명동콤비치과의원 (명동)
부정교합 3급 고치는 방법은
혹시 부정교합이라는 말을 들어보신 적이 있으신가요? 부정교합이란 쉽게 말해 위아래 치아가 제대로 맞물리지 않는 것을 의미하는데, 보고된 바에 따르면 (연구마다 조금씩 차이가 있지만) 우리 나라 사람 중 적게는 30% 에서 많게는 80%에 달하는 사람들이 이러한 부정교합을 가지고 있다고 알려져 있습니다. 이를...
아카이브 요약
이 페이지의 역할
명동콤비치과의원 (명동)의 네이버 블로그 원문을 보존한 아카이브 페이지입니다. 치아스토리♡ 카테고리의 부정교합 3급 고치는 방법은 글을 통해 병원의 한국어 정보 제공 방식과 진료 관련 안내 톤을 확인할 수 있습니다.
혹시 부정교합이라는 말을 들어보신 적이 있으신가요? 부정교합이란 쉽게 말해 위아래 치아가 제대로 맞물리지 않는 것을 의미하는데, 보고된 바에 따르면 (연구마다 조금씩 차이가 있지만) 우리 나라 사람 중 적게는 30% 에서 많게는 80%에 달하는 사람들이 이러한 부정교합을 가지고 있다고 알려져 있습니다. 이를 앙 다물었을 때 어금니가 서로 잘 맞물리고 위 앞니가 아래 앞니를 살짝 덮는 정도로 가리는 것을 정상적인 교합이라고 한다면 덧니와 같이 치열 자체가 삐뚤빼뚤한 경우 또는 무턱, 주걱턱처럼 위아래 치아가 긴밀하게 맞물리지 않고 비정상적으로 정렬된 경우를 부정교합이라고 할 수 있는데요. 위에서 언급한 수치로 보건데 생각보다 많은 사람들이 이러한 부정교합으로 인해 불편을 겪고 있는 거예요.


사실 교합이 크게 어긋나지 않는다면 환자분들의 입장에서 별다른 불편을 느끼지 않을 수도 있으나 만약 치료가 필요한 정도의 부정교합이 있는데 무시하고 방치한다면 시간이 지날수록 여러 가지 기능적, 심미적 문제가 커질 수 있어요. 예를 들어 부정교합 때문에 음식물을 씹는데 어려움이 생기면 소화 불량 내지 영양 불균형을 겪을 수 있고, 치아 사이가 벌어져 있거나 안쪽으로 겹쳐져 있으면 발음이 부정확해 질 수 있으며 삐뚤빼뚤한 치열은 웃거나 말을 할 때 심미적으로 좋지 않은 인상을 주어 자신감을 떨어뜨리는 원인이 될 수 있으므로 교정 치료를 통해 개선해 주실 필요가 있는 거예요. 또한 이것이 건강 문제로 직결될 수도 있는데 위생 관리가 어려워 충치와 같은 구강 질환이 생기거나 특정 치아에만 힘이 가해져 치아 및 주변 잇몸 조직이 손상되는 상황이 발생할 수도 있고 심각한 경우 턱관절 장애, 통증 및 안면 비대칭을 가져올 가능성 또한 높아지며 수면무호흡증(코골이), 호흡기 질환 같은 각종 2차 질환으로 이어질 수도 있으니 주의하실 필요가 있습니다.



위에서 덧니나 무턱, 주걱턱과 같은 예시를 들었지만 이는 대표적인 경우일 뿐 부정교합의 종류는 굉장히 다양하고 심지어 겉으로 보기에 치열이 많이 삐뚤지 않은 부정교합도 있기 때문에 환자분들의 입장에서 정확하게 판단하는 것이 어려울 수 있어요. 만약 씹을 때 불편하거나 입을 벌렸을 때 턱에서 소리가 나고 균형이 맞지 않아 한쪽으로 쏠리는 증상 등이 있다면 치과에 내원하여 꼼꼼하게 검진을 받아보는 것이 좋을 거예요. 특히 입을 다물어도 윗니와 아랫니가 맞물리지 않아 음식물을 자르는 것이 어렵거나 아래 앞니가 위 앞니 뒤쪽으로 너무 깊게 물려 입천장에 상처를 내는 경우 등에는 조속한 검진 및 치료가 필요하다고 할 수 있습니다.



이러한 부정교합은 다양한 원인으로 발생하는데 이 중 유전적인 영향으로 턱성장의 부조화가 생기는 경우도 30% 정도 되기 때문에 만약에 부모 또는 가까운 친인척 중에 이와 같은 증상을 가지신 분들이 있다면 잘 알아두실 필요가 있어요. 스스로 부정교합으로 불편을 겪은 경험이 있다면 자신의 아이가 어릴때부터 치열 및 상하악 발달에 관심을 가지고 지켜보면서 필요할 때 늦지 않게 치과에 내원하여 꼼꼼한 검진을 받아 보시길 권유드리고 있습니다. 구강 내적인 원인이 아니라 다른 원인, 즉 편도 비대나 축농증과 같은 이비인후과 질환이 있거나 큰 사고를 당해 턱뼈에 외상을 입은 적이 있을 때도 이로 인해 부정교합이 유발되지는 않았는지 살펴보는 게 좋을 거예요. 이밖에도 턱을 괴거나 한쪽으로만 음식을 씹거나 손가락을 빨거나 손톱을 깨물고 혀로 앞니를 미는 등의 습관을 가지고 있다면 이러한 것들도 부정교합을 유발할 수 있는 후천적인 원인이 될 수 있으니 주의하실 필요가 있어요.



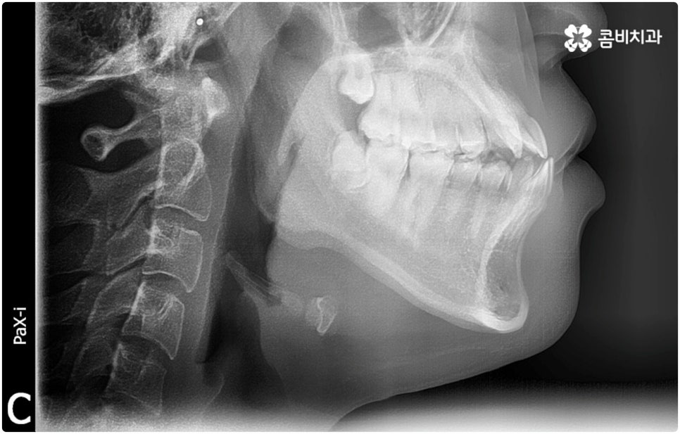
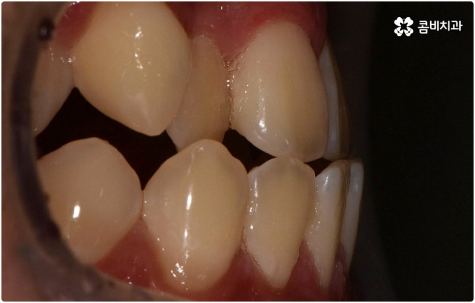
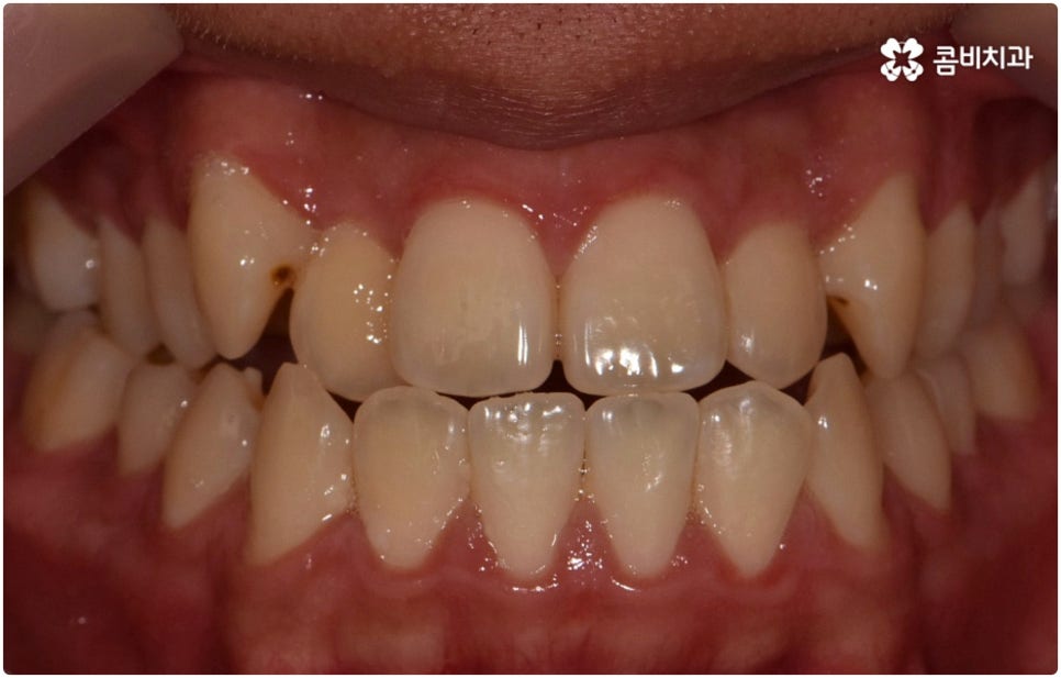
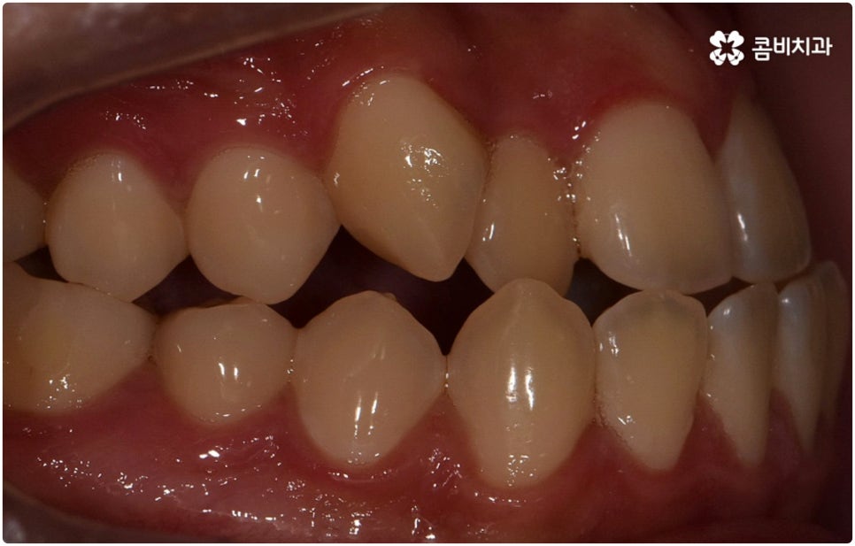
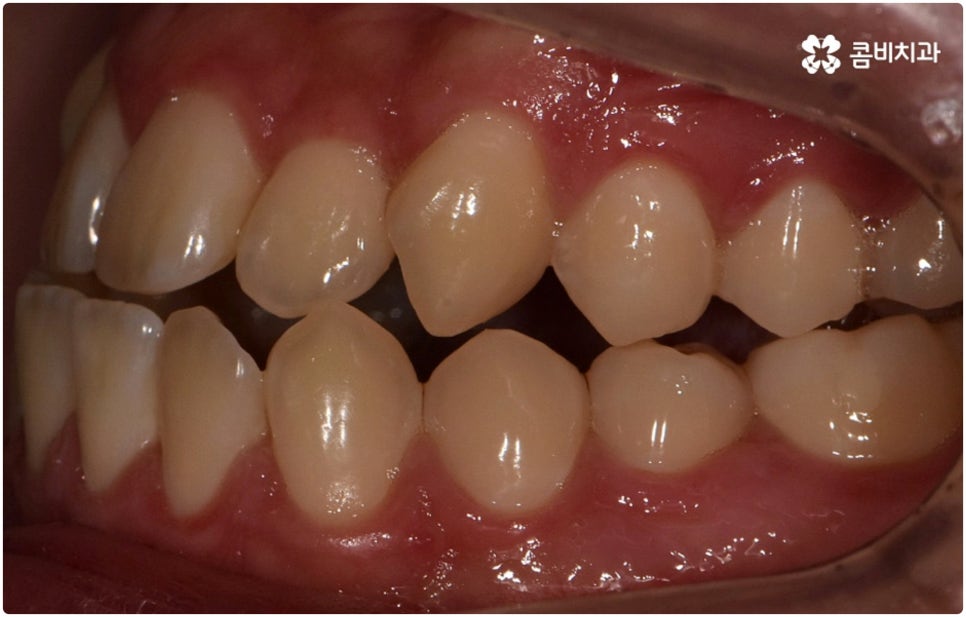
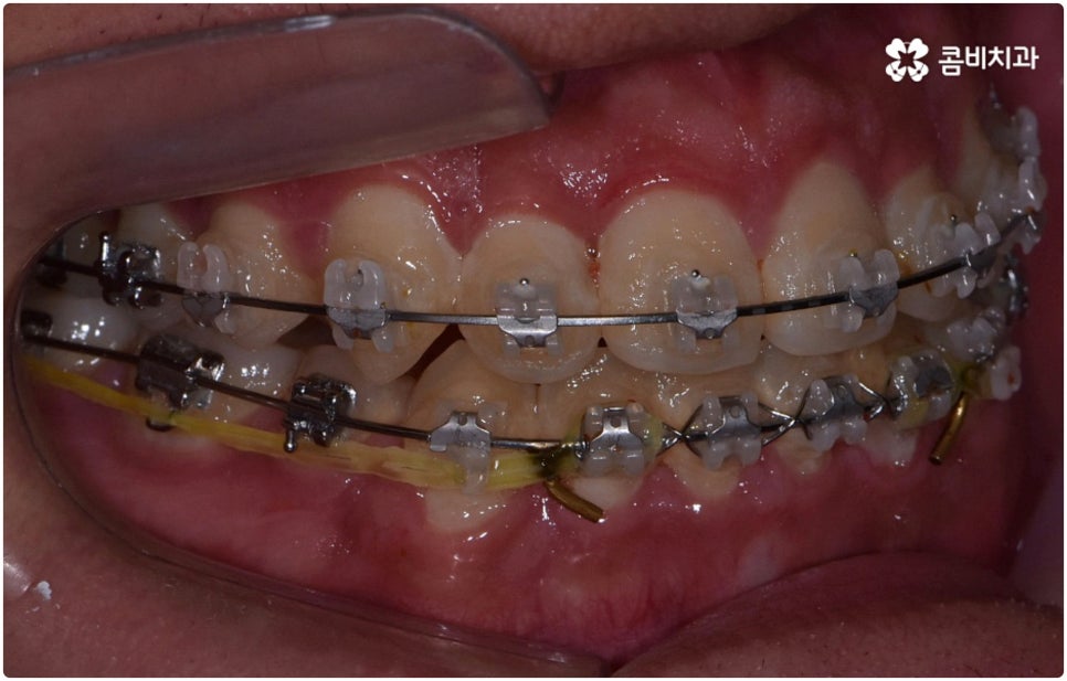
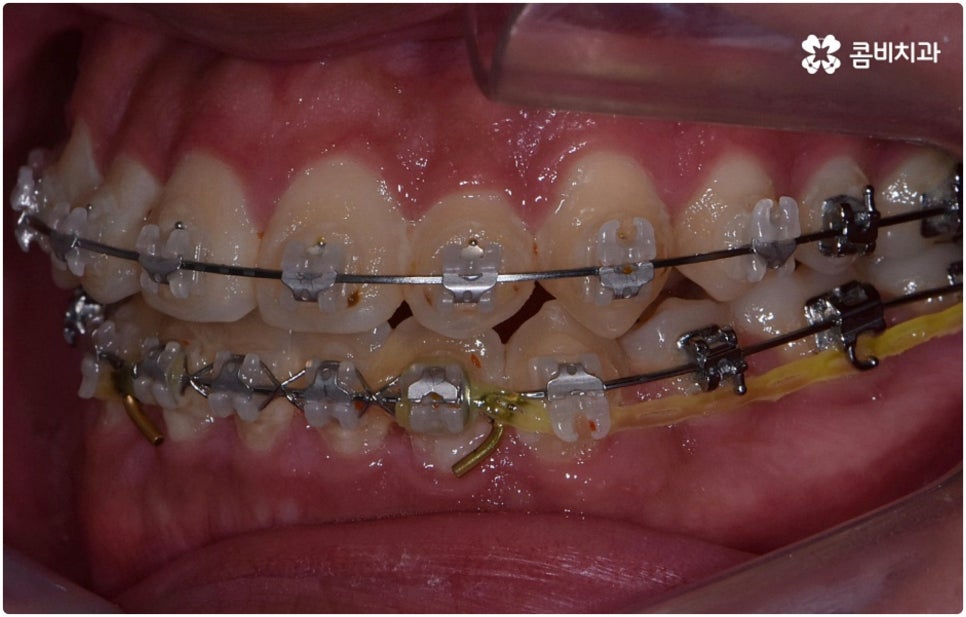
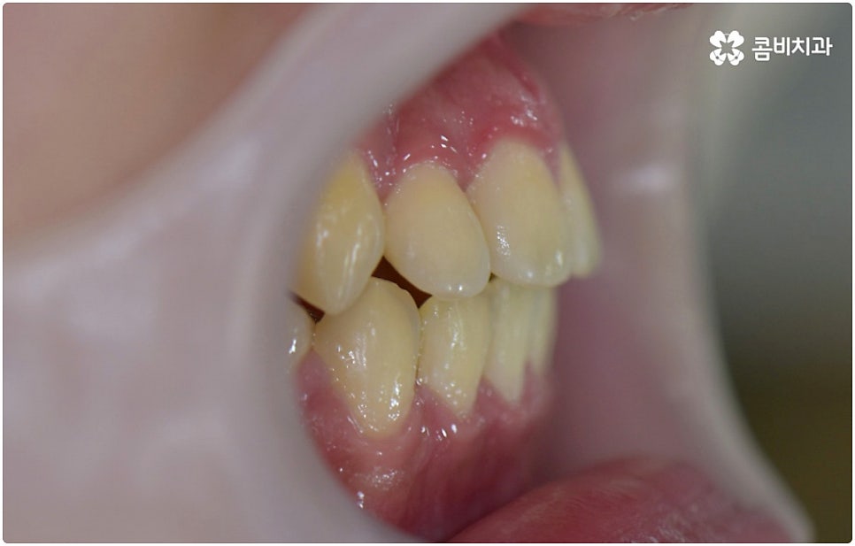
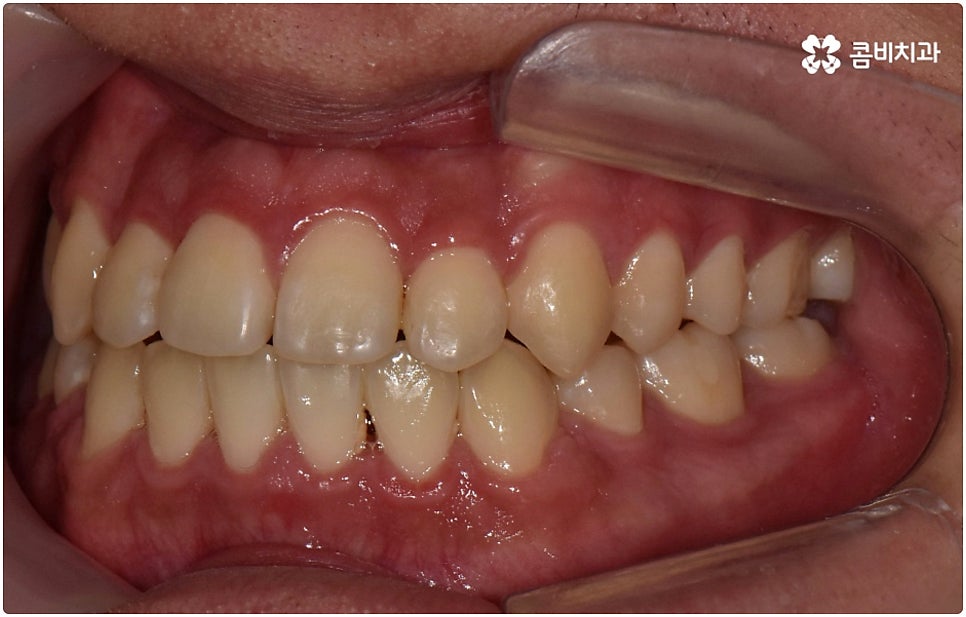
부정교합은 부정교합 1급, 부정교합 2급, 부정교합 3급 이렇게 세가지 종류로 나눌 수 있는데요. 부정교합 1급은 이를 다물었을 때 위아래 어금니는 잘 맞물리지만 덧니가 있거나 치아 사이가 살짝 벌어져 있는 경우처럼 치열이 삐뚤어진 경우를 말하는 것으로 골격이나 구조적인 부분에는 크게 문제가 없기 때문에 정도가 심하지 않다면 보다 빠르고 간편한 교정 치료가 가능한 케이스라고 할 수 있어요. 부정교합 2급은 상악이 하악보다 더 튀어나온 상태로 위에서 언급했던 무턱, 돌출입이 여기에 속하며 반대로 부정교합 3급 은 주걱턱처럼 하악이 상악보다 튀어나온 상태를 의미하고 있습니다.
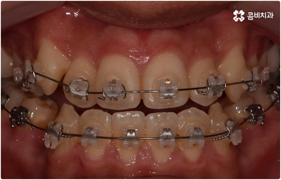
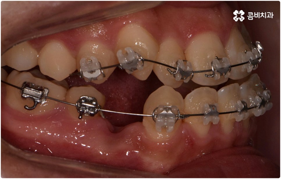
환자분들마다 상황은 모두 다르기 때문에 부정교합 교정 치료를 할 때는 정밀 검진 후 맞춤 치료 계획에 따라 무리하지 않게 진행하는 것이 중요한 포인트라고 할 수 있어요. 이때 구강내 상태 (치아, 잇몸, 치열, 교합 등) 뿐 아니라 구강 외 상태 (뼈의 위치 및 구조 발달, 얼굴 정면과 측면 등 안모 비율) 와 같은 모든 부분을 꼼꼼하게 촬영하고 환자의 연령 및 생활 습관 등을 종합적으로 고려하여 원인을 분석한 다음 치아를 어떻게 얼마나 움직여야할지 면밀하게 교정 플랜을 세우는 것이 필요하므로 3D CT, 모르페우스 같은 정밀 진단 기계를 갖추고 있는 치과에서 다양한 임상 경험을 통해 뛰어난 기술력을 가지고 있는 담당의 선생님께 치료 받으시길 권유드리고 있습니다.


부정교합 2급, 부정교합 3급 과 같이 구조적인 부분에 원인이 있는 문제라면 잇몸뼈가 다 굳고 난 다음인 중장년 성인분들의 경우 교정 치료를 받는 것이 과연 부정교합 개선에 효과가 있을까 궁금해 하실 수 있어요. 특히 턱관절 이상 문제는 수술을 통해서만 고칠 수 있다고 알고 계셨던 분들은 부담을 느끼고 치료를 미루셨을 수 있는데요. 물론 성인분들의 경우 상황에 따라, 예를 들어 정도가 매우 심한 부정교합 3급 케이스라면 악교정수술을 받아야 할 수도 있습니다. 또한 대부분의 부정교합 2급, 부정교합 3급 케이스들 같은 경우 초등학교 고학년에서 중학교 저학년 사이에 교정 치료를 시작하는 것이 좋다고 권유하는 것도 사실인데요, 그 이유는 아무래도 치아 이동 속도가 빠르고 전반적인 발달 상황에 맞추어 자연스럽게 치료를 진행할 수 있는 성장기의 특성상 이 시기부터 지속적으로 턱뼈 크기 부조화를 조절하고 상하악의 올바른 성장을 유도하는 게 보다 효율적이기 때문이라고 할 수 있어요.
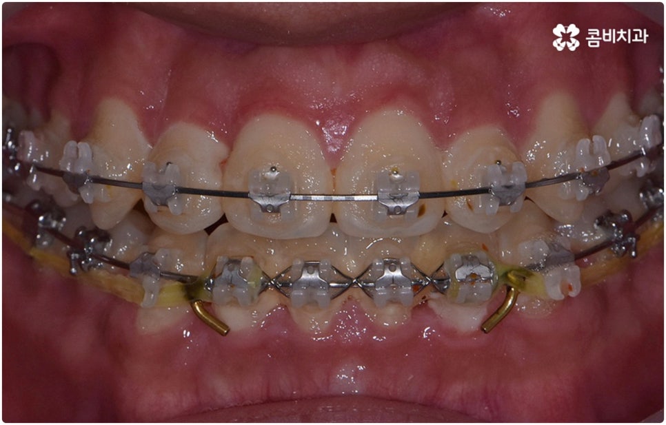
하지만 관련 기술 발달로 교정에 있어서 적기라는 것이 크게 의미가 없어진 근래에는 정도가 많이 심각하지 않다면 중장년 성인분들의 경우에도 각자에게 맞는 교정 치료를 통해서 얼마든지 부정교합 개선이 가능하니 안될 것이라고 지레 짐작을 하여 내원을 망설이시기 보다는 먼저 교정 치료를 위한 검진을 받아보고 자신의 상황에 대해서 숙련된 의료진과 충분히 상담해 보시길 권유드리고 있습니다. 특히 수술적인 치료를 할 때도 교합을 바로잡기 위해서는 치과와 협진하여 진행하는 케이스가 많으니 교정을 통한 부정교합 개선 및 턱관절 치료 효과에 대해 크게 의구심을 가지실 필요는 없을 거예요. 상황에 따라 교정 치료만으로도 기능적 개선은 물론 균형잡힌 안모와 호감가는 인상으로의 변화가 가능한 경우가 많으니 불편함을 참고 계시지 말고 정밀 진단과 상담부터 차근차근 시작해 보시면 필요한 도움을 받아 보실 수 있어요.
본 글은 콤비치과의 의료광고 포스팅입니다.
개인에 따라 출혈 및 부작용이 발생할 수 있고,
환자마다 치료 결과 및 기간이 상이할 수 있으므로,
정확한 치료 기간 및 치료 계획은
가까운 치과에서 상담을 받아보시길 권장 드립니다.
더 보기
이 병원의 공개 콘텐츠를 계속 살펴보세요
출처 아카이브로 돌아가 더 많은 글을 보거나, 병원 프로필로 이동해 다른 공개 채널도 함께 비교해보세요.