명동콤비치과의원 (명동)
돌출입치아교정 언제가 적기인가요?
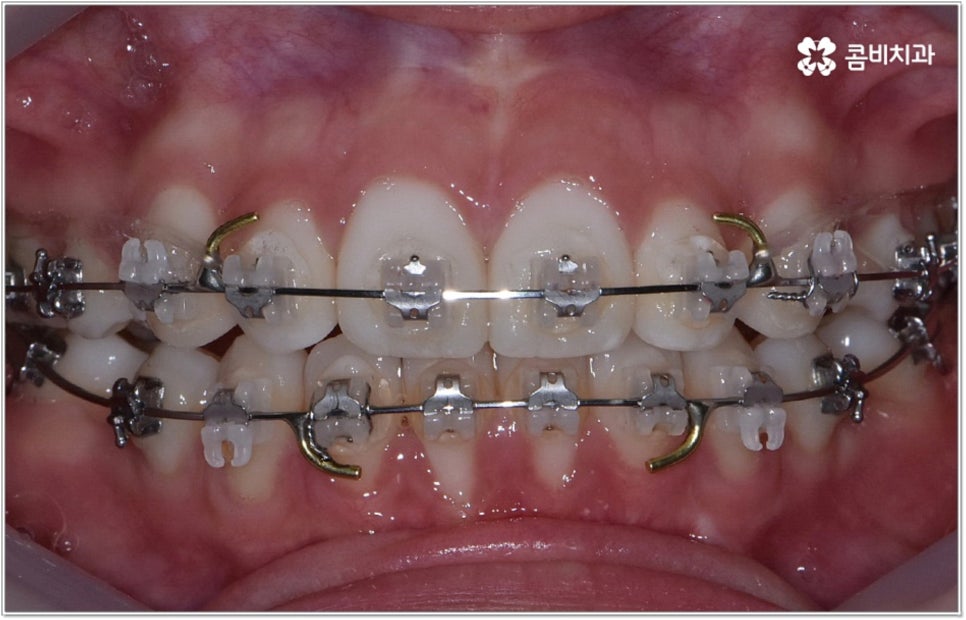
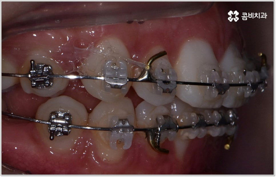
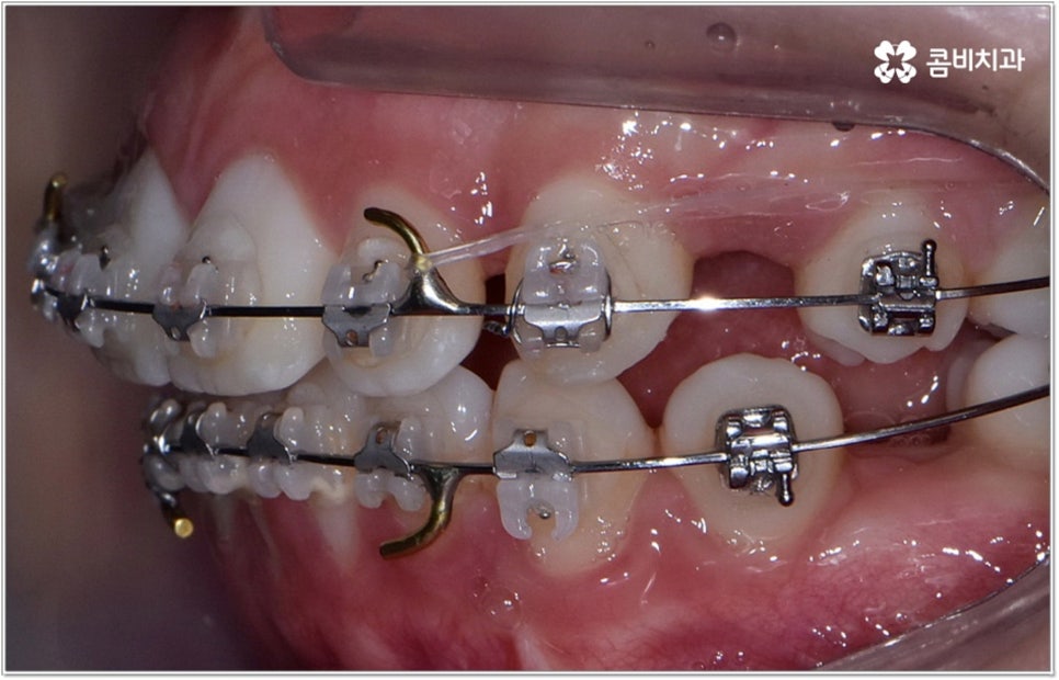
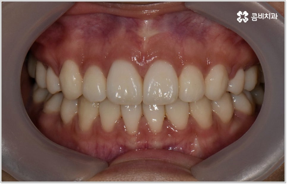
해마다 여름 방학 또는 겨울 방학 시즌이 되면 치아 교정 치료를 위해 아이와 함께 치과를 찾는 학부모님들이 증가하곤 하는데요, 이때 부정교합이 심각하지 않은 경우라면 왜 교정 치료를 받아야 하는지 환아가 납득하지 못하는 일도 종종 있어요. 예를 들어서 입이 조금 튀어나와 있을 때 통증이 있거나 크게 불편하지 않...
아카이브 요약
이 페이지의 역할
명동콤비치과의원 (명동)의 네이버 블로그 원문을 보존한 아카이브 페이지입니다. 치아스토리♡ 카테고리의 돌출입치아교정 언제가 적기인가요? 글을 통해 병원의 한국어 정보 제공 방식과 진료 관련 안내 톤을 확인할 수 있습니다.
해마다 여름 방학 또는 겨울 방학 시즌이 되면 치아 교정 치료를 위해 아이와 함께 치과를 찾는 학부모님들이 증가하곤 하는데요, 이때 부정교합이 심각하지 않은 경우라면 왜 교정 치료를 받아야 하는지 환아가 납득하지 못하는 일도 종종 있어요. 예를 들어서 입이 조금 튀어나와 있을 때 통증이 있거나 크게 불편하지 않고 보기에도 별로 문제가 되는 것 같지 않다면 왜 굳이 돌출입치아교정 과정을 통해 이를 치료해야 하는지 아이가 이해하지 못할 수도 있는 거예요.
이런 경우에 부모님과 담당의 선생님께서 사전 상담을 통해 돌출입치아교정 치료를 받게 될 당사자의 의문점들을 충분하게 해소해 준다면 아이가 스스로 필요성을 인지하여 짧지 않은 교정 기간 동안 좀 더 적극적인 마음으로 치료 과정에 임할 수 있습니다. 특히 돌출입과 같은 부정교합의 경우 환경적인 요인보다는 유전적인 영향이 크기 때문에 만약 부모님이 아이와 같은 치열을 가지고 있다면 자신의 경험에 대해서 알려주는 것이 도움이 될 수 있는데요. 살아오면서 기능적인 부분 그리고 심미적인 부분에서 겪었던 여러 가지 불편함 혹은 그로 인해 느끼게 된 위축감이나 스트레스 등에 대해서 모두 허심탄회하게 얘기해 준 후 아이가 교정 치료에 대해서 좀 더 숙고해 보고 스스로 선택을 내릴 수 있도록 한다면 억지로 진행하는 것 보다 훨씬 협조적인 과정이 될 수 있을 거예요.


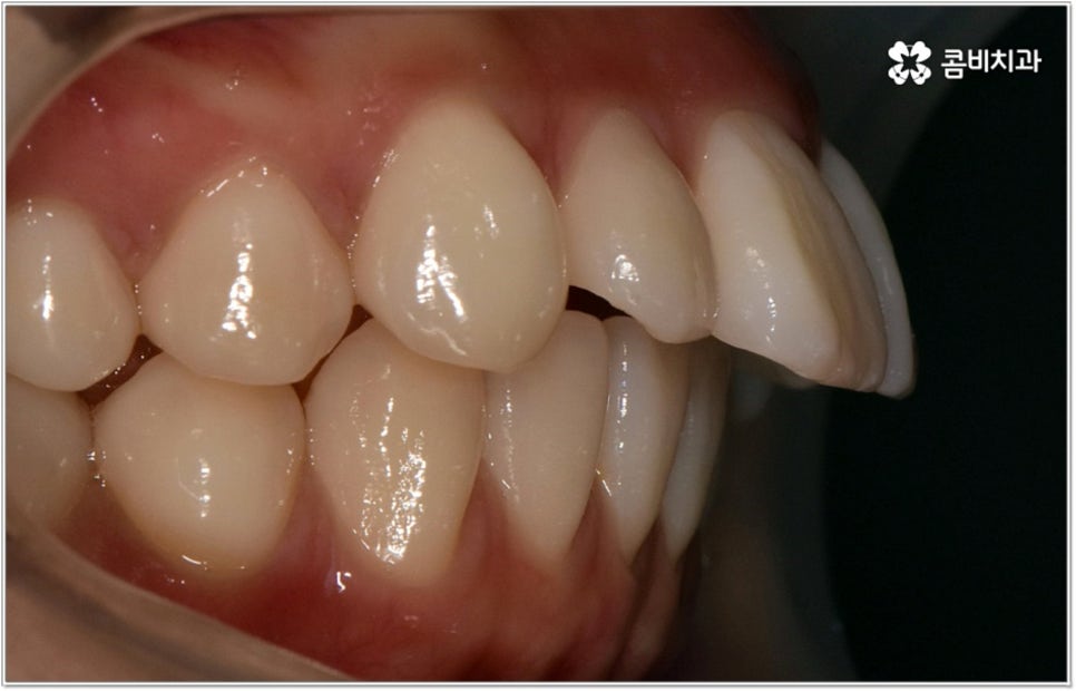
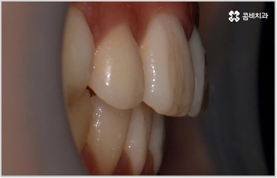
위아래 치열이 제대로 맞지 않으면 식사를 할 때 불편하고 발음이 샐 수 있습니다. 부정교합의 정도가 심하지 않아서 이러한 기능적인 문제가 당장은 크지 않다고 하더라도 성장을 하면서 잘못된 교합에 적응하고 악화되는 쪽으로 악관절이 발달한다면 불편함이 커지는 것은 물론 씹을 때 통증이 생기거나 안면비대칭 현상까지 초래할 수 있기 때문에 어릴 때부터 주의하는 것이 좋습니다
또한 치열이 불규칙하면 음식물 찌꺼기가 잔존하기 쉬워서 충치나 잇몸 염증이 발생할 확률도 높아지기 때문에 전체 구강 건강을 위해서도 부정교합을 개선해 주기 위한 교정 치료를 받는 것이 꼭 필요하다고 할 수 있어요.



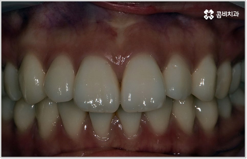
이러한 기능적인 부분 외에 심미적인 부분에서도 문제가 발생할 수 있는데요. 예를 들어 치아가 튀어나와 있다면 가만히 있어도 퉁명스러워 보이거나 화가 난 것처럼 느껴지고 입을 꼭 다물기가 어려워서 무리하게 힘을 주게 되기 때문에 입가나 턱에 주름이 질 수도 있어요. 이때 돌출입치아교정 치료를 받게 되면 위아래가 잘 맞물리는 가지런한 치열을 가지게 되는 것 뿐 아니라 자연스러운 입매와 부드럽고 균형잡힌 인상으로 바뀌게 되어 스스로 자신감 있는 태도를 가지게 되고 대인 관계에서 호감도도 높아질 거예요.
청소년기는 교우 관계에 영향을 많이 받고 외모에 민감할 때라 교정기에 대한 반감이 있을 수 있으나 바로 이때가 치아 이동에 있어 매우 중요한 시기이므로 제대로 이해할 수 있도록 차근차근 설명해 줄 필요가 있는데요. 12~15세 사이, 즉 초등학교 고학년에서 중학교 저학년 사이가 유치에서 영구치로 거의 다 교체되고 잇몸뼈가 계속해서 성장하는 나이이기 때문에 상악과 하악의 균형잡힌 발달을 유도하면서 부정교합을 바로잡고 치열을 가지런하게 만드는데 보다 빠르고 효율적인 만큼 가능하다면 이 시기를 놓치지 않는게 중요한 거예요. 물론 성인분들도 상황에 맞게 교정 치료를 진행할 수 있지만 부정교합의 종류와 정도에 따라 성장기 교정 치료를 진행하는 것이 좀 더 나은 케이스가 있으니 아이의 치열에 관심을 가지고 정확하게 알아보시는 것이 도움이 될 수 있습니다.



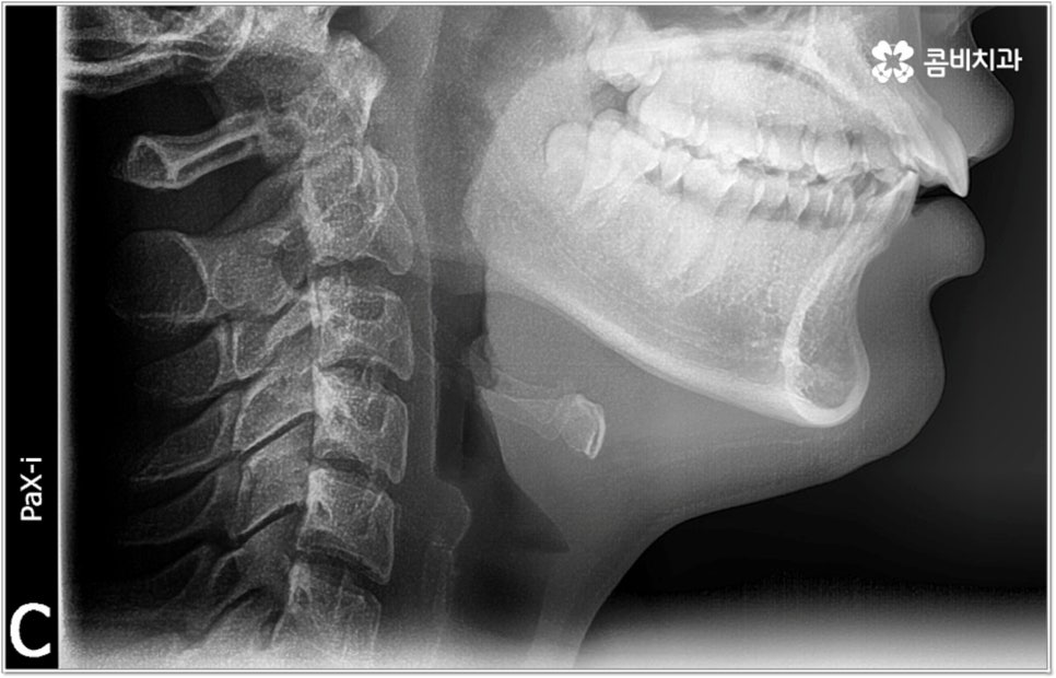
무리하지 않고 돌출입치아교정 과정을 진행하기 위해서는 먼저 꼼꼼한 검진 및 분석에 따른 철저한 맞춤 치료 계획 수립이 중요하다고 할 수 있는데요. 특히 3D CT 및 모르페우스 시스템을 통해 현재 아이의 치열이나 연조직, 상하악 관계 등을 자세히 살펴보고 안모 분석 후 교정 치료가 끝난 예상 모습을 시뮬레이션해서 보여주면 환아의 흥미를 유발하고 앞으로 진행될 사항에 대한 이해도를 높여줄 수 있어 긍정적인 영향을 줄 수 있으니 정밀 검진 장비를 갖추고 숙련된 의료진이 치료하는 치과에서 돌출입치아교정 과정을 진행하시길 권유드리고 있어요.
성장기 교정의 경우 턱성장 추이에 맞추어 섬세하게 치아 이동 속도를 결정해야 하므로 구강 검진 외에도 성장판 검진 등을 통해 아이의 전반적인 발달 상황에 대한 유기적인 이해를 바탕으로 치료를 하는 경험 많은 담당의 선생님께 시술을 맡기실 필요가 있습니다. 또한 이렇게 뛰어난 노하우와 기술력을 갖춘 것 뿐 아니라 사전 상담, 전 교정 과정 그리고 사후 관리에 이르기까지 지속적인 소통을 통해 불편한 점이 없는지 세심하게 살피고 개개인의 상황 및 구강 건강을 전체적으로 신경써서 케어해 주는 의료진과 함께 한다면 환아 뿐 아니라 부모님의 입장에서도 더욱 안심이 되고 좋을 거예요.




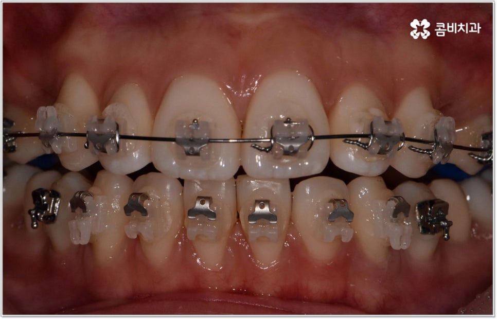
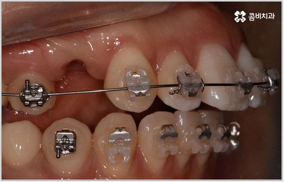
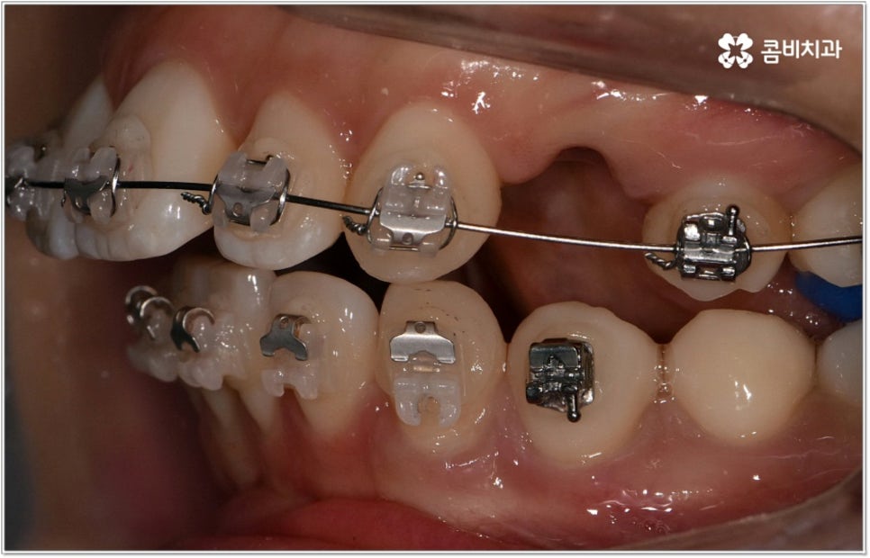
돌출입치아교정 치료에 있어서 방법이나 기간 등 자세한 사항은 환자분들에 따라 달라지는데 다른 문제 없이 치아의 각도만 앞으로 뻐드러진 경우에는 비교적 빠르고 간편하게 개선이 가능한 반면 부정교합 정도가 많이 심각하거나 골격적인 원인이 굳어진 경우 외과적 악교정수술이 병행 돼야 할 수도 있는 만큼 말씀드린 것처럼 제때 검진부터 꼼꼼하게 받아보시길 권유드리고 있습니다.
본 글은 콤비치과의 의료광고 포스팅이며
개인에 따라 출혈 및 부작용이 발생할 수 있고,
환자마다 치료 결과 및 기간이 상이할 수 있습니다.
더 보기
이 병원의 공개 콘텐츠를 계속 살펴보세요
출처 아카이브로 돌아가 더 많은 글을 보거나, 병원 프로필로 이동해 다른 공개 채널도 함께 비교해보세요.