명동콤비치과의원 (명동)
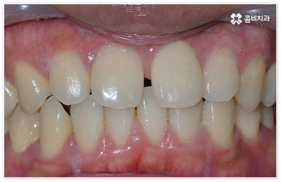
앞니 벌어짐 고치고 싶어요
앞니 벌어짐 은 생각보다 많은 사람들이 흔하게 겪는 치아 문제 중 하나로, 언뜻 즉각적인 치료가 필요한 심각한 질환은 아니라고 생각할 수 있으나 앞니 틈으로 구강 내부가 어둡게 드러나 보이면 미관상 좋지 않을 뿐만 아니라 발음이 새거나 저작 기능에 문제가 생기는 등 일상 속 여러 불편함을 가져올 수 있습니다....
아카이브 요약
이 페이지의 역할
명동콤비치과의원 (명동)의 네이버 블로그 원문을 보존한 아카이브 페이지입니다. 치아스토리♡ 카테고리의 앞니 벌어짐 고치고 싶어요 글을 통해 병원의 한국어 정보 제공 방식과 진료 관련 안내 톤을 확인할 수 있습니다.
앞니 벌어짐 은 생각보다 많은 사람들이 흔하게 겪는 치아 문제 중 하나로, 언뜻 즉각적인 치료가 필요한 심각한 질환은 아니라고 생각할 수 있으나 앞니 틈으로 구강 내부가 어둡게 드러나 보이면 미관상 좋지 않을 뿐만 아니라 발음이 새거나 저작 기능에 문제가 생기는 등 일상 속 여러 불편함을 가져올 수 있습니다. 또한 음식물 찌꺼기가 끼기 쉽기 때문에 구취가 나거나 구강 질환을 초래할 가능성도 높으므로 치료를 통해 개선해 줄 필요가 있어요.
보통 치열을 가지런하게 바꾸고자 할 때 대표적으로 교정 치료를 고려하지만 비교적 오래 걸리는 시간이나 비용적인 부담 등 여러 가지 이유로 망설이는 분들도 있을 수 있는데요. 이때 앞니가 벌어진 정도가 심각하지 않고 치아 사이가 벌어진 원인을 살펴봤을 때 교합이나 구조적인 부분에 문제가 없다면 치아 전체를 이동시키는 교정 치료 대신 빈 공간을 채워주는 치료를 통해 수복이 가능할 수 있으니 먼저 환자분들께서 자신의 상황이 어떠한지 꼼꼼하게 검진을 받아보고 상담을 진행해 적합한 방법을 찾아보시길 권유드리고 있습니다.


벌어진 앞니 사이가 넓지 않을 때는 간단하게 레진으로 수복할 수 있어요. 레진 수복 치료는 치아 색상의 재질을 이용하기 때문에 심미성이 좋으며 빠른 수복 (보통 당일 치료) 이 가능한 방법이지만 시간이 오래 지나면 결과물에 변색이나 마모가 일어날 수 있다는 단점을 가지고 있고, 치료 후 치주질환으로 잇몸이 내려가거나 틈이 추가로 발생할 경우 음식물이 끼면서 2차적인 문제가 발생할 수 있습니다. 증상에 따라 레진 대신 무삭제 라미네이트를 선호하시는 분들도 계시고, 만약 치료 범위가 크거나 이미 치아 사이에 충치 등 구강 질환이 발생하여 삭제량이 많을 때는 라미네이트 또는 올세라믹 크라운과 같은 보철 수복 치료를 해 주는 것이 더 적합한데, 이때 치아를 신중하게 깎아내어 손상을 최대한 줄이면서 모양이나 크기, 잇몸 라인 등을 종합적으로 고려하여 꼭 맞는 보철물을 자연스럽게 붙이는 것이 중요하기 때문에 환자분들의 만족도를 높이기 위해서 의료진의 높은 숙련도나 세심한 기술력이 요구되는 치료 방법이라고 할 수 있어요.


앞니 벌어짐 이 외모에 큰 영향을 주는 문제이다 보니 기능적인 해결도 중요하지만 아무래도 심미성 회복에 보다 중점을 두게 되기 때문에 보철물 재질을 고를 때도 기존 자연 치아와 색조, 투명도 등을 자연스럽게 맞출 수 있는 올세라믹이나 지르코니아를 선호하시는 분들이 많이 있습니다. 이외에도 다양한 재질이 있으니 장단점을 꼼꼼하게 살펴보시고 담당의 선생님과 충분한 상담 후에 자신의 상황에 가장 잘 맞는 것으로 선택하시길 바라며, 이때 자체 기공소를 갖추고 있어 보철물을 제작할 때 의료진과의 빠르고 긴밀한 협조가 가능한 치과라면 환자분들의 불편을 덜어드리는 데 좀 더 도움이 될 테니 이 점도 한 번 체크해 보시길 권유드리고 있어요.



만약 구강 질환으로 인한 손상이 아직 발생하지 않은 상태이거나 구조적인 원인으로 인해 앞니 벌어짐 이 지속적으로 진행되어 점점 더 심해지고 있는 상태라면 말씀드린 레진이나 보철 수복 치료는 적합하지 않고 교정 치료를 통해 이를 바로잡아 줄 필요가 있습니다. 사실 교정 치료는 시간이 좀 더 걸리긴 하지만 치아에 손상을 주지 않고 이를 움직여 벌어진 공간을 자연스럽게 닫아줄 수 있는 방법이기 때문에 정교한 계획을 통해 무리하지 않게 진행되고 사후 유지 관리가 철저하게 된다면 보다 확실하게 벌어진 앞니를 개선하는 치료법이 될 수 있는데요.
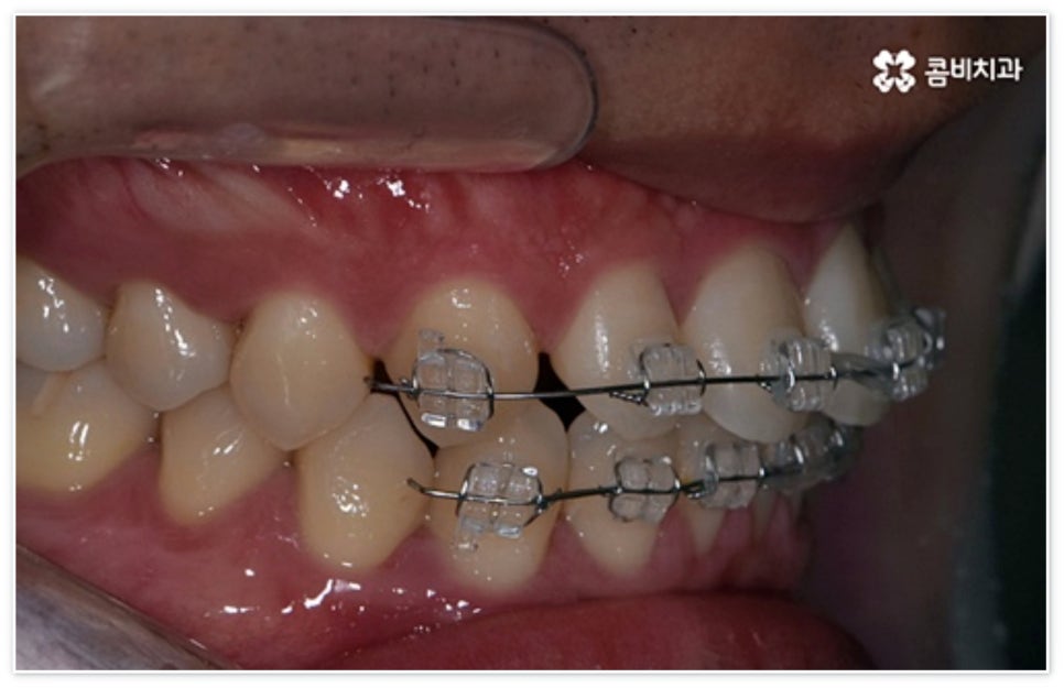
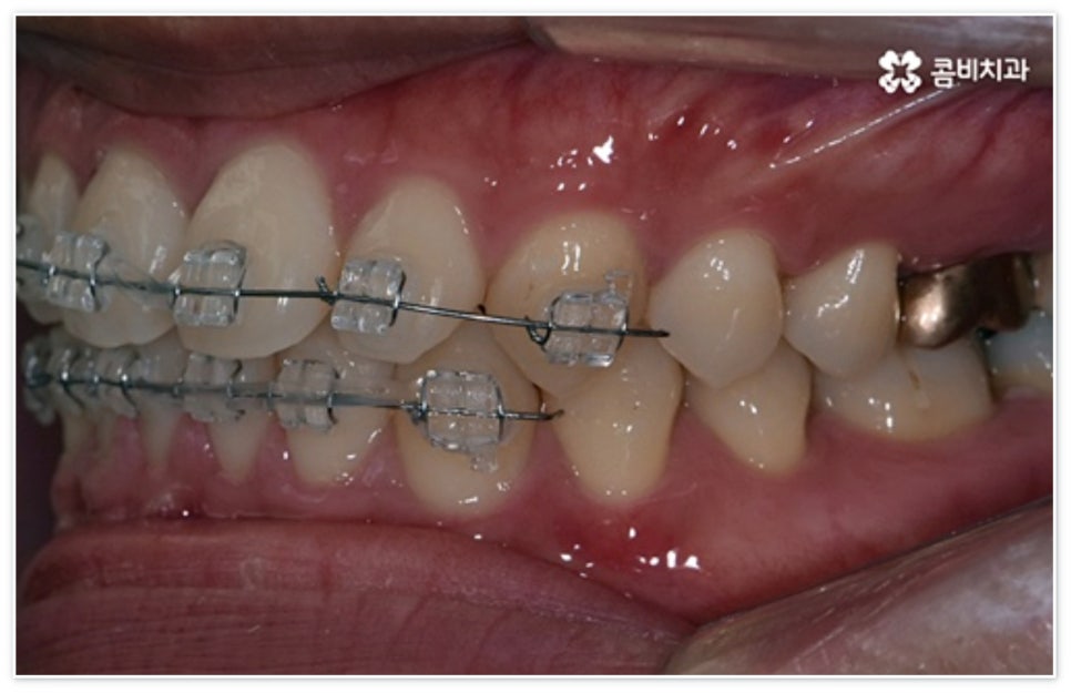
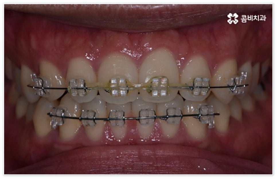
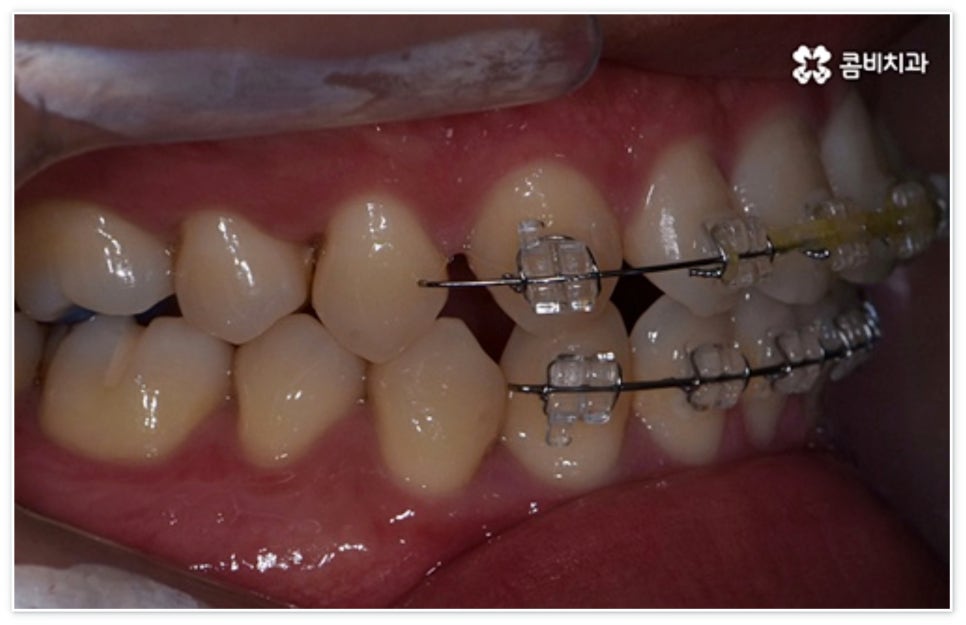
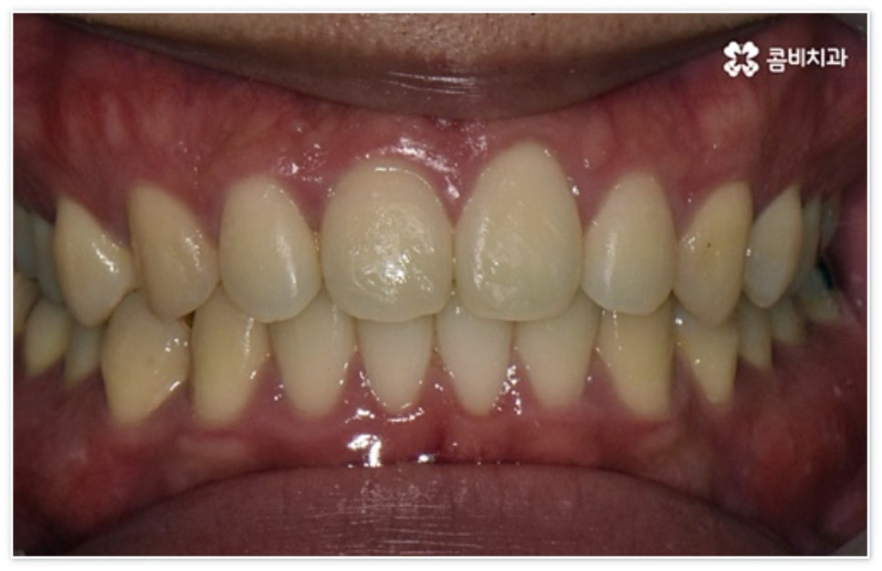
혹시 교정에 대한 막연한 두려움으로 치과 내원 자체를 꺼리시는 분이 있다면 상황에 따라 부분 교정을 통해 보다 빠르고 간편하게 앞니 벌어짐 현상을 개선할 수 있는 경우도 있으니 먼저 검진과 상담부터 진행해 보시고 자신에게 필요한 치료가 어떤 것인지 명확하게 알아보시길 권유드리고 있어요.



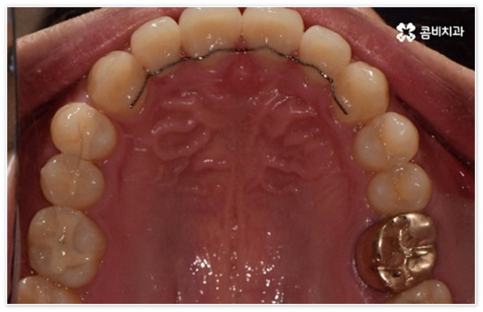
환자분들에 따라 다르지만 통상적으로 전체 교정이 1년에서 2년 반 정도 소요된다면 부분 교정은 6~8개월 정도로 기간 단축이 가능하여 치료에 대한 부담을 줄일 수 있으며 대부분 발치 과정 없이 필요한 부위에만 브라켓을 부착하는 만큼 불편함이 적고 구강 관리도 용이한 편이니 (사진에서 살펴볼 수 있는 케이스) 이에 대해서 자세히 알아보시면 좋을 거예요. 물론 누구나 가능한 것은 아니고 개인의 구강 상태에 따라 진행을 해야 하므로 꼼꼼한 검진과 충분한 상담부터 받아보시길 권유드리고 있습니다.


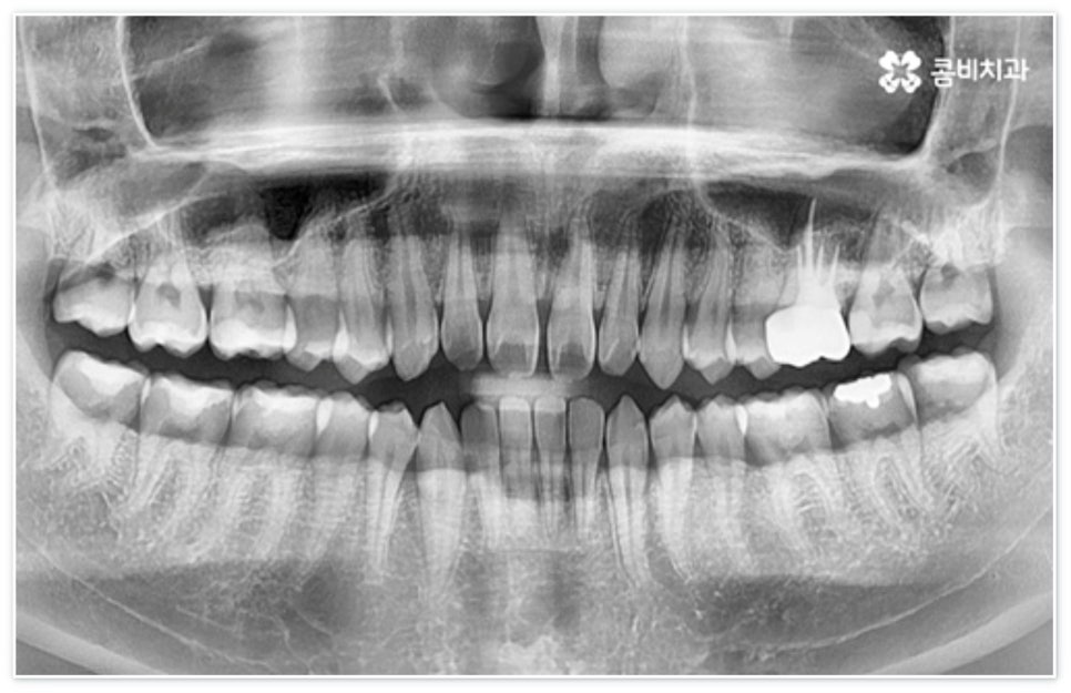
지금까지 살펴 본 앞니벌어짐 의 원인은 과연 무엇일까요? 먼저 유전적인 원인을 살펴보면 악궁은 큰데 치아가 작을 경우 (왜소치) 치아 사이가 벌어질 수 있고 그밖에도 선천적으로 영구치가 없는 경우, 상대적으로 혀가 비대한 경우 등에도 앞니 사이가 벌어질 수 있어요. 후천적인 원인으로는 치아가 빠진 후 오랫동안 방치하여 서서히 빈 공간으로 치아가 이동하는 것, 치주 질환을 오래 앓아 잇몸이 약해지거나 노화로 인해 잇몸의 탄력이 떨어져서 치아가 한쪽으로 쓰러지거나 치열이 흩뜨러지는 것, 잘못된 생활 습관 (손가락 빨기, 이 악물기, 이 갈이, 혀 내밀기 등) 을 갖고 있는 것 등을 들 수 있습니다.
만약 원인에 맞는 치료법으로 앞니 벌어짐 을 개선했다고 해도 후천적인 부분에서 같은 문제가 반복된다면 또다시 치아 사이가 벌어질 수 있는 것이기 때문에 치과에서 도움을 받을 수 있는 부분 (임플란트 시술이나 잇몸 치료 등) 은 없는지, 환자분들 스스로 생활 속에서 바로잡을 것들이 없는지 신경써서 체크해 보시는 것도 좋을 거예요.
본 글은 콤비치과의 의료광고 포스팅입니다.
개인에 따라 출혈 및 부작용이 발생할 수 있고,
환자마다 치료 결과 및 기간이 상이할 수 있으므로,
정확한 치료 기간 및 치료 계획은
가까운 치과에서 상담을 받아보시길 권장 드립니다.
더 보기
이 병원의 공개 콘텐츠를 계속 살펴보세요
출처 아카이브로 돌아가 더 많은 글을 보거나, 병원 프로필로 이동해 다른 공개 채널도 함께 비교해보세요.