명동콤비치과의원 (명동)
덧니치아교정 고려할 사항들은
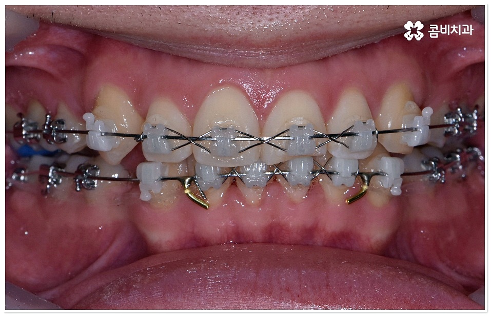
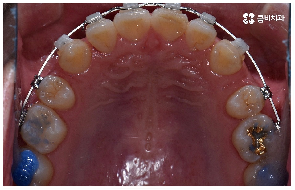
대인 관계에 있어서 첫인상은 굉장히 중요하기 때문에 정갈한 외모는 긍정적인 이미지를 형성하는데 도움이 될 수 있습니다. 특히 환하고 밝은 미소를 가지고 있으면 호감도를 높일 수 있는 반면 치열이 고르지 못하거나 덧니, 주걱턱 등을 가지고 있으면 단정하지 못하고 화가 난 듯한 인상을 줄 수 있어 교정을 고민이신...
아카이브 요약
이 페이지의 역할
명동콤비치과의원 (명동)의 네이버 블로그 원문을 보존한 아카이브 페이지입니다. 치아스토리♡ 카테고리의 덧니치아교정 고려할 사항들은 글을 통해 병원의 한국어 정보 제공 방식과 진료 관련 안내 톤을 확인할 수 있습니다.
대인 관계에 있어서 첫인상은 굉장히 중요하기 때문에 정갈한 외모는 긍정적인 이미지를 형성하는데 도움이 될 수 있습니다. 특히 환하고 밝은 미소를 가지고 있으면 호감도를 높일 수 있는 반면 치열이 고르지 못하거나 덧니, 주걱턱 등을 가지고 있으면 단정하지 못하고 화가 난 듯한 인상을 줄 수 있어 교정을 고민이신 분들이 있을 거예요. 게다가 부정교합이나 불규칙한 치열을 가지고 있으면 스스로 내적인 자신감이 떨어지거나 위축감을 느끼게 되고 마치 콤플렉스처럼 습관적으로 손으로 입을 가리는 버릇을 갖게 될 수도 있는데요.
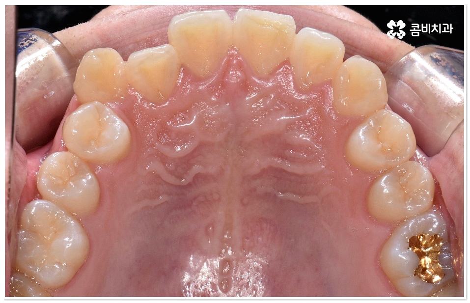
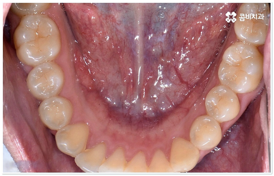
심리적, 심미적으로 좋지 않은 영향을 줄 뿐 아니라 치아의 기본적인 저작 역할 및 정확한 발음을 하는데도 기능적으로 문제를 일으킬 수 있기 때문에 아마도 많은 분들이 치아 배열과 교합을 정상적인 상태로 바꾸고자 한번쯤 교정 치료에 대해서 생각해 보셨을 거예요. 특히 부정교합이나 불규칙한 치열은 턱관절에도 좋지 않은 영향을 줄 수 있고 고르지 못한 치아 사이 사이에 음식물 찌꺼기가 끼게 되면 제거가 어려워 충치, 잇몸 염증 등 구강 질환의 원인이 될 수도 있기 때문에 덧니치아교정 등의 치료로 개선해 주실 필요가 있습니다.


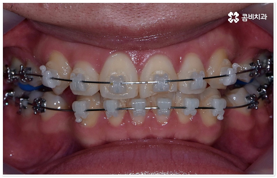
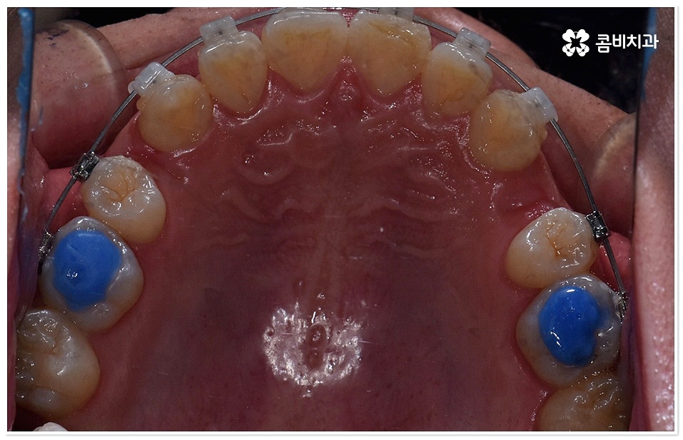
하지만 막상 덧니치아교정 을 받고 싶어도 실제로 시작하기까지 여러 가지 망설여지는 포인트가 있으실 거예요. 그 중에서도 겉으로 드러나는 장치 때문에 부담을 느끼시는 분들이 있을 수 있는데 최근에는 관련 의료 기술이 발전하면서 교정 장치가 눈에 덜 띄도록 하는 방법과 장치들이 나와 환자분들이 느끼시는 심미적인 부담을 줄여주고 있으니 먼저 검진 및 상담부터 받아보시길 권유드리고 있어요. 특히 교정치료 기간 동안 스스로 탈착이 가능한 투명교정 등 환자의 상태에 맞춘 다양한 방법을 알아볼 수 있으니 숙련된 의사선생님과 충분히 상담한 후 자신에게 적합한 계획을 세우실 필요가 있어요.



또한 통상적으로 1년 반에서 2년 반 정도 걸리는 비교적 긴 기간 동안 치료를 받아야 하는 상황에 대해서 고민하시는 분들도 있을 수 있는데 이 역시도 환자분들마다 상황이 다 다르기 때문에 먼저 정확한 검진부터 받아보시면 좋을 거예요.
교정 치료란 특수한 장치를 이용해 치아를 원하는 방향으로 이동시켜 치아 배열과 교합을 올바르게 개선해 주는 과정으로 각자의 구강 구조가 다 다르기 때문에 정밀 검사를 통해 환자분들 각각의 치아 모양과 각도, 위치, 교합 뿐 아니라 잇몸 건강 상태 및 상악과 하악의 관계와 같은 구강 내 상황과 함께 입술, 전체 안모 등 대칭과 균형의 측면에서 모든 부분을 다각적이고 입체적으로 분석한 후 세밀한 맞춤 계획을 수립하는 것이 중요할 수 있는데요.
그러므로 3D CT와 같은 정밀 검진 장비와 3D 모르페우스와 같은 시스템을 갖추고 다양한 경험과 노하우를 바탕으로 정확한 진단 및 섬세한 플랜을 세울 수 있는 치과를 잘 알아보고 덧니치아교정 치료를 진행하실 필요가 있어요.



덧니치아교정 치료를 받으시는 분들 중에서 혹시 통증이 있어야 치아 이동이 좀 더 잘 되는 것이 아닌가 문의를 주시는 분들이 있는데, 통증이 없더라도 치아에 일정한 힘이 계속해서 작용하기 때문에 담당 의사의 치료 계획에 맞춰 치아는 지속적으로 이동하며, 통증이 있어야만 치아가 잘 이동하는 것은 아니고 오히려 치아에 일정 수준 이상의 무리한 힘으로 이동시킬 경우 부작용이 발생할 수 있기 때문에 주의하실 필요가 있습니다. 치아가 이동하는 원리를 살펴보면 교정 치료 중 일정 방향으로 치아에 힘이 가해지면서 치아를 감싸고 있는 치주인대가 일시적으로 늘어나 해당 부위의 잇몸뼈가 흡수되고 반대쪽으로 새롭게 잇몸뼈가 생성되는 생물학적인 대사 과정을 통해 치아가 움직이는 것을 알 수 있는데, 이렇게 조금씩 치열을 바로잡아 나가는 과정 중에 환자분들의 다양한 상황이 회복력에 영향을 주게 되기 때문에 전체 교정 기간은 저마다 차이가 나게 되는 거예요.
이때 정상적인 교정력으로 치아를 이동해도 통증은 발생할 수 있지만(느껴지는 통증의 정도와 기간은 개인차가 있습니다.), 치료 기간을 단축하고자 억지로 치아에 무리한 압력을 가하면 필요 이상의 불필요한 통증이 생길 수 있고, 덧니치아교정 결과 역시 혹시 모를 부작용인 옥니, 치근 흡수 등이 생겨 만족도가 떨어질 수 있기 때문에 필요한 치료 기간 내에 무리가 가지 않도록 진행을 하는 것이 중요한 포인트라고 할 수 있는데요. 이를 위해 의료진과 경과 상황에 대한 지속적인 소통을 이어나가는 것이 도움이 될 수 있습니다.


교정은 또한 전체 과정 못지 않게 사후 관리가 중요한 치료라고 할 수 있어요. 교정 과정이 모두 끝난 다음 사후 유지 장치 착용을 소홀히 하면 원래 상태로 되돌아 가려고 하는 치주인대의 특성 때문에 치열이 다시 무너질 수 있으므로 보다 안정적인 덧니치아교정 치료 결과를 위해 사후 관리 역시 신경써서 해 주셔야 하는데 이 과정에서 처음부터 끝까지 책임있게 진료에 임하는 체계적인 케어 시스템을 갖춘 치과의 도움을 받으면 좋을 거예요.
본 글은 콤비치과의 의료광고 포스팅이며
개인에 따라 출혈 및 부작용이 발생할 수 있고,
환자마다 치료 결과 및 기간이 상이할 수 있습니다.
더 보기
이 병원의 공개 콘텐츠를 계속 살펴보세요
출처 아카이브로 돌아가 더 많은 글을 보거나, 병원 프로필로 이동해 다른 공개 채널도 함께 비교해보세요.