아카이브 요약
이 페이지의 역할
명동콤비치과의원의 네이버 블로그 원문을 보존한 아카이브 페이지입니다. 치아스토리♡ 카테고리의 돌출입치아교정 적극적으로 해결하려면 글을 통해 병원의 한국어 정보 제공 방식과 진료 관련 안내 톤을 확인할 수 있습니다.
원문 검증
필요하면 원문 블로그와 병원 프로필로 바로 이동해 문맥을 다시 확인할 수 있습니다.
출처 아카이브 열기아카이브된 블로그 글
명동콤비치과의원 · Naver Blog
겨울방학을 맞이하여 치아교정을 원하시는 분들이 늘고 있는데요 치아교정의 주된 목적이 치열을 가지런하게 하고 부정교합을 개선하기 위한 목적을 띄는 경우도 많지만 얼굴 변화를 위해 알아보시는 분들도 많으며 치아교정을 통한 얼굴 변화는 교정 치료를 원하시는 분들이라면 잘 따져봐야 할 부분이라고 할 수 있어요. 돌...
게시일
2022년 1월 10일
원문 기준으로 확인된 발행일입니다.
카테고리
치아스토리♡
원문 블로그 카테고리를 정리해 함께 표시합니다.
이미지 수
13
현재 아카이브에 연결된 이미지 수입니다.
아카이브 요약
명동콤비치과의원의 네이버 블로그 원문을 보존한 아카이브 페이지입니다. 치아스토리♡ 카테고리의 돌출입치아교정 적극적으로 해결하려면 글을 통해 병원의 한국어 정보 제공 방식과 진료 관련 안내 톤을 확인할 수 있습니다.
원문 검증
필요하면 원문 블로그와 병원 프로필로 바로 이동해 문맥을 다시 확인할 수 있습니다.
출처 아카이브 열기겨울방학을 맞이하여 치아교정을 원하시는 분들이 늘고 있는데요
치아교정의 주된 목적이 치열을 가지런하게 하고 부정교합을
개선하기 위한 목적을 띄는 경우도 많지만 얼굴 변화를 위해
알아보시는 분들도 많으며 치아교정을 통한 얼굴 변화는
교정 치료를 원하시는 분들이라면 잘 따져봐야 할 부분이라고 할 수 있어요.

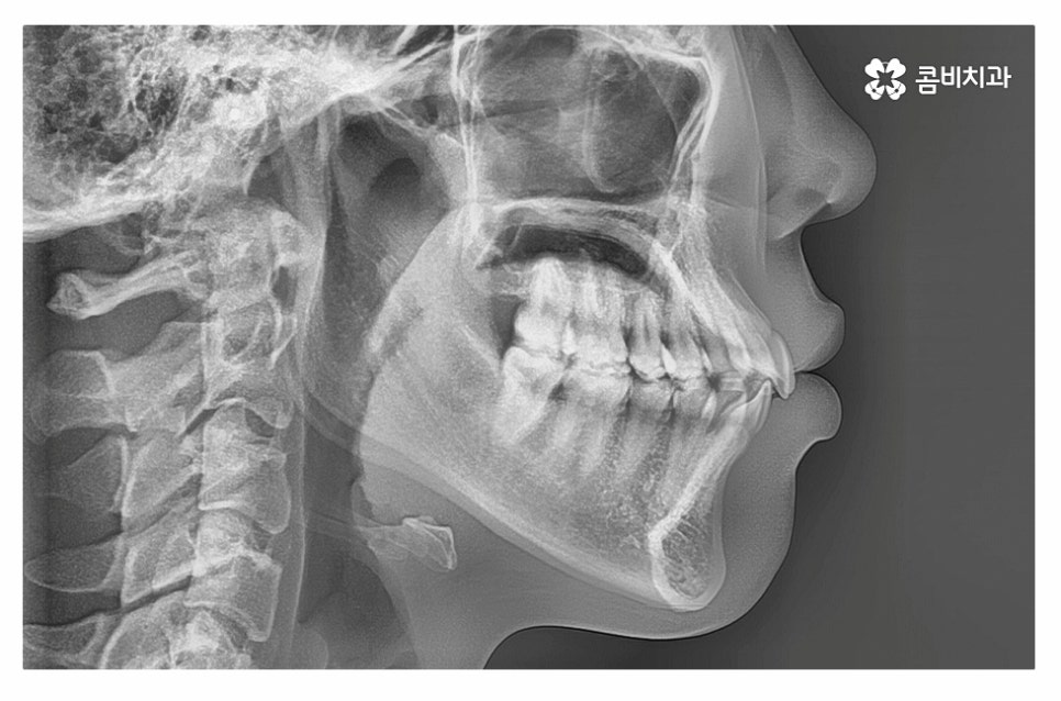
돌출입치아교정 원하시는 분들의 경우 돌출입의 원인에 대해서
정확히 파악을 해야 하기 때문에 정밀검진을 우선 진행해야 하며
치아교정 만으로 치료가 가능한 분들도 있지만 수술이 함께
병행되어야 하는 경우도 있기 때문에 정확한 치료 계획을
세우기 위해서는 1:1로 의사와 정확하게 상담받아야 할 필요가 있어요.



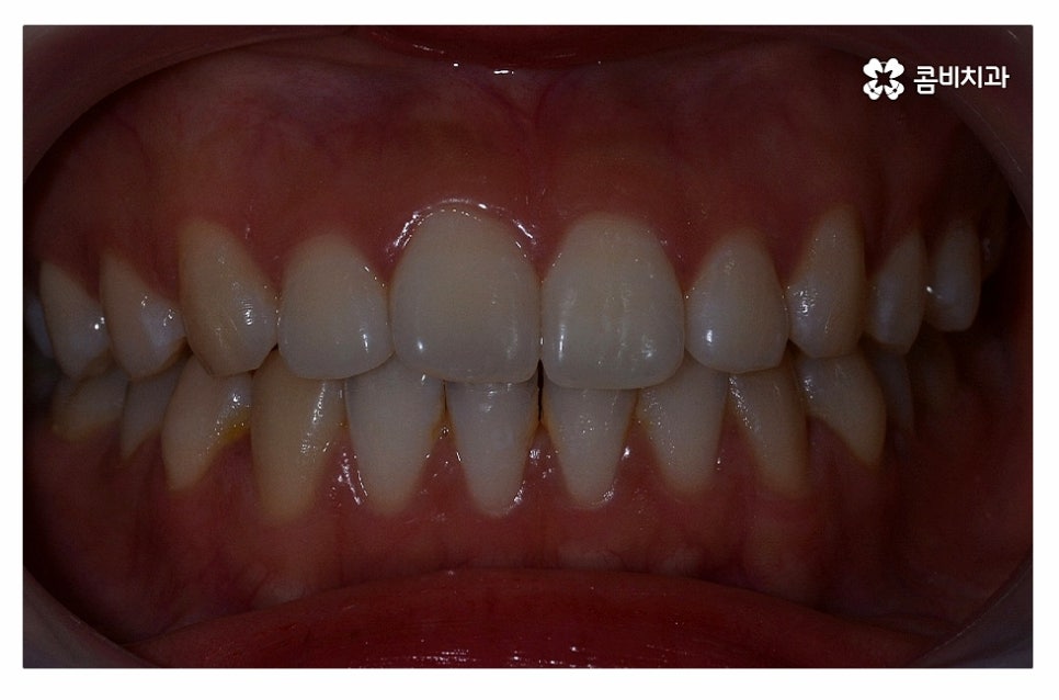
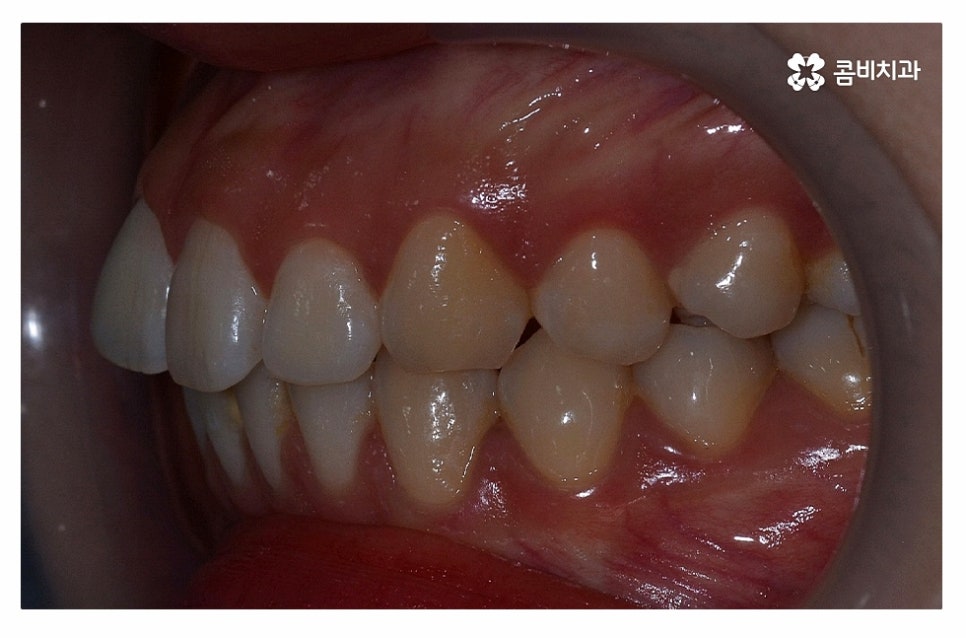
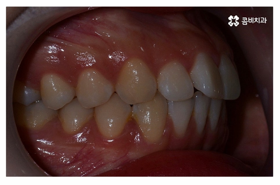
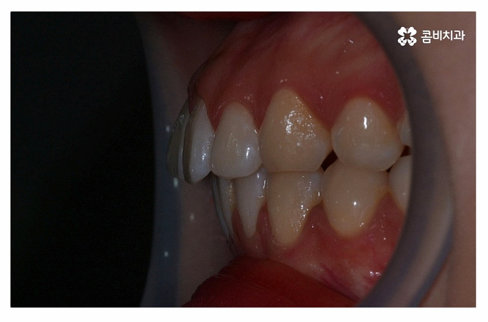
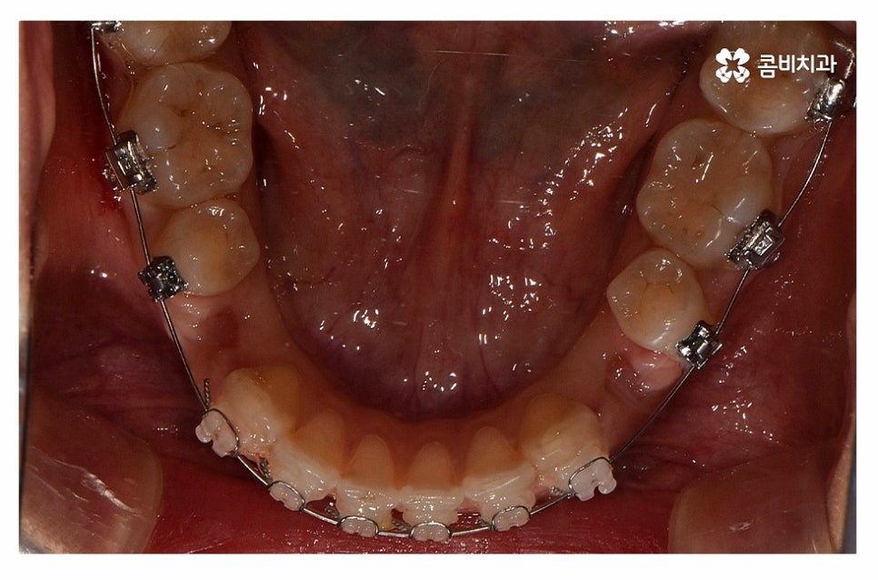
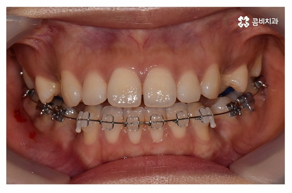
위 환자분의 경우 정면에서 보이는 치열은 가지런한 편이지만
치아가 돌출되어 돌출입으로 고민했던 사례이며
치아의 이동 공간 확보를 위해 발치 교정을 진행한 사례라고 할 수 있어요.
돌출입치아교정을 고민하는 분들 중에서는 치열이 심하게 불규칙하거나
부정교합, 안면비대칭 등으로 치료를 결심하시는 분들도 많이 있을 거예요.
돌출입치아교정을 한다고 가정할 때 수술을 떠올리시는 분들도
많지만 비발치 혹은 발치를 통한 치아교정 만으로도
치료가 가능한 사례도 많기 때문에 정확한 진단이 중요하다고 할 수 있어요.

돌출입으로 인해 콤플렉스를 갖고 계신 분들의 경우에
이처럼 치아교정 만으로 치료가 가능한 사례도 많으며
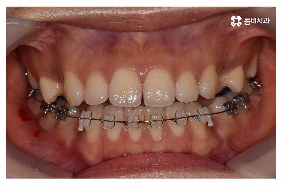
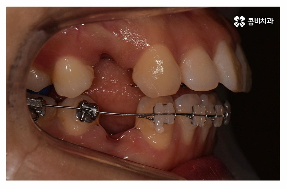
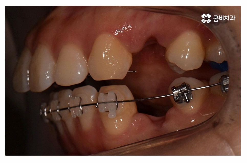
치아의 안쪽에 교정 장치를 부착하는 설측교정 방식으로
외부에 교정 사실을 알리지 않고 심미적으로 치료가 가능할 수 있어요.

윗니는 설측교정으로 진행하고 아랫니는 일반적인 순측교정으로
치료를 진행하는 방식을 콤비교정이라고 부르고 있는데요.
보통 평소에 대화를 하고 웃을 때 윗니가 위주로 보이기 때문에
콤비교정은 심미적인 치료 방법이며 혀가 위치한 아랫니는
순측교정을 하기 때문에 발음상의 불리함이나 이물감 등에서
유리하기 때문에 합리적인 치료 방법이라고 할 수 있어요.




돌출입치아교정은 돌출입의 원인을 정확하게 파악하는 것이 중요한데
일반적으로는 발치를 하는 경우가 많지만 구강구조 및 골격 등은
개인에 따라 다르기 때문에 치간 삭제, 구개확장 장치 등을 활용하여
비발치로도 치아의 이동 공간을 확보하여 비발치치아교정을 하는 사례도 있어요.

돌출입치아교정은 치아를 안쪽으로 넣는 것만이 치료의 목적이 아니라
자신의 얼굴과 전체적으로 균형 있고 조화로운 치료 방법이
중요하며 다양한 케이스를 경험한 의료진의 실력도 매우 중요하다고 할 수 있는데요.


치아는 심미적인 역할뿐 아니라 교합과 건강, 얼굴과의 조화 등에
종합적으로 영향을 주며 장기간의 치료 기간을 고려해야 하기 때문에
좋은 결과를 얻는 것과 사후관리까지 종합적으로 바라볼 필요가 있는데요.
따라서 처음 치료 계획부터 사후관리까지 꾸준히 믿고 찾을
치과의 선택과 함께 신뢰할 수 있는 의료진과 함께 하는 것이
매우 중요한 치료라고 할 수 있어요.
본 글은 콤비치과의 의료광고 포스팅이며
개인에 따라 출혈 및 부작용이 발생할 수 있습니다.