명동콤비치과의원 (명동)
어금니충치치료 아프다면 빨리
우리 입 속에는 500여가지에 이르는 다양한 세균이 존재하는데, 평상시에는 항상성을 유지하고 있어서 그 자체로 문제가 되지는 않으나 입 속 PH도, 침의 양, 잔여 음식물 등 여러 가지 원인으로 인해서 변화가 생기면 이것이 깨져서 해로운 세균이 갑자기 크게 번식하여 충치나 치주염과 같은 구강 질환이 발생하기...
아카이브 요약
이 페이지의 역할
명동콤비치과의원 (명동)의 네이버 블로그 원문을 보존한 아카이브 페이지입니다. 치아스토리♡ 카테고리의 어금니충치치료 아프다면 빨리 글을 통해 병원의 한국어 정보 제공 방식과 진료 관련 안내 톤을 확인할 수 있습니다.
우리 입 속에는 500여가지에 이르는 다양한 세균이 존재하는데, 평상시에는 항상성을 유지하고 있어서 그 자체로 문제가 되지는 않으나 입 속 PH도, 침의 양, 잔여 음식물 등 여러 가지 원인으로 인해서 변화가 생기면 이것이 깨져서 해로운 세균이 갑자기 크게 번식하여 충치나 치주염과 같은 구강 질환이 발생하기 쉽기 때문에 주의하실 필요가 있습니다. 특히 충치는 대표적인 구강 질환으로 아마도 많은 분들이 충치로 인한 통증을 겪어보신 경험이 있으실 텐데요, 보통 단맛을 선호하는 어린 아이에게 더 자주 발생하지만 구강 관리에 소홀하면 남녀노소 불문하고 성인분들에게도 얼마든지 나타날 수 있는 구강 질환이기 때문에 평상시에 철저하게 위생 관리를 해 주는 것이 좋을 거예요.
뮤탄스균으로 대표되는 충치균이 급증하는 온상이 되는 것이 바로 치석인데요, 치석이란 치아 표면에 생기는 끈끈한 세균막인 플라그를 그 때 그 때 깨끗하게 제거해 주지 못했을 때 음식물 찌꺼기와 엉겨 붙으면서 침 속의 무기질 성분과 결합하여 돌처럼 굳어지는 것을 의미하는 거예요. 이렇게 치석이 치아 사이사이, 치아와 잇몸 사이에 단단하게 자리를 잡으면 양치질 만으로는 제거할 수 없고 초음파를 이용하여 치아 표면에서 이를 물리적으로 떼어내는 스케일링 치료를 통해 도움을 받아야 하는데, 환자분들의 상황에 따라 다르지만 성인분들의 경우 평균 1년에 1~2번 정도의 주기로 받으실 것을 권장하고 있습니다. 이 때 타고난 치열이나 식습관 등의 영향으로 치석이 자주 생기는 경우, 최근에 구강 질환 치료를 받은 경우 등 좀 더 자주 검진과 관리가 필요하신 분들은 주기를 짧게 가지실 필요가 있어요.



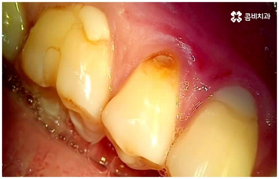
모든 치아가 각자의 역할을 가지고 있지만 특히 어금니의 경우 가장 크고 단단하여 저작 기능의 핵심 역할을 맡고 있는 만큼 굉장히 중요한 치아라고 할 수 있습니다. 그런데 구강 가장 안쪽에 있기 때문에 관리하기가 까다롭고 평상시에도 음식물 찌꺼기가 남아있기 쉬워 주변 잇몸이 부어오르면서 염증이 생기거나 충치가 생길 가능성이 높은 치아라서 관리하실 때 특별히 주의하실 필요가 있어요. 충치가 한 번 발생하여 치아 안쪽으로 감염이 진행되면 통증이 점점 심해져서 나중에는 일상 생활이 어려워질 정도가 될 수도 있고 결국 치아뿌리염증으로 번져 발치를 해야하는 상황에 이를 수도 있기 때문에 발견 즉시 어금니충치치료 를 받아주시는 게 좋을 거예요.


병증이 초기 단계일 때는 치아 겉면인 법랑질이 일부 손상된 것이므로 해당 부위를 긁어낸 후 레진으로 채워주는 비교적 간단한 어금니충치치료 를 해주면 되며 환자분들의 상황에 따라 다르지만 보통 하루 만에 치료가 마무리되는 경우가 많기 때문에 시간과 비용적인 측면에서의 부담도 덜한 편이라고 할 수 있어요. 하지만 법랑질에는 신경이 없기 때문에 초기에는 자각 증상이 거의 없으며 겉으로 드러나는 특징도 두드러지지 않기 때문에 환자분들 입장에서 발견하기가 쉽지 않으므로 주기적으로 검진을 받아 혹시라도 자신이 모르는 사이에 충치가 진행되고 있지는 않은지 꼼꼼하게 살펴보시는 것이 초기 충치에 대처하실 수 있는 지름길이라고 할 수 있습니다.
만약 충치가 어느 정도 진행되어 상아질까지 손상되면 비로소 시리거나 쑤시는 듯한 통증이 생기며 이 때 치과에 내원하시면 정도에 따라 감염 부위를 제거하고 어금니충치치료 방법 중 인레이 또는 온레이를 통해 수복하게 되는데, 이 시기를 지나 병증이 더욱 심해지면 내부 치수조직을 제거하는 신경치료를 진행하게 될 거예요.


치아의 가장 겉부분인 법랑질은 인체에서 제일 단단하지만 안쪽으로 들어가면 비교적 무른 상아질과 신경, 혈관이 많이 모여 있는 연조직인 치수가 자리잡고 있으며 만약 이러한 치수가 존재하는 근관 내부가 구강 질환으로 인해 세균에 감염되거나 외부 충격으로 인해 치신경이 노출되어 손상되었을 때에는 근관치료라고도 불리는 신경치료를 통해 이를 치료해 주실 필요가 있습니다. 즉, 세균이나 염증 등으로 돌이킬 수 없을 정도의 손상을 입은 신경을 제거하고 근관을 깨끗하게 소독한 후 빈 공간에 생체친화 충전재를 채워넣어 밀봉한 다음 주변 치아와 높이와 각도 등을 맞춰서 크라운으로 수복을 해주어 남아 있는 자연 치아를 발치하지 않고 보다 오랜 기간 동안 사용할 수 있도록 하는 보존 치료의 일종이 바로 신경치료 및 후속 처치인 크라운 치료인 거예요.


평상시에 꼬박꼬박 검진이나 스케일링 치료를 받으시는 분들이 점차 많아지고 있는 반면 시간이 없어서 또는 막연한 두려움으로 인해서 더 이상 통증을 참을 수 없을 지경에 이르러서야 치과에 가시는 분들도 있을 거예요. 그런 경우 대부분 내원을 하신 시점에 이미 치아 내부 손상이 상당하고 살릴 수 있는 자연 치아가 굉장히 적을 수 있어요. 그러므로 이 중 몇몇 케이스는 굉장히 복잡한 고난도의 신경치료 대상이 될 수 밖에 없으며 혹시라도 미세한 부근관의 감염을 놓치게 되면 재신경치료를 해야 할 수도 있습니다. 이럴 때는 신경치료를 받은 후에 얼마 지나지 않아 해당 치아를 쓸 수 없게 되는 결과가 나올 수도 있는데요. 그러면 어금니충치치료 를 하여 괜히 힘만 두 번 들이고 고생을 하는 것 보다는 바로 임플란트 단계로 가는 것이 낫지 않느냐고 문의를 주시는 분들도 있어요.
그러나 요즘 임플란트 관련 기술이 많이 발달하여 자연 치아 상실에 대처하는 가장 대표적인 인공 치아 시술로 손꼽히고 있다고 해도 구조적인 차이점으로 인해 타고난 치아와 똑같을 수는 없다는 점, 자칫 관리에 소홀하면 잇몸 질환에 취약하여 주변 치아까지 좋지 않은 영향을 받을 수도 있다는 점 등을 고려해 봤을 때 구강 건강을 위해서는 될 수 있는대로 자연 치아의 수명을 늘리는 것이 보다 의미가 있습니다.


사실상 신경치료나 재신경치료가 어금니충치치료 중 거의 마지막 단계의 보존 치료에 속하는 것임을 감안해 봤을 때 해당 치료를 받은 자연 치아의 수명이 얼마나 될까 궁금해 하시는 분들도 있는데요. 환자분들의 상황에 따라 다르지만 신경 치료를 한 치아의 평균 수명은 약 11년 정도 (후속 처치인 크라운 치료를 함께 받았을 경우 약 20년까지 수명이 늘어남) 라는 연구 결과가 있는 만큼 치료 시기를 놓치지 않도록 주의를 기울이고 관리하면서 필요하다면 바로 뛰어난 노하우를 가지고 있는 숙련된 의료진에게 꼼꼼하게 신경 치료를 받을 수 있도록 하는 것이 중요한 포인트라고 할 수 있어요.
평균 수명이 늘어난 만큼 노년기가 길어져 구강 건강의 중요성은 날로 더욱 커지고 있는데요. 잘 아시다시피 구강 질환의 경우 한 번 발병하면 악화되는 쪽으로 속도가 빨라지기 때문에 자연 치아를 보다 오랫동안 건강하게 사용할 수 있도록 하기 위해서는 시기를 놓치지 않고 필요한 치료를 제 때 받으실 필요가 있어요. 그러므로 평상시에 올바른 방법으로 양치질을 잘 하고 꼬박꼬박 검진과 스케일링 치료를 받으시는 것을 습관화 하시기를 권유드리고 있습니다.
본 글은 콤비치과의 의료광고 포스팅입니다.
개인에 따라 출혈 및 부작용이 발생할 수 있고,
환자마다 치료 결과 및 기간이 상이할 수 있으므로,
정확한 치료 기간 및 치료 계획은
가까운 치과에서 상담을 받아보시길 권장 드립니다.
더 보기
이 병원의 공개 콘텐츠를 계속 살펴보세요
출처 아카이브로 돌아가 더 많은 글을 보거나, 병원 프로필로 이동해 다른 공개 채널도 함께 비교해보세요.