명동콤비치과의원 (명동)
앞니 돌출 어떻게 고치나요?
치열이 불규칙하여 기능적 심미적인 불편을 겪는 분들 중에 교정 치료를 고민하시는 분들이 많이 있습니다. 특히 앞니는 다른 치아보다 훨씬 외부에 잘 드러나므로 대화하거나 웃을 때 만약 앞니 사이가 벌어져 있거나 앞니 돌출 이 된 경우, 비틀어진 경우에는 신경이 많이 쓰일 수 있는데요. 하지만 막상 교정을 시작 하...
아카이브 요약
이 페이지의 역할
명동콤비치과의원 (명동)의 네이버 블로그 원문을 보존한 아카이브 페이지입니다. 치아스토리♡ 카테고리의 앞니 돌출 어떻게 고치나요? 글을 통해 병원의 한국어 정보 제공 방식과 진료 관련 안내 톤을 확인할 수 있습니다.
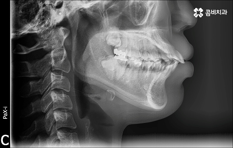
치열이 불규칙하여 기능적 심미적인 불편을 겪는 분들 중에 교정 치료를 고민하시는 분들이 많이 있습니다. 특히 앞니는 다른 치아보다 훨씬 외부에 잘 드러나므로 대화하거나 웃을 때 만약 앞니 사이가 벌어져 있거나 앞니 돌출 이 된 경우, 비틀어진 경우에는 신경이 많이 쓰일 수 있는데요. 하지만 막상 교정을 시작 하려고 하면 기간이 오래 걸리는 것 때문에 또는 치료 과정 자체에 부담을 느껴서 망설이시는 분들도 있을 수 있어요. 이때 앞니 외 다른 치아 배열 또는 위아래 교합에는 별다른 이상이 없다면 문제가 있는 앞니만 부분교정으로 치료할 수 있으니 이에 대해서 한 번 알아보시면 도움이 되실 거예요.


부분교정은 짧은 기간에 모든 치아가 아닌 특정 치아만 집중적으로 교정하는 것으로, 예를 들어 앞니 돌출 을 개선하기 위해 앞니와 그 옆의 치아까지 6~8개의 치아에만 브라켓을 장착하여 교정 치료를 하는 것을 의미하고 있어요. 비교적 간단한 과정이라고 생각하실 수 있으나 다른 치아에는 영향을 주지 않으면서 주변 치아와 앞니의 이동량을 고려하여 교합을 세밀하게 조정하고 전체 균형을 맞춰나가야 하는 만큼 의료진의 높은 숙련도가 필요한 과정이라고 할 수 있는데요.
상황에 따라 다르지만 전체 교정이 통상적으로 1년에서 2년 반 정도의 기간이 걸리는 데 반해서 앞니 돌출 부분교정은 3~6개월 정도의 짧은 기간이 소요되며 발치에 대한 걱정이나 비용에 대한 부담도 줄여주기 때문에 많은 분들이 가능하다면 부분 교정 치료를 받고 싶으실 수 있어요. 하지만 누구나 부분 교정 치료가 가능한 것은 아니며 앞니 돌출 원인과 현상에 대한 꼼꼼한 분석을 통해 가능한지 여부, 치료 시기, 방법 등이 모두 달라지기 때문에 먼저 정확한 검진 및 충분한 상담부터 진행해 보시는 것을 추천드리고 있습니다. 또한 환자 개개인의 상황을 정확하게 검진하고 맞춤 플랜을 세울 수 있는 정밀 장비와 꼼꼼한 사후관리 시스템을 갖추고 있는 치과에서 무리하지 않게 치료 받는 게 중요하다는 점을 명심하시길 바라고 있어요.




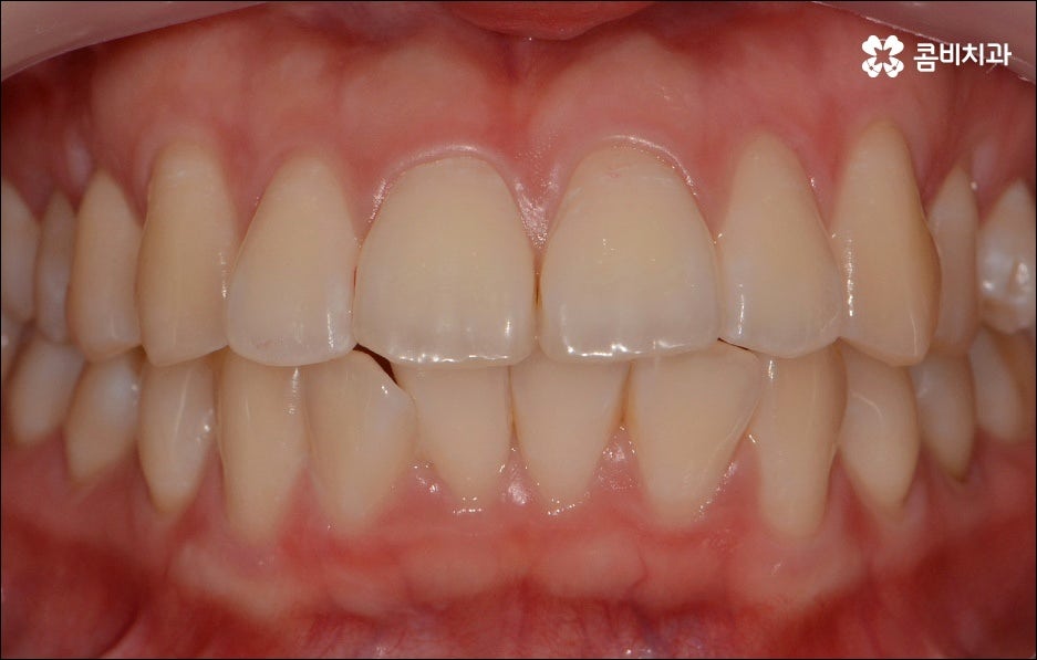
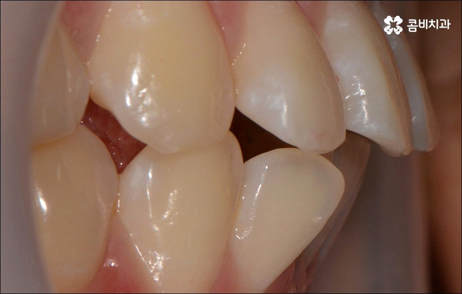
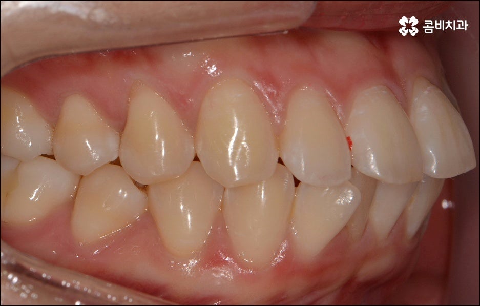
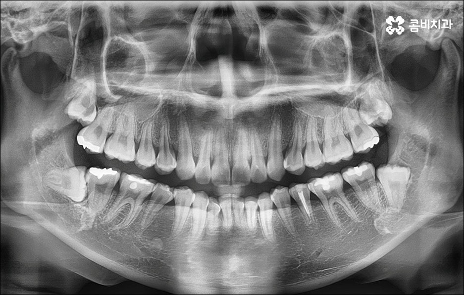
앞니가 튀어나오는 원인은 무엇일까요? 앞니 돌출 의 원인은 치아 크기가 큰 데 반해서 골격이 많이 작거나 상하악골 크기 차이가 많이 나는 것처럼 유전적인 요소에 기인하는 경우가 많으나 후천적인 생활 습관으로 인해서 발생하고 강화될 수도 있기 때문에 주의하실 필요가 있어요. 예를 들어 어릴 때 부터 손톱을 물어뜯거나 손가락을 자주 빠는 습관, 혀로 앞니를 밀면서 빼물곤 하는 습관을 가지고 있었다면 이로 인해 앞니가 튀어나올 수도 있는 거예요. 또한 축농증, 비염 등의 질환으로 인해 구호흡을 하게 되었다면 이것이 원인으로 작용할 수도 있으니 필요하다면 이비인후과와 협진을 하는 등 원인파악과 개선을 전반적으로 함께하시길 권유드리고 있어요.


만약에 앞니 돌출 이 각도만의 문제라면 이를 교정하기 위한 치료는 좀 더 간단하게 끝날 수 있습니다. 말씀드렸던 것처럼 상황에 따라 보다 빠른 부분교정을 통해 앞니만 교정 치료를 진행할 수도 있을 거예요.
하지만 보통은 돌출된 앞니 뿐 만 아니라 골격적인 부분이 원인이 되는 경우가 많으며 이런 경우에는 상태에 맞게 전체적으로 교정을 진행하여야 교합이 올바르게 되고 입매가 전체적으로 균형감 있게 개선될 수 있어요. 이런 경우에 골격적인 원인을 무시한 채 무리하게 치아의 각도만 안쪽으로 넣으려고 하면 자칫 옥니가 될 수도 있기 때문에 이러한 부작용을 막기 위해서도 환자분들의 상황을 정확하게 검진하고 그에 맞는 교정 플랜을 세우는 것이 필요한 거예요. 물론 부정교합 정도가 심각하고 골격적인 원인이 이미 굳어진 경우와 같이 수술이 함께 필요한 케이스도 있을 수 있으나 교정 치료만으로도 튀어나온 앞니가 들어가면서 자연스럽고 부드러운 인상으로 바뀌는 경우도 많으니 먼저 검진과 상담부터 꼼꼼하게 진행해 보시길 권유드리고 있습니다. 특히 개개인의 치열, 교합, 잇몸 상태, 구강구조 등을 면밀하게 파악하고 그에 따른 정확한 치료 계획을 수립할 수 있는 경험 많은 의료진과 함께 하는 것이 중요할 수 있어요.



골격적인 부분이 원인이 되는 경우 치료 시기 역시 중요할 수 있는데요. 성장기가 끝나고 잇몸뼈가 굳어지기 전에 상악과 하악의 균형잡힌 발달을 유도하는 것이 필요하기 때문에 윗턱에 비해 아래턱이 많이 작다면 2차 성징이 나타나기 전에 치료를 시작하는 것이 좋을 거예요. 2차 성장 시기는 성별 (여자 아이가 남자 아이보다 빠름) 및 개인마다 차이가 나지만 보통 10~12세 사이이니 필요하다면 이때 아이와 함께 치과에 내원하시길 추천드리고 있는데요. 돌출입 구조에 있어서 유전의 영향은 30% 정도이니 만약에 부모님께서 상악골이 돌출된 부정교합을 가지고 있다면 더욱 관심을 가지고 아이의 치열을 관찰하셔서 치료 시기를 조율해 보시는 게 좋을 거예요. 또한 상황에 따라 교정 치료 전에 충치나 잇몸을 먼저 치료하는 과정이 필요할 수 있으니 시작 시기나 전체 기간, 방법 등 자세한 사항들에 대해서 면밀한 검진 후 충분하게 상담부터 받아 보시길 권유드리고 있습니다.
본 글은 콤비치과의 의료광고 포스팅이며
개인에 따라 출혈 및 부작용이 발생할 수 있고,
환자마다 치료 결과 및 기간이 상이할 수 있습니다.
더 보기
이 병원의 공개 콘텐츠를 계속 살펴보세요
출처 아카이브로 돌아가 더 많은 글을 보거나, 병원 프로필로 이동해 다른 공개 채널도 함께 비교해보세요.