명동콤비치과의원 (명동)
앞니부분교정 누구나 할수있나요?
치아는 저작이나 발음 등 기능적으로도 중요한 역할을 하지만 그에 못지 않게 심미적인 영향력도 크기 때문에 고르지 못한 치열을 가지고 있으면 말을 하거나 웃을 때 자기도 모르게 타인의 시선을 의식하게 되고 자신감이 떨어질 수 있습니다. 특히 입을 벌렸을 때 눈에 가장 잘 띄는 앞니에 문제가 있다면 더욱 콤플렉스처럼...
아카이브 요약
이 페이지의 역할
명동콤비치과의원 (명동)의 네이버 블로그 원문을 보존한 아카이브 페이지입니다. 치아스토리♡ 카테고리의 앞니부분교정 누구나 할수있나요? 글을 통해 병원의 한국어 정보 제공 방식과 진료 관련 안내 톤을 확인할 수 있습니다.
치아는 저작이나 발음 등 기능적으로도 중요한 역할을 하지만 그에 못지 않게 심미적인 영향력도 크기 때문에 고르지 못한 치열을 가지고 있으면 말을 하거나 웃을 때 자기도 모르게 타인의 시선을 의식하게 되고 자신감이 떨어질 수 있습니다. 특히 입을 벌렸을 때 눈에 가장 잘 띄는 앞니에 문제가 있다면 더욱 콤플렉스처럼 느껴질 수 있는데요.
대표적으로 문제가 되는 예시로 공간이 부족하여 앞니가 앞쪽으로 튀어나온 토끼 치아, 앞니가 회전되어 나비 날개 모양으로 배열된 나비 치아 등을 들 수 있는데, 앞니는 심미성을 완성시키는 치아이므로 이로 인한 고민이 클 경우 교정 치료를 통해서 도움을 받을 수 있어요.
그러나 교정 치료를 고려하시는 분들 중에 장치가 겉으로 드러나 보이는 것이 또 다른 외적인 부담으로 다가와 선뜻 시작하기가 망설여지는 경우도 있을 거예요. 이런 경우 상황에 따라 가능하면 앞니부분교정 치료를 진행할 수 있으므로 꼼꼼한 진단 및 상담을 통해 가능 여부를 알아보시길 권유드리고 있습니다.


앞니부분교정 이란 전체 치아가 아닌 앞니만 타겟으로 하는 교정 치료를 의미하는 거예요. 즉 필요한 앞니 부분 6개의 치아에만 부분적으로 교정 장치를 장착해 치열을 고르게 만드는 방법으로, 12년 정도가 소요되는 전체 교정에 비해 38개월 정도로 비교적 짧은 기간 동안 진행하는 치료이기 때문에 통증과 불편이 적어 대다수의 환자분들이 선호하고 있어요. 또한 브라켓의 크기가 작아 이물감이 거의 없고 발음을 하거나 음식물을 섭취할 때도 보다 수월하다는 장점을 가지고 있는데요.
그러나 치아 일부만으로 전체 치열을 바로잡아야 하는 만큼 누구나 앞니부분교정 치료가 가능한 것은 아니므로 먼저 자신이 부분 교정으로 치료가 가능한 케이스인지 면밀하게 살펴보실 필요가 있습니다.
개개인의 치아와 잇몸 상황, 치열과 골격 상태, 교합 등을 자세하게 검진해 본 후에 부정 교합의 문제가 크지 않고 발치가 필요하지 않아 비교적 적은 힘으로도 치아 이동이 가능한 경우에 부분 교정 을 고려해 볼 수 있는 거예요. 즉 어금니 교합이 정상이고 턱관절 문제가 크게 관련되어 있지 않으면서 앞니의 각도만 뻐드러진 경우나 앞니 사이가 살짝 벌어진 경우와 같이 원인이 앞니에만 국한된 경우에 앞니부분교정 치료를 진행할 수 있으므로 정밀 검진과 충분한 상담이 선행될 필요가 있어요.



전체 치료 기간도 짧고 통증이나 심미적인 부담 역시 줄어들기 때문에 가능하다면 앞니부분교정 을 받고 싶어하시는 분들이 많이 있는데요. 환자분들마다 상황이 모두 다르기 때문에 일률적으로 가능 여부를 알려 드리기는 어려울 거예요.
앞서 말씀드렸던 대표적인 케이스인 토끼 앞니나 나비 앞니 같은 경우에도 가능한 케이스가 있고 그렇지 않은 케이스가 있습니다. 예를 들어 치아를 가지런하게 만들고자 할 때 좀 더 다각도로 정밀한 움직임이 필요한 케이스는 전후방적, 수직적, 횡적인 부분을 모두 함께 고려하여 3차원적으로 치아를 이동시켜 줄 필요가 있는데요. 이렇게 복잡한 케이스에 있어서는 부분 교정 장치를 사용하는 것이 효율적이지 않기 때문에 전체 교정을 통해 치료를 하게 되는 거예요.
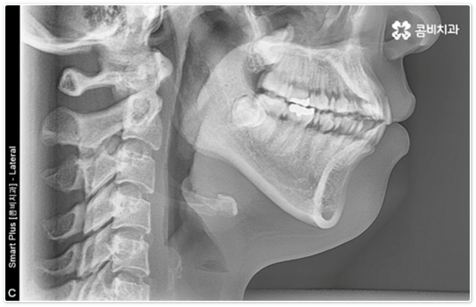
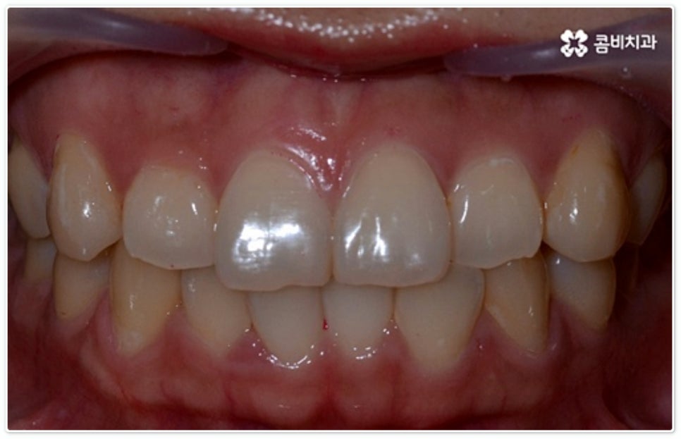
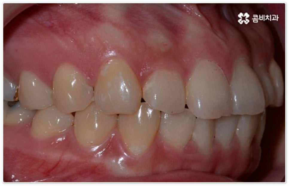
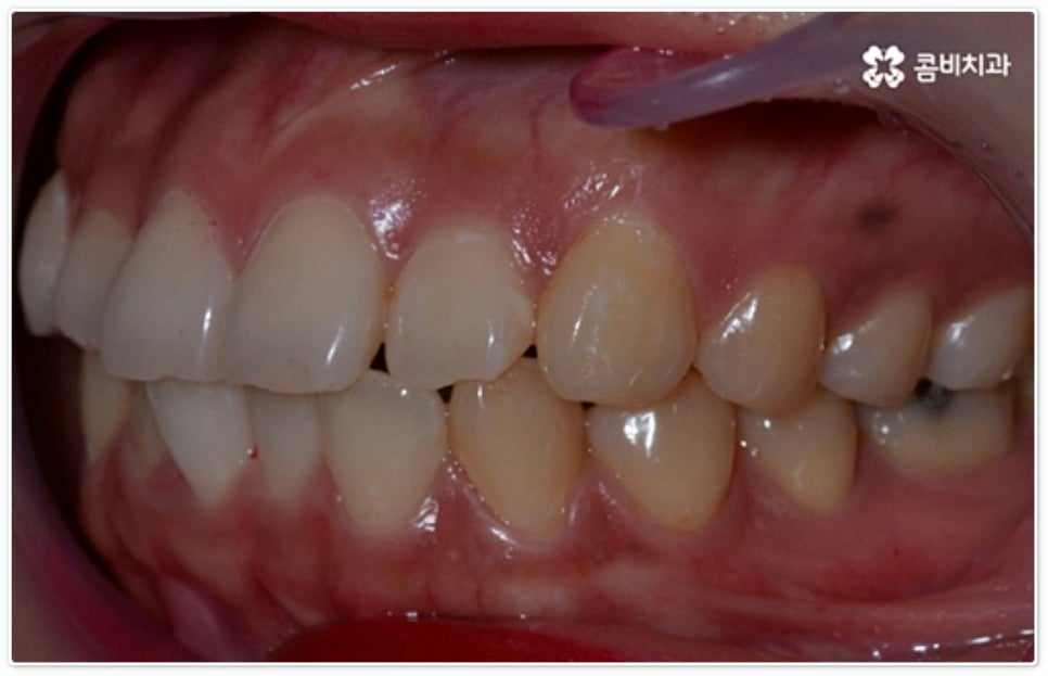
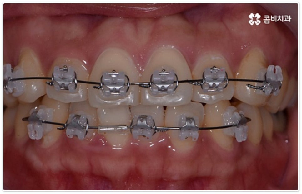
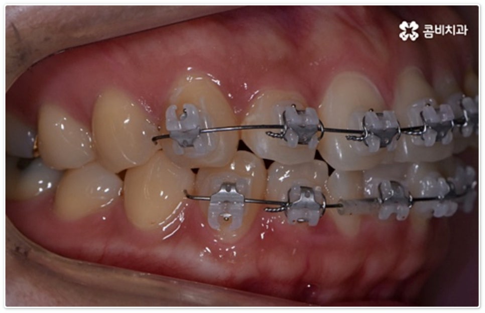
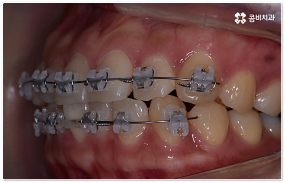
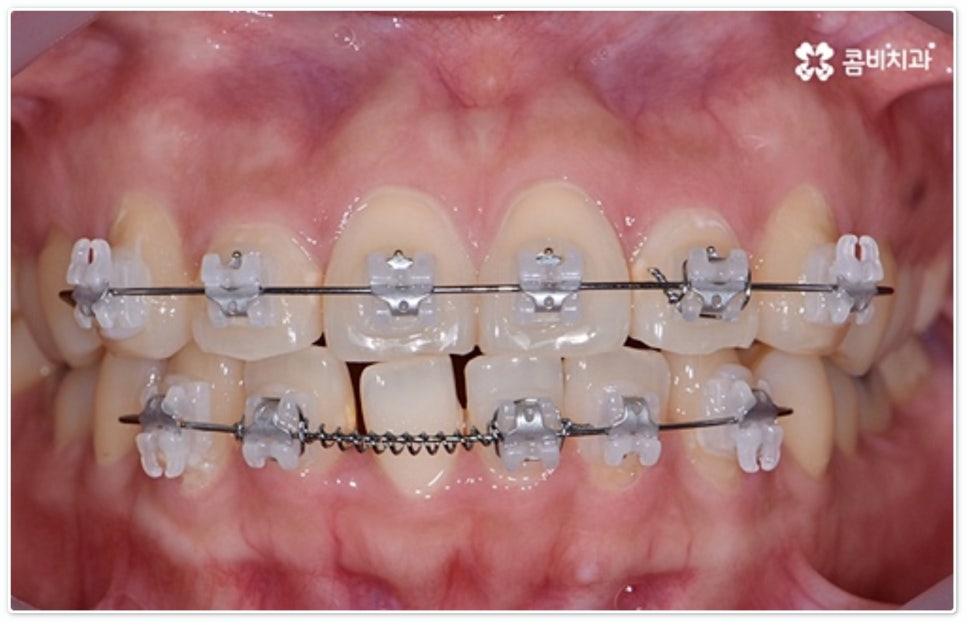
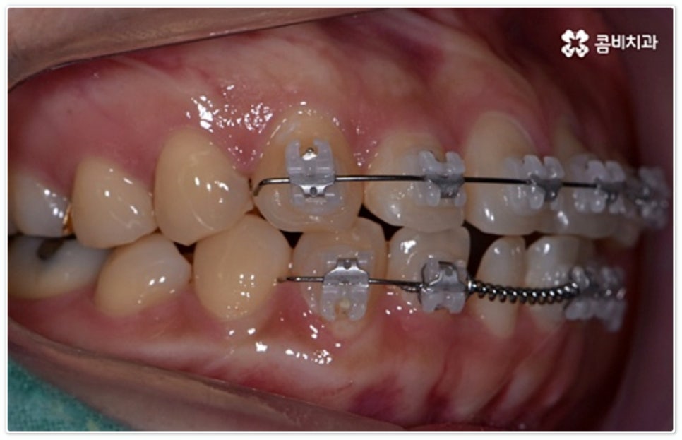
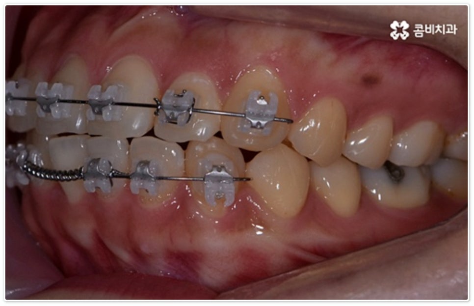
그렇지 않고 전후방 각도 조절 또는 단순 횡적인 움직임으로 치열 개선이 가능한 케이스는 부분 교정을 진행하는데, 사진에서 보시는 사례가 바로 그런 경우에 속하고 있습니다. 앞니 6개에만 브라켓을 부착하였는데 보시다시피 치아 색상과 유사한 세라믹 재질의 장치를 이용하여 심미성 또한 높여 주었음을 알 수 있어요.



토끼 앞니, 나비 앞니 중 이와 같이 어금니 교합은 정상이지만 앞니 또는 일부 치아가 돌출되거나 방향이 틀어진 경우 뿐 아니라 다른 치료 (보철 치료나 임플란트 시술) 를 위해 먼저 부분적으로 치아 이동이 필요한 경우, 교정 치료를 받은 적이 있으나 앞니 또는 주변 치아 배열이 다시 틀어진 경우 등에 있어서도 부분 교정이 이용될 수 있습니다. 그러므로 ‘치료가 오래 걸릴 것이다’, ‘장치가 보이는 게 많이 부담스럽다’, ‘재교정을 받는 것이 무섭다’ 등등 여러 걱정으로 교정 치료 시기를 미루시지 말고 필요한 경우 상담부터 차근차근 진행해 보시면 좋을 거예요.



앞니부분교정 은 전체 교정 보다 쉽고 간단해 보이지만 훨씬 더 정교한 고난도 전문성을 필요로 하는 치료라고 할 수 있습니다. 1mm의 섬세한 부분까지 계산하지 못하면 자칫 만족도가 떨어지는 결과로 이어질 수 있기 때문인데요, 예를 들어 앞니가 돌출된 경우 부분적인 이동이 전체 치아의 조화를 오히려 해친다거나 무리한 힘을 주어 치아가 뒤로 들어가는 옥니와 같은 부작용을 낳을 수도 있고 반대로 충분한 정도로 움직이지 않아 돌출된 부분이 그다지 개선되지 않을 수도 있는 거예요.
이를 방지하기 위해 각자의 치열 상태를 정확히 진단할 수 있는 장비를 갖춘 치과에서 개인별 맞춤 계획을 정밀하게 수립하고 처음부터 끝까지 무리하지 않게 진행할 수 있는 숙련도를 갖춘 의료진에게 치료를 받으실 필요가 있어요. 의료진의 임상 경험과 기술력 등을 꼼꼼하게 알아보시면서 또한 사후 관리까지 체계적으로 이루어지는 시스템을 갖추고 있는지 역시 살펴보시길 권유드리고 있습니다.
본 글은 콤비치과의 의료광고 포스팅이며
개인에 따라 출혈 및 부작용이 발생할 수 있고,
환자마다 치료 결과 및 기간이 상이할 수 있습니다.
더 보기
이 병원의 공개 콘텐츠를 계속 살펴보세요
출처 아카이브로 돌아가 더 많은 글을 보거나, 병원 프로필로 이동해 다른 공개 채널도 함께 비교해보세요.