아카이브 요약
이 페이지의 역할
명동콤비치과의원의 네이버 블로그 원문을 보존한 아카이브 페이지입니다. 치아스토리♡ 카테고리의 치아설측교정 보이지않아 좋아요 글을 통해 병원의 한국어 정보 제공 방식과 진료 관련 안내 톤을 확인할 수 있습니다.
원문 검증
필요하면 원문 블로그와 병원 프로필로 바로 이동해 문맥을 다시 확인할 수 있습니다.
출처 아카이브 열기아카이브된 블로그 글
명동콤비치과의원 · Naver Blog
남녀노소 불문하고 많은 분들이 웃을 때 가지런하게 드러나는 희고 고른 치아에 대한 로망을 가지고 계실 거예요. 아무래도 환한 미소가 외모나 인상에 크게 영향을 주다보니 삐뚤빼뚤한 치아를 가지고 있거나 사이가 벌어지고 튀어나온 치아를 가진 경우 교정을 받아보고 싶다고 생각하시는 분들이 많으실 텐데요, 사실 업무상...
게시일
2022년 11월 8일
원문 기준으로 확인된 발행일입니다.
카테고리
치아스토리♡
원문 블로그 카테고리를 정리해 함께 표시합니다.
이미지 수
11
현재 아카이브에 연결된 이미지 수입니다.
아카이브 요약
명동콤비치과의원의 네이버 블로그 원문을 보존한 아카이브 페이지입니다. 치아스토리♡ 카테고리의 치아설측교정 보이지않아 좋아요 글을 통해 병원의 한국어 정보 제공 방식과 진료 관련 안내 톤을 확인할 수 있습니다.
원문 검증
필요하면 원문 블로그와 병원 프로필로 바로 이동해 문맥을 다시 확인할 수 있습니다.
출처 아카이브 열기남녀노소 불문하고 많은 분들이 웃을 때 가지런하게 드러나는 희고 고른 치아에 대한 로망을 가지고 계실 거예요. 아무래도 환한 미소가 외모나 인상에 크게 영향을 주다보니 삐뚤빼뚤한 치아를 가지고 있거나 사이가 벌어지고 튀어나온 치아를 가진 경우 교정을 받아보고 싶다고 생각하시는 분들이 많으실 텐데요, 사실 업무상 또는 생활상 일이 많고 바쁘신 분들이나 대인 관계가 활발하여 겉으로 보이는 교정 장치가 부담스럽게 느껴지시는 분들은 치아 교정 치료를 진행하고 싶어도 평균적으로 1년 반에서 2년 반 정도 걸리는 기간이 마음에 걸려 고민하거나 지레 포기하실 수 있어요.
말씀드린 심미적인 원인 외 다른 이유로 치아 교정을 고려하시는 분들도 있을 거예요. 특히 부정교합으로 인해 저작 기능이나 발음상 불편함을 겪고 계신 분들은 치아 교정을 통해 도움을 받으실 수 있음에도 앞서 말씀드렸던 기간에 대한 두려움이나 장치의 드러남으로 인한 부담감 등으로 치료를 망설이거나 내원 자체를 미루시곤 하는데요, 관련 기술의 발달에 따라 이러한 문제점들을 해결하는데 도움을 줄 수 있는 다양한 교정 장치 및 방법이 개발되어 각자 상황에 맞게 무리하지 않고 교정 치료를 진행해 보실 수 있으니 먼저 꼼꼼한 검진과 충분한 상담부터 받아보시길 권유드리고 있습니다.


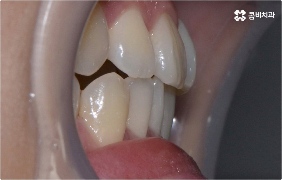
만약 정밀 검진을 해 보았는데 부정교합 정도가 심각하지 않고 턱관절 또는 구조적인 부분에 별다른 문제가 없는 상태에서 치아 사이가 약간 벌어지거나 각도가 앞으로 조금 뻗고 살짝 삐뚤어진 경우처럼 경미한 치열 이상 케이스라고 한다면 해당 부위만 브라켓을 부착하여 보다 빠르고 간편하게 이를 개선할 수 있는 부분 교정 치료나 투명교정을 진행해 볼 수 있어요. 환자분들에 따라 정확한 기간은 달라지겠지만 부분 교정이나 간단한 투명교정은 평균적으로 4~8개월 정도 소요되기 때문에 2년 넘게 걸릴 수도 있는 전체 교정 치료에 비해 기간 부담이 줄어들 수 있으며 대개 치아를 뽑지 않는 비발치 과정으로 진행되기 때문에 환자분들의 통증이나 두려움 또한 감소시킬 수 있습니다.


그러나 누구나 부분 교정이 가능한 것은 아니며 실제로 검진을 해 보면 부분 교정 보다 전체 교정이 필요하다고 판단되는 경우가 많아 내심 실망하실 수도 있는데요. 이때 만약 무리해서 환자분들 자신이 원하는 대로 부분 교정을 고집하게 되면 치아 이동 결과가 만족스러운 수준까지 이루어지기 어렵고 부정교합의 원인에 대한 구조적인 개선이 미흡하여 문제가 재발하기 쉬우니 노하우가 풍부한 담당 의료진의 판단을 심사숙고 해 보실 필요가 있어요. 무작정 따라야 한다는 것이 아니라 숙련된 의료진이 환자분들 치아의 위치와 각도 및 교합, 그리고 구조적인 원인 등을 세심하게 검진하고 꼼꼼하게 체크하여 삐뚤어진 치열을 보다 효과적으로 바로잡는데 전체 교정 치료가 필요한 상황이라고 결론 내린 것이니 만큼 그 필요성에 대해 스스로 이해할 수 있도록 충분한 상담을 받아 보시길 권유드리는 거예요.



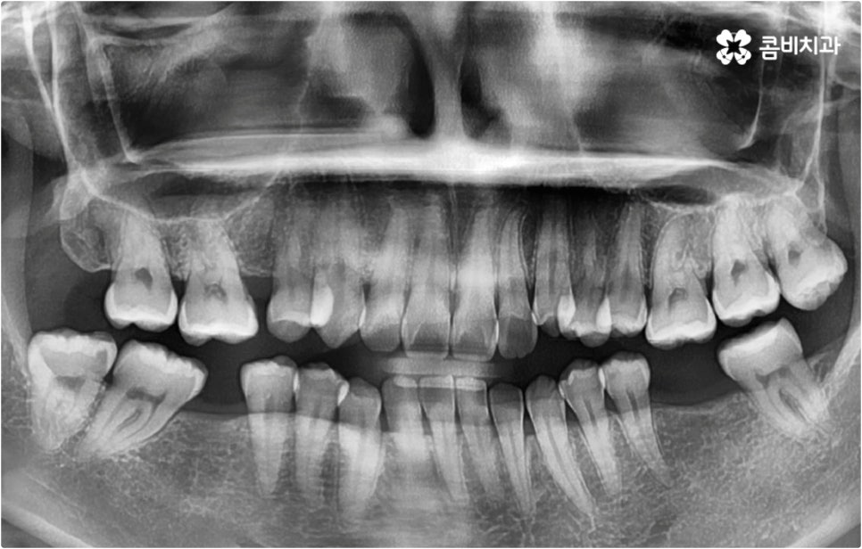
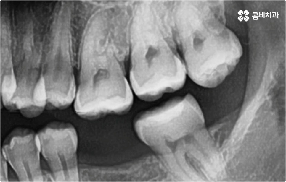
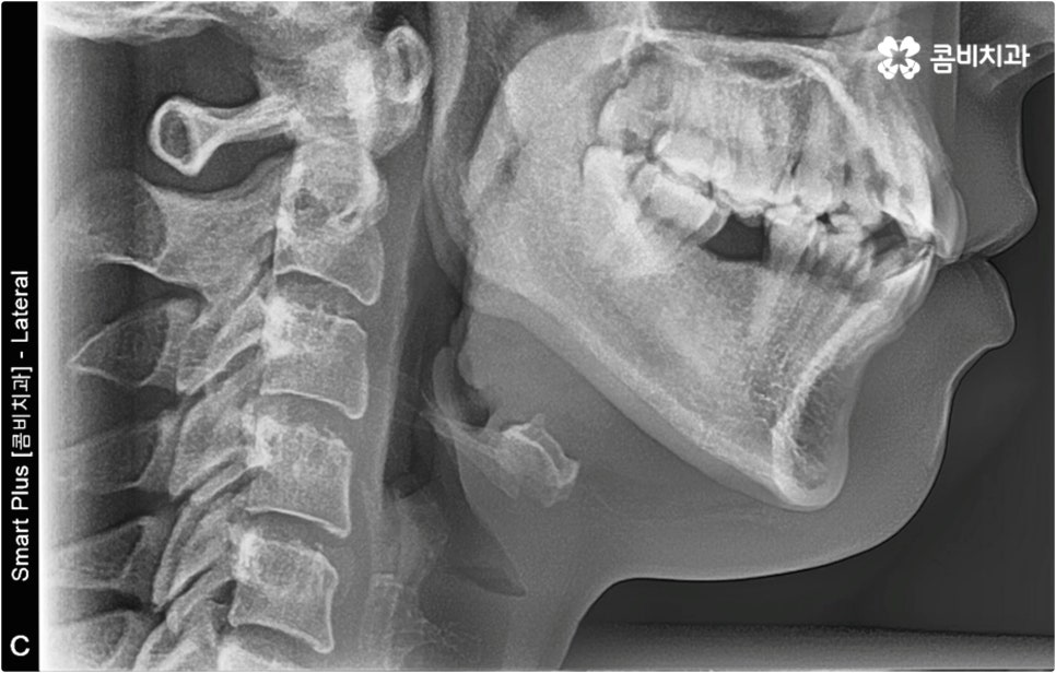
이때 현재 상황을 정밀하게 보여주는 3D CT, 미래 결과를 예측해서 보여주는 모르페우스와 같은 디지털 장비를 통해 전체 플랜을 자세하게 설명해 주고 중간 과정 역시 꼼꼼하게 브리핑해 주는 의료진과 함께 교정 치료를 진행한다면 조금은 길고 힘들게 느껴질 수 있는 전체 교정 과정에 보다 적극적이고 긍정적인 마음으로 임할 수 있을 거예요. 또한 앞서 말씀드린 것처럼 불편함을 줄여줄 수 있는 다양한 교정 장치와 방법 등이 있으니 가능한 선택지 내에서 자신의 상황에 최적화된 장치를 이용해 보시면 여러모로 도움을 받으실 수 있습니다.
예를 들어 클리피씨교정 장치를 이용하면 기간적인 부분과 심미적인 부분의 부담을 함께 줄일 수 있어요. 예전처럼 미세 철사나 고무줄을 이용하여 와이어를 고정시키는 것이 아니라 자가결찰방식을 이용하기 때문에 클리피씨교정 장치를 사용하면 마찰로 손실되는 교정력이 줄어 보다 부드럽고 지속적인 치아 이동이 가능하게 되며, 치아 색상과 비슷한 세라믹 재질의 브라켓을 부착하기 때문에 말을 하거나 음식을 먹는 등 자연스럽게 입을 벌리는 상황에서 장치가 크게 눈에 띄지 않아 심미성 또한 우수하다고 할 수 있습니다. 이러한 장점으로 요즘 가장 많이 쓰이고 있는 장치는 역시 클리피씨 인데요, 이때 만약 환자분께서 아예 브라켓이 보이지 않는 것을 원한다고 한다면 치아설측교정 장치를 고려해 볼 수 있어요.


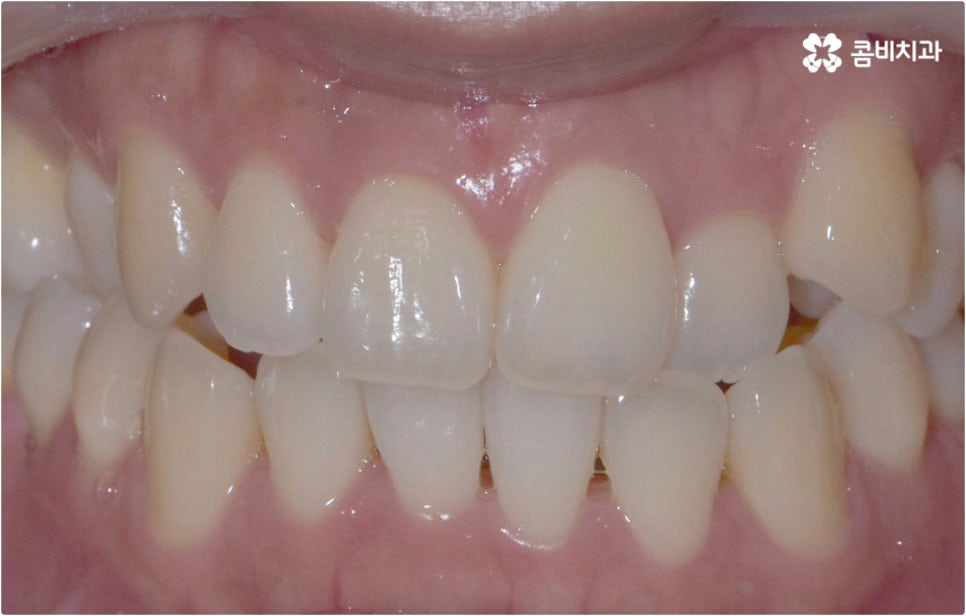
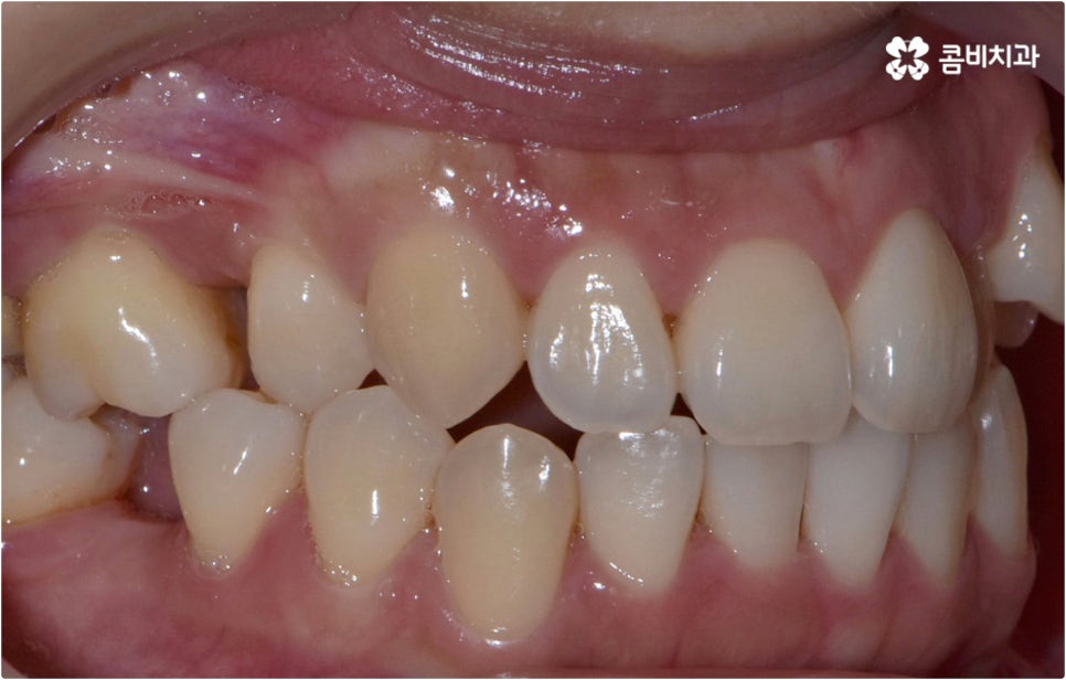
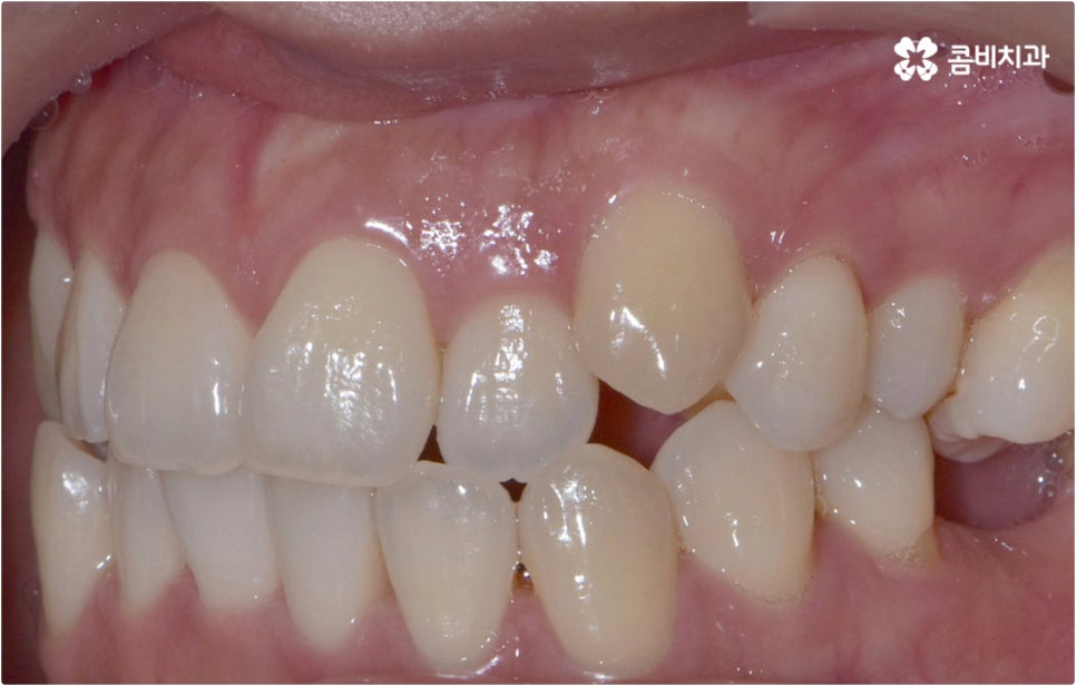
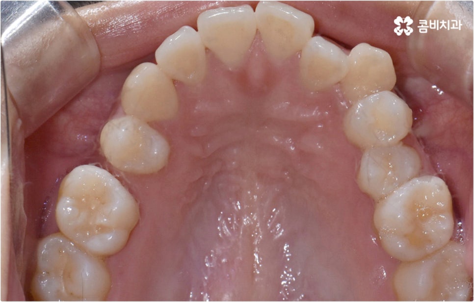
치아설측교정 은 겉으로 장치가 드러나지 않아서 가까운 사람이 아니면 교정 치료를 진행한다는 것을 알아차리기 힘들 정도로 심미성이 뛰어난데, 이러한 장점을 가지고 있는 반면 혀가 아랫니 쪽 장치에 닿다 보니 발음이 불분명해지거나 이물감 및 통증을 느끼는 경우가 있어 주의할 필요가 있어요.
이런 때는 치아설측교정 대신 비교적 잘 보이는 윗니는 설측으로 진행하고, 입술에 가려 잘 보이지 않는 아랫니는 순측(입술쪽)으로 진행하는 콤비교정을 이용하면 발음, 이물감, 통증 문제를 해결할 수 있습니다. 콤비교정 시 치아 겉면에 부착하는 아랫니 브라켓의 경우 치아와 색상이 비슷한 세라믹 재질을 이용하기 때문에 심미성도 크게 떨어지지 않으며 치아설측교정 으로 전체를 진행하는 것 보다 비용적인 부담도 줄여주므로 설측 교정 치료를 생각하시는 분들이라면 콤비교정 역시 함께 알아보시길 권유드리고 있어요.


이와 같이 치아설측교정 과 콤비교정은 브라켓을 치아 안쪽으로 붙여서 치료하는 방식이기 때문에 굉장히 고난도의 복잡한 교정 치료라고 할 수 있습니다. 교정에 대한 높은 이해도와 해부학적으로 뛰어난 노하우, 풍부한 경험을 통해 축적한 세심한 기술력을 갖추고 있는 의료진에게 치료를 맡기는 것이 중요하며 정밀 디지털 검진 장비를 통한 정확한 검사 결과를 바탕으로 무리하지 않게 진행하실 필요가 있어요. 또한 양치질을 할 때 음식물 제거가 쉽지 않으므로 환자분들 본인이 평상시 신경써서 닦아주시는 것은 물론 꼼꼼한 케어시스템을 통해 주기적으로 관리해 주는 치과에서 교정 치료 및 사후 유지 관리까지 철저하게 받아보시길 권유드리고 있습니다.
본 글은 콤비치과의 의료광고 포스팅입니다.
개인에 따라 출혈 및 부작용이 발생할 수 있고,
환자마다 치료 결과 및 기간이 상이할 수 있으므로,
정확한 치료 기간 및 치료 계획은
가까운 치과에서 상담을 받아보시길 권장 드립니다.