아카이브 요약
이 페이지의 역할
명동콤비치과의원의 네이버 블로그 원문을 보존한 아카이브 페이지입니다. 치아스토리♡ 카테고리의 덧니부분교정 시작하려면 글을 통해 병원의 한국어 정보 제공 방식과 진료 관련 안내 톤을 확인할 수 있습니다.
원문 검증
필요하면 원문 블로그와 병원 프로필로 바로 이동해 문맥을 다시 확인할 수 있습니다.
출처 아카이브 열기아카이브된 블로그 글
명동콤비치과의원 · Naver Blog
대인 관계에서 첫인상은 굉장히 중요한 역할을 하며 환하게 웃는 미소는 호감가는 이미지를 만드는 데 큰 영향을 주기 때문에 많은 분들이 가지런한 치아에 대한 로망을 가지고 있습니다. 예전에는 교정이 어렵고 비싸다는 인식이 강했지만 요즘은 관련 치의학 기술이 많이 발달하여 여러 가지 부담을 낮춰주고 있기 때문에...
게시일
2022년 12월 9일
원문 기준으로 확인된 발행일입니다.
카테고리
치아스토리♡
원문 블로그 카테고리를 정리해 함께 표시합니다.
이미지 수
13
현재 아카이브에 연결된 이미지 수입니다.
아카이브 요약
명동콤비치과의원의 네이버 블로그 원문을 보존한 아카이브 페이지입니다. 치아스토리♡ 카테고리의 덧니부분교정 시작하려면 글을 통해 병원의 한국어 정보 제공 방식과 진료 관련 안내 톤을 확인할 수 있습니다.
원문 검증
필요하면 원문 블로그와 병원 프로필로 바로 이동해 문맥을 다시 확인할 수 있습니다.
출처 아카이브 열기대인 관계에서 첫인상은 굉장히 중요한 역할을 하며 환하게 웃는 미소는 호감가는 이미지를 만드는 데 큰 영향을 주기 때문에 많은 분들이 가지런한 치아에 대한 로망을 가지고 있습니다. 예전에는 교정이 어렵고 비싸다는 인식이 강했지만 요즘은 관련 치의학 기술이 많이 발달하여 여러 가지 부담을 낮춰주고 있기 때문에 접근성이 꽤 좋아진 편이라고 할 수 있는데요. 그럼에도 불구하고 막상 교정을 시작하려고 하면 오래 걸리는 기간이나 통증 등 마음 속에 망설여지는 부분이 남아 있을 수 있어요.
하지만 환자분들의 상황에 따라서 보다 빠르고 간편한 방법을 이용할 수 있는 케이스도 있고 다양한 장치들이 많이 개발된 만큼 이를 통해 도움을 받을 수 있는 부분도 충분히 있는데요. 그러니 미리 걱정하시기 보다는 교정 관련 임상 경험이 풍부한 의료진에게 꼼꼼하게 검진부터 받아보시고 자신의 상황에 맞는 치료 과정에 대해서 상담해 보시면 어떨까 권유드리고 있습니다. 특히 씹거나 발음하는데 크게 불편함은 없지만 심미적으로 좀 더 만족하고 싶은 경우, 예를 들어 살짝 덧니가 있거나 사이가 약간 벌어져 있거나 치아 각도가 조금 틀어져 있어서 이 부분만 가지런하면 좋겠다 싶을 때에도 치과에 내원해서 검진과 상담을 받아보시면 도움이 될 거예요.


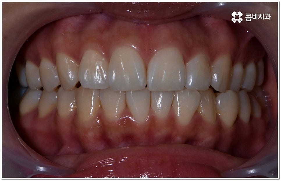
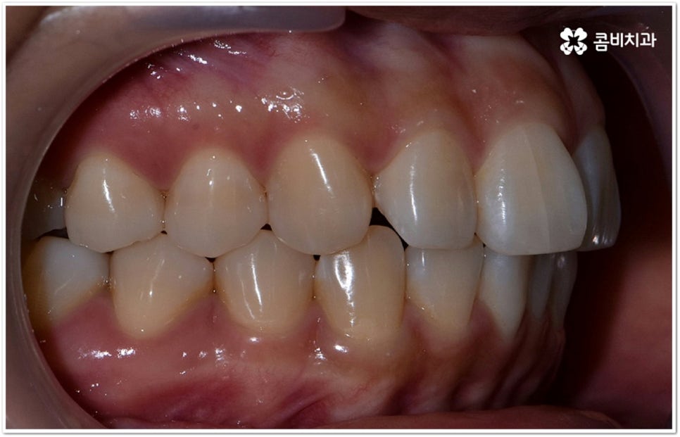
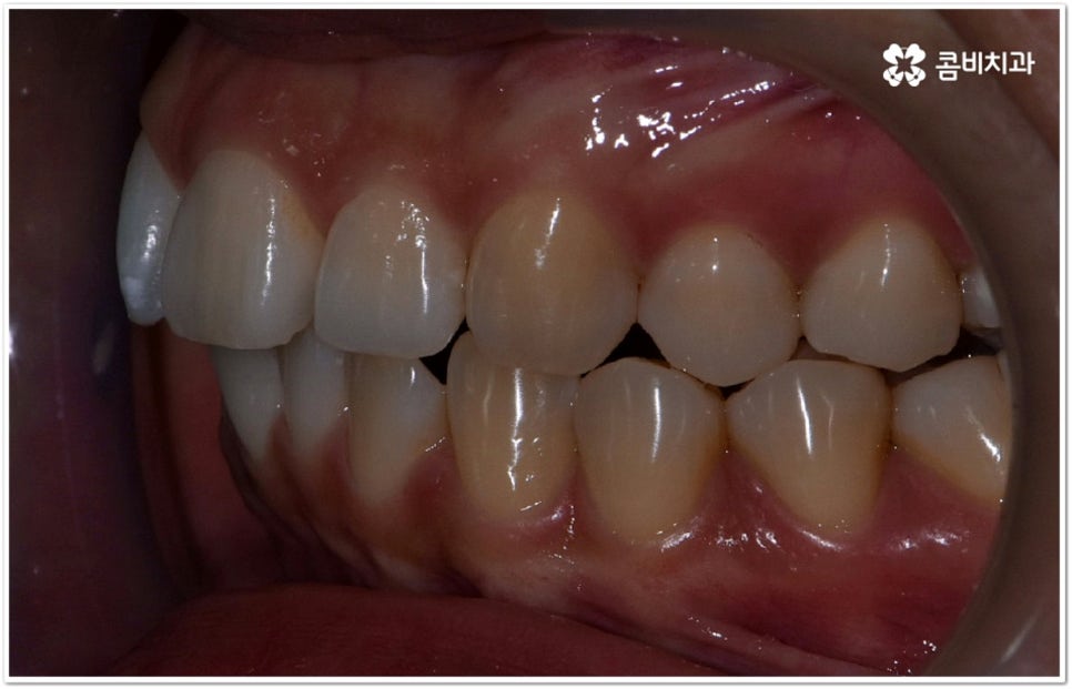
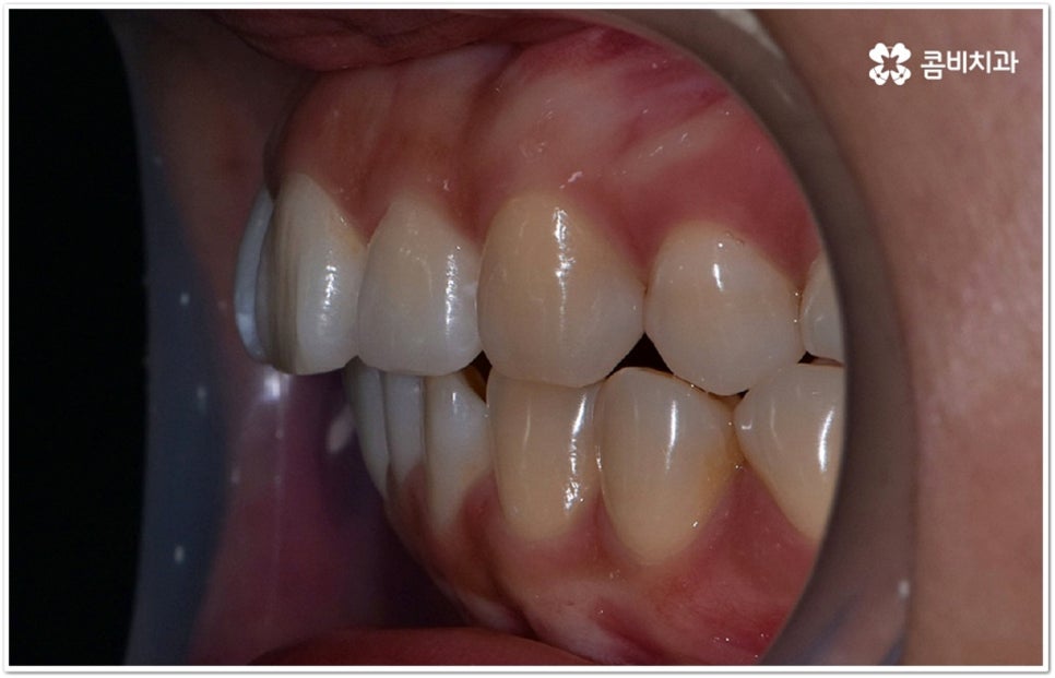
사실 치아가 많이 겹쳐서 삐뚤빼뚤하면 보기에도 좋지 않고 사이사이에 음식물 찌꺼기가 끼어서 충치 같은 구강 질환도 더 자주 발생할 수 있기 때문에 환자분들의 입장에서도 교정 치료를 고려하시는 경우가 많지만, 아주 살짝 덧니가 있을 때는 교정에 대해서 별로 심각하게 생각하지 않으실 수도 있는데요. 이런 덧니는 사람에 따라 오히려 매력 포인트가 될 수도 있기 때문에 스스로 느끼기에 문제가 아니라고 생각한다면 반드시 교정 치료를 해야 하는 것은 아니지만, 만약 입을 벌렸을때 잘 보이는 앞니, 송곳니 등이 덧니라서 웃거나 말을 할 때 신경이 쓰이거나 자기도 모르게 손으로 가리는 습관이 들 정도로 자신감이 떨어진 경우라면 한 번쯤 고려해 보셔도 좋을 거예요. 특히 위아래 맞물림에 문제가 없고 구조적인 부분과 관련된 원인이 크지 않다면 덧니부분교정 을 통해서 보다 빠르고 간편하게 개선이 가능한 케이스도 있기 때문에 꼼꼼한 검진을 통해 자신의 상황이 어떤지부터 알아보시길 권유드리고 있습니다.



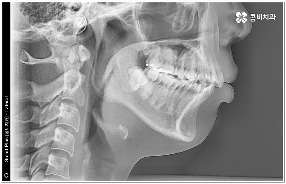
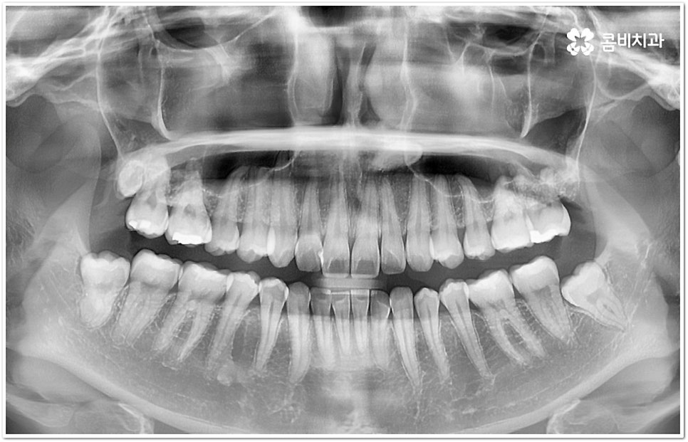
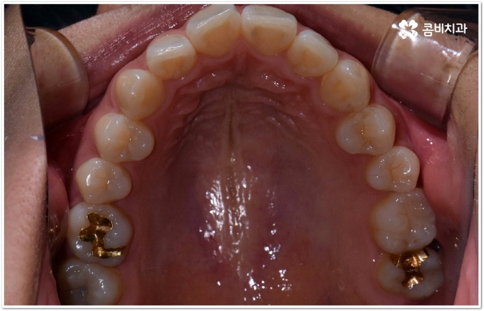
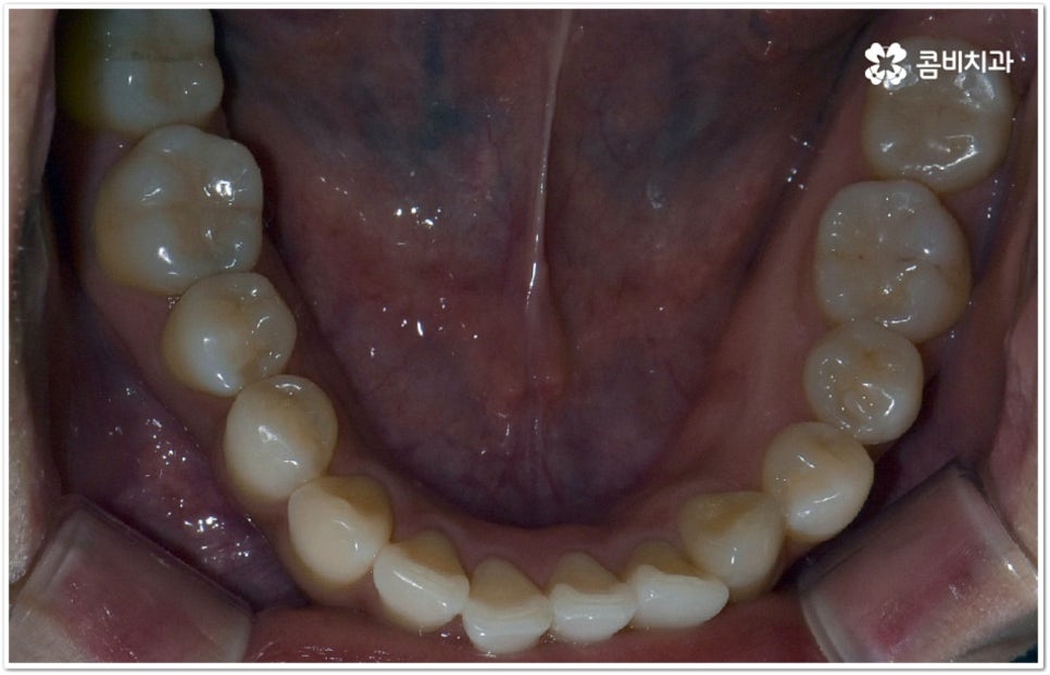
현재는 크게 불편함이 없고 환자분들의 입장에서 볼 때 스스로 교정이 딱히 필요하다고 생각되지 않는다고 해도 정밀 검진을 받아보는 것이 도움이 되는 또 다른 이유는 덧니가 생긴 원인, 구조적인 부분 등을 꼼꼼하게 체크해 봤을 때 혹시라도 추후에 치열이 더 많이 삐뚤어지거나 턱관절에 좋지 않은 영향을 줄 수 있는 상황이라면 미리 대처할 수 있다는 데 있어요. 본을 떠 보고 3D CT 를 이용해 겉으로 보이지 않는 부분까지 함께 살펴보면서 악궁 및 치아의 크기와 각도, 상악과 하악의 발달 정도 등 각자의 상황을 종합적으로 분석해 보면 앞으로의 이동 방향이나 정도 등을 어느 정도 예측해 볼 수 있는데요. 가능하다면 문제가 커진 다음에 바로잡는 것보다 지속적인 관찰을 통해 적절한 시기에 필요한 치료를 하는 것이 시간과 노력을 덜 들이는 방법이 될 거예요.



또한 치열은 유전의 영향을 받는다는 사실을 인지하고 만약 부모님들께서 덧니로 인해서 불편함을 겪으신 경험이 있으시다면 어릴 때부터 아이의 치열을 잘 살펴보시면서 필요할 때 교정 치료를 받을 수 있도록 함께 치과에 내원해 검진부터 차근차근 진행하는 것이 크게 도움이 될 수 있습니다. 아직 잇몸뼈가 완전히 굳어지지 않은 성장기에 교정 치료를 진행하면 상대적으로 보다 빠르고 효율적으로 치열을 가지런하게 만들고 교합을 바로잡을 수 있는 케이스가 많으니 이와 같이 부모님들께서 아이의 구강 발달 상황에 신경써 주시면 좋을 거예요. 물론 교정에 적기가 정해져 있는 것은 아니며 성인이라고 해서 치아 이동이 어려운 것은 아니기 때문에 덧니 등 고민이 있으시다면 언제든지 치과에서 상담받아 보시고 자신에게 딱 맞는 치료를 무리하지 않게 진행해 보시길 권유드리고 있습니다.



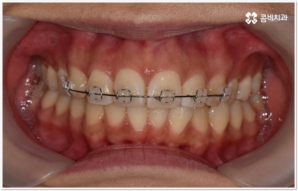
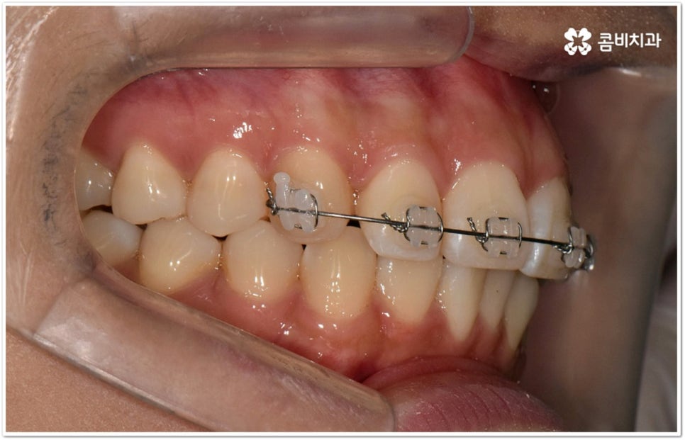
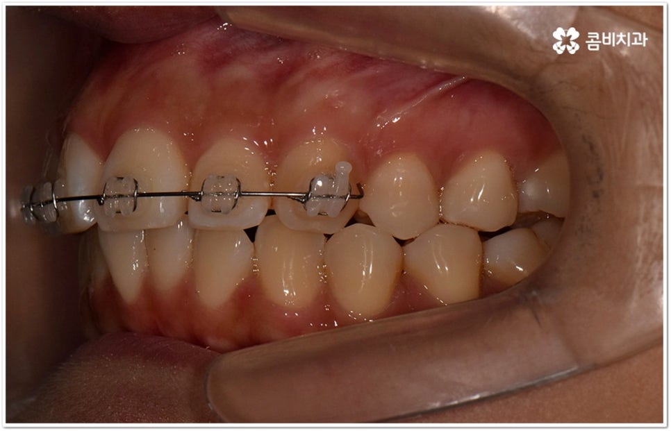
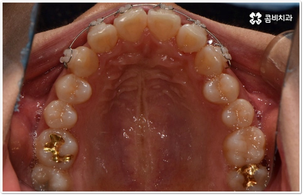
덧니의 원인에는 여러 가지가 있는데 대표적으로는 유치가 너무 일찍 빠져서 영구치가 제대로 자리를 잡지 못했거나 턱뼈의 크기와 치아 크기가 조화를 이루지 못하는 경우 등 공간이 부족한 상황을 생각해 볼 수 있어요. 덧니는 주로 송곳니가 가장 흔하나, 치열이 공간이 부족할 경우 이론적으로는 어떤 치아라도 덧니가 될 수 있어요. 이때 원인과 정도를 꼼꼼하게 파악하여 만약 해당 부위만 부분 교정이 가능하다면 덧니부분교정 치료를 할 수 있는데요. 덧니부분교정 을 이용하면 원하는 부위에만 브라켓을 부착하여 치아 이동을 시키기 때문에 전체 교정에 비해서 간편하며 치료 기간도 6~8개월 정도로 줄어들고 통증도 많이 감소될 수 있습니다. 비용적인 부담도 덜하며 (삐뚤어진 정도나 상태에 따라 다르겠지만) 보통 덧니부분교정 의 경우 비발치 과정으로 진행되기 때문에 환자분들의 입장에서는 덧니부분교정 을 많이 선호하시는 편이라고 할 수 있어요. 상황에 따라 미니스크류, 치간삭제, 악궁확장장치 등 환자에게 맞는 비발치 방법을 이용하여 도움 받을 수 있습니다.


하지만 모두에게 덧니부분교정 을 적용할 수 있는 것은 아니므로 먼저 3D CT와 같은 정밀 검사 장비를 통해서 턱의 구조적 특성 및 치열과 교합 등 구강 내부 상황에 대해 세세하게 검진을 하고 충분한 상담을 통해 각자에게 적합한 계획을 세운 다음 무리하지 않게 치료를 진행할 필요가 있어요. 만약 부분 교정을 진행할 수 없다고 해도 교정 장치를 이용하여 기간이나 통증 부분의 부담을 덜 수 있으니 너무 실망하실 필요는 없을 거예요.
요즘 가장 많이 쓰이는 클리피씨 장치는 이런 면에서 많은 장점을 가지고 있어요. 예전과 다른 자가 결찰 방식을 이용하기 때문에 마찰로 손실되는 교정력이 줄어들어 좀 더 적은 힘으로도 부드럽고 지속적인 치아 이동을 가능하게 하므로, 상황에 따라 다르지만 보통 6개월 정도의 기간 단축 및 이동시 초기에 느낄 수 있는 통증을 덜어준다고 할 수 있는데요. 그밖에도 치아 색상의 브라켓을 이용하여 심미성 또한 뛰어나며 상황에 따라 환자분들에게 맞게 내원 횟수도 줄여줄 수 있다고 하니 숙련된 의료진과 충분하게 상담해 보시고 신중한 선택하시길 권유드리고 있습니다.
본 글은 콤비치과의 의료광고 포스팅입니다.
개인에 따라 출혈 및 부작용이 발생할 수 있고,
환자마다 치료 결과 및 기간이 상이할 수 있으므로,
정확한 치료 기간 및 치료 계획은
가까운 치과에서 상담을 받아보시길 권장 드립니다.