명동콤비치과의원 (명동)
원데이임플란트 받고 싶으신가요?
우리는 일상 생활 속에서 밥을 먹거나 말을 할 때 늘 치아를 사용하고 있습니다. 이러한 치아에 문제가 생기면 큰 불편을 겪게 되기 때문에 구강 질환 또는 사고로 치아를 상실했을 때는 될 수 있는대로 빨리 그 기능상 심미상 공백을 메우기 위한 노력을 할 필요가 있어요. 물론 타고난 치아만큼 편안하게 사용하기는...
아카이브 요약
이 페이지의 역할
명동콤비치과의원 (명동)의 네이버 블로그 원문을 보존한 아카이브 페이지입니다. 치아스토리♡ 카테고리의 원데이임플란트 받고 싶으신가요? 글을 통해 병원의 한국어 정보 제공 방식과 진료 관련 안내 톤을 확인할 수 있습니다.
우리는 일상 생활 속에서 밥을 먹거나 말을 할 때 늘 치아를 사용하고 있습니다. 이러한 치아에 문제가 생기면 큰 불편을 겪게 되기 때문에 구강 질환 또는 사고로 치아를 상실했을 때는 될 수 있는대로 빨리 그 기능상 심미상 공백을 메우기 위한 노력을 할 필요가 있어요.
물론 타고난 치아만큼 편안하게 사용하기는 어려우므로 치아 상실에 이르기 전에 자연 치아를 살리는 방향으로 보존 치료를 해 주는 게 구강 건강을 유지하는데 보다 바람직한 방법이라고 할 수 있는데요. 하지만 이미 해당 치아가 치아로서의 기능을 상실했다면 발치하지 않고 그대로 둔다는 것이 더이상 의미가 없으며 오히려 시간이 지날수록 주변 치아나 잇몸까지 손상이 번질 수 있으니 상황에 따라 늦지 않게 올바른 대처를 해 줄 필요가 있어요


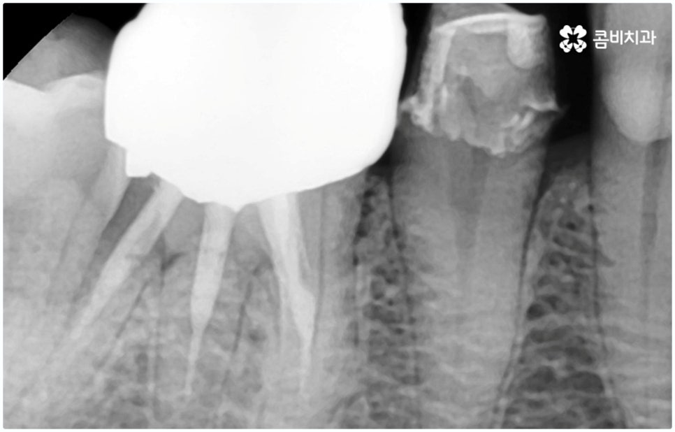
예를 들어 충치가 악화되어 세균이 치아 내부 치수 조직까지 침투한 경우 감염된 신경을 깨끗하게 제거하고 신경관 내부를 생체친화 충전재로 밀봉한 후 크라운으로 덮어 씌워주는 신경치료를 하게 되는데, 이때 감염 부위가 제대로 제거되지 않거나 2차 감염이 일어나 손상이 치아 뿌리까지 진행되면 자연 치아를 살리는 게 어려워 질 수 있습니다. 시기를 놓치면 재신경치료, 치근단 절제술 등의 보존 치료 역시 소용이 없어질 수 있으니 만약 신경 치료를 받은 치아가 있다면 더욱 신경써서 위생 관리에 주의하시고 검진을 통한 관리를 게을리 하지 않으시길 권유드리고 있어요.


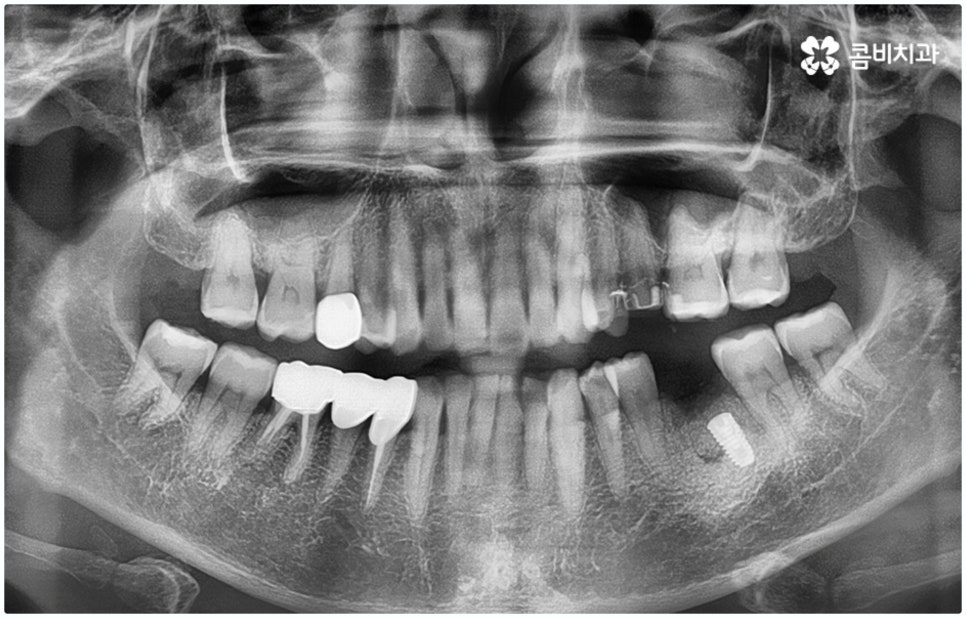
예전에는 치아를 상실했을 때 틀니도 많이 이용했지만 요즘은 임플란트 시술이 대세라고 할 수 있는데요. 치아 상실의 주된 원인은 아무래도 노화나 치주질환에 있기 때문에 ‘임플란트’하면 중장년층 이상 노년층과 연관지어 생각하시기 마련이지만 사실 젊은 분들도 얼마든지 충치가 심해지거나 예기치 못한 사고를 당하는 등의 이유로 치아를 상실할 수 있기 때문에 이러한 상황에 대비하여 임플란트 시술에 대해서 알아두시면 적합한 조치를 빠르게 할 수 있어 도움이 될 거예요.
잇몸이 건강하면 그만큼 회복 및 적응 과정이 빠를 수 있으며 임플란트 치아의 경우 사후 관리를 꼼꼼하게 해 준다면 거의 반영구적으로 사용할 수도 있기 때문에 두려움이나 고민으로 내원 시기를 늦추시는 것 보다는 손상이 생겼을 때 바로 치과에 가셔서 꼼꼼하게 검진 및 상담부터 받아보시는 것을 추천드리고 있어요.


20~30대 분들의 경우 바쁜 사회 생활과 활발한 대인 관계로 인해 시간을 오래 뺏기지 않고 수복할 수 있는 방법이 없는지 고민하실 수 있는데 이때 만약 환자분의 잇몸뼈 상태가 양호하다면 원데이임플란트 시술을 통해서 보다 조속한 회복을 할 수 있어요.
통상적으로 임플란트 시술 과정이 3~6개월 정도 소요되는데 반해 원데이임플란트 란 말 그대로 발치 후 식립 및 임시보철물까지 당일에 장착하는 방법이기 때문에 많은 분들이 선호하시고 있는데요. 하지만 누구나 원데이임플란트 치료가 가능한 것은 아니므로 검진부터 받아보셔야 할 거예요


임플란트 시술은 사람의 잇몸뼈와 잘 붙고 인체에 무해한 인공치근(픽스처)을 식립한 후 중간 연결 부분인 지대주와 치아 머리 부분인 크라운을 차례대로 연결하여 기능상 심미상으로 자연 치아를 대체해 주는 인공 치아 식립 방법으로 보통 픽스처를 심을 때 잇몸뼈와 제대로 유착되는 시간이 필요하기 때문에 중간에 일정 시간 회복기를 두고 진행하게 되어 있어요.
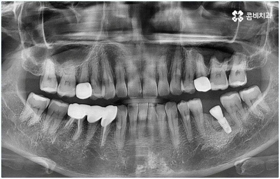
이때 환자분들의 상황에 따라 잇몸뼈가 충분하지 않다면 먼저 뼈이식을 통해 이를 단단하게 보충해 주기도 하고, 치주 질환의 치료가 필요하거나 상악동과의 거리가 너무 짧아 거상술이 필요한 경우 이를 선행하기도 하기 때문에 전체 기간은 개개인에 따라 달라질 수 있으며 특히 구강 상태나 연령에 따라 충분한 회복 및 적응 시간을 두지 않으면 식립 성공률이나 장기적인 지속성에 좋지 않은 영향을 줄 수 있으니 주의할 필요가 있습니다.
그렇기 때문에 무조건 보다 빠르고 간편하다고 해서 원데이임플란트 방법을 고집하기 보다는 개인 상태에 따라 필요한 과정을 세심하게 맞춤 진행할 수 있도록 경험이 풍부하고 노하우가 뛰어난 의료진에게 치료 받는 것이 중요한 거예요. 즉 3D CT 등 정밀 검진 장비를 이용하여 환자분들의 치아 및 잇몸 상태, 치아 배열과 교합상태, 주변 치아와의 관계 및 조화까지 꼼꼼하게 파악할 뿐 아니라 턱뼈, 혈관, 신경 등 구강 전체를 함께 분석한 후 체계적인 시술 계획을 세워 각자에 맞는 방법으로 무리하지 않게 수술을 진행할 수 있는 숙련된 의료진과 함께 하는 것이 무엇보다 중요하다고 할 수 있습니다.




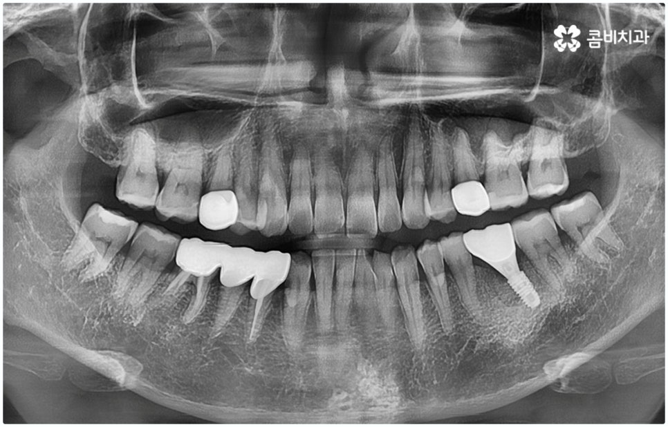
또한 잇몸 염증이 없고 치아를 상실한지 오랜 시간이 지나지 않아 남아있는 잇몸뼈가 충분한 분들의 경우와 같이 꼼꼼한 진단 이후 원데이임플란트 수술을 받은 경우라고 해도 사후에 꾸준히 관리해 주지 않으면 임플란트 보철 탈락 및 주위염과 같은 부작용이 생길 수 있으므로 임플란트 수명을 높이기 위해서 치과에서 알려드리는 주의사항을 잘 지키실 필요가 있어요. 또 너무 딱딱하거나 질긴 음식은 피하시고 주기적인 스케일링 치료 및 정기 점검을 받아서 유지 관리에 유념하실 필요가 있습니다
본 글은 콤비치과의 의료광고 포스팅이며
개인에 따라 출혈 및 부작용이 발생할 수 있고,
환자마다 치료 결과 및 기간이 상이할 수 있습니다.
더 보기
이 병원의 공개 콘텐츠를 계속 살펴보세요
출처 아카이브로 돌아가 더 많은 글을 보거나, 병원 프로필로 이동해 다른 공개 채널도 함께 비교해보세요.