명동콤비치과의원 (명동)
앞니임플란트 체크할 사항들은?
사람의 치아는 유치에서 영구치로 바뀌고 나면 손상을 입었을 때 재생이 되지 않기 때문에 평생동안 이를 잘 유지 관리하면서 보다 오랜 기간 동안 자연 치아를 잘 사용할 수 있도록 하는 것이 구강 건강에 있어서 중요한 포인트라고 할 수 있어요. 이러한 치아의 가장 기본적인 기능은 음식물을 자르거나 원활하게 씹어 소...
아카이브 요약
이 페이지의 역할
명동콤비치과의원 (명동)의 네이버 블로그 원문을 보존한 아카이브 페이지입니다. 치아스토리♡ 카테고리의 앞니임플란트 체크할 사항들은? 글을 통해 병원의 한국어 정보 제공 방식과 진료 관련 안내 톤을 확인할 수 있습니다.
사람의 치아는 유치에서 영구치로 바뀌고 나면 손상을 입었을 때 재생이 되지 않기 때문에 평생동안 이를 잘 유지 관리하면서 보다 오랜 기간 동안 자연 치아를 잘 사용할 수 있도록 하는 것이 구강 건강에 있어서 중요한 포인트라고 할 수 있어요.
이러한 치아의 가장 기본적인 기능은 음식물을 자르거나 원활하게 씹어 소화를 돕는 것이며 웃거나 말을 할 때 심미적으로 미치는 영향도 크기 때문에 갑작스러운 사고나 각종 구강질환 등으로 치아를 상실하게 되면 음식물을 저작하는 데 어려움이 발생하여 소화 기능이 저하될 뿐 아니라 입 속의 빈 공간이 드러나 외모에 큰 부담을 느끼게 될 수 있는데요.
특히 입을 벌렸을 때 노출이 가장 심한 앞니에 문제가 생기면 심한 스트레스를 받을 수도 있어요. 앞니는 저작 기능에 가장 큰 역할을 하는 어금니와 다르게 심미적인 부분에서 더 큰 역할을 하기 때문에 만약 앞니를 상실했다면 이를 수복할 때 이러한 심미성에 대해서 고려하지 않을 수 없는 거예요.


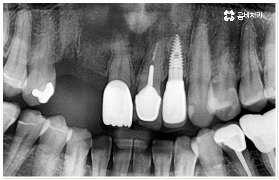
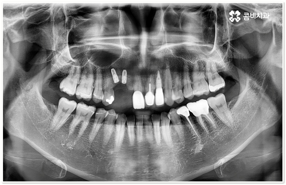
이와 같이 앞니를 상실하면 수복을 위해 브릿지나 앞니임플란트 등 적절한 치료 방법을 고려하게 되는데 브릿지는 주변 치아를 이용하여 고정을 하기 때문에 옆에 치아를 삭제가 필요하고, 관리가 잘 안될 경우 보철물의 수명이 짧아질 수 있다는 단점이 있습니다. 또 구강 내 구조가 변하거나 잇몸이 내려앉는 경우 다시 제작을 해야 한다는 번거로움이 있는 반면, 앞니임플란트 는 한 자리에 고정돼 빠질 위험이 적으며 저작기능, 심미성이 모두 우수하기 때문에 요즘 많은 분들의 각광을 받고 있습니다.
임플란트 시술은 상실된 치아를 대체하여 인체에 해가 없는 티타늄 소재로 된 인공치근을 잇몸뼈에 직접 식립한 후 기둥으로 인공치근과 인공치아를 연결하는 방식으로 진행되는데 앞니임플란트 시술을 받으면 씹는 힘도 자연 치아의 80~90% 가까이 회복할 수 있고 겉에서 보기에도 원래 자연 치아와 거의 흡사하게 수복이 되기 때문에 현대 임플란트 시술이 치아 상실을 대체하는 가장 대표적인 인공 치아 보철물로 자리매김 하고 있어요.
이러한 임플란트 시술을 활용하면 앞니, 어금니 등 어떤 부위의 치아 상실도 대체할 수 있지만 식립 부위의 특성을 고려해야 자연스러운 결과가 나오기 때문에 3D CT와 같은 정밀 진단 장비를 통해 시술해야 할 부분의 잇몸 건강 상태는 물론 신경 위치, 치조골 양, 주변 치아 구조 및 관계 등 여러 사항을 꼼꼼히 살펴보고 정확도 높은 시술 경로를 미리 확인하는 게 중요하다고 할 수 있는데요.
더욱이 앞니의 경우 말씀드린 것처럼 기능적인 부분 만큼 심미적인 부분까지 신경을 써서 주변 치아와 모양이나 색상, 투명도 등 모든 면에서 자연스럽게 어우러질 수 있는지 체크할 필요가 있기 때문에 앞니임플란트 시술이 어금니보다 까다로울 수 있어요.
또한 앞니의 특성상 다른 치아보다 잇몸뼈가 얇고 폭이 좁으며 치조골 흡수가 잘 일어나기 때문에 환자분들의 상황에 따라서 잇몸뼈를 인공적으로 보충해야 하는 경우도 발생하는데, 이렇게 뼈이식 시술을 더하게 되면 치조골이 안정될 때까지 기다려서 식립을 진행해야 하기 때문에 보통 3개월 정도 걸리는 기간이 6개월 이상 늘어날 수도 있음을 감안하실 필요가 있습니다.
잇몸이 건강하고 치조골도 풍부하다면 치아를 발치한 후 바로 임플란트를 식립할 수 있지만 그렇지 않다면 식립 성공률이나 지속률을 높이기 위해서 뼈이식을 통해 바탕이 되는 부분을 충분하게 보충해 주는 것이 필요하므로 환자분들의 상황에 따라 앞니임플란트 시술 계획을 섬세하게 수립할 필요가 있어요.


앞니임플란트 시술은 담당의 선생님의 숙련도가 크게 영향을 미치는 고난도의 치과 진료인 만큼 임상 경험이 풍부하고 뛰어난 노하우를 가지고 있는 의료진과 충분한 상담 후 보다 안정성이 검증된 정품 재료를 활용하여 각자의 상태에 맞는 적합한 방법을 통해 무리하지 않게 식립 시술을 진행하는 것이 중요하며 또한 치과의 체계적인 케어 시스템을 통해 주기적인 사후 관리를 철저하게 받는다면 임플란트 치아의 장기적인 안정성과 수명을 높이는데 도움 받아 보실 수 있어요.
본 글은 콤비치과의 의료광고 포스팅이며
개인에 따라 출혈 및 부작용이 발생할 수 있습니다.
더 보기
이 병원의 공개 콘텐츠를 계속 살펴보세요
출처 아카이브로 돌아가 더 많은 글을 보거나, 병원 프로필로 이동해 다른 공개 채널도 함께 비교해보세요.