아카이브 요약
이 페이지의 역할
명동콤비치과의원의 네이버 블로그 원문을 보존한 아카이브 페이지입니다. 치아스토리♡ 카테고리의 클리피씨교정 알아봐야 할것들 글을 통해 병원의 한국어 정보 제공 방식과 진료 관련 안내 톤을 확인할 수 있습니다.
원문 검증
필요하면 원문 블로그와 병원 프로필로 바로 이동해 문맥을 다시 확인할 수 있습니다.
출처 아카이브 열기아카이브된 블로그 글
명동콤비치과의원 · Naver Blog
치열이 가지런하지 않으면 보기에 좋지 않을 뿐 아니라 저작 기능이나 발음에 문제가 생길 수 있습니다. 또한 칫솔질을 꼼꼼히 하기 어려워 위생 관리가 힘들어지기 때문에 잦은 구강 질환이 생기고 이로인해 치아와 잇몸 수명이 단축될 수 있어요. 치아의 맞물림이 올바르지 않은 부정교합의 대표적인 예로 입이 앞으로 튀어...
게시일
2022년 8월 30일
원문 기준으로 확인된 발행일입니다.
카테고리
치아스토리♡
원문 블로그 카테고리를 정리해 함께 표시합니다.
이미지 수
11
현재 아카이브에 연결된 이미지 수입니다.
아카이브 요약
명동콤비치과의원의 네이버 블로그 원문을 보존한 아카이브 페이지입니다. 치아스토리♡ 카테고리의 클리피씨교정 알아봐야 할것들 글을 통해 병원의 한국어 정보 제공 방식과 진료 관련 안내 톤을 확인할 수 있습니다.
원문 검증
필요하면 원문 블로그와 병원 프로필로 바로 이동해 문맥을 다시 확인할 수 있습니다.
출처 아카이브 열기치열이 가지런하지 않으면 보기에 좋지 않을 뿐 아니라 저작 기능이나 발음에 문제가 생길 수 있습니다. 또한 칫솔질을 꼼꼼히 하기 어려워 위생 관리가 힘들어지기 때문에 잦은 구강 질환이 생기고 이로인해 치아와 잇몸 수명이 단축될 수 있어요.
치아의 맞물림이 올바르지 않은 부정교합의 대표적인 예로 입이 앞으로 튀어나온 형태의 돌출입을 들 수 있는데요. 돌출입을 가지고 있으면 자신도 모르게 입이 벌어지는 경우가 많아 입 속이 쉽게 마르기 때문에 충치 등이 더 잘 생기고 구취가 날 수 있어요. 신경써서 입을 닫으려고 하면 아무래도 힘이 들어가기 때문에 입술과 입주변에 주름이 잡히고 씹을 때 턱관절에도 무리가 갈 수 있습니다.
또한 입을 억지로 꼭 닫으면 뚱하고 무뚝뚝한 분위기를 띄게 되고, 돌출입과 자주 함께 나타나는 무턱 증상은 외관상 조화롭지 못한 인상을 주기 때문에 상대적으로 입이 많이 튀어나오고 턱이 짧으신 분들은 마치 콤플렉스처럼 여길 수도 있어요. 이렇게 돌출입을 가지고 있으면 여러 가지로 불편할 수 있는데 치아 교정 치료를 통해 이를 바로잡을 수 있습니다.


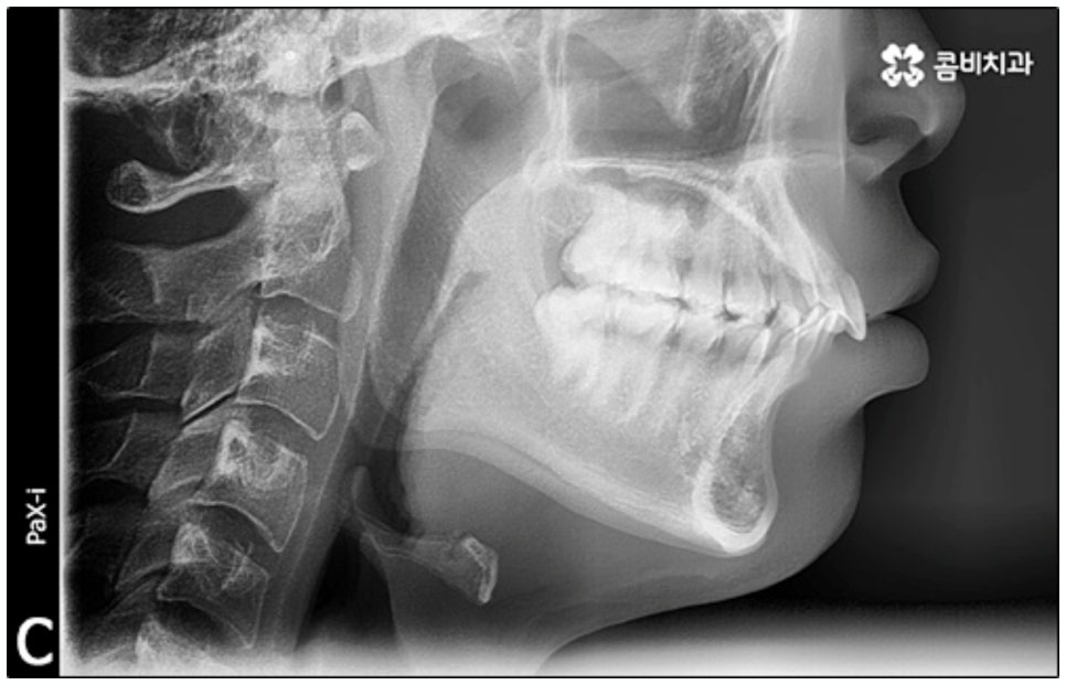
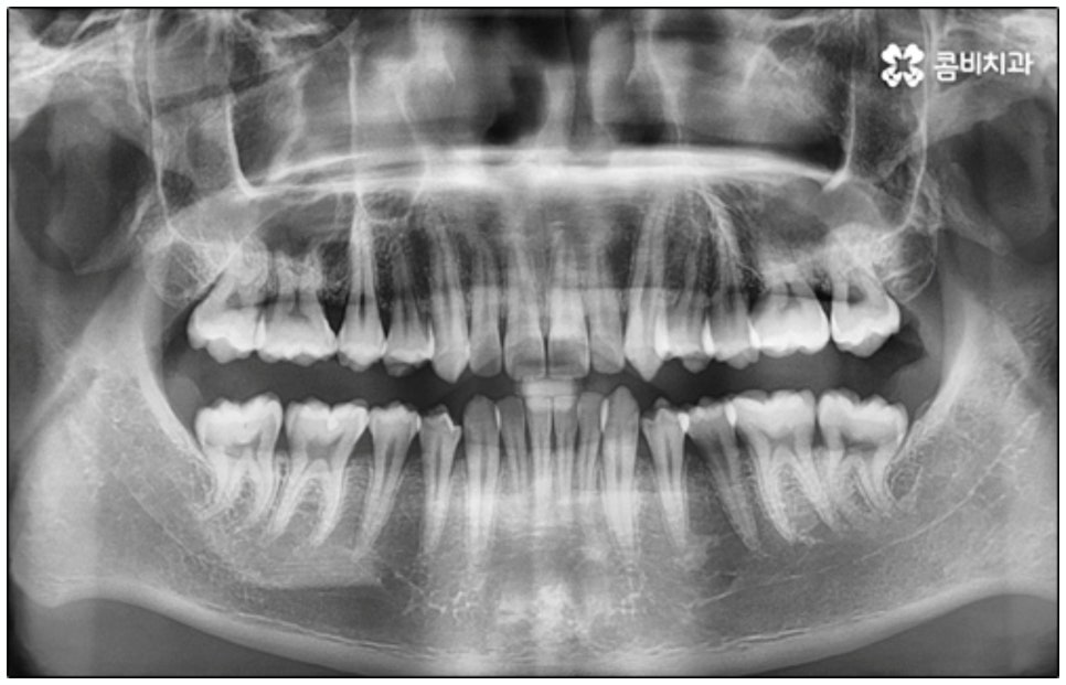
돌출입 교정 방법과 기간 등은 원인과 상황에 따라 달라지므로 먼저 치과에 내원하여 자신의 현재 구강 상태를 면밀하게 체크하고 각자에게 맞는 일대일 맞춤 계획을 통해 무리하지 않게 교정 치료를 진행할 필요가 있어요. 단순히 치아 각도만 앞으로 돌출되고 전체 교합이나 상하악 관계에는 크게 문제가 없는 경우 부분 교정 등 보다 빠르고 간편한 치료가 가능할 수도 있으나, 이동 공간이 충분한지 여부나 잇몸이 노출된 정도 및 연령 등 세부적인 사항을 확인해 봤을 때 발치가 필요하고 골격적인 부조화까지 바로잡아야 하는 경우 1년 반에서 2년 반 정도 꾸준하게 교정을 해 줄 필요가 있는데요.



실제로 검진을 해 보면 부분 교정을 통해 돌출입을 교정할 수 있는 케이스는 드문 편이며 전체 교정이 필요한 환자분들이 더 많이 있습니다. 그렇기 때문에 비교적 오랜 기간 동안 착용해야 할 교정 장치를 선택하는 것 역시 환자분들에게 중요한 관심사 중 하나라고 할 수 있는데요. 이때 장치 자체가 결과에 미치는 영향은 그다지 크지 않으므로 환자분들이 중요하게 생각하는 바를 반영할 수 있는 여지가 있어요.
각자의 직업이나 경제적인 상황 또는 일상 생활 속 대인 관계 패턴에 따라 ‘여건상 자주 내원할 수가 없다’, ‘적지 않은 비용에 대한 부담감이 크다’, ’겉으로 장치가 크게 드러나는 것이 꺼려진다’ 등등 교정 과정에서 환자분들이 느끼시는 여러 불편함들이 있을 거예요. 합리성이나 심미성 등 원하는 부분에 초점을 맞춘 적절한 교정 장치를 선택하게 되면 치료 과정에 대한 전반적인 만족도가 올라갈 수 있으니 이에 대해서 담당의 선생님과 충분하게 상담을 해 보시고 다양한 장치들의 장단점에 대해 숙고해 보실 필요가 있습니다.



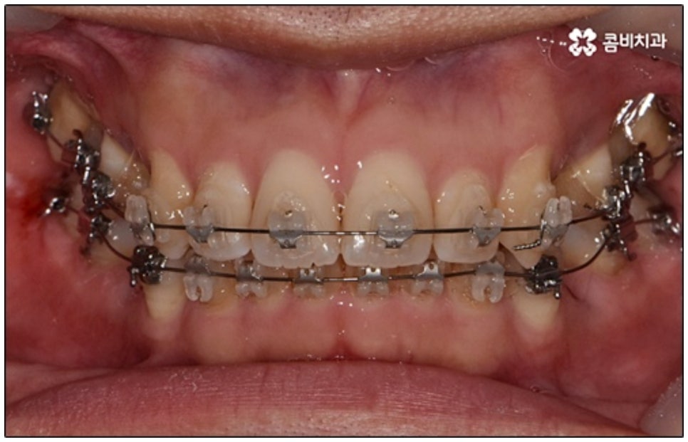
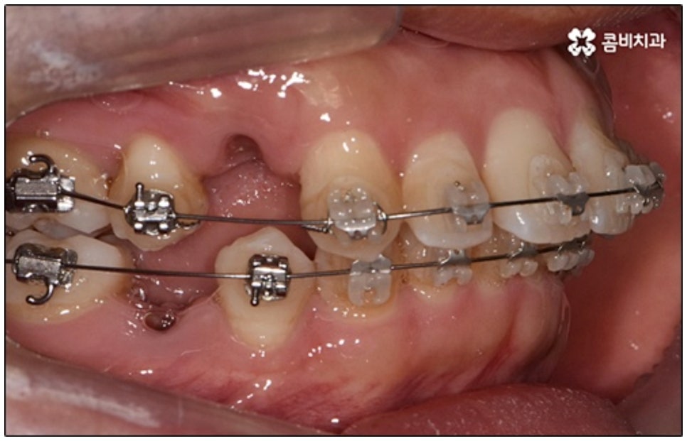
요즘 가장 많이 쓰이는 것은 클리피씨교정 장치로, 브라켓에 자체적으로 여닫을 수 있는 클립(뚜껑)이 있어 보다 손쉽게 와이어를 장착하거나 제거할 수 있어요. 이와 같은 자가 결찰 방식을 이용하게 되면 미세 철사로 일일이 와이어를 잡아주지 않아도 되기 때문에 장치로 인한 불편함이나 통증이 줄어들 수 있는데요. 뿐만 아니라 관리를 위해 치과에 내원하여 진행 상황에 맞게 새로운 와이어로 교체하고 교정력을 걸어주는 데 걸리는 시간 역시 단축되며, 상황에 따라 내원 횟수 자체를 줄여줄 수도 있어 방문 시간을 내는 것이 자유롭지 않은 군인분들이나 직장인분들도 치료할 수 있어요.
또한 클리피씨교정은 치아 이동시 생기는 마찰을 감소시키기 때문에 전체 교정 기간 또한 6개월 정도 줄어들 수 있습니다. 물론 정확한 기간은 환자분들의 상황에 따라서 달라지지만 이러한 특징 때문에 클리피씨교정 은 급속교정이라고도 불리고 있어요.
또한 클리피씨교정 장치는 심미성이 높기 때문에 많은 분들이 선호하고 있는데요. 클립이 달린 세라믹 (cilppyC-Ceramic의 약자) 이라는 뜻을 가진 이름에서 알 수 있듯이 클리피씨교정 장치는 브라켓 소재가 치아 색상과 비슷하여 눈에 잘 띄지 않으며 내구성이 좋고 크게 변색 되지 않는다는 장점을 가지고 있어요.
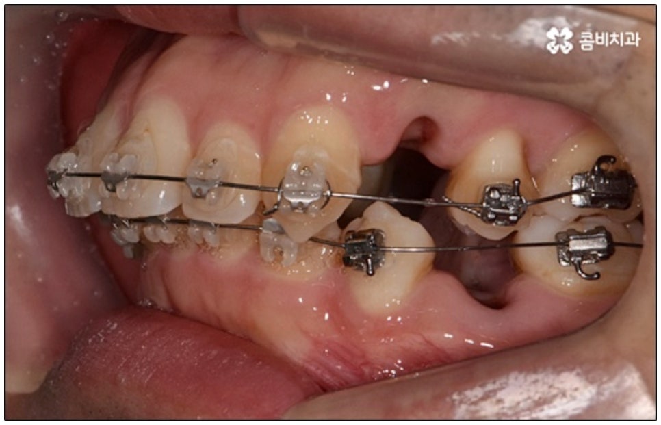
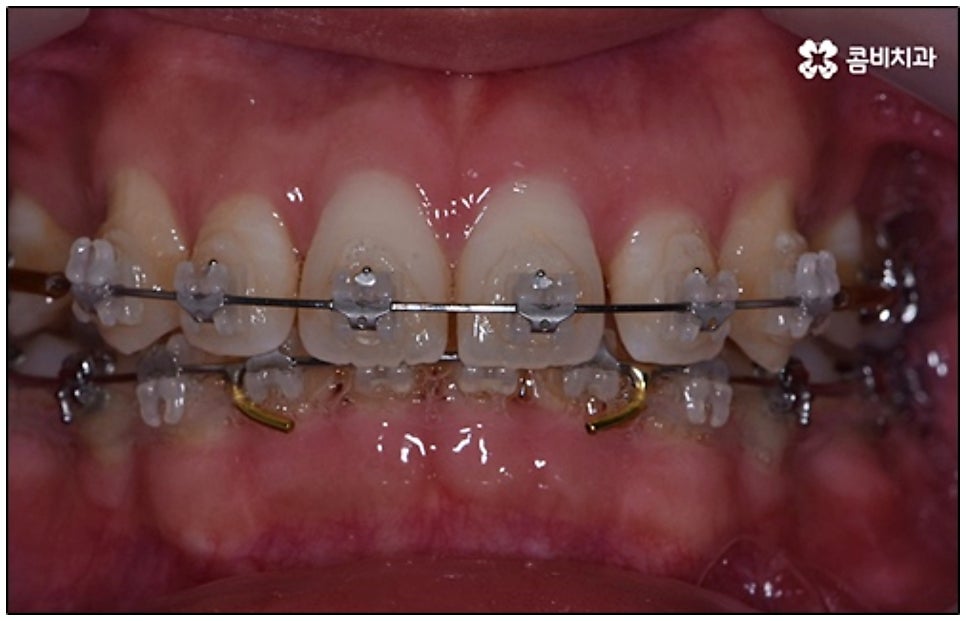
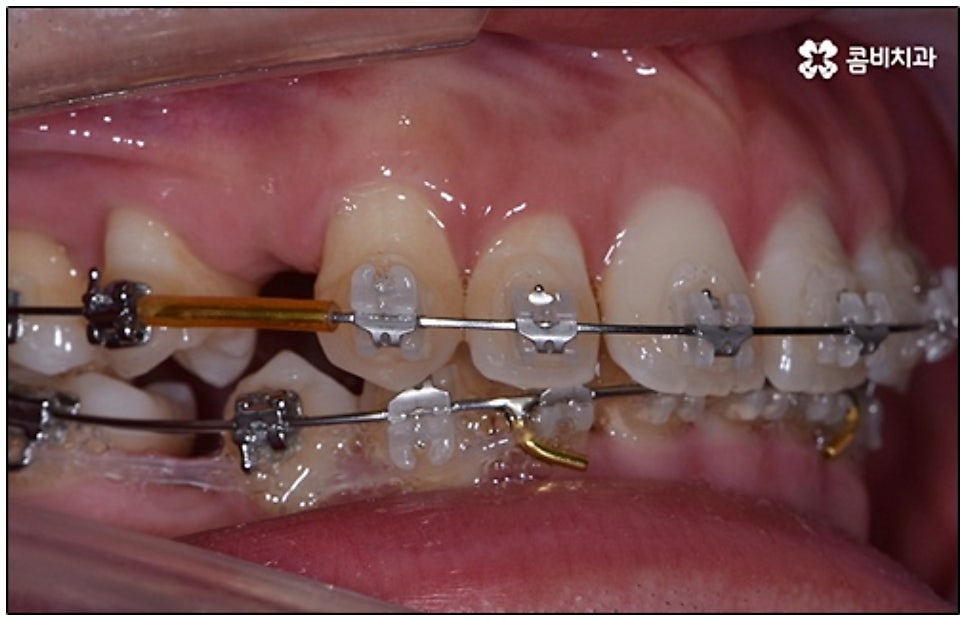
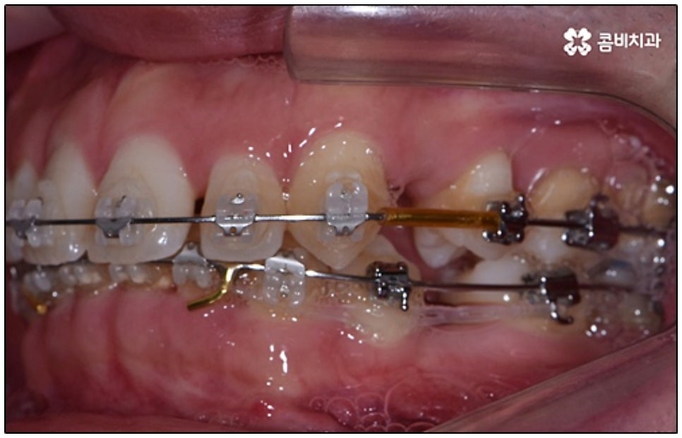
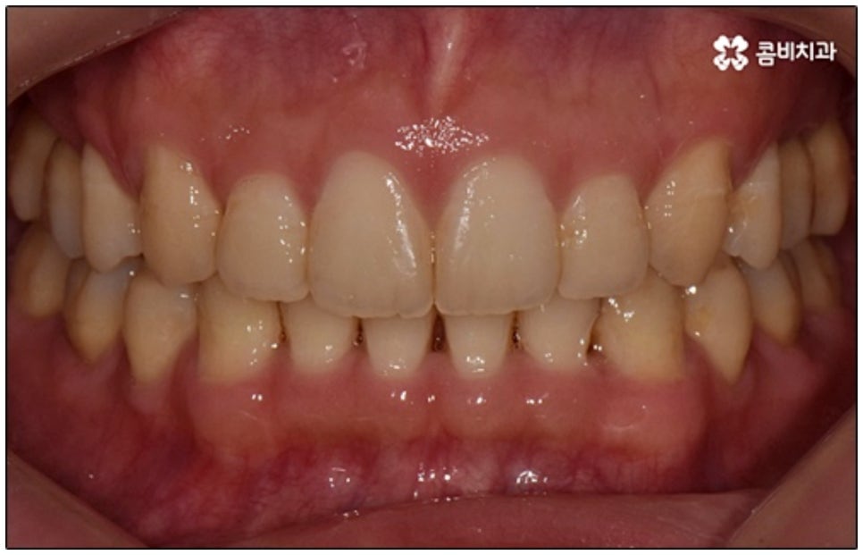
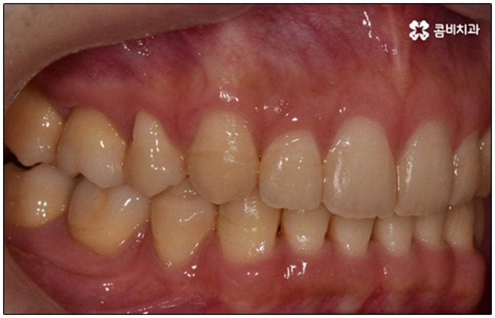
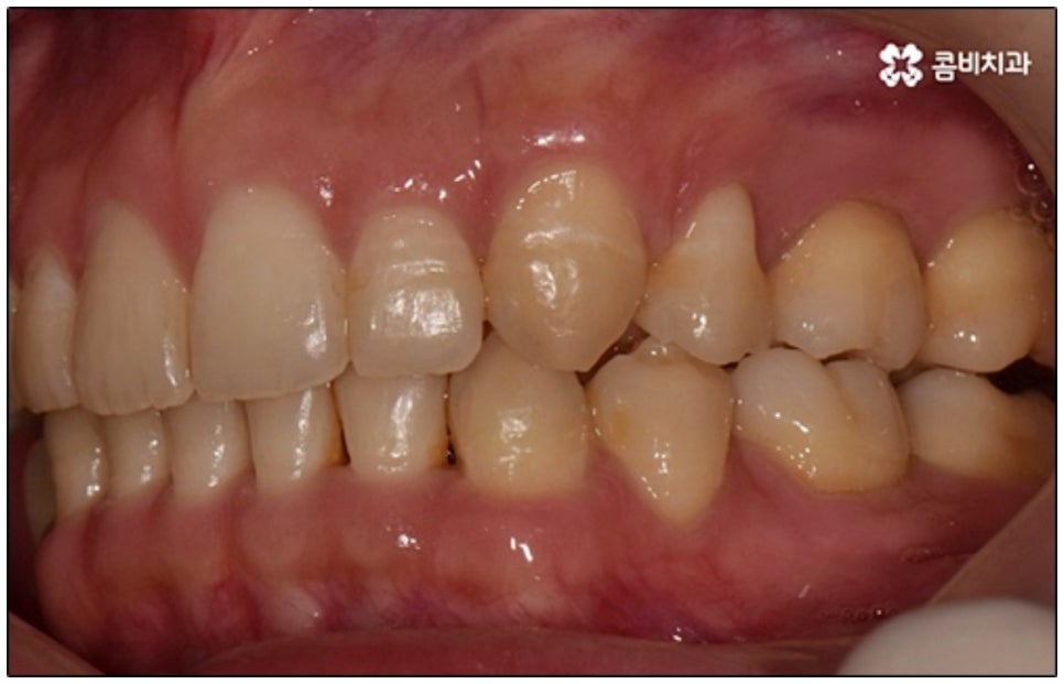
말씀드린 것과 같은 다양한 이점들이 있기 때문에 현재 본원의 교정 환자분들은 대부분 클리피씨교정 장치를 이용하여 치료를 진행하고 있습니다. 사진 역시 돌출입 교정을 위해 발치 후 클리피씨교정 장치를 이용하신 환자분의 케이스인데 시간이 지날수록 점차 앞니가 자연스럽게 들어가고 위아래 교합이 정확하게 맞아가는 것을 확인하실 수 있을 거예요.



다른 부정교합 교정 치료 역시 마찬가지이겠지만 돌출입 치아의 경우 상황에 따라 바로잡는 것이 매우 까다로울 수 있기 때문에 숙련된 의료진과 함께 하는 것이 중요한 포인트가 될 수 있어요. 정밀 검사 후 세운 계획대로 치아가 잘 이동하는지 계속해서 상황을 점검하면서 그에 맞게 세밀하게 교정력을 조정하여 균형을 맞춰주지 않으면 돌출된 정도가 크게 개선되지 않거나 자칫 너무 안쪽으로 들어가 옥니가 될 수 있으므로, 보다 완성도 높은 치료를 위해서 교정 분야의 임상 경험이 풍부한 의료진의 뛰어난 기술력과 노하우가 요구되는 거예요.
또한 올바르게 교정을 마친 후에도 정기 검진 및 유지 장치를 통해 꾸준히 관리를 잘 해 주어야 교정된 상태가 보다 오랫동안 건강하게 지속될 수 있음을 명심하실 필요가 있는데요. 교정 후 인상이 부자연스러워 만족도가 떨어지거나 유지가 제대로 이루어지지 않아 원상태로 돌아가게 되는 경우 재교정을 받아야 할 수도 있으니 개인마다 자신에게 맞춘 적절한 치료를 통해 검진부터 사후관리까지 체계적으로 케어해 주는 치과에서 교정 치료 진행하시길 권유드리고 있습니다.
본 글은 콤비치과의 의료광고 포스팅이며
개인에 따라 출혈 및 부작용이 발생할 수 있고,
환자마다 치료 결과 및 기간이 상이할 수 있습니다.