명동콤비치과의원 (명동)
아랫니임플란트 주의할것들은?
치아의 겉면을 둘러싸고 있는 법랑질은 우리 신체 중에서 가장 단단하지만 내부는 좀 더 무른 조직으로 되어 있어서 자동차 사고처럼 크게 외부의 충격을 받는 일이 생기거나, 충치 등의 구강 질환이 악화되어 내부 손상을 심하게 입게 되면 치아의 상아질과 신경에 손상이 생기게 됩니다. 이때 치료시기를 놓치게 되면 치아...
아카이브 요약
이 페이지의 역할
명동콤비치과의원 (명동)의 네이버 블로그 원문을 보존한 아카이브 페이지입니다. 치아스토리♡ 카테고리의 아랫니임플란트 주의할것들은? 글을 통해 병원의 한국어 정보 제공 방식과 진료 관련 안내 톤을 확인할 수 있습니다.
치아의 겉면을 둘러싸고 있는 법랑질은 우리 신체 중에서 가장 단단하지만 내부는 좀 더 무른 조직으로 되어 있어서 자동차 사고처럼 크게 외부의 충격을 받는 일이 생기거나, 충치 등의 구강 질환이 악화되어 내부 손상을 심하게 입게 되면 치아의 상아질과 신경에 손상이 생기게 됩니다. 이때 치료시기를 놓치게 되면 치아의 손상이 심해지고, 2차 파절 등의 문제로 치아 상실로 이어질 수 있는데요. 이렇게 신경 치료나 보철물을 이용한 보존 치료를 통해서도 남아있는 자연 치아를 살릴 수 없을 정도로 손상이 심각한 경우 어쩔 수 없이 인공 치아로 대체를 해 줘야 하는데, 이런 경우 예전에는 틀니나 브릿지를 많이 이용하였지만 요즘은 임플란트 시술을 받는 것이 대세라고 할 수 있어요.


임플란트 시술은 상실된 치아를 인공적으로 대체해 주어 환자분들의 기능적 심미적 불편을 덜어주고 삶의 질을 높여주는 대표적인 치과 진료 중 하나로, 저작 기능 회복이 탁월하고 겉으로 보기에 원래 치아와 비슷한 모양과 색으로 자연스러워 보이며 관리를 잘 해 주면 거의 반영구적으로 사용할 수 있다는 장점이 있어서 많은 분들이 선호하고 있어요.
꾸준한 기술 발전 및 학술 연구, 그리고 국산 재료의 개발로 양질의 데이터가 쌓여가면서 점차 대중화가 이루어졌기에 현재는 치아 상실에 대처하는 가장 대표적인 시술로 자리 잡았다고 해도 과언이 아닐 거예요. 그러나 여전히 시술자의 숙련도에 크게 좌우되는 복잡하고 고난도인 치과 진료임에는 틀림이 없기 때문에 해당 임상 분야의 경험이 풍부하고 뛰어난 노하우를 가지고 있는 의료진과 함께 하시길 권유드리고 있습니다.


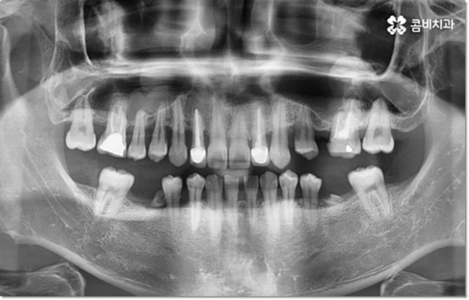
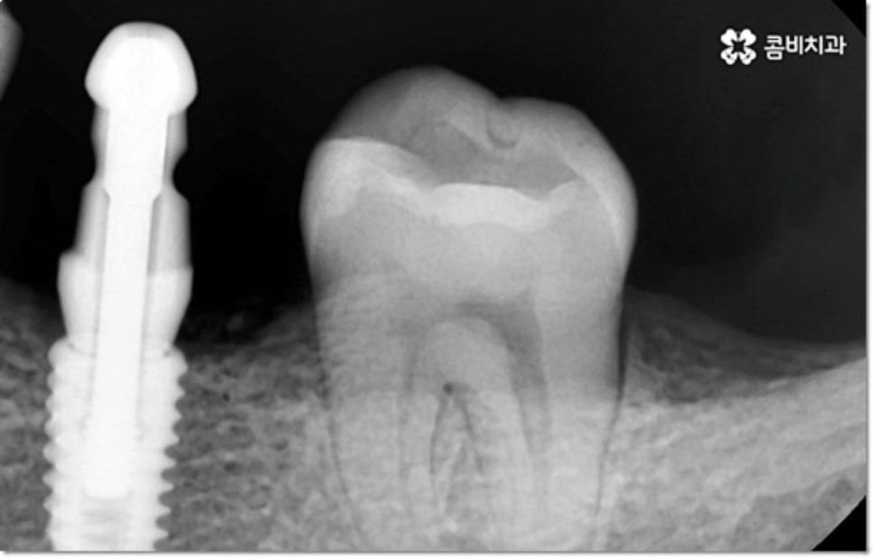
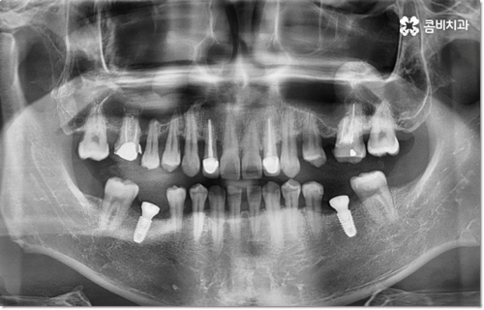
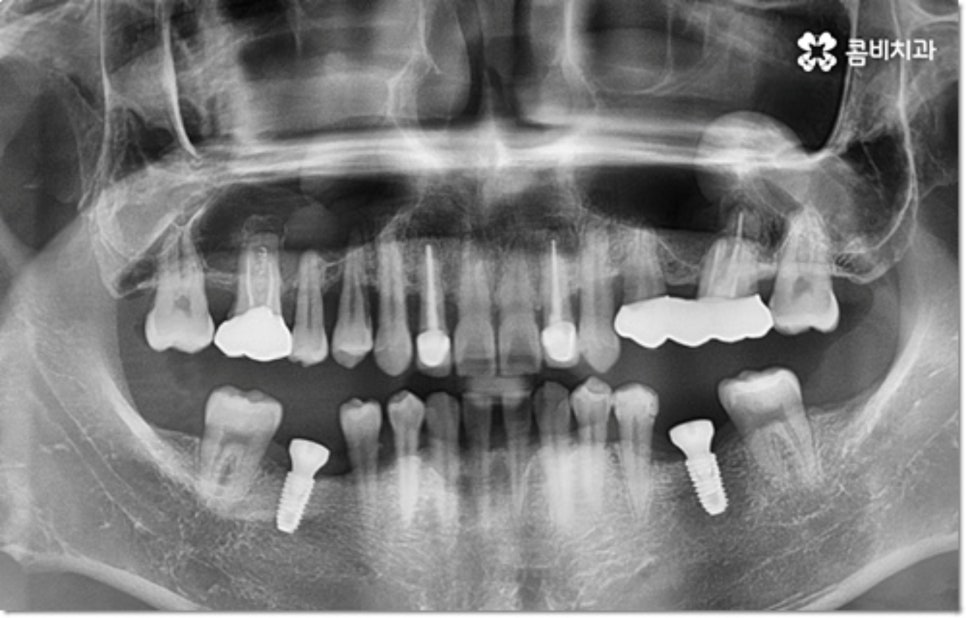
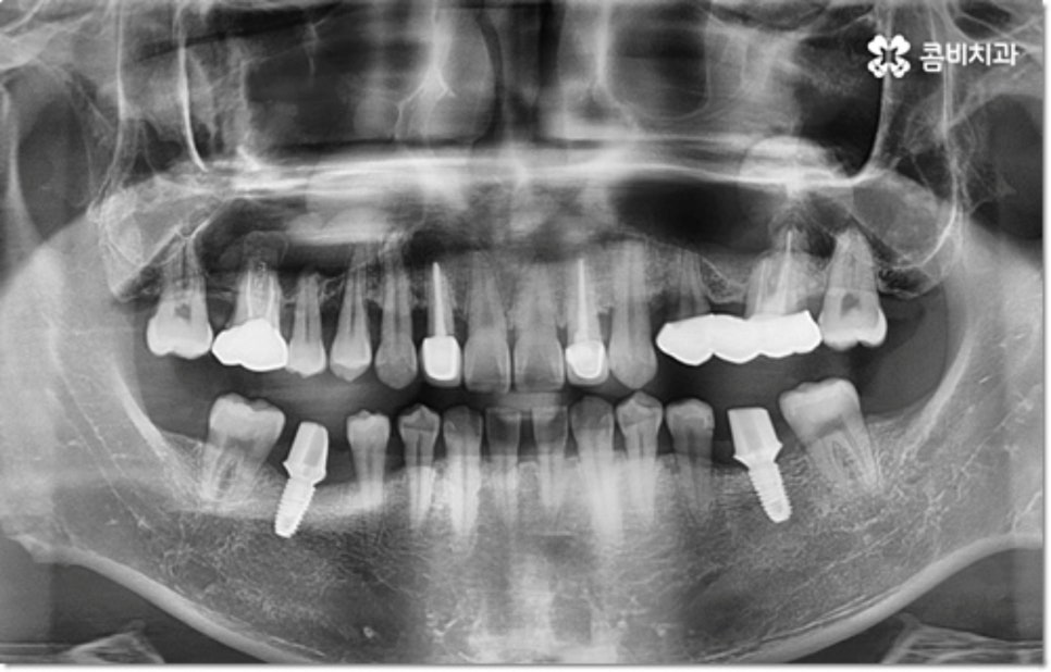
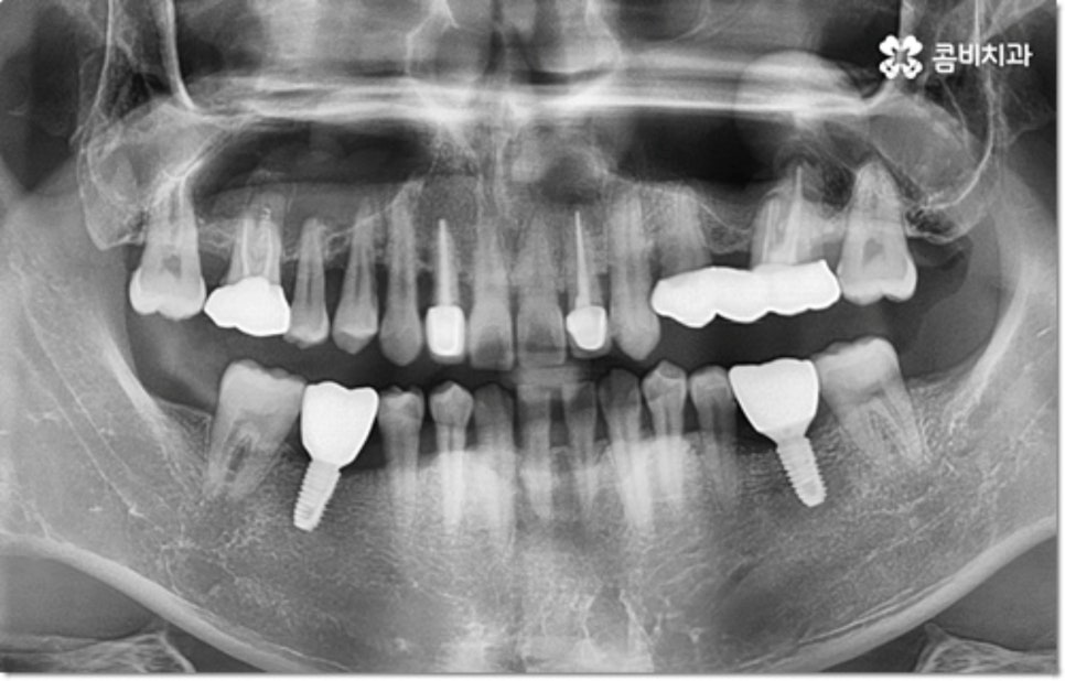
사진에서 볼 수 있는 사례는 아랫니가 크게 부러져서 빠졌을 때 아랫니임플란트 시술을 통해 수복을 해 준 거예요. 이때 빠른 일상 복귀를 원하는 만큼 기간이 얼마나 오래 걸리는가 하는 것은 임플란트 시술을 받으시는 분들의 가장 주된 관심사 중 하나라고 할 수 있는데요.
임플란트 시술 기간은 환자분들의 상황에 따라 달라지는 것이지만 보통 빠르면 36개월, 뼈이식이나 상악동 거상술과 같은 선처치가 필요한 경우 또는 회복 기간이 생각보다 오래 걸리는 경우에는 8개월1년 넘게 까지도 걸릴 수 있습니다. 혹시 모를 부작용으로 재시술을 받게 되는 경우도 있기 때문에 치과를 선택하실 때 말씀드린 의료진의 숙련도 외에도 여러 가지 사항들을 꼼꼼하게 따져보실 필요가 있어요. 3D CT 와 같은 정밀 장비로 환자분들의 잇몸 상황 또는 교합 등을 세밀하게 살펴보고 그에 맞춰 무리하지 않게 임플란트 식립을 진행하는 치과에서 검진부터 사후관리까지 체계적으로 케어받는 것이 중요한 거예요.


또한 가격에 대해서도 궁금해 하시는 분들이 많이 있는데요. 아무래도 환자분들의 치조골 상태나 나이 등 상황에 따라 추가적인 치료가 필요한지 확인 후 각자에게 맞는 치료방법과 재료에 따라 가격이 달라지기 때문에 일괄적으로 설명을 할 수는 없을 거예요.
하지만 통상적으로는 심미적으로 보다 자연스러워 보이는가 하는 부분이 시술 후 만족도와 직결되는 경우가 많아 앞니가 어금니보다 더 까다롭고, 윗니가 아랫니임플란트 시술보다 어렵다고 볼 수 있습니다. 빛이 어느 정도 투과되어 보이는 자연 치아 본연의 색상을 잘 살리고 잇몸 라인이 어색해지지 않게 신경써서 식립을 진행해야 하는 앞니와 윗니 부위 시술이 어금니, 아랫니임플란트 시술 보다 숙련된 의료진의 경험이 중요하다고 볼 수 있습니다.


임플란트 시술시 짧지 않은 치료 기간이나 적지 않은 비용이 환자분들에게 당연히 부담으로 다가올 수 있으나 영구치를 대신해서 앞으로 남은 평생 보다 오랜 기간 동안 건강하게 사용해야 하는 치아를 식립하는 과정인 만큼 무조건 빨리 또는 싸게 시술을 받는 쪽에 초점을 맞추기 보다는 각자의 상황에 맞춰 무리하지 않게 진행하는 치과에서 숙련된 의료진에게 정품 재료로 시술을 받는 것이 식립 정확성 및 지속적인 안정성을 높여주는 방향이니 이를 명심하시길 권유드리고 있습니다.


아랫니임플란트 시술 후 보다 오랜 기간 동안 이를 건강하게 사용할 수 있기 위해서는 사후 관리를 꼼꼼하게 해 주는 것이 중요한데요, 이때 한가지 더 신경써야 하는 것은 바로 임플란트 시술을 받게 된 배경이라고 할 수 있습니다.
즉 사고나 질환과 같은 원인 뿐 아니라 생활 속에서 치아와 잇몸을 약하게 만드는 습관을 가지고 있지는 않은지 이를 돌아보고 개선해 줄 필요가 있어요. 예를 들어 딱딱하거나 질긴 것을 즐겨먹는 습관이 있어서 평상시 치아 또는 턱관절에 걸리는 저작력이 센 편이라거나 이갈이, 어금니 앙다물기, 손톱 물어뜯기와 같이 치아에 무리를 주는 버릇을 가지고 있다면 이를 고쳐주어야 아랫니임플란트 치아의 수명을 늘리고 관리를 수월히 할 수 있어요.
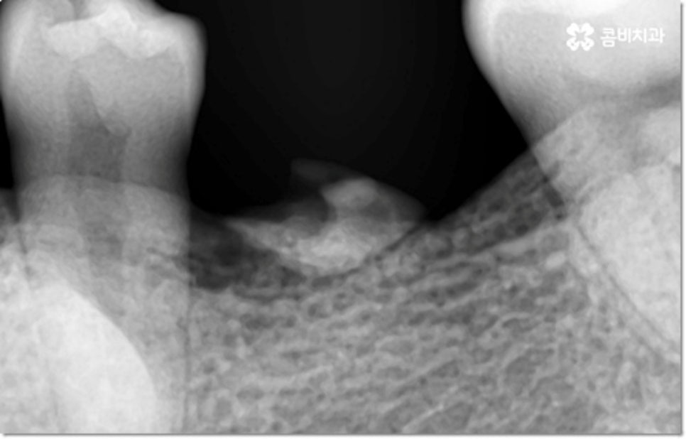
게다가 이러한 습관을 가지고 있으면 다른 정상 치아 역시 뿌리가 흡수되면서 짧아지는 치근 흡수가 일어날 수도 있습니다. 보통 치근 흡수는 교정 치료를 받을 때 간혹 너무 무리한 힘을 받은 치아에 부작용으로 나타나는 경우가 대부분이지만 교정과 상관없이 유전적인 질환 (갑상선기능항진증이나 파제트병 등)으로 인한 경우도 있고, 심각한 충격을 받은 치아 또는 매복치의 영향을 받은 인접 치아에 나타나는 경우도 있으며 말씀드린 것과 같은 구강악습관으로 인해 발생할 수도 있어요.
물론 갑자기 치아가 쑥 빠지거나 하는 것이 아니라 사진에서 볼 수 있듯이 치아 뿌리 끝부분이 둥글어지면서 짧아지는 정도이긴 하지만 아무래도 흔들림, 이시림 등의 불편함을 초래하고 치아와 잇몸을 약해지게 만들며 구강 건강 전체에 좋지 않은 영향을 줄 수 있으니 장기적으로 봤을 때도 이러한 습관은 바꾸시는 게 좋을 거예요.
본 글은 콤비치과의 의료광고 포스팅이며
개인에 따라 출혈 및 부작용이 발생할 수 있고,
환자마다 치료 결과 및 기간이 상이할 수 있습니다.
더 보기
이 병원의 공개 콘텐츠를 계속 살펴보세요
출처 아카이브로 돌아가 더 많은 글을 보거나, 병원 프로필로 이동해 다른 공개 채널도 함께 비교해보세요.