명동콤비치과의원 (명동)
치아 사이 충치 어떻게 하나요
충치는 치주염과 더불어 가장 대표적인 구강 질환으로 남녀노소 불문하고 한 번쯤은 앓아보셨을 법한데요, 보통 유치는 영구치에 비해 충치가 잘 생기기 때문에 어릴 때는 단 음식물을 섭취하여 생기는 것이 대부분인 반면 성인의 경우 관리의 소홀이나 치아 구조 문제 때문에 생기므로 주의하실 필요가 있습니다. 성인 충치의...
아카이브 요약
이 페이지의 역할
명동콤비치과의원 (명동)의 네이버 블로그 원문을 보존한 아카이브 페이지입니다. 치아스토리♡ 카테고리의 치아 사이 충치 어떻게 하나요 글을 통해 병원의 한국어 정보 제공 방식과 진료 관련 안내 톤을 확인할 수 있습니다.
충치는 치주염과 더불어 가장 대표적인 구강 질환으로 남녀노소 불문하고 한 번쯤은 앓아보셨을 법한데요, 보통 유치는 영구치에 비해 충치가 잘 생기기 때문에 어릴 때는 단 음식물을 섭취하여 생기는 것이 대부분인 반면 성인의 경우 관리의 소홀이나 치아 구조 문제 때문에 생기므로 주의하실 필요가 있습니다.
성인 충치의 원인이 되는 것들로는 오래된 보철물 속에 2차 감염이 일어나 숨어있는 상태로 진행이 되는 경우, 치아와 치아 틈 사이에 인접면 충치가 생긴 경우, 자연스러운 노화로 잇몸이 내려가거나 치열이 삐뚤어지면서 손상이 일어나는 경우 등을 들 수 있는데요.
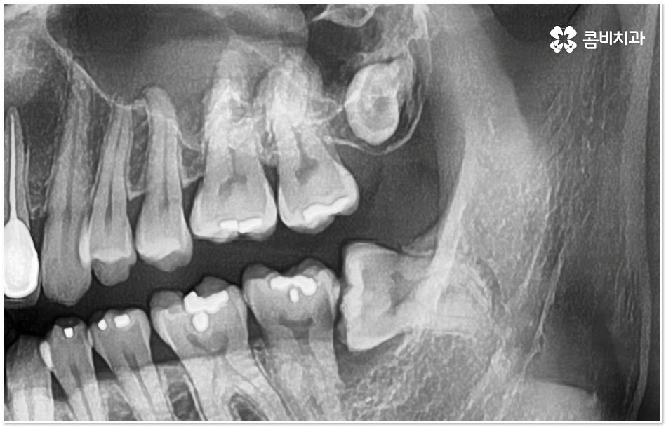
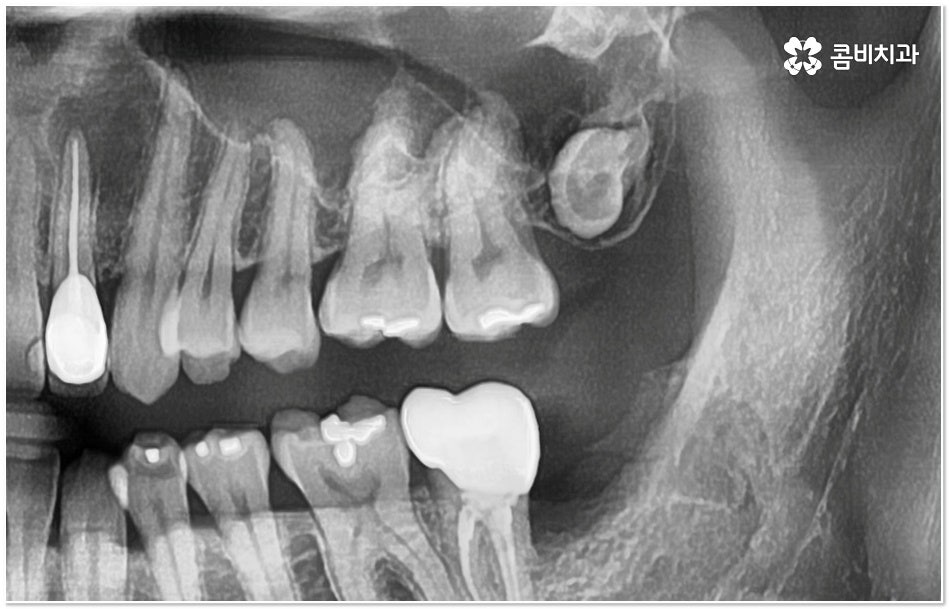
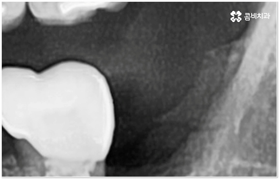
특히 그 중에서도 사랑니와 어금니 사이에 생긴 치아 사이 충치 는 구강 내 가장 안 쪽에 있기 때문에 제 때 발견하기도 어렵고 위치상 치료하기가 쉽지 않아서 병증의 진행 여부 및 상황에 따라 사랑니 뿐만 아니라 어금니까지 발치를 해야 하는 안타까운 상황에 이를 수도 있으니 그 전에 알맞은 대처를 해 주시는 것이 필요할 거예요.


잘 아시다시피 우리의 치아는 영구치 이후 새롭게 나거나 교체가 되지 않고 또한 스스로 회복하는 능력을 가지고 있지 않기 때문에 보다 오랜 기간 동안 건강하게 사용하기 위해서는 평소에 신경 써서 청결하게 관리를 해주시는 것이 굉장히 중요한 포인트라고 할 수 있는데요.
그러나 아무리 평상시에 칫솔질을 잘 해 준다고 해도 음식물 찌꺼기와 치면 세균막인 치태가 엉겨붙어 딱딱하게 굳어버린 치석은 이러한 칫솔질 만으로는 제거가 되지 않기 때문에 이것이 치아와 치아 사이, 치아와 잇몸 사이에 자리를 잡아 점점 더 세균이 증식하는 온상이 되면 충치가 유발될 수 있어요.


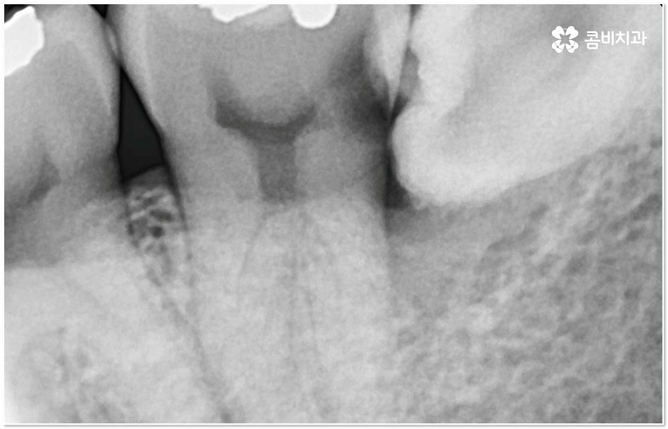
충치는 입 안에 남아있는 음식물 찌꺼기 속 당분을 세균이 먹는 과정에서 배출되는 산으로 인해 치아가 부식되어 생기는 질환으로 보통 치아가 맞물리는 교합 부위인 치아의 윗면, 즉 저작면에만 충치가 생긴다고 생각하기 쉽지만 치아와 치아 사이에 생기게 되는 경우도 종종 있으며 특히 사랑니와 어금니 사이에 치아 사이 충치 가 생기면 말씀드린 것처럼 발견 및 치료가 굉장히 까다로워 질 수 있는데요.
사랑니 같은 경우는 영구치 중에서 가장 마지막에 자라기 때문에 다른 치아와 턱 뼈에 밀려 비좁은 공간에 누운 채 자리를 잡거나 부분적으로만 나오는 등 비정상적으로 맹출될 가능성이 높은 치아인데, 그렇지 않아도 위치상 관리가 잘 되지 않는 곳에서 앞 어금니와의 사이에 작은 틈새가 생기게 되면 음식물이 더욱 잘 끼고 빠지지 않으므로 치아 사이 충치 가 쉽게 발생하게 되는 거예요.


사랑니와 어금니 인접면에 치아 사이 충치 가 발생할 경우 육안으로도 보기 힘들 뿐 아니라 엑스레이를 찍었을 때에도 쉽게 발견하기 힘들 수 있기 때문에 초기에 알아차리지 못하고 치료 시기를 놓치는 경우가 종종 생기며 손상 정도가 많이 심각하거나 위치상 사랑니 발치 후에도 뿌리 끝 염증이 매우 심하거나 치아 사이 충치 로 손상이 심해 치료가 불가능한 케이스의 경우 불가피하게 어금니까지 발치를 해야 할 수 있으므로 이와 같은 상황에 이르지 않도록 평상시에 정기 검진을 꼬박꼬박 받아주는 것이 조기 대처 및 예방 등에 있어 여러 모로 유리하다고 할 수 있습니다.
특히 사랑니가 나오는 시기인 10대 후반부터 20대 초반에 3D CT와 같은 정밀 진단 장비를 통해 사랑니 검진을 한 번 꼼꼼하게 받아보시고 구강 상태를 세세하게 파악한 뒤 비스듬하게 누워있거나 잇몸뼈 속에 매복이 되어 앞 어금니 및 전체 구강 건강에 좋지 않은 영향을 지속적으로 줄 수 있는 상황이라고 판단이 된다면 발치 계획을 세워서 미리 뽑아주는 것도 좋을 거예요.


발견과 치료가 까다로운 인접면 충치를 예방하기 위해서는 평상시에 치실과 치간 칫솔을 사용하여 꼼꼼하게 칫솔질을 해 주고 1년에 한 번 또는 두 번 정도 검진 시기에 맞춰 스케일링 처치를 받아주시는 것을 권유 드리고 있어요.
또한 치아와 잇몸, 보철물에 무리를 줄 수 있는 습관을 가지고 있는 분들, 즉 지나치게 딱딱한 음식을 자주 씹거나 뜨거운 국물을 마시는 것을 즐기는 분들은 이를 조금씩 줄여나가면서 더욱 구강 관리에 신경써 주시길 바라고 있습니다.
본 글은 콤비치과의 의료광고 포스팅이며
개인에 따라 출혈 및 부작용이 발생할 수 있고,
환자마다 치료 결과 및 기간이 상이할 수 있습니다.
더 보기
이 병원의 공개 콘텐츠를 계속 살펴보세요
출처 아카이브로 돌아가 더 많은 글을 보거나, 병원 프로필로 이동해 다른 공개 채널도 함께 비교해보세요.