아카이브 요약
이 페이지의 역할
명동콤비치과의원의 네이버 블로그 원문을 보존한 아카이브 페이지입니다. 치아스토리♡ 카테고리의 명동치과 평소에 케어하기 글을 통해 병원의 한국어 정보 제공 방식과 진료 관련 안내 톤을 확인할 수 있습니다.
원문 검증
필요하면 원문 블로그와 병원 프로필로 바로 이동해 문맥을 다시 확인할 수 있습니다.
출처 아카이브 열기아카이브된 블로그 글
명동콤비치과의원 · Naver Blog
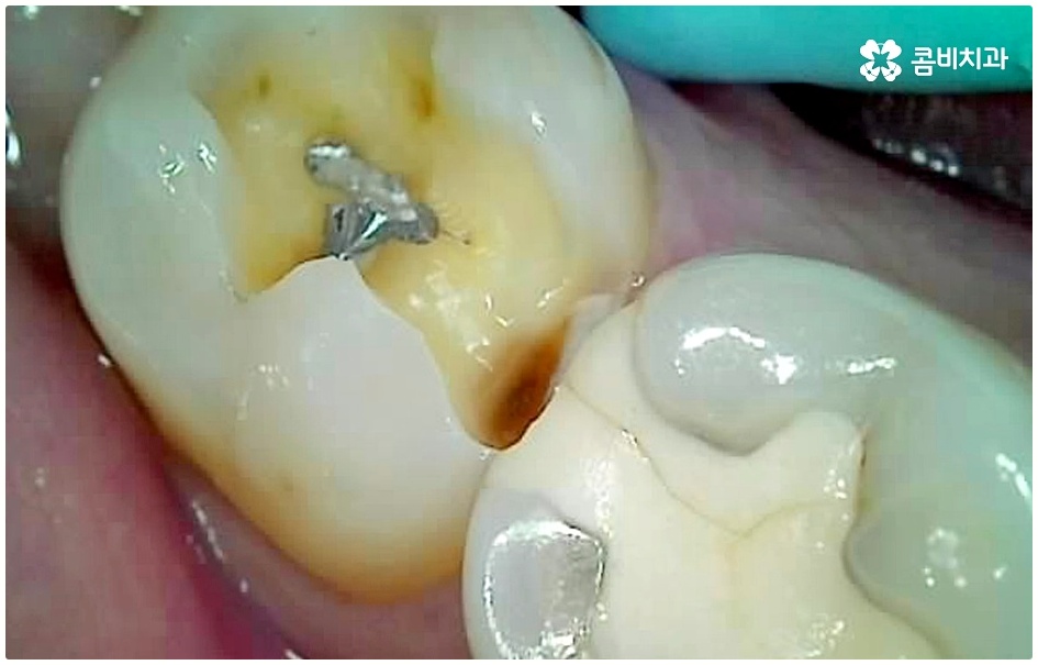
충치는 보통 구강 내 세균이 치아 표면에 남은 음식물 찌꺼기 속 당류를 섭취하고 증식하는 과정에서 만들어 내는 유기산에 의해 치아가 부식되는 구강 질환으로, 흔히 치아가 썩는다고 표현하고 있는데요. 칼로리는 낮으면서 단맛을 내는 대체감미료나 인공감미료 역시 많은 양을 섭취하게 되면 충치균의 먹이가 돼 이를 썩게 하고...
게시일
2022년 3월 23일
원문 기준으로 확인된 발행일입니다.
카테고리
치아스토리♡
원문 블로그 카테고리를 정리해 함께 표시합니다.
이미지 수
10
현재 아카이브에 연결된 이미지 수입니다.
아카이브 요약
명동콤비치과의원의 네이버 블로그 원문을 보존한 아카이브 페이지입니다. 치아스토리♡ 카테고리의 명동치과 평소에 케어하기 글을 통해 병원의 한국어 정보 제공 방식과 진료 관련 안내 톤을 확인할 수 있습니다.
원문 검증
필요하면 원문 블로그와 병원 프로필로 바로 이동해 문맥을 다시 확인할 수 있습니다.
출처 아카이브 열기충치는 보통 구강 내 세균이 치아 표면에 남은 음식물 찌꺼기 속 당류를 섭취하고 증식하는 과정에서 만들어 내는 유기산에 의해 치아가 부식되는 구강 질환으로, 흔히 치아가 썩는다고 표현하고 있는데요. 칼로리는 낮으면서 단맛을 내는 대체감미료나 인공감미료 역시 많은 양을 섭취하게 되면 충치균의 먹이가 돼 이를 썩게 하고 구강 내부를 산성으로 만들어 세균이 번식하기 쉬운 환경으로 바꾸기 때문에 주의하실 필요가 있어요.



또한 건강을 위해 고혈압 및 심혈관 질환 등을 유발하고 체중 증가의 원인이 될 수 있는 나트륨의 함량을 낮춘 저염·무염식이 무조건 좋다고 생각하시는 분들도 있을 것이나 체내 수분을 조절하는 나트륨 농도가 지나치게 낮아지면 구강 건조를 유발할 수 있으며, 이와 같이 침 분비가 줄어들면 입 속 세균이 더 잘 번식하고 음식물 찌꺼기도 덜 씻겨 내려가 충치가 생기기 쉬운 환경이 만들어지니 소금 섭취 적정량을 지킬 것을 권유드리고 있습니다.



식습관보다 중요한 것은 이후 관리라고 할 수 있는데요. 칫솔질을 할 때 치실을 사용하여 치아 사이사이 부산물이 남지 않도록 꼼꼼하게 제거해 주시는 것이 필요하고 외부에서 식사 후 또는 커피나 간식 등을 먹은 다음에 양치질을 바로 하기가 어려운 상황이라면 음식물 찌꺼기가 잔류하지 않고 입 속이 산성화되는 것을 방지하기 위해 물로 충분히 헹궈주는 것이 도움이 될 거예요.
충치가 심해지면 치아가 부서지기도 하고 치수 내부까지 감염되면 극심한 동통을 일으키는 치수염으로 진행되기도 하기 때문에 그 전에 명동치과 치료를 해 주실 필요가 있어요. 충치는 하루 아침에 갑자기 상태가 나빠진다기 보다는 세균이 안쪽으로 침투하면서 손상이 단계적으로 심해지는 구강 질환이기 때문에 쑤시거나 시큰거리는 증상이 느껴지면 초기에 바로 명동치과 로 내원하셔서 검진 및 치료를 받는 것이 중요하다고 할 수 있는데요.
이 때 교합면, 즉 치아의 씹는 면이 아닌 치아 사이 충치가 생겼다면 쉽게 발견하기도 어렵고 치료를 위한 접근 역시 까다롭기 때문에 주의하실 필요가 있습니다. 물론 가장 흔하게 발생하는 것은 넓고 홈이 파여 있으며 직접 음식물을 저작하는 교합면에 생기는 충치일 것이나 음식물 찌꺼기가 끼기 쉽고 세균이 서식하기도 쉬우며 양치질을 하더라도 칫솔모가 잘 닿지 않기 때문에 관리가 어려운 치아 사이 좁은 틈새에도 역시 충치가 잘 생길 수 있는 거예요.


치아 사이 충치는 치아끼리 맞닿아 있는 부분이라 노출이 잘 되지 않기 때문에 육안으로 식별이 어려운 경우가 많은데, 만약 눈으로 확인될 정도라면 질환이 이미 많이 진행한 상태이므로 명동치과 에서 빠른 치료를 받아주실 필요가 있어요.
치아의 구조를 살펴보면 겉표면인 단단한 법랑질은 교합면에서 가장 두껍고 잇몸쪽으로 갈수록 얇아지기 때문에 치아 사이의 인접면은 치아의 신경과 한층 가까워서 충치가 조금만 진행되어도 신경치료를 받아야 할 수 있으며 인접면 충치가 심하여 레진이나 인레이 수복으로 치아의 외형을 재현하기 어려운 경우에는 치아 전체를 다듬어 씌우는 명동치과 크라운 치료를 해줘야 하니 부담이 커지기 전에 치료 시기를 놓치지 않도록 주의하시는 게 좋을 거예요.


인접면 충치는 일반적으로 양치를 꼼꼼히 하기 어려운 아동에게 많이 발생하지만, 식습관이나 구강위생 관리 소홀 등을 이유로 성인에게도 빈번히 발생하는 질환이며 발견과 치료에 있어 일반적인 충치보다 어려움이 크기 때문에 주기적인 명동치과 검진 및 스케일링 처치, 그리고 치실 사용 등 꼼꼼한 양치질 등을 통해 초기 대처 및 예방을 해주는 것이 매우 중요하다고 할 수 있습니다.
본 글은 콤비치과의 의료광고 포스팅이며
개인에 따라 출혈 및 부작용이 발생할 수 있고,
환자마다 치료 결과 및 기간이 상이할 수 있습니다.