명동콤비치과의원 (명동)
임플란트수술 제대로 알고 선택하려면
치아는 손상이 되면 다시 재생이 되지 않기 때문에 영구치가 자란 이후에는 치아 관리를 보다 신경 써야 하며 나이가 들수록 치아의 기능이 약해지고 마모가 되기 때문에 임플란트가 대중화 되면서 치아를 잃게 되면 임플란트수술을 하는 것이 현대인들에게는 자연스럽게 이뤄지고 있는 현실이라고 할 수 있어요. 백세시대에 치...
아카이브 요약
이 페이지의 역할
명동콤비치과의원 (명동)의 네이버 블로그 원문을 보존한 아카이브 페이지입니다. 치아스토리♡ 카테고리의 임플란트수술 제대로 알고 선택하려면 글을 통해 병원의 한국어 정보 제공 방식과 진료 관련 안내 톤을 확인할 수 있습니다.
치아는 손상이 되면 다시 재생이 되지 않기 때문에
영구치가 자란 이후에는 치아 관리를 보다 신경 써야 하며
나이가 들수록 치아의 기능이 약해지고 마모가 되기 때문에
임플란트가 대중화 되면서 치아를 잃게 되면 임플란트수술을 하는 것이
현대인들에게는 자연스럽게 이뤄지고 있는 현실이라고 할 수 있어요.
백세시대에 치아를 평생 보존하는 것도 무척이나 중요하지만
어쩔 수 없이 영구치를 잃게 되었다면 치아를 방치하고
삶의 질이 떨어진 채로 살아가는 것이 아닌 임플란트 수술을
잘 받고 건강하고 오랫동안 유지관리를 잘하는 것도
매우 중요한 일이라고 할 수 있는데요.

이제는 임플란트가 제3의 치아라는 말도 있듯이 임플란트수술을
통해 자연치아 기능의 대부분을 대체할 수 있는 점에서도 장점이 많지만
치아를 잃고 난 후에 그대로 방치하게 될 경우 치열이 망가질 우려부터
저작기능이 저하되어 소화불량이나 턱관절 장애 등으로 이어질 수 있기 때문에
치아의 상실은 단지 식사를 할 때만 불편한 것이 아니라 삶의 질과
전신 건강에도 악영향을 줄 수 있어요.


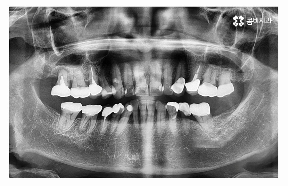
오늘 소개드릴 사례의 경우 충치로 인해 치아를 잃게 되었으며
발치 후 임플란트 수술을 통해 치아의 기능을 수복하였는데
치아를 잃게 되었을 때 원인을 잘 찾고 반복된 문제가 발생하지
않도록 정확한 진단이 필요하다고 할 수 있어요.
어금니는 저작기능에서 주된 기능을 하기도 하지만
사랑니와 밀접하고 치아 사이에 이물질이 끼거나
치석이 쌓이기 쉽기 때문에 충치가 발생하기 쉬운 부위이며
주기적으로 스케일링을 평소에 치실을 잘 사용하는게
중요하다고 할 수 있는데요.

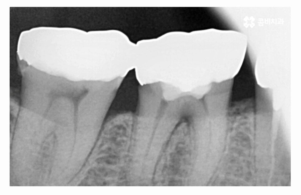
나이가 들면서 보철물 교체 시기를 놓쳐 과거에 충치 치료를 했던
부위에 2차 충치가 발생되는 사례도 많기 때문에 인레이, 크라운 치료 등을
받으셨다면 오랜 기간이 지난 경우에는 검진을 받아보시고
필요시 교체를 해야 하며, 오늘 보여드린 사례와 같이
치아 속은 눈으로 확인이 어렵기 때문에 주기적인
치과 검진을 받는 것이 자연치아를 지키는 방법이라고 할 수 있어요.
충치 치료 후에 시간이 지날수록 치아가 마모되거나
치료에 쓰인 재료의 수명이 다하는 경우도 생길 수 있기 때문에
치료 후 끝이 아니라 주기적인 검진과 스케일링이
항상 필수로 강조되고 있어요.


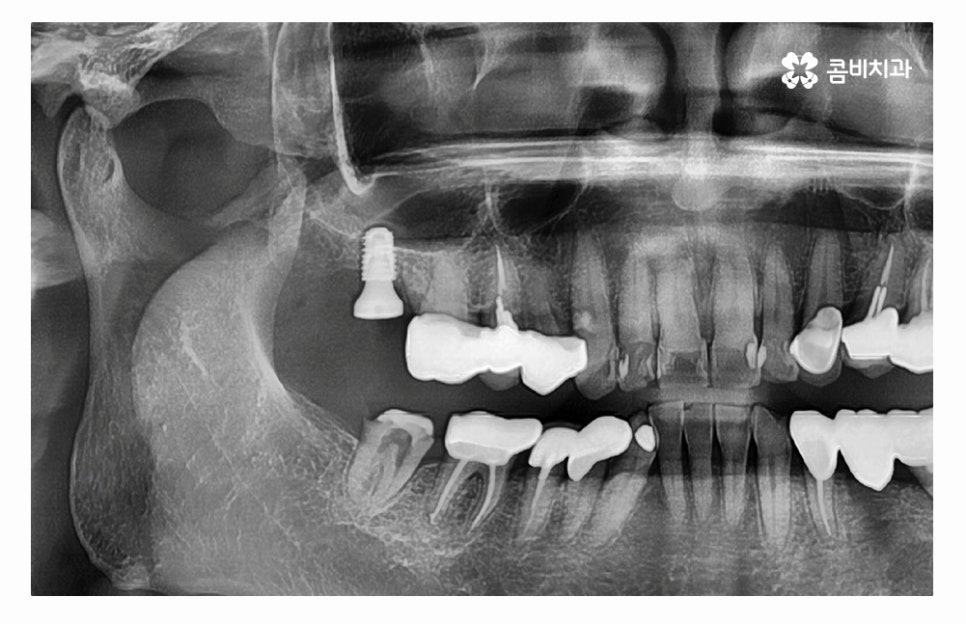
임플란트수술의 원리는 잇몸 뼈에 인공 치근을 식립하고
지대주로 단단하게 고정력을 얻은 후에 보철물을 연결하여
치료를 마무리하게 되는데 자연치아도 그렇듯이
임플란트 역시도 잇몸 뼈의 상태가 매우 중요하다고 할 수 있는데요.
치아를 잃게 되었을 때 곧바로 임플란트 수술을 해야 하는 이유도
임플란트를 건강하게 치료하기 위해서는 잇몸 상태가 중요한데
치아를 잃고 그대로 방치하면 잇몸이 점점 흡수되기 때문이라고 할 수 있어요.


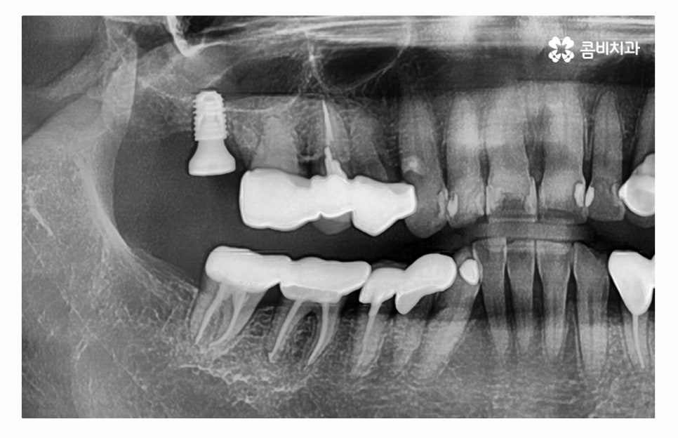
임플란트는 사후관리를 잘하면 반영구적인 사용도 가능한 만큼
초기 치료를 잘 받고 꾸준히 믿고 찾을 수 있는 치과를 신중하게 선택해야 하며
단지 저렴한 곳을 우선해서 찾기보다는 임플란트수술에 사용될
치과 재료부터 시설, 의료진의 경험과 실력 등을 잘 따져보실 필요가 있어요.

임플란트는 자연치아와 달리 치주 인대가 없고 신경이 없는 상태이기 때문에
주된 부작용이라고 할 수 있는 임플란트 주위염을 주의해야 하며
충치는 발생하지 않겠지만 청결 관리를 소홀하여 잇몸 건강이 나빠진다면
임플란트의 수명에도 악영향을 주기 때문에 각별히 주의하실 필요가 있어요.
본 글은 콤비치과의 의료광고 포스팅이며
개인에 따라 출혈 및 부작용이 발생할 수 있습니다.
더 보기
이 병원의 공개 콘텐츠를 계속 살펴보세요
출처 아카이브로 돌아가 더 많은 글을 보거나, 병원 프로필로 이동해 다른 공개 채널도 함께 비교해보세요.