아카이브 요약
이 페이지의 역할
명동콤비치과의원의 네이버 블로그 원문을 보존한 아카이브 페이지입니다. 치아스토리♡ 카테고리의 충치치료종류 알아볼까요? 글을 통해 병원의 한국어 정보 제공 방식과 진료 관련 안내 톤을 확인할 수 있습니다.
원문 검증
필요하면 원문 블로그와 병원 프로필로 바로 이동해 문맥을 다시 확인할 수 있습니다.
출처 아카이브 열기아카이브된 블로그 글
명동콤비치과의원 · Naver Blog
충치는 누구에게나 쉽게 발생할 수 있는 구강 질환으로 보통 올바르지 못한 치아 관리 습관 즉 위생 관리 소홀로 인해 발생하는데요, 식사 후 양치질을 꼬박꼬박 하지 않거나 닦을 때 치실 등으로 치아 사이사이 끼어있는 음식물을 꼼꼼하게 제거해 주지 않으면 충치가 생기기 쉽기 때문에 주의하실 필요가 있습니다. 특히 환자...
게시일
2022년 11월 13일
원문 기준으로 확인된 발행일입니다.
카테고리
치아스토리♡
원문 블로그 카테고리를 정리해 함께 표시합니다.
이미지 수
10
현재 아카이브에 연결된 이미지 수입니다.
아카이브 요약
명동콤비치과의원의 네이버 블로그 원문을 보존한 아카이브 페이지입니다. 치아스토리♡ 카테고리의 충치치료종류 알아볼까요? 글을 통해 병원의 한국어 정보 제공 방식과 진료 관련 안내 톤을 확인할 수 있습니다.
원문 검증
필요하면 원문 블로그와 병원 프로필로 바로 이동해 문맥을 다시 확인할 수 있습니다.
출처 아카이브 열기충치는 누구에게나 쉽게 발생할 수 있는 구강 질환으로 보통 올바르지 못한 치아 관리 습관 즉 위생 관리 소홀로 인해 발생하는데요, 식사 후 양치질을 꼬박꼬박 하지 않거나 닦을 때 치실 등으로 치아 사이사이 끼어있는 음식물을 꼼꼼하게 제거해 주지 않으면 충치가 생기기 쉽기 때문에 주의하실 필요가 있습니다. 특히 환자분들 입장에서는 양치질을 매번 잘 하고 있다고 생각하실 수 있으나 어금니 뒷쪽이나 치아가 겹쳐진 덧니 사이 등에는 찌꺼기가 남아 있을 가능성이 높으며 또한 한 번 충치 치료를 받은 치아에 2차 감염이 일어난 경우나 치아와 치아 사이 인접면에 충치가 생긴 경우와 같이 빠른 발견이 어려운 상황에서는 손상이 깊어질 때까지 인지하지 못할 수도 있기 때문에 주기적으로 치과에 방문하여 정기 검진을 받고 스케일링 치료를 통해 구강 관리를 철저하게 해 주면서 대처하는 것이 보다 바람직할 거예요.


충치는 치아 표면의 얇은 세균막(플라그)을 이루고 있는 세균이 구강 내 남아있는 음식물 속 당분을 먹이로 증식할 때 생기는 산(acid)에 의해 치아 겉면이 녹고 세균이 안쪽으로 침투하여 손상이 일어나면서 생기는 구강 질환이기 때문에 당을 많이 포함하고 있는 음식이나 구강 내에서 당분으로 변할 수 있는 음식을 먹고 나서는 꼼꼼하게 이를 닦아줄 필요가 있어요. 특히 플라그와 음식물 찌꺼기가 엉겨붙어 굳은 치석은 세균이 자라나는 온상이 되어 충치 뿐 아니라 잇몸병 등 대부분의 구강 질환의 주된 원인이 되기 때문에 구강 건강을 위해 깨끗하게 제거해 주는 것이 좋은데 딱딱하게 붙어있어서 일반적인 칫솔질을 통해서는 떼어내기가 어려우므로 스케일링 치료를 통해 주기적으로 제거해 주시길 권유드리고 있습니다.
구강내 ph도나 침의 양, 즐겨먹는 음식 등 각 환자분들의 상황에 따라 정확한 시간은 다르겠지만 보통 플라그가 치석으로 딱딱하게 굳기까지 48시간 정도가 소요된다고 하니 혹시라도 외부라서 식후 바로 양치질을 할 수 없었던 경우라면 귀가 후 꼼꼼하게 칫솔질을 해 주시기 바라며 특히 아랫니 뒷면이나 어금니 쪽에 음식물 찌꺼기가 남아있지 않도록 신경써 주시길 당부드리고 있어요.


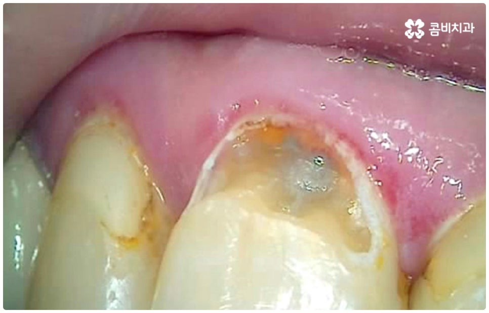
충치는 하루 아침에 생기는 것이 아니라 단계적으로 발전하는 구강 질환이며 시간이 지난다고해서 자연적으로 나아지지 않기 때문에 초기에 적절한 치료를 하지 않고 방치하게 되면 치아 손상이 점점 더 커지게 되고 결국 치아 상실까지 일으킬 수 있어 주의하실 필요가 있는데요. 충치를 초기에 발견하고 충치치료종류 중 레진으로 직접 때우는 치료를 하면 보다 빠르고 간편한데도 불구하고 대부분의 환자분들이 이 시기에 제대로 대처하지 못하는 이유는 충치가 처음 발병하는 치아의 가장 바깥쪽 겉면 (법랑질) 에는 신경이 없기 때문에 환자분들이 통증 등 이상 현상을 느끼지 못하는 경우가 많고 또한 겉으로 보기에도 초기에는 충치로 인한 치아의 색상이나 모양 변화가 뚜렷하지 않아 놓칠 가능성이 높기 때문일 거예요. 초기에는 흔히 알고 계시는 충치 증상처럼 치아 일부가 검게 벌레먹은 듯 보이거나 치아 형태가 조금씩 무너지면서 구멍이 뚫린 것처럼 되지 않고 작고 불투명한 흰 점 또는 옅은 갈색 줄이 생긴 것처럼 느껴지기 때문에 알아차리기 힘들며 그마저도 육안으로 확인하기 어려운 곳 (구강 안쪽이나 치아 사이, 보철물 안쪽) 이라면 발견조차 못할 수 있어요.
그렇기 때문에 많은 분들이 일반적으로 시린 통증을 느낄 때 치과를 방문하게 되는데, 이 때는 이미 충치균이 치아의 단단한 겉면인 법랑질을 뚫고 상아질까지 침투한 단계일 가능성이 높으니 더 늦기 전에 바로 필요한 처치를 해 주실 필요가 있습니다. 상황에 따라 다르지만 보통 이 단계에서는 레진으로 직접 때워주는 치료가 적합하지 않은 경우가 많기 때문에 그럴 때는 충치치료종류 중 인레이 온레이와 같은 보철물을 이용하여 도움을 받을 수 있는데요. 이러한 치료는 손상된 부위를 깔끔하게 삭제한 후에 그 범위와 정도에 따라 빈 공간에 맞춤 제작한 보철물을 채워넣는 것으로 (인레이는 상대적으로 깊고 좁은 부위에, 온레이는 교두를 포함한 좀 더 넓은 부위에 적용), 재질 역시 다양한 가운데 치아의 위치 및 역할, 그리고 환자분들의 경제적 상황 등 여러 가지를 고려하여 가장 잘 맞는 것으로 선택하면 되니 꼼꼼한 검진 후 담당의 선생님과 각 재질의 장단점에 대해 사전 상담을 충분하게 해 보시고 신중한 결정을 내리시길 권유드리고 있어요.


만약 이 단계를 지나 더 오랫동안 충치를 방치하여 세균이 치아 내부 신경 조직이 분포하는 치수에 도달하게 되면 가만히 있어도 욱신거리는 극심한 통증을 느낄 수 있는데요. 이 때는 충치치료종류 중 근관(신경) 치료를 해 줄 필요가 있으며 변성된 신경을 제거하고 남아 있는 자연 치아를 보호하여 저작 기능을 제대로 수행할 수 있도록 하기 위해서는 크라운 치료를 통해 전체를 덮어씌워 줄 필요가 있습니다.
사람의 치신경은 굉장히 얇고 또한 신경이 존재하는 근관은 사람마다 개수와 모양이 달라 끝이 구부러져 있거나 얇은 부근관이 여러개 존재하면 변성된 신경을 끝까지 깨끗하게 제거하는 것이 어려울 수 있는데요. 그렇기 때문에 충치치료종류 중 하나인 신경 치료는 일견 간단해 보일 수 있으나 환자분들의 상황에 따라 고난도의 복잡한 치료가 될 수 있으니 더이상 병증이 악화되는 것을 막고 혹시 모를 재신경치료로 이어지지 않도록 하기 위해서는 풍부한 임상 경험을 통해 뛰어난 노하우와 세심한 기술력을 갖추고 계신 담당의 선생님께 치료를 받는 것이 매우 중요하다고 할 수 있어요.


만약 충치치료종류 중 거의 마지막 단계라고 할 수 있는 신경치료나 재신경치료를 통해서도 자연치아를 살릴 수 없을 정도로 손상이 깊어졌다면 발치 후 틀니, 임플란트 시술 등을 통해 인공 치아로 이를 기능적 심미적으로 대체해 주어야 하는데요, 특히 요즘은 임플란트 관련 기술이 많이 발달하여 각자의 상황에 딱 맞는 임플란트를 정확한 위치와 각도로 무리하지 않게 식립하고 주기적인 검진 및 스케일링 치료를 통해 사후까지 지속적으로 철저하게 관리를 해준다면 거의 반영구적으로 사용할 수 있으니 이에 대해서 잘 알아보시고 도움받아 보시길 권유드리고 있습니다.


교정을 하고 있거나 사후 유지 장치를 부착한 경우, 보철물 치료를 받은지 오랜 시간이 지나 보철물과 치아 사이 틈이 생겼거나 잇몸 질환 및 치경부 마모증 등으로 인해 치근이 드러난 경우에는 더욱 치석이 빨리 쌓이고 충치 역시 쉽게 발생할 가능성이 높아지므로 스케일링 치료에 좀 더 신경 쓰는 게 좋을 거예요. 일반적으로 성인의 경우 1년에 한 번 또는 두 번 정도 스케일링 치료를 받는 것이 보통이지만, 이와 같이 좀 더 주의가 필요한 상황이라면 1년에 3~4번 정도로 주기를 짧게 하실 필요가 있어요. 1년에 한 번은 건강 보험을 통해 보다 합리적인 가격으로 스케일링 치료를 받으실 수 있으니 만약 이용해 보신 적이 없으시다면 올해가 가기 전에 관리 및 검진을 위해 치과에 내원해 보시길 권유드리고 있습니다.
본 글은 콤비치과의 의료광고 포스팅입니다.
개인에 따라 출혈 및 부작용이 발생할 수 있고,
환자마다 치료 결과 및 기간이 상이할 수 있으므로,
정확한 치료 기간 및 치료 계획은
가까운 치과에서 상담을 받아보시길 권장 드립니다.