아카이브 요약
이 페이지의 역할
명동콤비치과의원의 네이버 블로그 원문을 보존한 아카이브 페이지입니다. 치아스토리♡ 카테고리의 어금니 충치치료 빠를수록 좋아요 글을 통해 병원의 한국어 정보 제공 방식과 진료 관련 안내 톤을 확인할 수 있습니다.
원문 검증
필요하면 원문 블로그와 병원 프로필로 바로 이동해 문맥을 다시 확인할 수 있습니다.
출처 아카이브 열기아카이브된 블로그 글
명동콤비치과의원 · Naver Blog
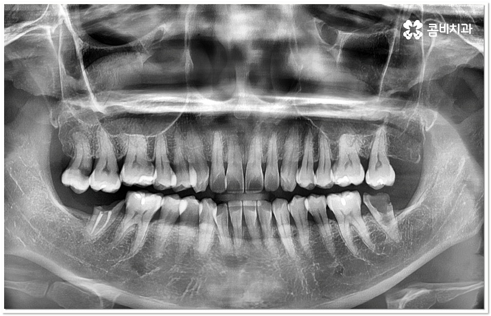
충치는 많은 분들이 살면서 한번쯤 앓는 대표적인 구강 질환 중 하나로, 원래 명칭은 치아우식증이지만 까맣게 변하는 모습이 마치 벌레먹은 것과 같다고 해서 충치라고 불리고 있습니다. 충치는 충치균이 구강 내 잔여 음식물 속 당분을 먹고 증식하면서 분출하는 산으로 인해 치아 겉면부터 부식이 이루어지고 점점 안쪽...
게시일
2022년 4월 19일
원문 기준으로 확인된 발행일입니다.
카테고리
치아스토리♡
원문 블로그 카테고리를 정리해 함께 표시합니다.
이미지 수
9
현재 아카이브에 연결된 이미지 수입니다.
아카이브 요약
명동콤비치과의원의 네이버 블로그 원문을 보존한 아카이브 페이지입니다. 치아스토리♡ 카테고리의 어금니 충치치료 빠를수록 좋아요 글을 통해 병원의 한국어 정보 제공 방식과 진료 관련 안내 톤을 확인할 수 있습니다.
원문 검증
필요하면 원문 블로그와 병원 프로필로 바로 이동해 문맥을 다시 확인할 수 있습니다.
출처 아카이브 열기충치는 많은 분들이 살면서 한번쯤 앓는 대표적인 구강 질환 중 하나로, 원래 명칭은 치아우식증이지만 까맣게 변하는 모습이 마치 벌레먹은 것과 같다고 해서 충치라고 불리고 있습니다. 충치는 충치균이 구강 내 잔여 음식물 속 당분을 먹고 증식하면서 분출하는 산으로 인해 치아 겉면부터 부식이 이루어지고 점점 안쪽으로 손상이 진행되면서 생기는 거예요.
치아는 한번 손상이 일어나면 자연 회복되지 않으며 구조상 안쪽 조직이 더 무르기 때문에 충치균이 깊이 침투할수록 병증이 더 빨리 악화되는 경향을 보이고 있는데요. 그러므로 충치가 생겼을 때 초기에 치과로 내원하셔서 어금니 충치치료 와 같이 제대로 된 대처를 하는 것이 굉장히 중요하다고 할 수 있습니다.


충치 초기에는 손상이 크지 않고 대부분 겉면인 법랑질에 국한되는 경우가 많아 해당 부위를 깨끗하게 삭제한 후 레진으로 직접 때우는 방법을 통해 보다 빠르고 간편한 수복을 할 수 있어요. 그러나 충치가 더 진행되면 손상 부위가 넓고 깊어지기 때문에 레진 처치는 적합하지 않으므로 인레이나 온레이와 같이 보철물을 만들어 끼워주는 방법을 이용하고 있는데요. 특히 어금니는 씹는 힘을 많이 받는 치아이기 때문에 보통 인레이와 같이 내구성이 더 높은 어금니 충치치료 방법을 많이 쓰고 있어요.


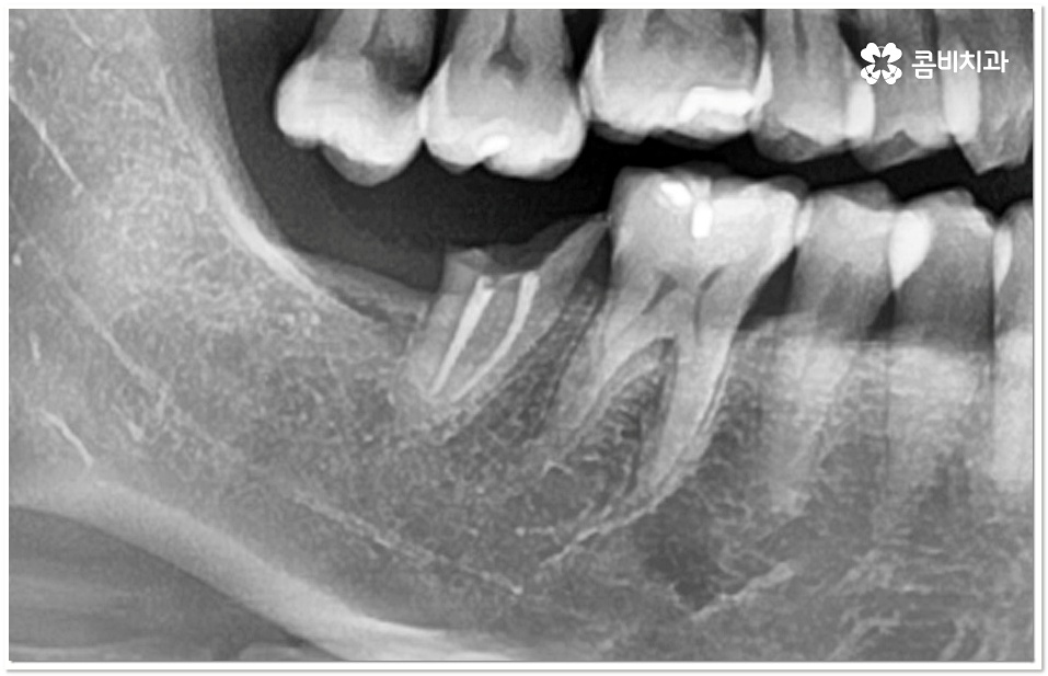
충치 초기라고 하더라도 만약 저작면이 아닌 인접면 충치가 생긴 경우에는 상황에 따라 레진 치료가 아닌 인레이 어금니 충치치료 방법을 쓸 수 있는데요. 이때 치아 옆면을 재건해야 하는 경우처럼 까다로운 케이스에 있어서는 더욱 세심한 주의력과 숙련된 노하우가 필요할 거예요.
특히 20살 전후로는 사랑니 때문에 인접면 충치가 자주 발생할 수 있으니 신경써 주시길 권유드리고 있는데요. 어금니 뒤쪽으로 사랑니가 나올 때 비정상적으로 맹출이 되어 비스듬한 각도로 어금니와의 사이에 좁은 틈새를 만들게 되면 음식물 찌꺼기가 잘 끼고 쉽게 빠지지 않아 더욱 충치나 잇몸 염증이 유발되기 쉬우니 신경써서 관리해 주시길 바라고 있어요.



이 단계도 지나 치수까지 세균이 침투하게 되면 신경이 변성되고 통증이 심해지기 때문에 신경치료를 통해 이를 제거하고 내부에 충전재를 채워 밀봉한 뒤 전체를 덮어씌우는 크라운 치료를 해 주는데, 이와 같은 보존적 어금니 충치치료 로 자연 치아를 발치하지 않고 내구성을 좀 더 늘릴 수 있습니다.
강도가 중요한 어금니 크라운 재질로 예전에는 금을 많이 사용했었지만 요즘은 자연스러운 심미성을 추구하는 추세라서 치아 색상의 지르코니아를 많이 사용하고 있는데요.
어금니 충치치료 후 신경이 제거된 치아는 추후 2차 감염이 일어나더라도 개인차가 있으나 통증을 느낄 수 없는 경우가 있고, 뿌리쪽에 염증이 생기거나 크라운 안쪽에서 2차 충치가 발생된 경우 육안으로 발견하기도 어렵기 때문에 치료 시기가 더욱 늦어질 수 있어요. 이런 상황에 대비하여 정기적으로 치과에 내원하여 정밀 검진 및 스케일링 처치를 받아주시면 예방과 관리가 한결 용이할 거예요.


특히 어금니는 위치상 평상시에도 음식물 찌꺼기가 고여 있기 쉬운 치아이므로 주변 잇몸이 붓고 피가 나는 증상을 자주 겪어본 분들이라면 치실이나 치간 칫솔 등을 이용하여 세심하게 칫솔질을 하고 주기적으로 치석을 제거하는 스케일링 치료를 꼭 받아주시길 권유드리고 있습니다.
보통 1년에 한 번 또는 두 번 정도 방문하는 것이 적당하지만 만약 충치가 자주 생기는 편이거나 어금니 충치치료 및 잇몸치료를 받은 후라면 조금 더 자주 검진 및 스케일링 치료를 받아주시길 권장하고 있어요. 초기 대처와 예방에 탁월한 스케일링은 1년에 한 번 건강 보험 혜택을 통해 더욱 합리적인 가격으로 이용해 보실 수 있으니 이에 대해서도 자세하게 알아보시고 도움받아 보시면 좋을 거예요.
본 글은 콤비치과의 의료광고 포스팅이며
개인에 따라 출혈 및 부작용이 발생할 수 있고,
환자마다 치료 결과 및 기간이 상이할 수 있습니다.