아카이브 요약
이 페이지의 역할
명동콤비치과의원의 네이버 블로그 원문을 보존한 아카이브 페이지입니다. 치아스토리♡ 카테고리의 덧니교정 정교하게 따져보려면 글을 통해 병원의 한국어 정보 제공 방식과 진료 관련 안내 톤을 확인할 수 있습니다.
원문 검증
필요하면 원문 블로그와 병원 프로필로 바로 이동해 문맥을 다시 확인할 수 있습니다.
출처 아카이브 열기아카이브된 블로그 글
명동콤비치과의원 · Naver Blog
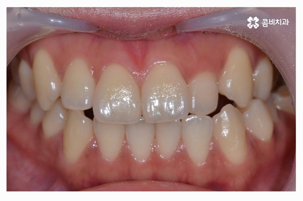
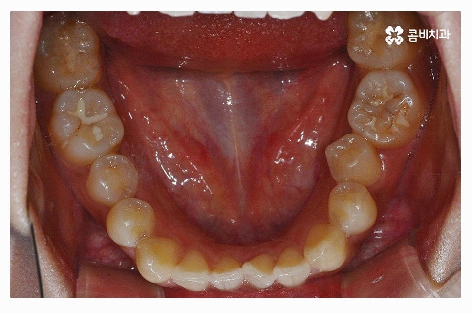
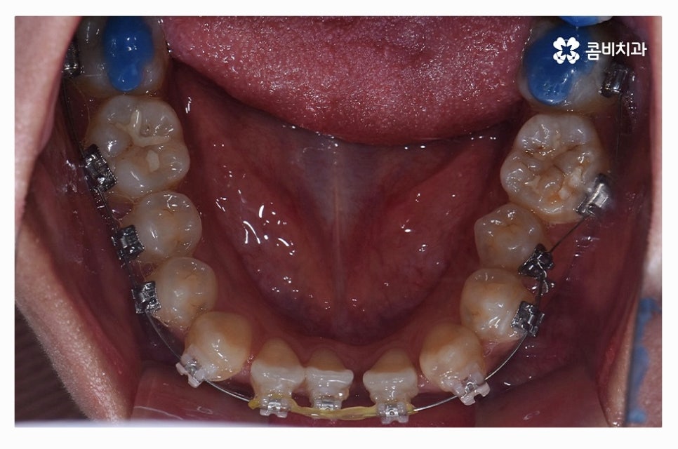
덧니의 이유는 다양하지만 일반적으로는 유치를 늦게 발치하거나 턱뼈가 좁은 경우, 치아 크기가 큰 경우, 습관 유전적 요인과 환경적인 요인으로 나눌 수 있는데요. 덧니를 방치하게 되면 구강관리의 어려움으로 잇몸이나 충치질환이 발생할 가능성이 상대적으로 높고, 치아의 기능적인 부분과 심미적인 부분을 고려했을 때 덧...
게시일
2022년 2월 17일
원문 기준으로 확인된 발행일입니다.
카테고리
치아스토리♡
원문 블로그 카테고리를 정리해 함께 표시합니다.
이미지 수
11
현재 아카이브에 연결된 이미지 수입니다.
아카이브 요약
명동콤비치과의원의 네이버 블로그 원문을 보존한 아카이브 페이지입니다. 치아스토리♡ 카테고리의 덧니교정 정교하게 따져보려면 글을 통해 병원의 한국어 정보 제공 방식과 진료 관련 안내 톤을 확인할 수 있습니다.
원문 검증
필요하면 원문 블로그와 병원 프로필로 바로 이동해 문맥을 다시 확인할 수 있습니다.
출처 아카이브 열기덧니의 이유는 다양하지만 일반적으로는 유치를 늦게 발치하거나
턱뼈가 좁은 경우, 치아 크기가 큰 경우, 습관
유전적 요인과 환경적인 요인으로 나눌 수 있는데요.
덧니를 방치하게 되면 구강관리의 어려움으로 잇몸이나 충치질환이
발생할 가능성이 상대적으로 높고, 치아의 기능적인 부분과
심미적인 부분을 고려했을 때 덧니교정을 하는 것이 필요할 수 있어요.
덧니는 치아 사이에 음식물이 끼기 쉽고 치석이 쌓여서
충치 및 잇몸질환이 발생할 수 있으며 덧니로 인한 부정교합이나
턱관절 장애가 발생하는 경우도 있기 때문에 덧니의 정도에
따라서 꼭 덧니교정을 하는 것이 이로운 분들이 있는데요.
치아교정에 대해서는 심미적인 측면도 크지만 장기적인
치아 건강과 기능적인 면도 꼭 생각해야 하며
나아가 덧니교정을 할 때 치아뿐 아니라
얼굴 변화도 중요하다고 할 수 있어요.



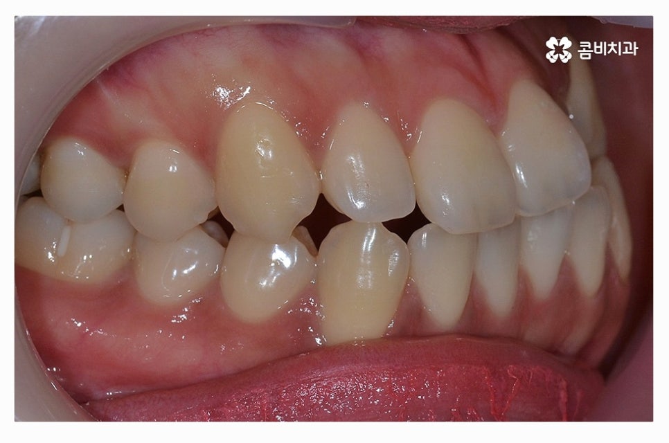
덧니의 형태는 개개인에 따라 다르지만 덧니로 인해
치석이나 음식물이 방치되기 쉽기 때문에 나이가 들수록
충치 및 잇몸병에 시달리게 되는 확률이 높아질 수 있어요.
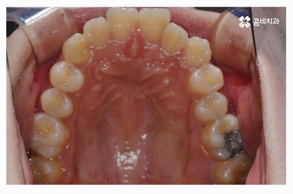
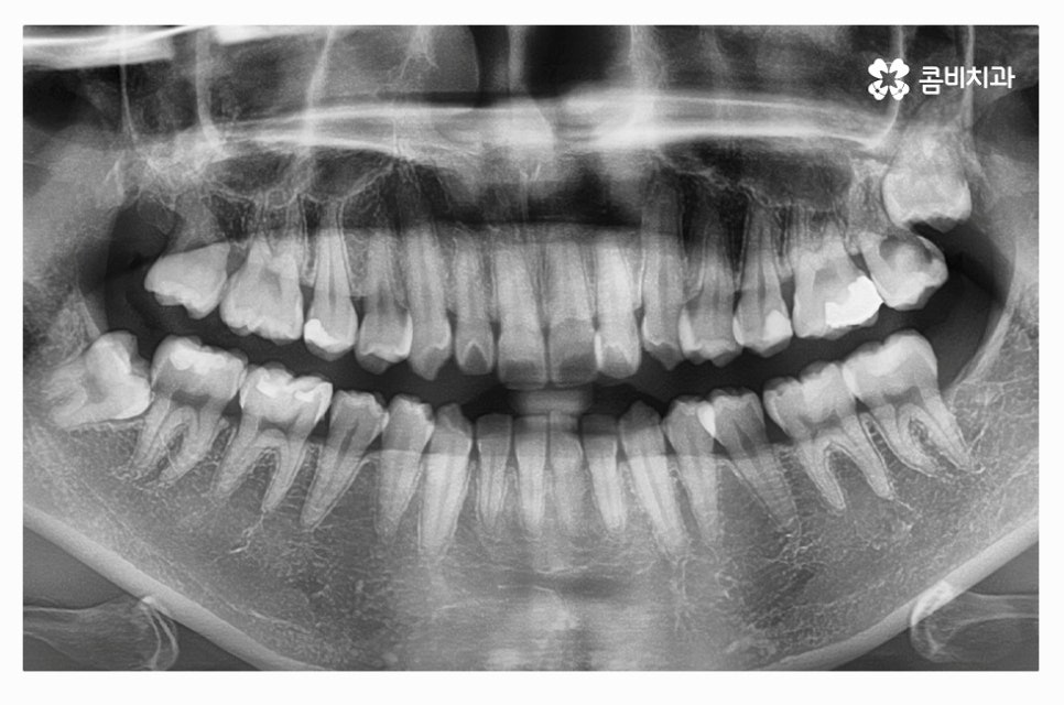
덧니교정은 치아의 이동 공간에 따라서 발치 혹은 비발치로
진행이 될 수 있는데 발치 여부는 골격, 돌출 여부, 치아의 이동 공간 확보 등에
따라서 개인차가 발생하며 치간 삭제나 악궁 확장과 같은 방법으로
비발치 교정을 하는 사례도 있어요.
발치 여부에 대해서는 정밀 검진을 통해서 의사와 상의해야 하며
무조건 비발치가 좋은 것이 아닌 심미성과 교합, 얼굴과의 조화 등을
종합적으로 파악하여 발치 여부를 정확하게 판단할 필요가 있어요.



따라서 덧니교정에 있어서 정밀검진과 구강 상태를 면밀하게
살펴보고 전문의와 충분한 상담을 하는 것이 우선이며
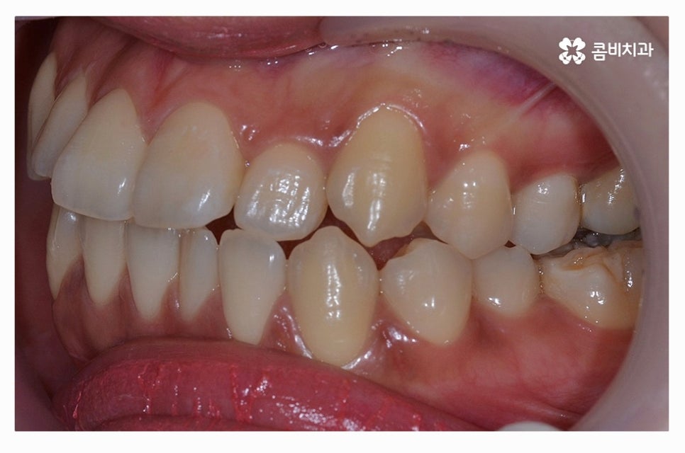
덧니교정을 하는 분들 중에서 치열뿐 아니라 돌출입으로
고민하는 분들도 많기 때문에 치아의 이동 공간을
확보하고 치아가 이동한 후에 얼굴 변화까지 고려하실 필요가 있어요.



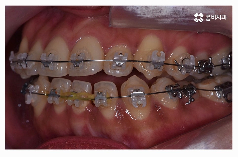
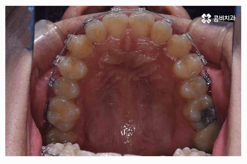
치아교정은 장기간의 치료 계획을 세워야 하기 때문에
교정 효율성이 좋고, 상대적으로 통증이 적으며 관리가 편리한
클리피씨 장치가 보편적으로 많이 활용되고 있으며
치열 상태나 환자의 니즈에 따라서 심미성이 높은 설측교정이나
투명교정이 활용되는 경우도 있어요.


치아교정 과정은 장기적인 계획뿐 아니라 주기적인 관리와
교정 장치를 풀어낸 이후에도 유지관리까지 생각해야 하기 때문에
신뢰할 수 있는 치과 선택이 중요하며 덧니 교정에 대한 풍부한 경험과
실력을 갖춘 전문의와 함께 하는 것이 중요할 수 있는데요.
덧니교정은 개인차가 크고 비교적 심하지 않은 덧니부터
부정교합이 심한 경우까지 다양하기 때문에
덧니교정을 고민 중이라면 구강 상태를 정밀 진단하고
자신에게 적합한 치료 계획과 교정 장치의 선택,
치료 기간 및 사후관리까지 꼼꼼하게 알아보신 후 결정하실 필요가 있어요.
본 글은 콤비치과의 의료광고 포스팅이며
개인에 따라 출혈 및 부작용이 발생할 수 있습니다.