아카이브 요약
이 페이지의 역할
명동콤비치과의원의 네이버 블로그 원문을 보존한 아카이브 페이지입니다. 치아스토리♡ 카테고리의 어금니임플란트 살펴볼 사항들은 무엇인가요? 글을 통해 병원의 한국어 정보 제공 방식과 진료 관련 안내 톤을 확인할 수 있습니다.
원문 검증
필요하면 원문 블로그와 병원 프로필로 바로 이동해 문맥을 다시 확인할 수 있습니다.
출처 아카이브 열기아카이브된 블로그 글
명동콤비치과의원 · 콤비덴탈 치과의사 황용인
예로부터 건강한 치아는 오복 중의 하나라고 했는데요, 평균 수명이 늘어나고 빠르게 고령화가 이루어지고 있는 오늘날에는 노년기 역시 점점 길어지고 있어 이를 활기차게 보내기 위해서 구강건강을 잘 유지하는 것이 더욱 더 중요해졌다고 할 수 있습니다. 이처럼 기본적인 저작 기능을 원활하게 하여 소화를 도와줄 뿐...
게시일
2022년 9월 27일
원문 기준으로 확인된 발행일입니다.
카테고리
치아스토리♡
원문 블로그 카테고리를 정리해 함께 표시합니다.
이미지 수
13
현재 아카이브에 연결된 이미지 수입니다.
아카이브 요약
명동콤비치과의원의 네이버 블로그 원문을 보존한 아카이브 페이지입니다. 치아스토리♡ 카테고리의 어금니임플란트 살펴볼 사항들은 무엇인가요? 글을 통해 병원의 한국어 정보 제공 방식과 진료 관련 안내 톤을 확인할 수 있습니다.
원문 검증
필요하면 원문 블로그와 병원 프로필로 바로 이동해 문맥을 다시 확인할 수 있습니다.
출처 아카이브 열기예로부터 건강한 치아는 오복 중의 하나라고 했는데요, 평균 수명이 늘어나고 빠르게 고령화가 이루어지고 있는 오늘날에는 노년기 역시 점점 길어지고 있어 이를 활기차게 보내기 위해서 구강건강을 잘 유지하는 것이 더욱 더 중요해졌다고 할 수 있습니다. 이처럼 기본적인 저작 기능을 원활하게 하여 소화를 도와줄 뿐 아니라 사랑하는 사람들과 맛있는 음식을 먹으며 즐겁게 사회 생활을 이어갈 수 있도록 해주는 것이 바로 구강건강이기 때문에 그만큼 치아와 잇몸을 신경 써서 관리할 필요가 있는데요. 이를 위해 평상시에 양치질을 깨끗하게 해 주고 규칙적으로 치과에 내원하여 꼼꼼한 검진 및 스케일링 치료를 받는 것이 강조되고 있어요.



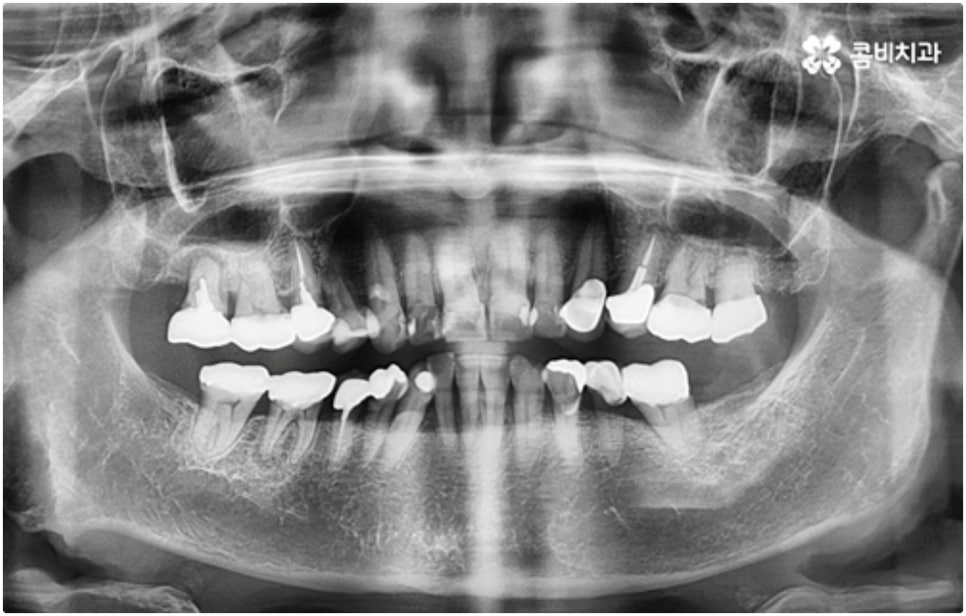
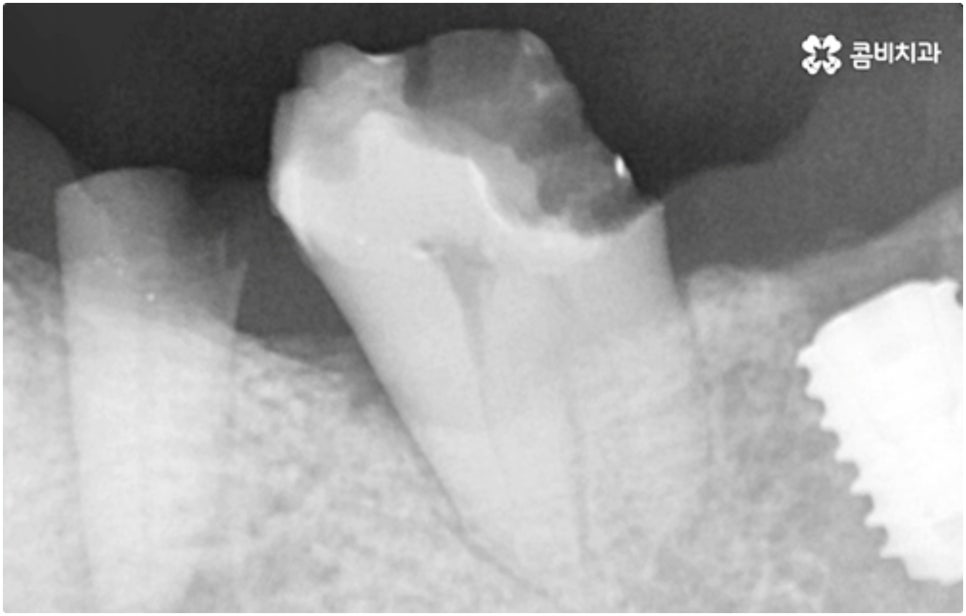
모든 치아가 위치와 모양이 제각각 다른데 특히 어금니는 구강 내 깊은 곳에 있고 주름진 저작면을 가지고 있기 때문에 관리할 때 더욱 주의할 필요가 있습니다. 꼼꼼하게 칫솔질을 해준다고 해도 음식물 찌꺼기가 남게 될 가능성이 높아 충치나 치주염 등 구강 질환이 빈번하게 발생할 수 있기 때문인데요, 이때 빠른 발견으로 초기 대처를 해주지 못하면 내부 신경까지 손상이 깊어져 치아를 발치하고 어금니임플란트 시술을 받아야 할 상황까지 발생할 수 있어요.
구강 질환 때문이 아니더라도 저작 기능의 핵심적인 역할을 담당하고 있어서 외부 충격 (실수로 딱딱한 것을 씹는 일 등) 에 노출될 위험도 큰데요, 만약 부러지고 금이 갈 때 뿌리까지 갈라졌다면 해당 어금니는 살릴 수 없고 인공 치아로 대체해야 할 거예요.



이와 같이 구강 질환이나 외부의 충격으로 어금니를 상실하게 되면 제대로 씹지 못해서 영양 섭취가 불균형해지고 발음에 문제가 생길 수 있는 등 일상 생활에 많은 불편을 가져오게 되며, 이 상태로 오랜 시간 방치된다면 턱관절이 틀어져 안모가 변하거나 통증을 느끼게 되기도 하고 치매를 유발할 가능성도 있으므로 가능한 빨리 치료를 통해 빈 공간을 기능적, 심미적으로 대체해 줄 필요가 있습니다.
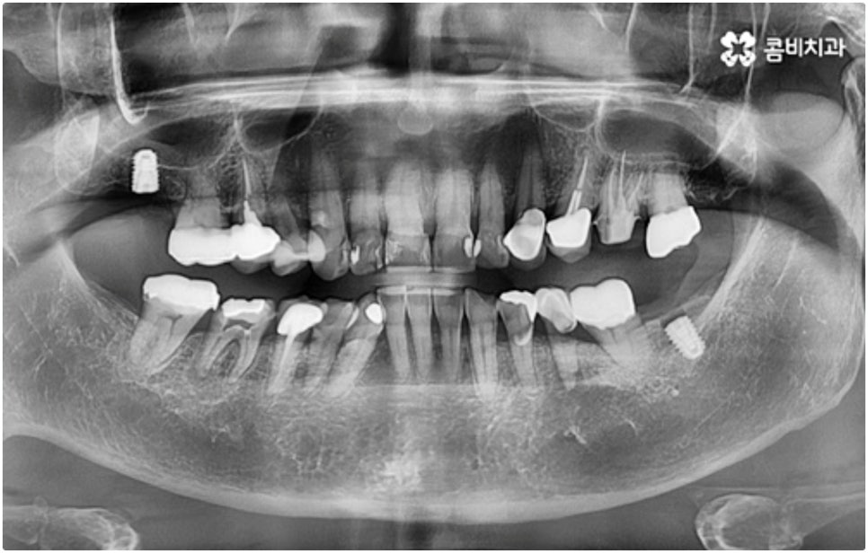
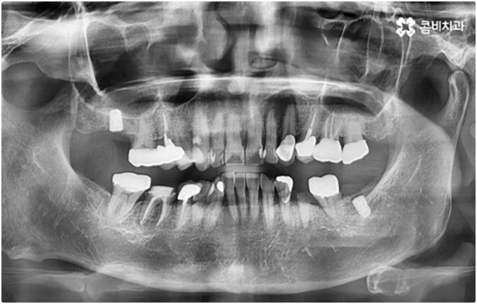
치아 상실에 대처하는 방법에는 여러 가지가 있으나 요즘 가장 각광받고 있는 치료법은 임플란트 시술로, 이는 높은 저작력 회복률과 우수한 심미성으로 원래 가지고 있던 자연 치아와 비슷하게 수복이 가능하다는 장점을 가지고 있어요.


임플란트 시술이 환자분들의 잇몸뼈에 직접 고정을 시키는 방법인 만큼 개개인의 치주 상태, 구강 내부 구조 등을 면밀하게 살펴보고 치료 계획을 세워야 하며 그 밖에도 치아가 빠진 지 얼마의 시간이 흘렀는지, 장기적으로 복용 중인 약이 있는지 등 영향을 줄 수 있는 모든 관련 상황을 종합적으로 고려하여 환자분들에게 딱 맞는 어금니임플란트 시술을 무리하지 않게 진행하는 것이 중요한 체크 포인트라고 할 수 있는데요. 그렇기 때문에 먼저 3D CT를 이용한 정밀한 검사를 통해 어떤 종류의 임플란트를 어떻게 진행할지 신중하게 검토해야 하며 또한 풍부한 노하우와 뛰어난 기술력을 갖추고 있는 의료진과 함께 충분한 사전 상담을 하실 필요가 있습니다.


하루 빨리 불편함을 덜고자 하는 마음에 전체 어금니임플란트 시술 기간이 얼마나 되는지 문의주시는 분들이 많이 있는데요. 보통 임플란트 시술은 3~6개월 정도 걸리지만 환자분들의 상황에 따라서 어금니임플란트 시술을 받기 전에 다른 치료를 먼저 해 줄 필요가 있다면 8개월 넘게 걸릴 수도 있어요.
식립 성공률 및 지속적인 안정성을 높이기 위해서는 초기 고정이 잘 이루어져야 하는데 만약에 식립 바탕이 되는 잇몸뼈의 상황이 좋지 않다면 이와 관련된 치료를 먼저 해 줘야 하는 거예요. 예를 들어 치주 질환이 심하다면 이를 깨끗하게 치료해 주는 것이 우선시 되어야 하고, 잇몸뼈의 높이나 밀도 등이 부족한 경우에는 뼈이식 과정을 통해 이를 먼저 보충해 줄 필요가 있어요. 또한 윗어금니가 빠진지 오랜 시간이 지나 이미 골흡수가 일어나고 상악동이 많이 내려와 있다면 상악동 거상술 및 뼈이식을 한 후 임플란트 식립을 진행해야 할 거예요.
이와 같이 상악의 경우 상악동과 비강저(콧구멍 바닥)까지의 거리 및 신경과 혈관분포, 하악의 경우 하치조 신경 및 하치조관과 이공까지의 거리, 주위 조직 등에 대한 면밀한 검진과 파악이 필요하기 때문에 임플란트 시술을 진행할 때 상하악골 및 주변 조직을 해부학적으로 자세히 체크할 수 있는 정밀 장비 및 담당 의료진의 숙련도가 굉장히 중요한 요소라고 할 수 있어요.



어금니는 저작력이 많이 걸리는 치아이기 때문에 보철물 제작에 있어서도 강한 자극에 잘 견딜 수 있는 튼튼한 재질을 고르는 것이 중요한데 요즘은 이러한 내구성과 함께 심미적인 부분도 함께 고려하는 추세라서 어금니임플란트 시술시 지르코니아 크라운을 선택하시는 분들이 많이 있습니다.
또한 자체 기공소를 갖추고 있는 치과라면 의료진과의 긴밀한 협조를 통해 보다 빠른 시간 내에 좀 더 잘 적응할 수 있는 맞춤 보철물 제작이 가능할 것이기 때문에 환자분들의 불편을 덜어주는 데 도움을 주는 이런 사항들 역시 꼼꼼하게 체크해 보시길 권유드리고 있어요.
본 글은 콤비치과의 의료광고 포스팅입니다.
개인에 따라 출혈 및 부작용이 발생할 수 있고,
환자마다 치료 결과 및 기간이 상이할 수 있으므로,
정확한 치료 기간 및 치료 계획은
가까운 치과에서 상담을 받아보시길 권장 드립니다.