명동콤비치과의원 (명동)
어금니 사이 충치 빠르게 대응해야
20살 전후로 나는 사랑니는 치과에서 발치를 권유하는 경우가 종종 있는데, 그 이유는 사랑니가 자라는 모양과 청결 관리로 인하여 잇몸질환 또는 충치 등 2차적인 문제가 발생하는 경우가 많기 때문입니다. 치아의 제일 안쪽에 위치하고 공간 등의 문제로 비스듬하게 자라면서 음식물이 잘 끼고 양치가 잘 안되면서 지속적인...
아카이브 요약
이 페이지의 역할
명동콤비치과의원 (명동)의 네이버 블로그 원문을 보존한 아카이브 페이지입니다. 치아스토리♡ 카테고리의 어금니 사이 충치 빠르게 대응해야 글을 통해 병원의 한국어 정보 제공 방식과 진료 관련 안내 톤을 확인할 수 있습니다.
20살 전후로 나는 사랑니는 치과에서 발치를 권유하는 경우가 종종 있는데, 그 이유는 사랑니가 자라는 모양과 청결 관리로 인하여 잇몸질환 또는 충치 등 2차적인 문제가 발생하는 경우가 많기 때문입니다. 치아의 제일 안쪽에 위치하고 공간 등의 문제로 비스듬하게 자라면서 음식물이 잘 끼고 양치가 잘 안되면서 지속적인 청결 관리의 문제로 발치를 권유하는 경우가 많다고 할 수 있어요.
그러나 환자분들의 입장에서는 당장 크게 아프지 않다면 발치에 대한 두려움이나 수술에 대한 부담 때문에 치과에 내원하여 사랑니 뽑는 걸 미루고 싶은 마음이 드시는 분들이 있을 거예요.
하지만 꼭 발치 처치를 받아야 하는 사랑니도 있는데 그 중 대표적인 것이 바로 어금니 사이 충치 를 유발한 경우로, 비스듬하게 나온 사랑니가 앞의 어금니를 밀면서 압박을 주고 옆면에 충치를 일으키는 등 손상시키고 있다면 늦기 전에 발치 처치를 받으실 필요가 있습니다.

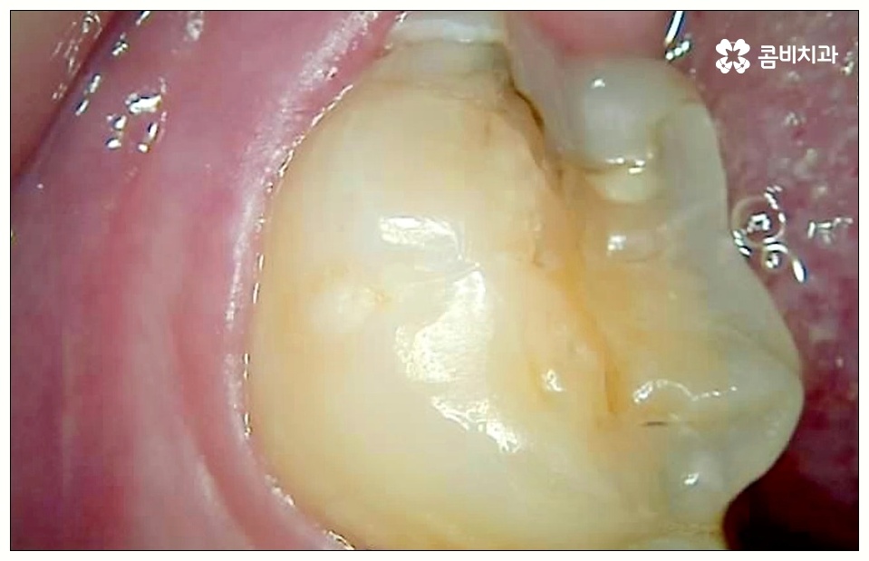
어금니는 구강 내 가장 안쪽에 자리잡고 있기 때문에 평소에도 음식물 찌꺼기가 많이 고여 있기 쉬운 치아이며 신경써서 관리해 주지 않으면 충치나 잇몸 염증이 자주 일어날 수 있는데요.
이 때 어금니 뒤쪽으로 비스듬하게 사랑니가 자리를 잡으면 부분적으로 맹출이 되면서 치아 사이에 좁은 틈새가 만들어져 여러 가지 부산물들이 끼기 쉬워지는 반면 칫솔질 등 관리는 더욱 어려워지기 때문에 구강 질환 발생률이 높아질 수 있어요.
위생 관리가 제대로 되지 않으면 치태와 치석이 늘어나 세균이 증식하면서 구취는 물론 충치가 유발되게 되는데, 이것을 방치할 경우 사랑니 자체가 썩어 옆의 어금니로 충치가 옮겨가게 되거나 사랑니와 어금니 사이 충치 발생으로 인해 어금니까지 덧씌워야 하는 상황이 올 수도 있으니 주의하실 필요가 있어요.


특히 어금니 사이 충치 는 눈에 잘 보이지 않을 뿐만 아니라 어느 정도 진행이 될 때까지 통증이 크지 않기 때문에 치료시기를 놓치게 되는 경우가 많이 있는데요.
이렇게 병증이 깊어지게 되면 치은에도 쉽게 손상이 일어나고 치아 내부 밀도가 떨어져 치아 파절이 일어날 수 있으며 결국 사랑니만 뽑는 것이 아니라 저작 기능에 중요한 역할을 하는 어금니까지 발치해야 하는 상황이 생길 수도 있기 때문에 초기에 잘 대처하실 필요가 있어요.


치아 사이 충치는 법랑질이 두꺼운 교합면, 즉 음식을 잘게 부수는 윗면이 아니라 치아와 치아 사이에 맞닿고 있어 비교적 법랑질의 두께가 얇고 신경까지의 거리가 짧은 옆면에 생기는 것이기 때문에 병증이 진행되는 속도가 빠르고 치료하기가 까다로워 될 수 있는대로 빨리 대처하실 필요가 있어요.
환자분들께서 알아차리는 것이 어려운 경우가 많으니 이러한 어금니 사이 충치 에 대처하기 위해서 평상시에 통증이 없더라도 정기적으로 치과에 내원하셔서 정밀 검진 및 스케일링 처치를 받아주시는 습관을 가지시면 구강 건강을 유지 관리하는 데 더욱 바람직할 수 있어요.



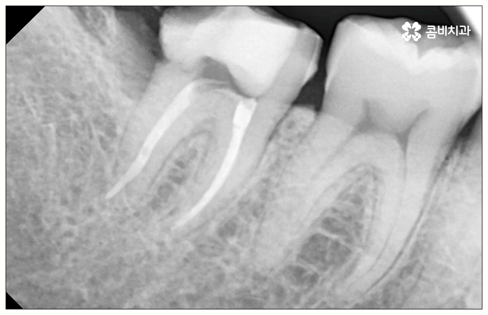
사랑니로 인해 어금니 사이 충치 가 발생하고 치아 파절이 일어나 신경까지 손상이 일어난 경우 원인이 된 사랑니를 발치한 후에 신경 치료와 크라운 처치를 통해 어금니 수복을 해 주게 되는데 이 때 근관 소독 및 밀봉 후 통증이 없어졌다고 해서 크라운 처치를 해 주지 않은 채로 치료를 마치게 되면 2차 감염이 일어나거나 외부 충격으로 인해 또 다시 파절이 생길 가능성이 높아 어렵게 살린 어금니를 잃게 될 수도 있으니 꼭 남아 있는 치아를 전체적으로 덮어주는 크라운 처치를 통해서 보호해 주시는 것을 권유드리고 있습니다.
본 글은 콤비치과의 의료광고 포스팅이며
개인에 따라 출혈 및 부작용이 발생할 수 있습니다.
더 보기
이 병원의 공개 콘텐츠를 계속 살펴보세요
출처 아카이브로 돌아가 더 많은 글을 보거나, 병원 프로필로 이동해 다른 공개 채널도 함께 비교해보세요.