아카이브 요약
이 페이지의 역할
명동콤비치과의원의 네이버 블로그 원문을 보존한 아카이브 페이지입니다. 치아스토리♡ 카테고리의 건강보험임플란트 혜택받아 보세요 글을 통해 병원의 한국어 정보 제공 방식과 진료 관련 안내 톤을 확인할 수 있습니다.
원문 검증
필요하면 원문 블로그와 병원 프로필로 바로 이동해 문맥을 다시 확인할 수 있습니다.
출처 아카이브 열기아카이브된 블로그 글
명동콤비치과의원 · Naver Blog
동서고금을 막론하고 건강은 늘 삶의 질과 밀접하게 연관되는 핵심 키워드 중 하나였으며 특히 우리나라는 현재 빠르게 고령화가 진행되고 있는 만큼 웰에이징에 대한 관심이 더욱 높아지고 있습니다. 과학 및 의료 기술의 눈부신 발전을 토대로 의식주를 비롯한 생활 전반이 보다 윤택해 지면서 이제는 기대 수명이 100...
게시일
2022년 12월 21일
원문 기준으로 확인된 발행일입니다.
카테고리
치아스토리♡
원문 블로그 카테고리를 정리해 함께 표시합니다.
이미지 수
15
현재 아카이브에 연결된 이미지 수입니다.
아카이브 요약
명동콤비치과의원의 네이버 블로그 원문을 보존한 아카이브 페이지입니다. 치아스토리♡ 카테고리의 건강보험임플란트 혜택받아 보세요 글을 통해 병원의 한국어 정보 제공 방식과 진료 관련 안내 톤을 확인할 수 있습니다.
원문 검증
필요하면 원문 블로그와 병원 프로필로 바로 이동해 문맥을 다시 확인할 수 있습니다.
출처 아카이브 열기동서고금을 막론하고 건강은 늘 삶의 질과 밀접하게 연관되는 핵심 키워드 중 하나였으며 특히 우리나라는 현재 빠르게 고령화가 진행되고 있는 만큼 웰에이징에 대한 관심이 더욱 높아지고 있습니다. 과학 및 의료 기술의 눈부신 발전을 토대로 의식주를 비롯한 생활 전반이 보다 윤택해 지면서 이제는 기대 수명이 100세를 넘어 120세에 이를 정도가 되었기에, 단순히 오래 사는 것 만이 아닌 건강하고 활기차게 노년을 보내는 것에 집중하게 된 거예요.
잘 아시다시피 건강의 기본은 잘 먹는 것으로 그 바탕에는 구강 건강이 자리잡고 있다고 볼 수 있는데요. 충치나 잇몸병과 같은 구강 질환은 한 번 발병하면 시간이 지난다고 해서 자연스럽게 나아지지 않고 오히려 빠르게 악화일로를 걷는 경향을 가지고 있기 때문에 제 때 필요한 치료를 해 주는 것이 굉장히 중요하다고 할 수 있어요. 특히 통계적으로 봤을 때 65세 이상 노년층에서 치주 질환 수진율이 증가하고 있는 만큼 이로 인해 치아 상실까지 이어지는 상황이 발생하지 않도록 주의하실 필요가 있습니다.



치아를 잃게 되면 저작 기능이 떨어져서 영양 섭취가 제대로 이루어지지 않을 뿐 아니라 소화 불량으로 이어질 수 있어요. 또한 치아 탈락 상태가 지속되면 치주 질환을 악화시키기도 하고 장기적으로 치열을 흩뜨러지게 만들거나 잇몸뼈를 흡수시키는 등 주변 치아와 잇몸에 좋지 않은 영향을 주는 더 큰 구강 문제를 유발할 수도 있으니 조심하셔야 할 거예요. 치아 건강이 당뇨, 심혈관 질환, 치매와 연관이 있다는 연구 결과도 있는 만큼 병이나 사고로 자연 치아를 상실하였을 때 자연스러운 노화의 일부라고 받아들이고 넘어가거나 천천히 수복해도 괜찮다고 생각하고 오랜 기간 방치하기 보다는 될 수 있는대로 빠르게 대체를 해 주시길 권유드리고 있습니다.



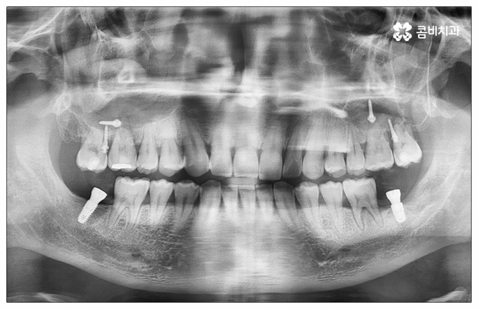
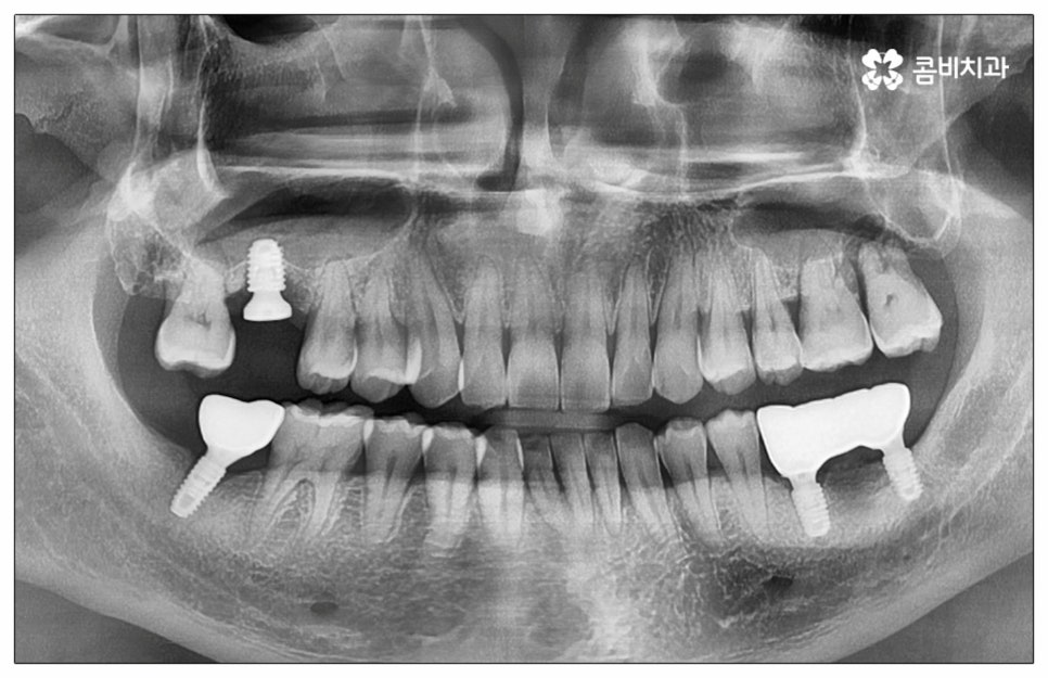
예전에는 이런 상황에서 틀니를 많이 이용하였으나 저작력 회복이 본래 자신의 치아 대비 20~30% 정도 밖에 되지 않고 잦은 탈락 위험 및 이물감, 잇몸을 눌러 장기적으로 잇몸뼈가 내려앉을 수 있다는 점 등 여러 가지 불편함이 있어 요즘은 임플란트 시술을 선호하시는 분들이 더 많아지고 있어요. 임플란트란 인체에 무해하며 잇몸뼈와 잘 결합하는 인공 치근을 잇몸뼈에 직접 식립하고 그 위로 기둥이 되는 중간 지대주와 치아 머리가 되는 크라운 보철물을 연결하여 인공 치아를 만들어 주는 시술을 말하는데, 자연 치아의 80% 정도 저작력 회복이 가능하기 때문에 식사를 할 때 음식을 크게 가리지 않아도 된다는 점 그리고 심미적으로 봤을 때 주변 치아와 자연스럽게 어우러진다는 점 때문에 각광을 받고 있습니다. 게다가 건강 보험 가입자이면서 만 65세 이상 부분 무치악 환자라면 평생 임플란트 2개까지 보험 적용을 받아 비용 부담을 줄일 수 있기 때문에 더욱 더 수요가 늘어나 이제는 치아 상실에 대체하는 대표적인 방법으로 임플란트 시술이 꼽히고 있는데요.



많이 대중화 되었다고 해도 임플란트 수술 자체가 술자의 숙련도에 크게 영향을 받는 복잡하고 고난도의 진료인 것은 틀림이 없기 때문에 담당 의료진이 해당 분야 임상 경험이 풍부한지, 뛰어난 기술력과 노하우를 가지고 있는지 꼼꼼하게 체크해 보실 필요가 있어요. 특히 노년층의 경우 당뇨, 고혈압 등 만성 질환을 앓고 있는 경우가 많아 혹시 상시 복용하고 있는 약이 있는지, 현재 환자 개개인의 상태는 어떤지, 사전 처치가 필요한 부분은 없는지 등등 수술 조건을 좀 더 까다롭게 평가한 후 환자분들과 이에 대해 충분히 상담하고 맞춤형 치료 계획을 세워 진행해야 하며 이를 위해 3D CT 와 같은 디지털 검진 장비를 통해 구강 내부 구조를 면밀하게 살피고 방대한 임상 데이터를 축적한 정품 임플란트 재료를 이용하여 연령이나 회복 정도를 살펴보면서 체력적 부담을 줄이는 방향으로 무리하지 않게 식립하는 것이 무엇보다 중요하다고 할 수 있습니다.



우리 나라 건강보험임플란트 제도는 언제부터 시작이 되었을까요? 임플란트 관련 보철급여제도는 2014년 만 75세 이상 2개 적용을 시작으로 점차 대상을 확대해 왔는데요, 2016년 이후 적용 나이가 만 65세로 낮아졌고 2018년 이후 본인 부담 비율도 30% 까지 인하되었는데 이러한 적용 나이 확대와 본인 부담률 인하로 인해 2019년부터 건강보험임플란트 급여 적용 시행 건수가 급격히 증가하였다고 보고 되고 있습니다. 여기서 30% 라는 것은 일반적인 만 65세 부분 무치악 환자를 기준으로 한 것이고 만약 차상위 대상이나 희귀난치성 환자, 만성질환자라면 건강보험임플란트 본인 부담 비율이 더욱 낮아지니 자신이 어디에 해당하는지 자세하게 알아보시고 도움받아 보시면 좋을 거예요.
이때 추가 수술은 비급여 항목으로 건강보험임플란트 대상에서 제외되니 이에 대해서도 꼼꼼하게 살펴보시고 정밀 검진 후 담당 의료진과 자신의 상황에 대해서 충분하게 상담해 보시길 권유드리고 있습니다. 추가 수술의 대표적인 예로는 뼈이식 수술이 있는데요. 이것은 임플란트를 식립할 때 바탕이 되는 잇몸뼈의 높이나 폭, 밀도 등이 부족하다면 먼저 이를 보충해 주고 나서 임플란트를 심어주는 과정을 의미하며 같은 이유로 식립 성공률이나 장기적인 안정성을 높이기 위해 꼭 필요한 사전 처치, 즉 상악동 거상술 및 치주 질환 관련 수술 등을 먼저 해야 한다면 이 역시 추가 수술의 범주로 들어가니 자신의 상황에 대해서 상세하게 알아보실 필요가 있어요.
인구 전체에서 65세 이상 노령 인구가 차지 하는 비율이 얼마나 되는가에 따라 고령화 정도를 측정하게 되는데 2022년 기준 우리 나라 노인 인구 비율은 17.5% 로 초고령 사회 (14%~20%) 에 속한다고 할 수 있습니다. 현재 완전무치악 환자 (상하악 잇몸 위로 치아가 하나도 남아있지 않은 상태) 는 건강보험임플란트 대상에서 제외되었으나 말씀드린 것처럼 잔존치아 개수는 기대 수명 및 삶의 질에 지대한 영향을 주며 노인 건강권 증진과 직접적인 연결성을 가지기 때문에 국가에서도 이 점에 주목하고 건강보험임플란트 대상의 확대를 위해 꾸준히 노력하겠다는 입장인 만큼 향후 바뀌는 부분이 있는지도 관심을 가지고 지켜보시면 좋을 거예요.



임플란트 치아는 관리를 철저하게 해 주면 거의 반영구적으로 쓸 수 있으니 환자분들의 입장에서 구강 위생을 깨끗하게 유지시키고 또한 정기적으로 치과에 내원하셔서 스케일링 및 검진 진료를 받으시면 도움이 될 거예요. 임플란트는 자연 치아와 주변 조직이 다르기 때문에 특히 잇몸 질환을 주의해야 하며 수직력에는 강하지만 수평력에는 약한 특징을 가지니 혹시라도 이갈이 등의 습관을 가지고 있다면 이를 고칠 수 있도록 노력하시는 것이 임플란트 치아를 보다 오랜 기간 건강하게 사용하실 수 있는 지름길이라고 할 수 있습니다.
본 글은 콤비치과의 의료광고 포스팅입니다.
개인에 따라 출혈 및 부작용이 발생할 수 있고,
환자마다 치료 결과 및 기간이 상이할 수 있으므로,
정확한 치료 기간 및 치료 계획은
가까운 치과에서 상담을 받아보시길 권장 드립니다.