명동콤비치과의원 (명동)
매복사랑니발치치과 어디로 가나요?
우리가 흔히 사랑니라고 부르는 치아의 정식 명칭은 제3대구치로 세 번째로 큰 어금니라는 뜻을 가지고 있습니다. 보통 10대 후반에서 20대 초반 사이, 즉 사랑을 알게 되는 나이에 나온다고 해서 사랑니라는 별명이 붙었지만 사실 개인마다 나오는 시기, 형태 등에 차이가 크기 때문에 언제 맹출이 된다고 확실하게 말할...
아카이브 요약
이 페이지의 역할
명동콤비치과의원 (명동)의 네이버 블로그 원문을 보존한 아카이브 페이지입니다. 치아스토리♡ 카테고리의 매복사랑니발치치과 어디로 가나요? 글을 통해 병원의 한국어 정보 제공 방식과 진료 관련 안내 톤을 확인할 수 있습니다.
우리가 흔히 사랑니라고 부르는 치아의 정식 명칭은 제3대구치로 세 번째로 큰 어금니라는 뜻을 가지고 있습니다. 보통 10대 후반에서 20대 초반 사이, 즉 사랑을 알게 되는 나이에 나온다고 해서 사랑니라는 별명이 붙었지만 사실 개인마다 나오는 시기, 형태 등에 차이가 크기 때문에 언제 맹출이 된다고 확실하게 말할 수 없으며, 통증이나 붓기 등 관련 증상도 굉장히 다양한 편이라고 할 수 있어요. 또한 사랑니의 개수도 상하좌우 4개 모두 있는 사람도 있고 1~3개 있는 사람도 있으며 현대에 들어 유전적으로 턱뼈가 점점 작아짐에 따라 아예 사랑니가 없는 케이스도 존재하기 때문에 각자의 사랑니 유형에 대해서 자세하게 알기 위해서는 18세 전후 즈음해서 정밀 검진을 해 볼 필요가 있습니다.


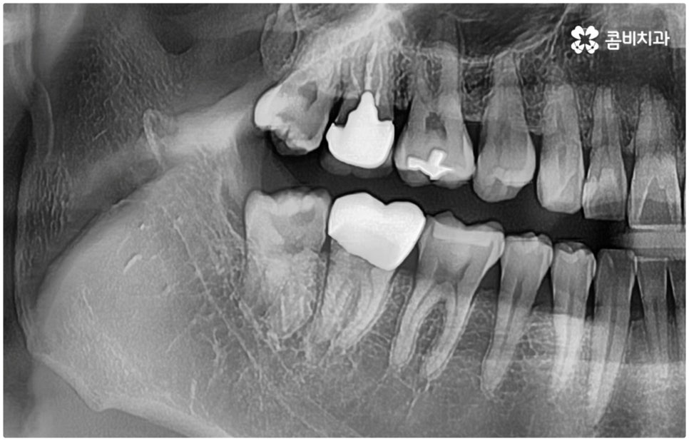
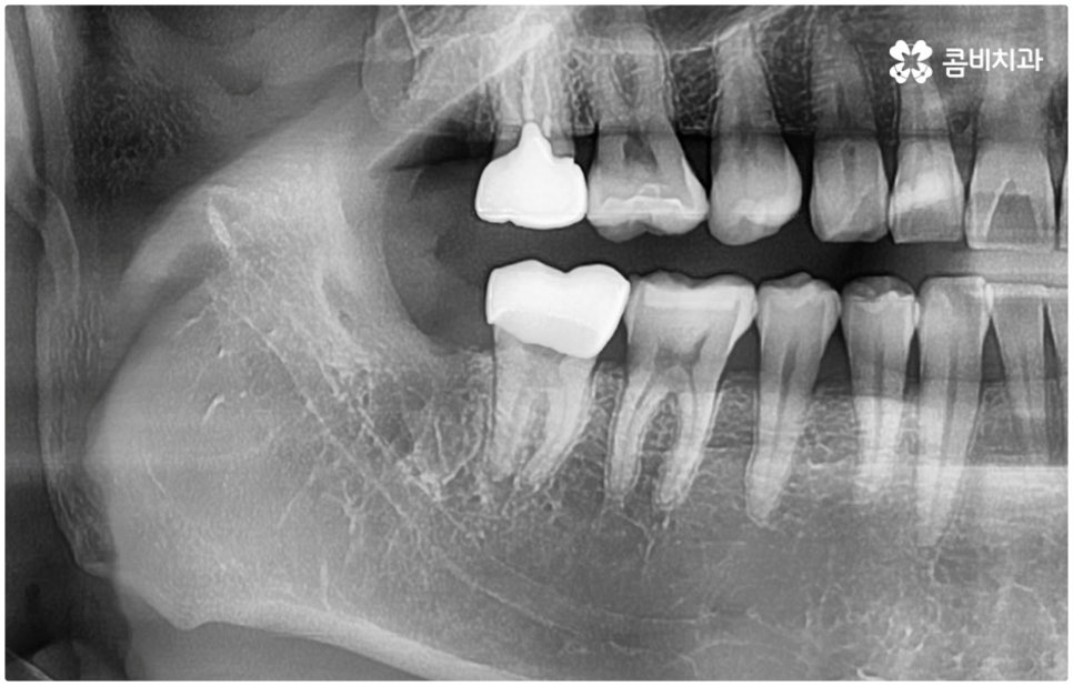
사랑니라고 해서 반드시 뽑아야 하는지 문의를 주시는 분들이 많은데 똑바로 나오고 위생 관리를 청결하게 할 수 있다면 꼭 발치를 해야 하는 것은 아니지만 사랑니 자체에 문제가 생겼거나 주변 치아에 좋지 않은 영향을 준다면 뽑아주는 것이 좋을 거예요. 말씀드린 것처럼 사랑니는 다른 치아가 모두 나오고 나서 가장 늦게 맹출이 되기 때문에 사랑니가 자랄 만한 공간이 부족하여 대부분 삐뚤어져 나오거나 일부만 나오는 등 정상적인 치열을 벗어나는 경우가 많으며, 위치상 구강 내 최후방에서 나오기 때문에 그렇지 않아도 관리가 어려운 상황에서 잘못 나온 사랑니로 인해 비좁은 틈이 생겨 속속들이 낀 음식물 찌꺼기가 빠지기 어렵게 되면 충치 또는 잇몸 염증이 생기기 쉽고 이로 인해 심한 구취를 유발하거나 주변 어금니까지 손상될 가능성이 높아지므로 주의하실 필요가 있어요.


대부분 이와 같이 사랑니가 날 때 잘못 나오기 때문에 붓고 아프고 그쪽으로 씹기 불편해 지는 등 여러 증상이 동반되므로 발치 처치를 받고자 치과에 내원하시는 분들이 많긴 하지만 경우에 따라 전혀 맹출이 되지 않거나 별다른 증상 역시 드러나지 않음에도 불구하고 발치가 필요한 케이스가 있을 수 있으므로 통상적으로 사랑니가 나온다고 알려진 시기 즈음 해서 치과에 내원하여 꼼꼼하게 정밀 검진을 받아보시길 권유드리고 있습니다.
특히 매복 사랑니 중 잇몸 속에 전부 묻혀 있는 사랑니를 완전매복사랑니라고 부르는데 이 경우 누운 방향으로 자라나면서 앞 어금니 뿌리에 지속적인 압박을 가하여 신경을 누르기도 하고 치근을 흡수시키거나 치열이 앞쪽으로 쓰러지게 만들어 부정교합을 유발하기도 하며 드물게는 함치성 낭종이 생겨 턱뼈를 녹이는 상황까지 발생할 수도 있기 때문에 꼼꼼하게 검진을 하여 만약에 필요하다면 늦지 않게 발치 처치를 해 주어야 하는 거예요.


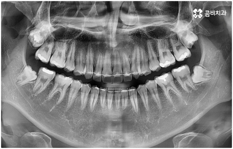
매복사랑니발치치과 를 선택할 때 어떤 것을 기준으로 고르는 것이 좋을까요? 사랑니가 완전히 매복되어 있다면 잇몸을 절개하고 상황에 따라 골삭제 후 치아를 조각내어 빼내줄 필요가 있는데 이러한 과정이 굉장히 까다롭기 때문에 먼저 환자분들의 사랑니 위치 및 뿌리의 형태, 인접 치아 구조, 주변 조직이나 신경 위치 등을 구체적으로 확인할 수 있는 3D CT와 같은 정밀 검진 장비를 갖추고 있는 매복사랑니발치치과 인지 체크해 보실 필요가 있어요.
하악 사랑니의 경우 하치조 신경을 건드리지 않도록 주의해야 하고 상악 사랑니의 경우 상악동 천공을 조심해야 하는데 이 때 환자분들의 상황 또한 개인마다 천차만별인 만큼 각각을 꼼꼼하게 살펴보고 섬세하게 발치 처치를 하기 위해 술자의 뛰어난 기술력 및 숙련도가 요구되므로 매복사랑니발치치과 의료진의 경력 사항을 면밀하게 살펴보시는 것도 도움이 될 거예요.
고난도 시술일수록 환자분들의 안전을 위해서 철저한 준비 과정이 필요하겠죠? 특히 술자가 관련 임상 경험이 풍부하고 다양한 케이스를 접해 본 노하우를 가지고 있어야 혹시 모를 신경 손상의 위험성이나 부작용, 상악동 천공시 생길 수 있는 감염 및 출혈과 같은 합병증 등에 대해서 충분히 인지하고 정확한 분석을 통해 사전 대비를 잘 할 수 있어요. 또한 정밀 검진 후 위치나 상황에 따라 무조건적인 발치를 하는 것이 아니라 지속적으로 관찰을 하거나 경과를 보면서 적절한 시기를 조율해 보는 것이 더 나을 수 있다는 판단을 내릴 수도 있는데 이런 경우에도 숙련된 의료진에게 자세한 설명을 듣고 상담을 충분히 하신다면 환자분들의 입장에서 보다 편안한 마음을 가지고 진료를 받으실 수 있을 거예요.


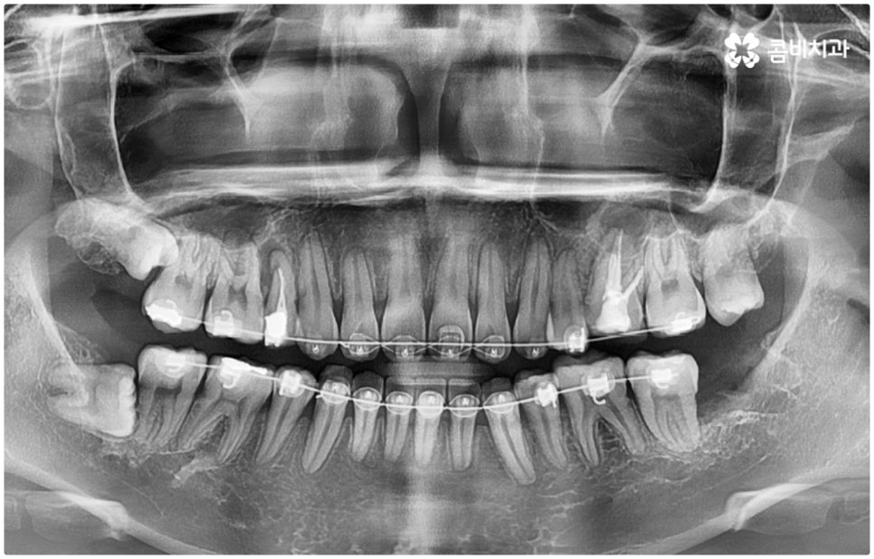
이와 같이 환자분들마다 상황에 맞게 사랑니 발치 시기를 결정하게 되는데 예를 들어 교정을 하는 분들이라면 사랑니를 언제 빼는 것이 맞을까요? 이 역시 검진을 꼼꼼하게 해 본 후에 결과에 따라 달라지게 될 텐데, 만약 아직 사랑니로 인해 충치와 같은 문제가 발생하지 않았고 부정교합 등에 영향을 주고 있지 않다면 교정을 하는 중간 혹은 교정이 끝난 다음 유지 장치를 하면서 적절한 시기에 발치해 주면 될 것이고 구강 질환이 생긴 상태라면 이를 먼저 치료한 다음 원인이 되는 사랑니를 발치한 후 차근차근 교정 치료를 진행하는 것이 좋을 거예요
이때 치과교정과 전문의 자격증과 통합치의학과 전문의 자격증을 동시에 갖추고 있으면서 경력 또한 풍부하신 담당의 선생님께 치료를 받으신다면 중간에 치과를 옮기실 필요 없이 필요한 처치를 제 때 받게되어 보다 편안하게 진료를 보실 수 있어요. 또한 발치를 할 때 무통 마취기 아이젝을 이용하는 매복사랑니발치치과 라면 환자분들의 불편과 통증을 좀 더 줄여줄 수 있으며 보다 안정적인 진료가 가능하니 이에 대해서도 한 번 체크해 보시길 권유드리고 있습니다.


사랑니 발치의 경우 사후 관리도 굉장히 중요한데, 제 3대구치라는 이름에 걸맞게 크기가 크고 뿌리가 깊은 사랑니를 뽑게 되면 발치 구멍 역시 크기 때문에 (경우에 따라 잇몸 봉합을 해 주기도 함) 지혈을 철저하게 해 줘야 하며 해당 부위가 잘 아물 수 있도록 10일 정도는 음주와 흡연, 격한 운동 등을 삼가주실 것을 권유드리고 있어요. 발치한 부위에 음식물 찌꺼기가 끼어 염증이 발생하지 않도록 위생 관리에도 각별히 주의해야 하는데 그렇다고 해서 세게 칫솔질을 하게 되면 다시 피가 날 수도 있고 새로운 잇몸뼈가 차오를 때까지 임시로 구멍을 막고 있는 딱지 (혈병) 가 떨어질 수도 있으므로 물로 살살 흘려 보내듯이 닦아주는 것이 좋을 거예요. 추가로 양치를 하시고, 치과에서 안내해 준 대로 가글 등을 이용하시면 보다 쉽게 관리를 하실 수 있으니 참고해주시면 좋을 것 같습니다.
이 밖에 매복사랑니발치치과 에서 안내 드리는 주의 사항들 모두 혹시 모를 후유증이 생기지 않도록 방지하고 빠른 회복을 돕기 위한 것이므로 철저하게 지켜주시길 당부드리며 충분히 휴식하고 필요하다면 처방 지시에 따른 적절한 약을 복용하면서 안정을 취하시길 권유드리고 있어요. 특히 초기에 해당 부위를 자기도 모르게 빨아서 음압이 발생하면 혈병이 떨어지기 쉽고 드라이소켓이 생겨 극심한 통증이 유발될 가능성이 높아지니 주의하실 필요가 있습니다.
본 글은 콤비치과의 의료광고 포스팅입니다.
개인에 따라 출혈 및 부작용이 발생할 수 있고,
환자마다 치료 결과 및 기간이 상이할 수 있으므로,
정확한 치료 기간 및 치료 계획은
가까운 치과에서 상담을 받아보시길 권장 드립니다.
더 보기
이 병원의 공개 콘텐츠를 계속 살펴보세요
출처 아카이브로 돌아가 더 많은 글을 보거나, 병원 프로필로 이동해 다른 공개 채널도 함께 비교해보세요.