단단하게 인공치근이 고정이 되고 보철물을 연결하여
자연치아의 기능 거의 대부분을 회복할 수 있는데요.
20대임플란트 치료를 하시는 분들의 경우 충치, 사고 등으로
치아를 잃게 되는 경우가 많기 때문에 치료는 크게 어려운 경우는 많지 않지만
당뇨나 전신질환 등이 있거나 잇몸 상태가 좋지 않은 경우에는
20대라고 하더라도 보다 섬세한 치료가 중요하다고 할 수 있어요.
임플란트의 치료 계획은 치아를 잃게 된 원인부터 잇몸 상태,
전신질환 여부, 회복력 등을 고려하여 1:1로 맞춤 치료 계획을 세우며
자연치아를 대체하는 치료인 만큼 치료 결과도 중요하지만
수명을 오랫동안 건강하게 유지하는 것이 관건이라고 할 수 있는데요.


특히 20대임플란트 치료를 하시는 분들의 경우 앞으로 되도록
오랜 기간 건강하게 임플란트 수명을 유지해야 하며
부작용에 주의해야 하기 때문에 오랫동안 믿고 찾을 치과의 선택이 중요할 수 있어요.
그리고 임플란트의 재료도 수명 관리에 중요하니 단지 저렴한 곳을
선택하는 것이 아니라 장기적인 관점으로 하나하나 철저하게 따져보실 필요가 있는데요.


요즘은 20대임플란트 치료에 대해 원데이임플란트가 많이 알려져 있긴 하지만
개개인에게 적합한 치료 계획은 달라질 수 있기 때문에
치과에서 먼저 정확한 정밀검진을 받아보시길 권해드리고 있어요.
치아를 잃고 임플란트 치료를 곧바로 해야 하며 그대로 방치하게 될 경우에는
잇몸이 점점 흡수되며 치열이 망가질 우려가 있고
소화불량 및 턱관절 장애 등 치아의 문제가 전신 건강에도
안좋은 영향을 줄 수 있으니 주의해야 할 필요가 있어요
본 글은 콤비치과의 의료광고 포스팅이며 개인에 따라
출혈 및 부작용이 발생할 수 있습니다.
더 보기
이 병원의 공개 콘텐츠를 계속 살펴보세요
출처 아카이브로 돌아가 더 많은 글을 보거나, 병원 프로필로 이동해 다른 공개 채널도 함께 비교해보세요.