명동콤비치과의원 (명동)
비발치치아교정 언제 할수있나요
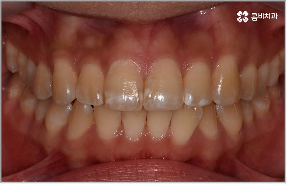
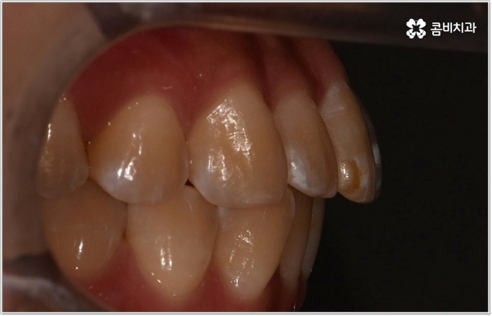
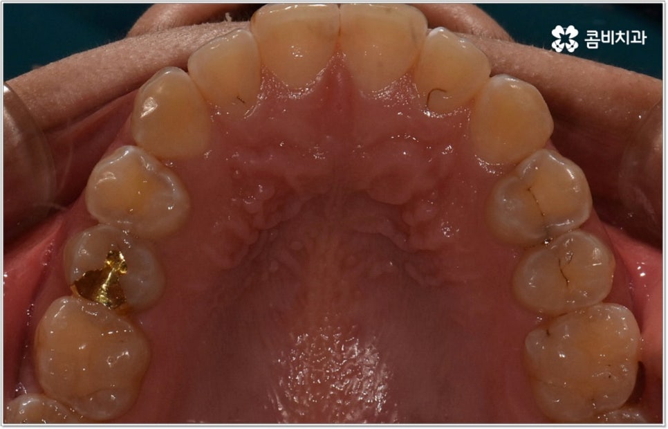
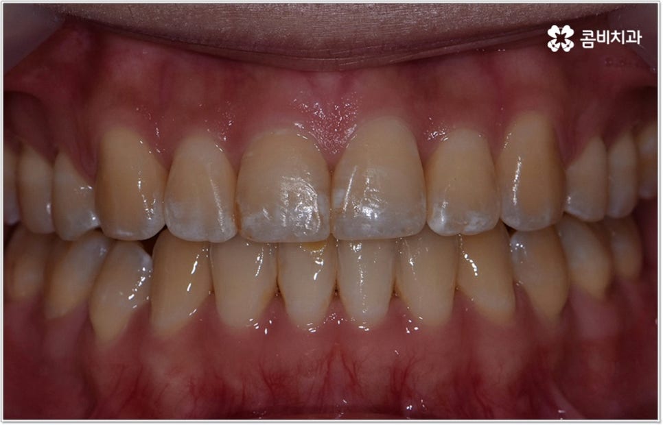
누군가와 이야기하고 있을 때 상대방의 입 속으로 언뜻언뜻 보이는 치아가 희고 고르면 깔끔하게 자기 관리를 잘 하는 사람이라는 인상을 주기 때문에 처음 보는 사이라도 호감도가 올라가는 경험을 해 보신 적이 있으실 거예요. 반대로 자신의 치아가 삐뚤빼뚤하다면 대인관계에서 조금 위축이 되기도 하고 웃을 때마다 자기도 모...
아카이브 요약
이 페이지의 역할
명동콤비치과의원 (명동)의 네이버 블로그 원문을 보존한 아카이브 페이지입니다. 치아스토리♡ 카테고리의 비발치치아교정 언제 할수있나요 글을 통해 병원의 한국어 정보 제공 방식과 진료 관련 안내 톤을 확인할 수 있습니다.
누군가와 이야기하고 있을 때 상대방의 입 속으로 언뜻언뜻 보이는 치아가 희고 고르면 깔끔하게 자기 관리를 잘 하는 사람이라는 인상을 주기 때문에 처음 보는 사이라도 호감도가 올라가는 경험을 해 보신 적이 있으실 거예요. 반대로 자신의 치아가 삐뚤빼뚤하다면 대인관계에서 조금 위축이 되기도 하고 웃을 때마다 자기도 모르게 치아를 손으로 가리는 습관을 갖게 될 수도 있는데요. 이렇게 치아 배열이 심미적, 심리적으로 주는 영향이 상당하기 때문에 아름다운 치아를 드러내며 환하게 웃는 미소에 대한 로망을 가지고 있는 분들이 많이 있습니다.
게다가 치아는 우리가 매일 음식을 먹을 때 이를 잘게 잘라주는 역할, 그리고 말을 할 때 발음을 정확하게 해 주는 역할 등 일상 생활 속에서 꼭 필요한 기능들을 하고 있는데요. 그렇기 때문에 만약 치아 배열이 고르지 못하다면 음식물을 제대로 씹기 어려워져서 소화 불량 및 영양 불균형을 초래하여 장기적으로 전신 건강에 좋지 않은 영향을 줄 수도 있고 발음이 새고 불명확해 질 수도 있으므로 기능적인 측면에서 봐도 치열에 대해 관심을 기울이실 필요가 있어요. 더욱이 교합이 맞지 않은 채로 계속 씹는 과정을 반복하게 되면 턱관절 통증을 느끼게 되거나 안면비대칭까지 이어질 수 있고 고르지 못한 치아 사이로 음식물이 자주 끼어 충치, 치주염 등의 구강 질환이 발생할 가능성 역시 높아지기 때문에 치열이 삐뚤어져 있거나 상하악 교합이 정상적이지 않다면 치아교정 치료를 통해 이를 바로잡아 주는 것이 좋을 거예요.


요즘은 관련 치의학 기술이 많이 발달하여 환자분들께서 치아 교정을 할 때 느낄 수 있는 여러 가지 불편들을 크게 줄여 주고 있지만 그럼에도 불구하고 여전히 통증에 대한 걱정이나 비교적 오래 걸리는 기간, 비용적인 부담 등으로 인해서 치아 교정이 망설여지는 분들이 있을 거예요. 또한 치아 교정을 하면 꼭 발치를 해야 하는가에 대해서도 많이들 문의를 주시고 있는데요. 물론 치아를 뽑는 것에 대한 걱정은 남녀노소 불문하고 누구나 가질 수 있는 것이지만 교정을 한다고 해서 반드시 발치를 해야 하는 것은 아니며 환자분들의 상황에 맞게 비발치치아교정 치료를 진행할 수도 있기 때문에 이에 대해서 꼼꼼하게 살펴보시면 막연한 두려움을 줄일 수 있을 거라 생각하고 있습니다.


특히 위아래 치아가 제대로 맞물리지 않는 분들 중 시간이 지날수록 치열이 비정상적인 저작 과정에 적응하는 쪽으로 영향을 받아 부정교합의 정도가 심해지고 턱관절 건강까지 악화되는 일이 발생할 수도 있기 때문에 주의하실 필요가 있는데요. 미리 크게 걱정을 하거나 지레 짐작으로 막연하게 두려움을 가지고 내원 자체를 미루시기 보다는 현재 자신의 상황이 어떤지부터 먼저 상세하게 체크해보고 그에 따라 필요한 치료 과정이 무엇인지도 한 번 알아두면 좋겠다는 마음으로 치과에 방문하셔서 부정교합의 종류 (주걱턱, 돌출입, 덧니, 개방교합 등) 와 정도를 꼼꼼하게 검사한 후 숙련된 의료진과 차근차근 상담을 해보시면 부정교합으로 인한 불편함을 줄이는데 도움이 되실 거예요.


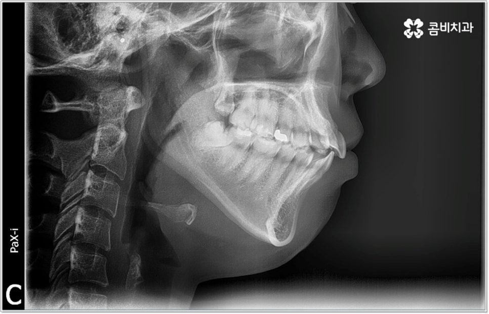
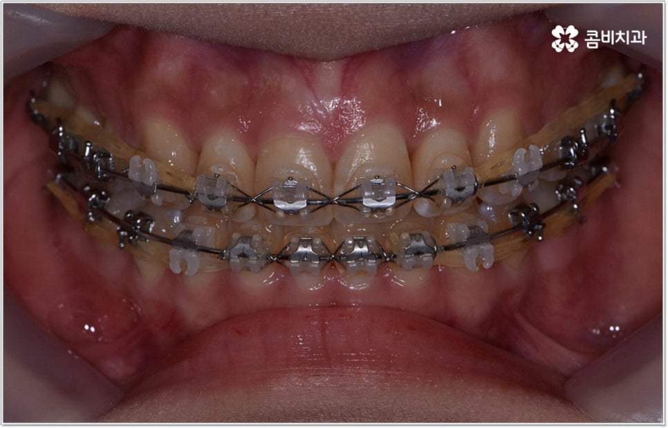
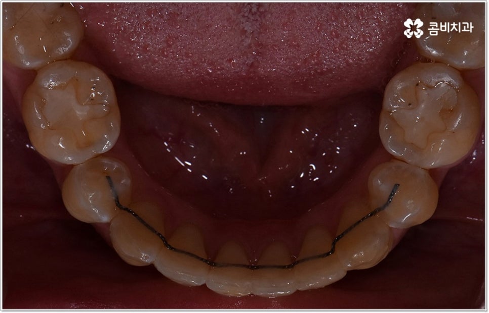
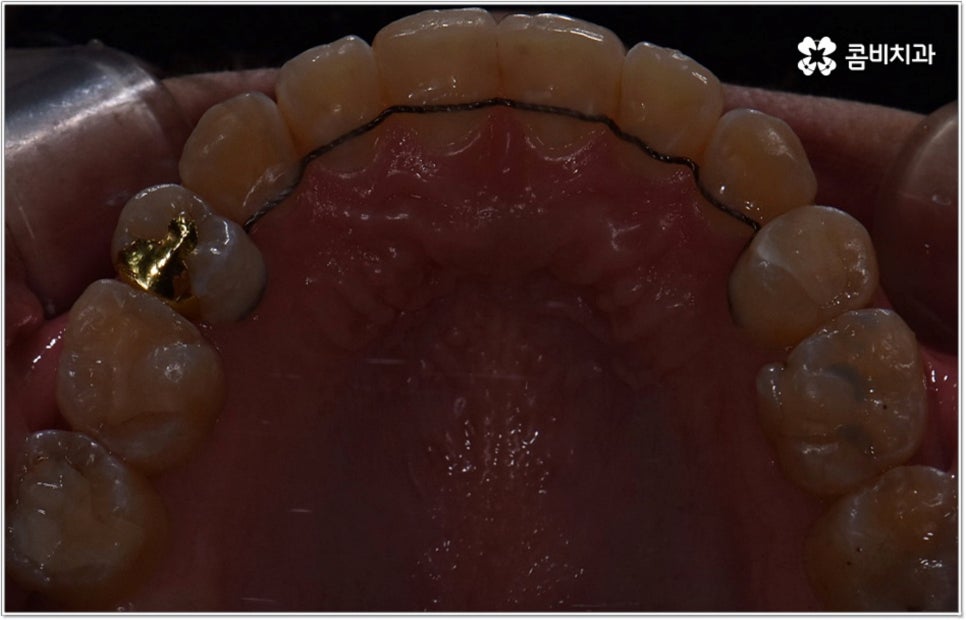
잘 아시다시피 교정이란 치아에 교정 장치 (브라켓) 를 부착하고 와이어에 교정력을 걸어 필요한 방향으로 치아를 이동시킴으로써 고른 치열과 올바른 교합을 가진 정상적인 구강 구조를 회복하는 치과 진료를 의미하는데요, 말씀드린 것처럼 부정교합에는 다양한 형태가 있고 또한 환자분들마다 심각한 정도가 모두 다르기 때문에 현 상태를 면밀하게 체크하고 맞춤 교정 치료 계획을 세우는 것이 무엇보다 중요하다고 할 수 있습니다. 즉 3D CT 와 같은 정밀 진단 장비를 갖추고 있는 치과에서 교정 관련 임상 경험이 풍부한 숙련된 의료진과 함께 치료를 진행하는 것이 필수적이라고 할 수 있어요. 전체 방향 및 세부 플랜을 세울 때 각 환자에 맞게 치아의 이동 속도에 무리가 가지 않도록 하기 위해서 연령이나 발달 상황, 진행 상황을 면밀하게 살펴보는 것이 필요하며 또한 구강 내 공간 유무 및 부정교합 정도에 따라 발치 또는 비발치치아교정 여부를 결정하게 될 거예요.



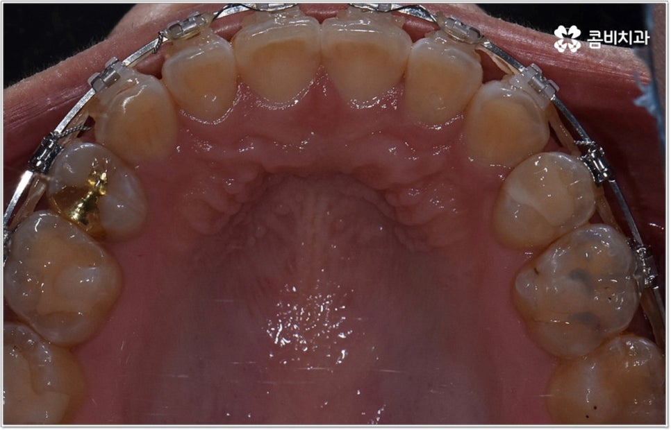
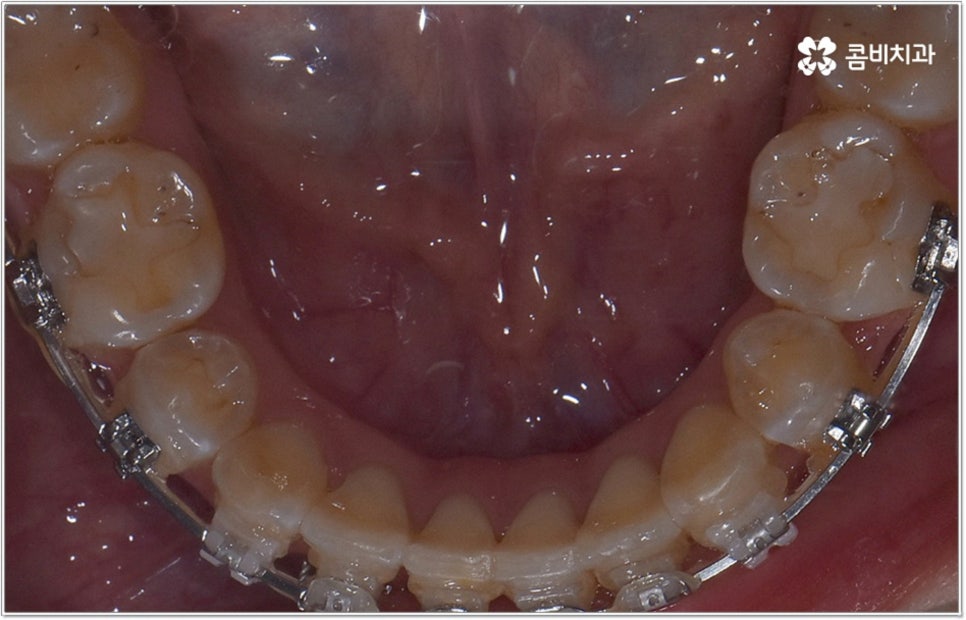
만약 치아가 이동할 범위를 계산해 봤을 때 공간이 충분하다면 굳이 치아를 뽑지 않고 비발치치아교정 과정으로 치료할 수 있어요. 제일 뒤에 있는 어금니를 더 후방으로 이동시키거나 치간 삭제, 악궁확장장치 등으로 치아 사이를 벌려서 이동 공간을 확보할 수 있으면 비발치치아교정 이 가능한 거예요. 이 때 부정교합이 심각하거나 악골이 치아에 비해 많이 작은 경우, 구조적인 원인을 개선할 필요성이 있는 경우 등 발치 교정을 하는 것이 꼭 필요한 케이스라면 치아를 뽑아주어야 하며, 환자분들의 상황에 따라 다르지만 보통은 소구치를 발치하는 경우가 많이 있습니다.


대다수의 환자분들은 되도록 치아를 뽑지 않았으면 하고 바라시겠지만 발치교정이 꼭 필요한 케이스에서 비발치치아교정 을 고집하게 되면 치열을 원하는 정도까지 움직이기 어렵고 (예를 들어 만약 돌출입이라면 만족할 만한 수준까지 들어가지 않을 수도 있음) 결과적으로 상하 부정 교합 역시 제대로 개선되지 않을 수 있어요. 이 때 다양한 케이스를 다뤄보고 뛰어난 노하우를 가지고 있는 의료진과 충분히 상담을 해 보시고 또한 모르페우스를 이용하여 교정 치료를 받고 난 후의 미래 예상 모습을 살펴 보고 나면 발치 과정의 필요성에 대해 스스로 이해하는데 도움이 되실 거예요.


발치 여부 외에도 사용할 장치 종류, 교정 기간 등 여러 세부적인 사항들 역시 정밀 검진 결과 및 사전 상담 내용 (예를 들어 환자분들이 상시 복용하시는 약이 있는지, 식습관이나 버릇 (ex. 이갈이) 같은 것은 어떠신지 등등 생활 전반에 대한 부분) 을 꼼꼼히 확인한 후 이를 전체적으로 고려하여 맞춤 플랜을 세우고 교정 치료를 시작하는 게 중요하며, 진행 역시 무리하지 않게 환자분들의 상황에 맞출 필요가 있으므로 의료진이 중간에 교체되는 일 없이 처음부터 끝까지 책임 진료할 수 있는 곳에서 치료를 하시길 권유드리고 있어요. 또한 체계적인 시스템을 갖추고 있는 곳이어야 결과의 지속성을 보다 높일 수 있는 사후 관리까지 철저하게 받을 수 있으니 이런 부분도 잘 체크해 보시면 좋을 거예요.
본 글은 콤비치과의 의료광고 포스팅입니다.
개인에 따라 출혈 및 부작용이 발생할 수 있고,
환자마다 치료 결과 및 기간이 상이할 수 있으므로,
정확한 치료 기간 및 치료 계획은
가까운 치과에서 상담을 받아보시길 권장 드립니다.
더 보기
이 병원의 공개 콘텐츠를 계속 살펴보세요
출처 아카이브로 돌아가 더 많은 글을 보거나, 병원 프로필로 이동해 다른 공개 채널도 함께 비교해보세요.