아카이브 요약
이 페이지의 역할
명동콤비치과의원의 네이버 블로그 원문을 보존한 아카이브 페이지입니다. 치아스토리♡ 카테고리의 덧니 발치 언제 하나요? 글을 통해 병원의 한국어 정보 제공 방식과 진료 관련 안내 톤을 확인할 수 있습니다.
원문 검증
필요하면 원문 블로그와 병원 프로필로 바로 이동해 문맥을 다시 확인할 수 있습니다.
출처 아카이브 열기아카이브된 블로그 글
명동콤비치과의원 · Naver Blog
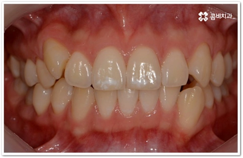
부정 교합의 일종인 덧니는 사람마다 다양한 원인으로 인해 발생하지만 보통 치아가 나올 공간이 부족하거나 치아 크기가 많이 커서 자기 자리에서 똑바로 나오지 못하고 이미 자리를 잡은 치아 앞 또는 뒤로 겹쳐 나오게 되면서 생기는 경우가 대부분이라고 할 수 있어요. 웃을 때 덧니가 살짝 드러나면 귀여운 인상을 주지만 실생...
게시일
2022년 9월 23일
원문 기준으로 확인된 발행일입니다.
카테고리
치아스토리♡
원문 블로그 카테고리를 정리해 함께 표시합니다.
이미지 수
12
현재 아카이브에 연결된 이미지 수입니다.
아카이브 요약
명동콤비치과의원의 네이버 블로그 원문을 보존한 아카이브 페이지입니다. 치아스토리♡ 카테고리의 덧니 발치 언제 하나요? 글을 통해 병원의 한국어 정보 제공 방식과 진료 관련 안내 톤을 확인할 수 있습니다.
원문 검증
필요하면 원문 블로그와 병원 프로필로 바로 이동해 문맥을 다시 확인할 수 있습니다.
출처 아카이브 열기부정 교합의 일종인 덧니는 사람마다 다양한 원인으로 인해 발생하지만 보통 치아가 나올 공간이 부족하거나 치아 크기가 많이 커서 자기 자리에서 똑바로 나오지 못하고 이미 자리를 잡은 치아 앞 또는 뒤로 겹쳐 나오게 되면서 생기는 경우가 대부분이라고 할 수 있어요. 웃을 때 덧니가 살짝 드러나면 귀여운 인상을 주지만 실생활에서는 겹쳐진 치아 사이로 음식물이 자주 끼어 구강 질환을 유발하거나 저작 기능이 저하되는 등 불편함을 초래할 수 있습니다. 그렇기 때문에 치아 교정을 통해 가지런한 치열로 바로 잡아주실 필요가 있는데요.


이때 덧니 교정 시 치아를 뽑는 과정이 필수적인지 궁금하신 분들이 있을 거예요. 환자분들마다 상황이 다르기 때문에 획일적으로 말씀드리기는 어렵겠지만 다양한 기술을 이용한 비발치 교정 치료도 가능하기 때문에 먼저 꼼꼼한 검진 및 충분한 상담을 통해 자신에게 맞는 치료 계획이 무엇인지 알아보시길 권유드리고 있습니다. 예를 들어 입 속 공간은 크게 부족하지 않은데 악궁만 상대적으로 좁은 경우 확장 장치를 이용하여 이를 벌려주는 방법을 통해 치아를 발치하지 않고 교정 치료를 진행할 수 있어요. 덧니가 심하지 않고 치아 크기가 큰 경우 치간 삭제를 통해 조화를 맞추고 빈 공간을 확보하여 치아를 가지런하게 배열하는 방법도 있습니다.


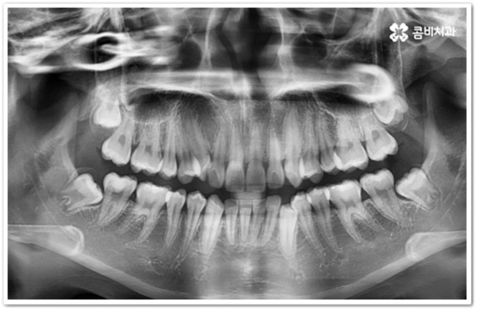
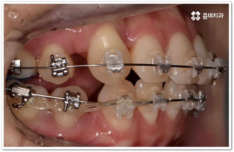
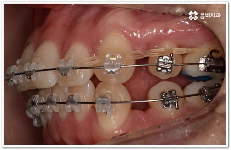
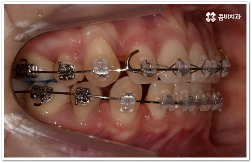
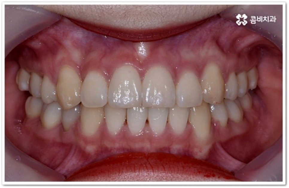
그러나 만약 덧니가 많고 부정 교합 정도가 심하거나 치아가 고르게 배열될 공간이 크게 부족하다면 덧니 발치 교정 치료를 진행하게 되는데, 이때 보통 치아 중에 기능이 가장 적은 소구치를 우선적으로 발치하게 되지만 (사진에서 확인할 수 있는 케이스) 환자분들의 상황에 따라 필요 없는 사랑니를 발치하고 어금니부터 뒤로 밀어 자리를 잡아주거나 충치 또는 짧아진 치근 등으로 심하게 손상된 치아가 있는 소구치를 우선적으로 발치하여 교정 치료를 진행하기도 하고, 필요시 임플란트와 병행하여 치료를 진행하는 경우도 있습니다. 따라서 먼저 자신의 상황에 대해서 면밀하게 검진을 받아보고 자세한 치료 계획에 대해서 의료진과 충분하게 상담해 보시는 게 좋을 거예요.



영구치가 나오는 순서를 생각해 봤을때 거의 마지막에 나오는 송곳니의 경우 덧니가 될 가능성이 비교적 높다고 할 수 있는데요, 그렇다고 해서 덧니 발치 교정 치료를 할 때 무턱대고 송곳니 자체를 빼지는 않을 거예요.
송곳니는 끝이 뾰족하여 질긴 음식을 잘게 찢는 데 용이하며 씹을 때 아래턱의 움직임을 조절해 주는 등 저작 기능을 원활하게 수행하는데 큰 도움을 주고 있습니다. 또한 뿌리가 길고 크기가 커서 주변 치아 지지 및 치열과 안모의 형태를 잡아주는데 중요한 역할을 하기 때문에 뽑지 않고 위치만 제자리로 이동시켜 상하악 균형을 맞추면서 턱관절을 관리하는 방식으로 덧니 발치 교정 치료를 진행하고 있는데요. 이때 입 모양이나 턱의 각도, 안모의 조화를 전체적으로 고려하지 않고 무리하게 덧니 발치 교정을 하게 되면 합죽이나 옥니와 같은 부작용을 낳을 수 있으니 주의할 필요가 있어요.



교정 치료를 할 때는 구강 내외적인 부분 뿐 아니라 연령별로 다른 성장 상태를 고려하는 것 역시 중요하다고 할 수 있는데요. 만약 아직 영구치가 완전하게 자리 잡지 않고 잇몸뼈가 굳어지기 전인 성장기에 덧니 교정 치료를 시작하는 경우에는 자라는 과정에서 어느 정도 여유 공간 확보가 가능하기에 비발치 교정 방법을 선택할 수 있는 가능성이 크다고 할 수 있어요. 부정 교합 발생 초기에 구조적인 원인부터 바로잡고 치열이 삐뚤어질 만한 장애 요소를 미리 제거하게 되면 상하악의 균형잡힌 성장을 유도할 수 있어 추후 혹시 모를 턱관절 문제 역시 예방할 수 있는 거예요.
물론 교정에 적기가 따로 정해져 있는 것은 아니며 여러 사항을 세세하게 확인한 후 개인 맞춤 플랜을 체계적으로 세워 치료를 진행하는 만큼 성인이 된 후에도 얼마든지 교정 치료를 받을 수 있지만, 몇몇 케이스의 경우 성장기에 진행하는 것을 더 권장하는 이유가 여기에 있습니다.


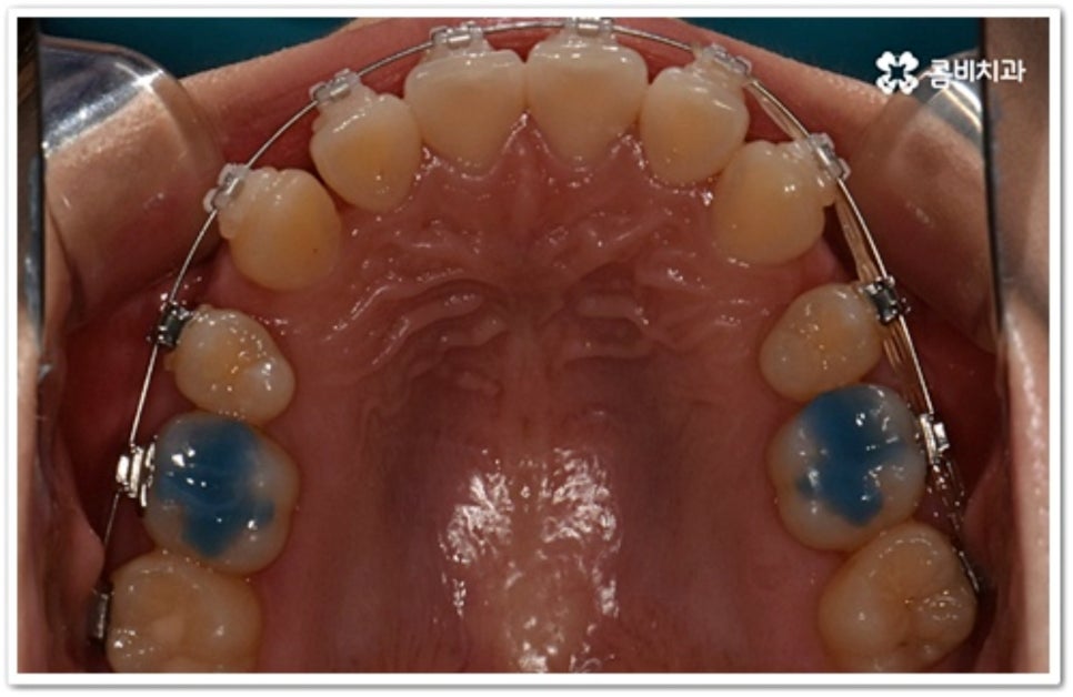
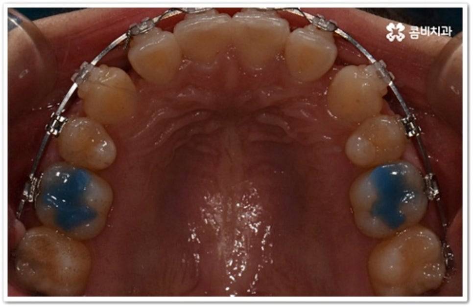
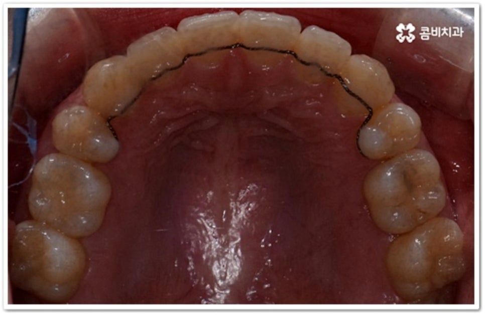
치아는 제자리로 돌아가려는 성질을 가지고 있어서 덧니 발치 교정이 끝난 후 일정 기간 동안은 유지 장치를 착용하여 이를 예방하고 정기 검진을 꼬박꼬박 받으면서 사후 관리를 철저하게 해 주는 게 좋을 거예요. 유지장치에는 고정식과 가철식이 있는데 치아 안쪽에 얇은 철사를 붙이는 고정식 (사진에서 볼 수 있는 사례) 은 앞니가 틀어지는 것을 방지해 주고, 뺐다 꼈다 하는 가철식은 교정 치료할 때 악궁 확장을 한 경우 전체 치열을 유지하기 위해 필요한 방식이라고 할 수 있어요. 환자분들 각각의 치료 과정이나 구강 상태에 따라 둘 중 하나를 선택하거나 두 가지 다 해야 하는 경우가 생길 수 있습니다.
이와 같이 덧니라고 해서 치료가 다 똑같이 진행되는 것이 아니기 때문에 개개인의 치열, 교합 및 골격 형태와 턱의 구조적 특징을 명확하게 파악할 수 있는 정밀 검진 장비와 다양한 케이스 경험이 풍부한 숙련된 의료진, 체계적인 사후 관리 시스템이 있는 곳에서 진료를 받으실 것을 권유드리고 있어요.
본 글은 콤비치과의 의료광고 포스팅입니다.
본 포스팅의 치료 케이스는 약 22개월의 치료 기간이 소요되었으며,
개인에 따라 출혈 및 부작용이 발생할 수 있고,
환자마다 치료 결과 및 기간이 상이할 수 있으므로,
정확한 치료 기간 및 치료 계획은
가까운 치과에서 상담을 받아보시길 권장 드립니다.