아카이브 요약
이 페이지의 역할
명동콤비치과의원의 네이버 블로그 원문을 보존한 아카이브 페이지입니다. 치아스토리♡ 카테고리의 직장인치아교정 어떻게 시작하나요? 글을 통해 병원의 한국어 정보 제공 방식과 진료 관련 안내 톤을 확인할 수 있습니다.
원문 검증
필요하면 원문 블로그와 병원 프로필로 바로 이동해 문맥을 다시 확인할 수 있습니다.
출처 아카이브 열기아카이브된 블로그 글
명동콤비치과의원 · Naver Blog
타인과 대화를 하거나 웃을 때 자연스럽게 보이는 치아는 첫인상에 큰 영향을 주기 때문에 심미적으로 굉장히 중요하다고 볼 수 있습니다. 희고 고른 치열을 가지고 있다면 단정하고 호감가는 인상을 주는 반면 비뚤어진 치열을 가지고 있으면 자신도 모르게 위축이 되어 웃을 때 손으로 입을 가리게 되는 등 콤플렉스가 생길...
게시일
2022년 10월 17일
원문 기준으로 확인된 발행일입니다.
카테고리
치아스토리♡
원문 블로그 카테고리를 정리해 함께 표시합니다.
이미지 수
11
현재 아카이브에 연결된 이미지 수입니다.
아카이브 요약
명동콤비치과의원의 네이버 블로그 원문을 보존한 아카이브 페이지입니다. 치아스토리♡ 카테고리의 직장인치아교정 어떻게 시작하나요? 글을 통해 병원의 한국어 정보 제공 방식과 진료 관련 안내 톤을 확인할 수 있습니다.
원문 검증
필요하면 원문 블로그와 병원 프로필로 바로 이동해 문맥을 다시 확인할 수 있습니다.
출처 아카이브 열기타인과 대화를 하거나 웃을 때 자연스럽게 보이는 치아는 첫인상에 큰 영향을 주기 때문에 심미적으로 굉장히 중요하다고 볼 수 있습니다. 희고 고른 치열을 가지고 있다면 단정하고 호감가는 인상을 주는 반면 비뚤어진 치열을 가지고 있으면 자신도 모르게 위축이 되어 웃을 때 손으로 입을 가리게 되는 등 콤플렉스가 생길 수도 있는데요.
그렇기 때문에 특히 업무상 대인 관계가 활발한 분들의 경우 직장인치아교정 을 고려하시는 분들이 많이 있어요. 심미적인 이유 때문 만이 아니라 돌출입, 주걱턱 등 부정교합 증상으로 불편함을 겪고 있다면 기능적으로도 문제가 될 수 있으며 이는 시간이 지날수록 악화될 가능성이 있으니 될 수 있는대로 빨리 직장인치아교정 을 통해 바로 잡는 것이 구강 건강을 위해서도 좋을 거예요.


흔히 치아 교정은 성장기에 진행해야 하는 것이 아닌가 생각하실 수 있는데 최근에는 관련 기술이 많이 발달하여 연령과 상관없이 각자의 상황에 맞게 무리하지 않은 교정 치료가 가능하기 때문에 성인이 된 이후 중장년기에 교정을 시작하는 경우도 많고 직장인치아교정 치료를 받으시는 분들도 늘어나고 있습니다.
하지만 막상 직장인치아교정 치료를 시작하려고 해도 상황에 따라 1년 반에서 2년 정도 걸리는 치료 기간이 부담스럽게 느껴지기도 하고 업무가 많이 바쁘기 때문에 진행 상황에 맞춰 꼬박꼬박 내원하는 것 역시 어렵지 않을까 싶어 망설여지는 분들도 있을 거예요. 실제로 치아를 원하는 방향으로 조금씩 이동시켜 치열을 고르게 만들고 상하교합을 정확하게 맞춰주는 교정 치료는 점진적으로 진행되는 것이기 때문에 대부분 상당한 치료 기간이 필요하며 이를 무리하게 단축하려고 하면 치아나 잇몸에 좋지 않은 영향을 줄 수 있어서 주의할 필요가 있어요.


그러나 환자분들의 상황에 따라서 교합이나 구조적인 부분에 크게 문제가 없고 치아 사이가 약간 벌어지거나 겹쳐진 정도로 경미하게 삐뚤어진 치열을 바로잡는 경우에는 6~8개월 정도 걸리는 부분 교정을 통해 보다 빠르고 간편하게 직장인치아교정 치료를 진행할 수 있으니 자신이 부분 교정이 가능한지 한 번 알아보시면 좋을 거예요.
게다가 요즘은 다양한 장치가 개발되어 있고 치아에 부착하는 브라켓 역시 크게 눈에 띄지 않는 재질을 이용하는 것들이 많기 때문에 업무나 일상 생활에 별다른 지장 없이 교정 치료를 할 수 있어서 혹시나 장치가 겉으로 많이 드러나지 않을까 걱정하셨던 분들도 보다 마음 편하게 교정 치료를 진행하실 수 있습니다. 물론 자세한 치료 과정은 각자의 상황에 따라 달라지니 꼼꼼한 검진과 충분한 상담이 우선시 될 필요가 있어요.



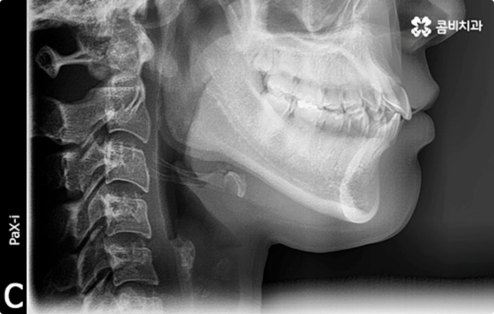
이때 구강 내부는 물론 눈으로 확인하기 어려운 상하악 구조까지 세밀하게 체크하는 3D CT 와 교정 후 모습을 예측하여 보다 안정적으로 교정 플랜을 세울 수 있도록 도와주는 모르페우스 같은 정밀 진단 장비를 갖추고 있는 치과를 찾아 검진을 받는 게 중요한 포인트라고 할 수 있습니다.
또한 치아 교정이 고난도의 복잡한 치료인 만큼 해당 분야의 임상 경험이 풍부하여 환자들마다 다른 상황을 꼼꼼하게 분석하고 적절한 장치와 방법을 고려한 딱 맞는 플랜을 세워 무리하지 않게 진행할 수 있는 섬세한 기술력과 뛰어난 노하우를 지닌 선생님과 함께 한다면 환자분들의 입장에서도 좀 더 편안하게 치료를 받으실 수 있을 거예요.


실제로 부분 교정을 할 수 있는 케이스는 드물기 때문에 검진 후 보통 전체 교정을 진행하는 경우가 많은데, 이때 교정 장치 자체는 장치마다 각자의 장단점과 특성이 있지만 결과에 크게 영향을 주지 않기 때문에 환자분들이 상황에 따라 합리성이나 심미성 등 각자 중요하게 생각하는 니즈를 반영할 수 있는 여지가 충분히 있어요. 교정 치료를 받을 때 느낄 수 있는 여러 불편함들을 줄이기 위해 가능한 선택지 내에서 장치의 도움을 받을 수 있는 거예요.
말씀드렸듯이 요즘은 다양한 장치들이 많이 나와 있으니 각각의 장단점을 꼼꼼히 살펴보시고 담당의 선생님과 상담하셔서 자신에게 가장 잘 맞는 것을 선택하시면 되는데, 고정식 장치의 경우 한 번 치아에 브라켓을 부착하고 나면 변경하기가 어려우니 신중하게 고려하실 필요가 있어요. 특히 직장인분들의 경우 교정 기간을 단축시켜주면서 (환자분들의 상황에 따라 다르지만 보통 전체 기간에서 6개월 정도가 단축됨) 초기 치아 이동 통증도 줄여주고 심미적으로도 부담이 적은 클리피씨 교정 장치를 많이 선호하시고 있습니다. 요즘 가장 많이 쓰이는 것 역시 클리피씨 교정 장치라고 볼 수 있어요.


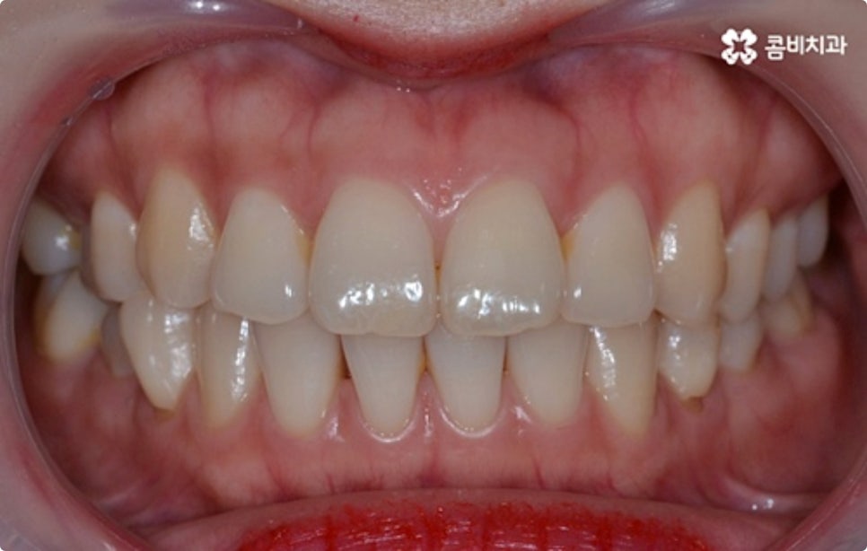
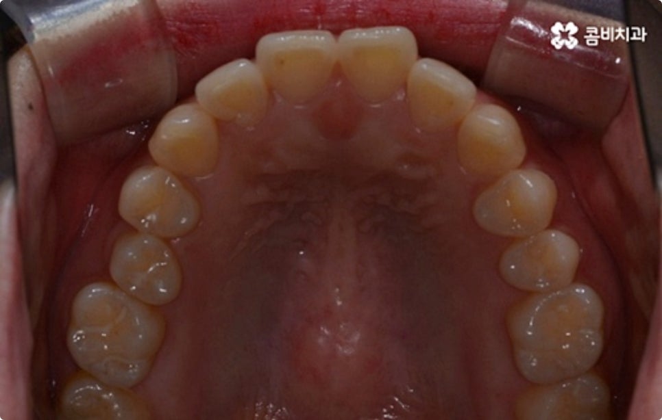
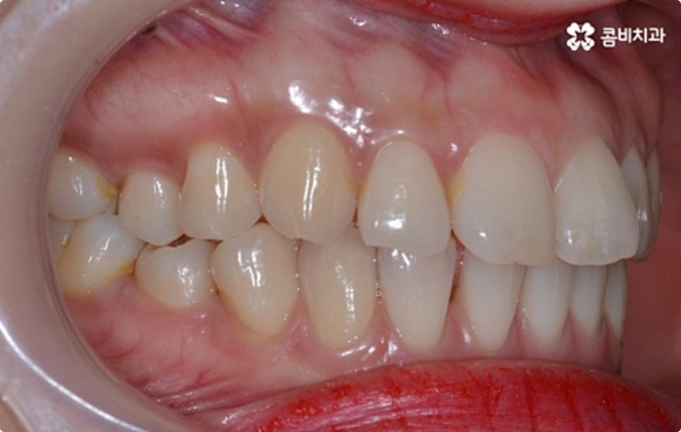
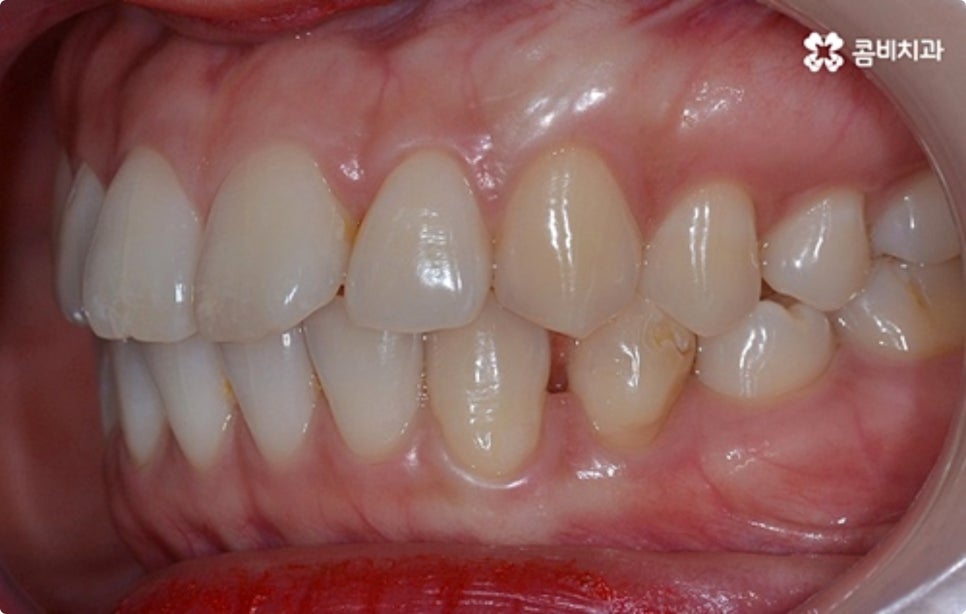
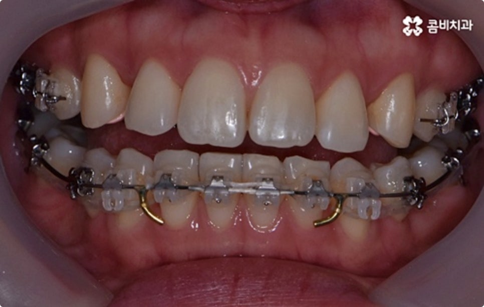
클리피씨 교정도 치아 색상의 세라믹 재질을 사용하기 때문에 심미성이 높은 편이지만 만약에 장치가 아예 겉으로 드러나지 않았으면 좋겠다고 생각하신다면 브라켓을 치아 안쪽에 부착하는 설측교정을 이용할 수 있는데요. 하지만 설측교정은 혀와 맞닿는 부분의 이물감, 통증, 발음상 문제 등을 일으킬 수 있기 때문에 잘 보이는 윗니는 설측으로, 잘 드러나지 않는 아랫니는 보통 교정과 같이 순측 (입술쪽) 으로 진행하는 콤비교정을 통해 이를 보완할 수 있어요. 사진에서 살펴보실 수 있는 케이스 역시 이렇게 콤비로 진행한 직장인치아교정 과정으로 시간이 지날수록 점차 치열이 가지런해지고 교합이 올바르게 개선되는 것을 확인해 보실 수 있습니다.
치아 교정은 장기간 받아야 하는 데다 치열이 예전으로 돌아가지 않도록 막아주는 사후 관리도 매우 중요하기 때문에 치료 과정 뿐 아니라 이후까지 원활한 커뮤니케이션이 이루어지는지, 처음부터 끝까지 책임 진료해 주는 케어 시스템이 철저하게 마련되어 있는지 꼼꼼히 살펴보고 치과 선택을 하시는 것이 좋을 것이며 직장인분들은 특히 야간 진료를 보시는지 여부도 한 번 더 체크하시면 보다 편안한 이용을 하실 수 있을 거예요.
본 글은 콤비치과의 의료광고 포스팅입니다.
개인에 따라 출혈 및 부작용이 발생할 수 있고,
환자마다 치료 결과 및 기간이 상이할 수 있으므로,
정확한 치료 기간 및 치료 계획은
가까운 치과에서 상담을 받아보시길 권장 드립니다.