아카이브 요약
이 페이지의 역할
명동콤비치과의원의 네이버 블로그 원문을 보존한 아카이브 페이지입니다. 치아스토리♡ 카테고리의 누운 사랑니 발치와 어금니신경치료를 하게 된 사례 글을 통해 병원의 한국어 정보 제공 방식과 진료 관련 안내 톤을 확인할 수 있습니다.
원문 검증
필요하면 원문 블로그와 병원 프로필로 바로 이동해 문맥을 다시 확인할 수 있습니다.
출처 아카이브 열기아카이브된 블로그 글
명동콤비치과의원 · Naver Blog
사랑니는 치아 중에서 가장 늦게 나오는 치아로 일반적으로 17~25세 무렵에 나기 시작하는데 사랑니에 대한 잘못된 정보로 인해 발치에 대한 두려움을 느끼며 통증을 느끼더라도 미루는 경우도 많이 있어요. 사랑니라고 해서 무조건 뽑아야 하는 것은 아니지만 꼭 발치를 해야 하는 경우가 있기 때문에 올바르게 사랑니에...
게시일
2022년 1월 16일
원문 기준으로 확인된 발행일입니다.
카테고리
치아스토리♡
원문 블로그 카테고리를 정리해 함께 표시합니다.
이미지 수
7
현재 아카이브에 연결된 이미지 수입니다.
아카이브 요약
명동콤비치과의원의 네이버 블로그 원문을 보존한 아카이브 페이지입니다. 치아스토리♡ 카테고리의 누운 사랑니 발치와 어금니신경치료를 하게 된 사례 글을 통해 병원의 한국어 정보 제공 방식과 진료 관련 안내 톤을 확인할 수 있습니다.
원문 검증
필요하면 원문 블로그와 병원 프로필로 바로 이동해 문맥을 다시 확인할 수 있습니다.
출처 아카이브 열기사랑니는 치아 중에서 가장 늦게 나오는 치아로 일반적으로
17~25세 무렵에 나기 시작하는데 사랑니에 대한
잘못된 정보로 인해 발치에 대한 두려움을 느끼며
통증을 느끼더라도 미루는 경우도 많이 있어요.
사랑니라고 해서 무조건 뽑아야 하는 것은 아니지만
꼭 발치를 해야 하는 경우가 있기 때문에
올바르게 사랑니에 대해 알고 필요한 경우
적절한 시술이 필요할 수 있는데요.
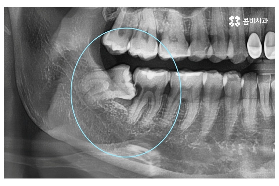
대표적으로 발치를 해야 하는 케이스는 사랑니가
누워서 자라면서 어금니 혹은 잇몸에 안 좋은 영향을
주는 경우이며 사랑니에 충치가 발생한 경우,
잇몸에 염증을 유발하는 경우 등이 있어요.


사랑니가 누워서 자라는 경우에 어금니 사이에 음식물이 끼기 쉽고
평소 치실과 칫솔질을 잘하더라도 주기적으로 스케일링을
하지 않으면 치석이 쌓여서 이가 썩거나 잇몸질환 등을 유발할 수 있어요.
물론 평소 청결관리를 잘하더라도 사랑니로 인한 문제는
누구나 발생할 수 있기 때문에 주기적으로 검진을 꼭 해야 하며
눈에 잘 띄지 않는 부위이기 때문에 불편한 증상이 없더라도
스케일링과 검진을 정기적으로 실천하실 필요가 있어요.
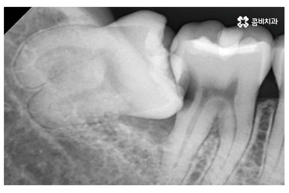
오늘 보여드린 환자분의 케이스는 사랑니로 인해 어금니에도
충치가 발생한 사례로 이처럼 치아 사이에 충치가 발생하면
치아의 하단부, 안쪽에 손상이 발생하기 때문에
어금니 신경치료를 하게 되는 경우로 이어질 수 있어요.

위처럼 누운 사랑니의 경우 단지 사랑니의 발치 만으로 끝나는 것이 아니라
주변 치아, 평생 지켜야 할 어금니 손상을 유발할 수 있기 때문에
자연치아를 잘 보존하기 위해서는 경우에 따라서 미리 사랑니 발치를 하는 것이
구강질환의 예방에 중요하다고 할 수 있어요.
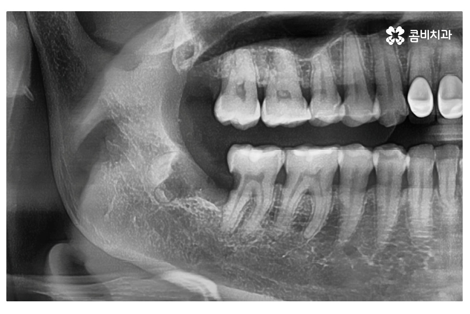
한국인들의 경우 사랑니가 매복되어 있는 경우가 많으며
어금니에 충치를 유발하는 경우 외에도
잇몸에 염증을 일으키면서 그로 인해 턱뼈 손상을 유발하는 경우도 있는데요.
매복된 사랑니가 누워서 자라는 경우에는 눈으로는 상태를
확인할 수 없기 때문에 통증이나 불편한 증상을 느끼고
치과를 찾는 경우에 이미 치료가 늦는 경우가 많으며
이번 케이스처럼 멀쩡한 어금니까지 손상이 발생하는 경우도 있어요.


특히 누운 사랑니의 경우 발치에 대한 경험이 많고 실력을 갖춘
의료진에게 치료를 받는 것이 좋으며 그와 함께 시술 후 회복도
생각해야 하기 때문에 사랑니 발치에 유리한 시기에 치과를 찾을 필요가 있어요.


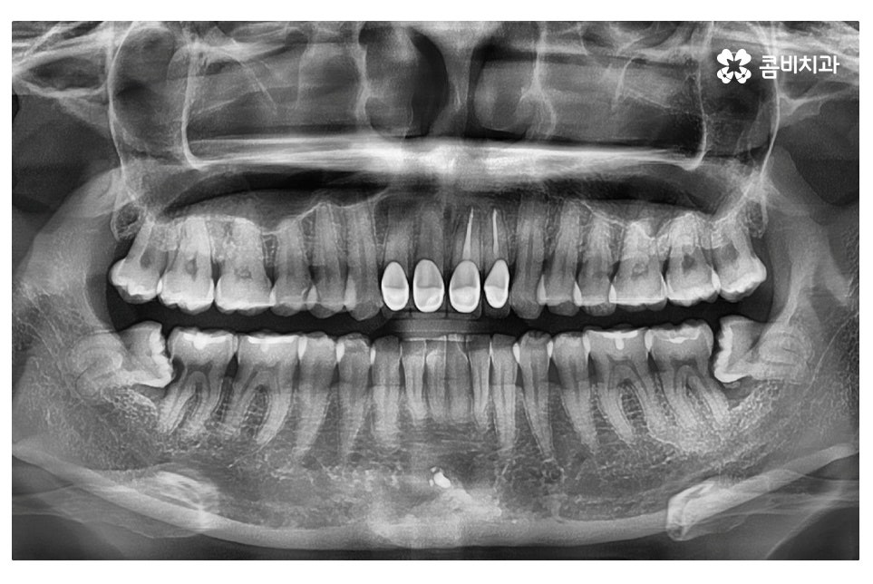
엑스레이 사진에서 보시는 것처럼 사랑니로 인해 어금니 옆 부분에
충치가 발생되었고 사랑니 발치 후 어금니 신경치료를 하여
자연치아의 손상이 커진 케이스라고 할 수 있는데요
사랑니 발치에 대한 두려움으로 인해서 치과 방문을 미루다가
사랑니 발치도 어려워지고 주변 치아, 잇몸에도
안 좋은 영향을 주는 사례가 많기 때문에 매년 스케일링을
받고 구강검진을 습관화하여 구강 건강을 잘 지키셔야 할 거예요.
본 글은 콤비치과의 의료광고 포스팅이며
개인에 따라 출혈 및 부작용이 발생할 수 있습니다.