명동콤비치과의원 (명동)
돌출치아교정 언제가 좋을까요
건강한 치아는 오복 중의 하나라는 말이 있습니다. 구강 건강은 100세 시대 활기찬 삶을 살아가기 위해 꼭 필요한 요소 중 하나라고 할 수 있는데요. 이러한 구강 건강을 오래 유지하기 위해서는 물론 양치질을 꼼꼼하게 하는 것도 중요하지만 단순히 청결 관리 만으로는 부족할 수 있는데, 치아 배열이 가지런하지 못하...
아카이브 요약
이 페이지의 역할
명동콤비치과의원 (명동)의 네이버 블로그 원문을 보존한 아카이브 페이지입니다. 치아스토리♡ 카테고리의 돌출치아교정 언제가 좋을까요 글을 통해 병원의 한국어 정보 제공 방식과 진료 관련 안내 톤을 확인할 수 있습니다.
건강한 치아는 오복 중의 하나라는 말이 있습니다. 구강 건강은 100세 시대 활기찬 삶을 살아가기 위해 꼭 필요한 요소 중 하나라고 할 수 있는데요. 이러한 구강 건강을 오래 유지하기 위해서는 물론 양치질을 꼼꼼하게 하는 것도 중요하지만 단순히 청결 관리 만으로는 부족할 수 있는데, 치아 배열이 가지런하지 못하면 음식물 찌꺼기가 자주 끼어 충치, 치주염이 발생할 가능성이 높아지기 때문에 교정 치료를 진행해 이를 개선해 주시는 게 도움이 될 수 있어요.
특히 돌출입, 주걱턱 등 부정 교합 요소를 발견했다면 교정이 가능한 시기에 바로 시작하는 게 좋은데 치과에서는 보통 초등학교 고학년부터 중학교 저학년 사이에 교정 치료를 시작하도록 권유하는 편이며 개인마다 치아 발육 속도에 차이가 있으므로 만 7세 정도부터 정기적인 검진을 통해 성장 추이를 지켜보면서 각자 다른 상태에 맞게 교정 치료를 진행하고 있는데요.
돌출입, 주걱턱 등은 얼굴 골격 구조, 치열과 관련된 부분이기 때문에 얼굴뼈가 느슨하게 연결돼 있고 성장판이 아직 닫히지 않은 소아기에 보다 쉽게 돌출치아교정 이 가능하니 이에 대해서도 잘 고려해 보시길 바라고 있습니다.


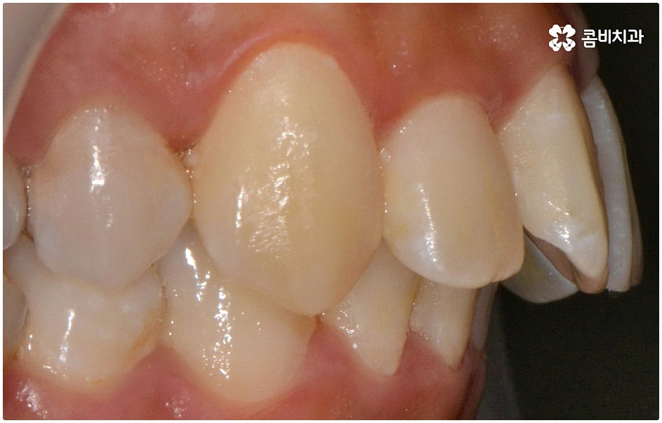
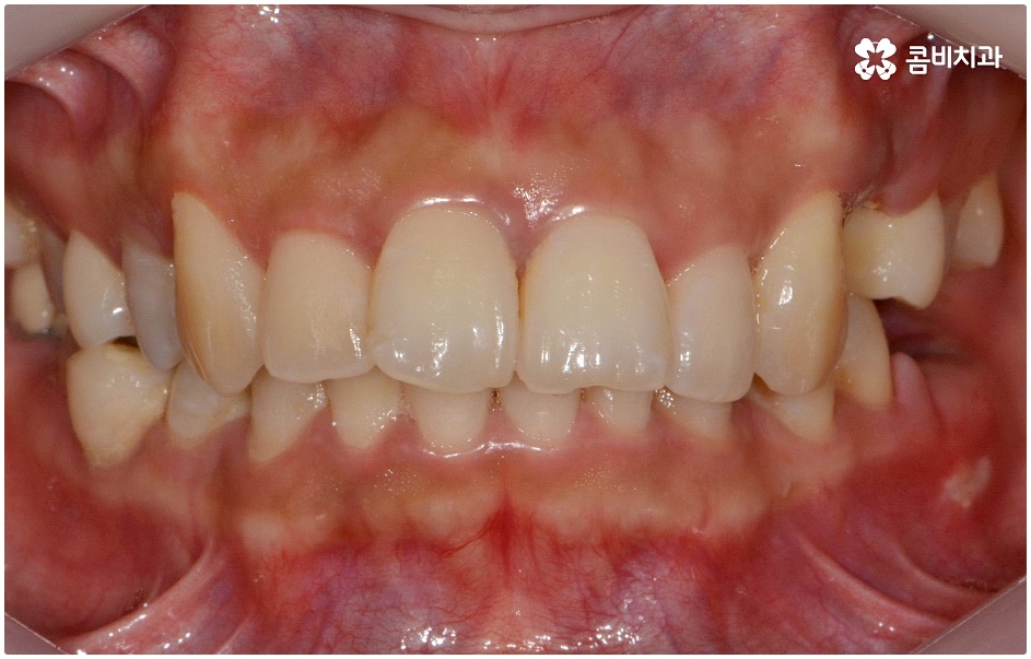
돌출입의 경우 씹기가 불편하고 입을 닫을 때 어려움이 있으며 웃을 때 부자연스러운 입 모양 및 코보다 입이 더 튀어나와 균형이 맞지 않는 옆모습에 대한 심미적인 불만족을 이유로 돌출치아교정 을 고려해 볼 수 있는데요.
이러한 구조적인 부분은 유전적인 요소가 30% 정도의 영향을 미치므로 만약 부모님께서 자신도 같은 부정교합으로 인해 기능적 심미적인 불편함을 겪으신 경험이 있으시다면 더욱 아이의 치열에 관심을 갖고 관찰하시다가 아이에게 돌출치아교정 이 필요하다는 판단이 들면 숙련된 치과교정과 전문의 선생님께서 진료를 보시는 치과로 아이와 함께 내원하셔서 검진을 받아보시는 것을 권유 드리고 있어요.
성장기 아이들은 성인보다 잇몸 뼈 탄성이 많아 치아가 보다 빠르게 움직이며 치료 후에도 안정적인 상태를 유지할 수 있기 때문에 이 시기에 상악과 하악의 균형잡힌 발달을 유도하면서 돌출치아교정 치료를 해 준다면 좋을 거예요.




물론 중장년 성인분들의 돌출치아교정 역시 가능하며 심각한 경우에는 양악수술 등 성형수술이 필요할 수 있겠으나 그 역시도 교합 문제에 있어서는 치아교정 치료와 병행하는 추세이고 대부분의 케이스는 교정 치료를 통해서도 충분히 개선할 수 있으니 만약에 수술에 부담을 느끼고 지레 포기하고 있으셨던 분들이라면 치과교정과 전문의 선생님과 먼저 자신의 현 상태에 대해서 검진 및 상담부터 진행해 보시길 권유드리고 있어요.
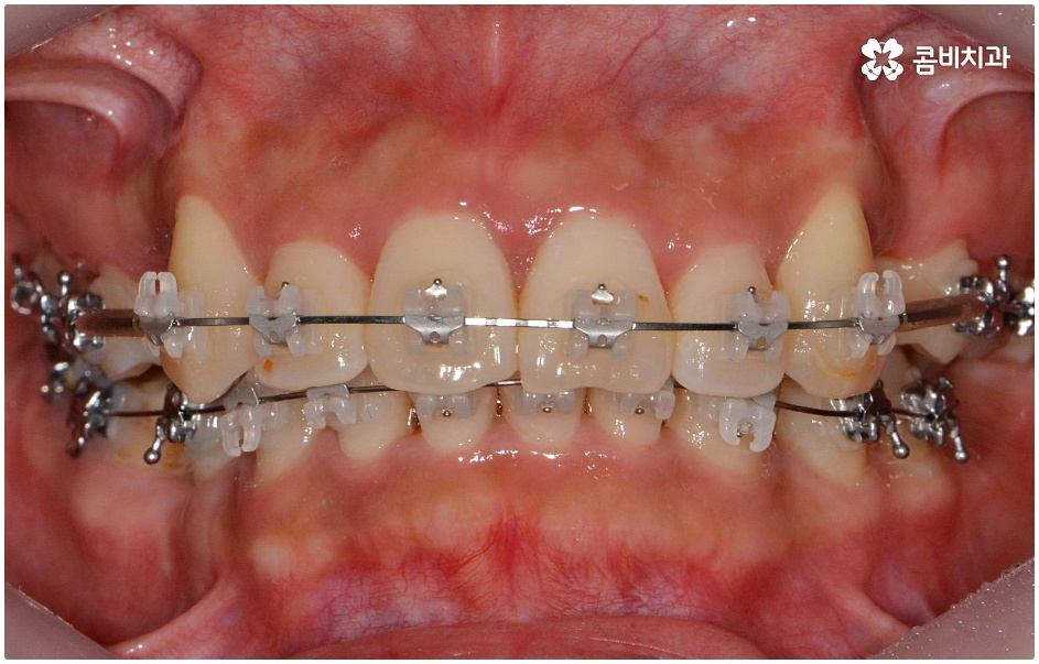
돌출치아교정 치료에 적기가 따로 정해져 있는 것은 아니며 중장년 성인분들이라고 하더라도 환자분들의 상황에 따라 무리하지 않게 진행을 할 수 있고 또한 케이스에 따라서는 1년 이내에 교정이 마무리되는 경우도 있으니 부담 없이 내원하셔서 꼼꼼하게 정밀 검진을 받아보신 후 필요한 교정 치료를 받으시면 좋을 거예요.


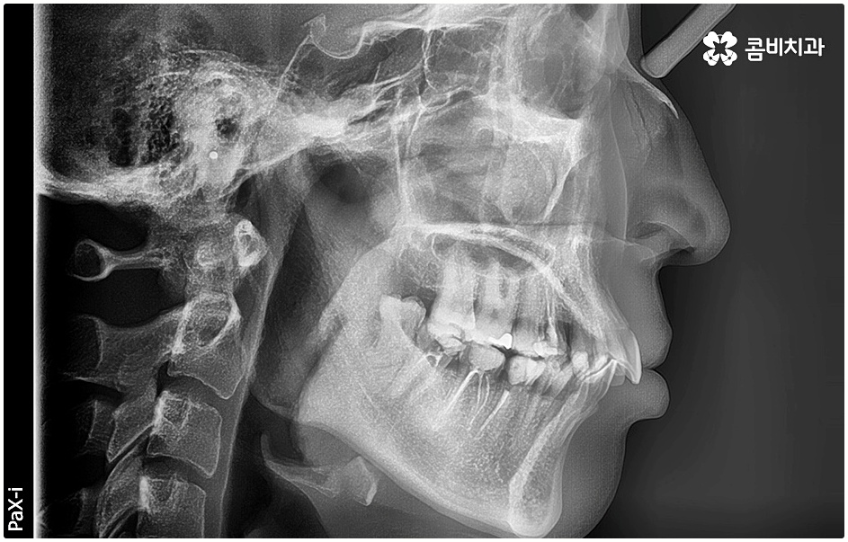
돌출입에는 두 가지 경우가 있는데 먼저 치아들의 각도가 앞으로 뻗어서 돌출되는 경우와 골격 구조상 튀어나온 경우 (즉, 치아를 잡아주는 상악 치조골, 잇몸 자체가 돌출된 경우 또는 하악 턱이 뒤로 후퇴한 경우) 이렇게 나눌 수 있으며 정확한 원인을 파악하는 것이 중요하기 때문에 꼼꼼한 검진 및 면밀한 상담이 우선시 될 필요가 있어요.
치료를 위해서는 입을 안쪽으로 넣기 위한 공간을 확보해야 하므로 보통 위아래 소구치 총 4개의 치아를 발치하여 그 공간을 활용해 튀어나온 치아와 잇몸을 전체적으로 뒤로 이동시키는 방법을 사용하나 최근에는 미니스크류, 치간 삭제 등의 방법을 이용하여 비발치 교정을 진행하기도 하니 먼저 자신의 상황을 꼼꼼하게 살펴보고 부정 교합의 원인과 정도부터 정확하게 파악하는 것이 필요한 거에요.
또한 골격성으로 유발된 문제의 경우 치료가 끝나고 사후 관리를 제대로 하지 않으면 다시 원래대로 돌아가려는 힘이 강하니 주기적으로 체크를 하면서 교정 유지장치를 일정 시간 이상 꼭 착용하시는 것을 권유드리며 탈착식 외에 치아 뒷면에 얇게 부착하는 방식의 유지 장치도 있으니 담당의 선생님께 문의해 보시고 각자에게 맞는 것으로 사후 관리를 철저하게 해 주시길 바라고 있습니다.
본 글은 콤비치과의 의료광고 포스팅이며 개인에 따라 출혈 및 부작용이 발생할 수 있고,
환자마다 치료 결과 및 기간이 상이할 수 있습니다.
더 보기
이 병원의 공개 콘텐츠를 계속 살펴보세요
출처 아카이브로 돌아가 더 많은 글을 보거나, 병원 프로필로 이동해 다른 공개 채널도 함께 비교해보세요.