명동콤비치과의원 (명동)
20대임플란트 남의일이 아니라면
우리의 일상 속에서 치아는 굉장히 여러 가지 역할을 하고 있습니다. 잘 아시다시피 음식물을 잘게 잘라 살아가는데 필요한 영양분을 제대로 흡수할 수 있도록 도와주거나 말을 할 때 발음을 분명하게 할 수 있도록 도와주는 역할은 삶의 질과 밀접하게 연관되어 있는 매우 중요한 것이며 이와 같은 저작 기능, 조음 기...
아카이브 요약
이 페이지의 역할
명동콤비치과의원 (명동)의 네이버 블로그 원문을 보존한 아카이브 페이지입니다. 치아스토리♡ 카테고리의 20대임플란트 남의일이 아니라면 글을 통해 병원의 한국어 정보 제공 방식과 진료 관련 안내 톤을 확인할 수 있습니다.
우리의 일상 속에서 치아는 굉장히 여러 가지 역할을 하고 있습니다. 잘 아시다시피 음식물을 잘게 잘라 살아가는데 필요한 영양분을 제대로 흡수할 수 있도록 도와주거나 말을 할 때 발음을 분명하게 할 수 있도록 도와주는 역할은 삶의 질과 밀접하게 연관되어 있는 매우 중요한 것이며 이와 같은 저작 기능, 조음 기능 외에도 잇몸의 형태를 잡아주고 치조골 손실을 방지하는 기능, 입술을 받쳐주고 안면 골격을 형성하는 데 일조하는 심미적인 기능까지 자세히 살펴보면 우리가 평상시에 잘 인식하지 못하는 부분에서도 치아가 굉장히 다양한 역할을 하고 있음을 알 수 있는데요.
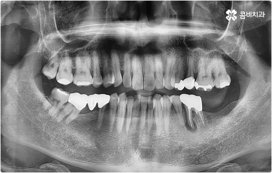
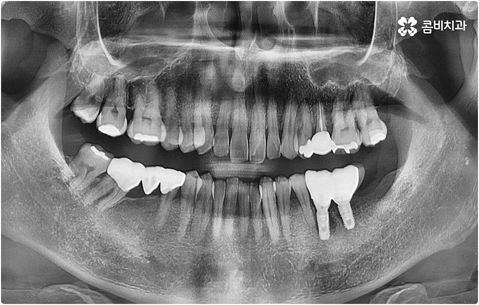
이러한 치아를 상실하게 된다면 우리가 생활하면서 느끼게 되는 불편함이 매우 클 거예요. 보통 치아 상실의 주된 원인이 노화 또는 치주 질환이기 때문에 중장년층 이상 노년층에서 많이 발생한다고 생각하실 수 있으나 젊은 나이에도 얼마든지 구강 질환 또는 사고 등으로 치아 상실을 경험할 수 있으며 특히 액티비티 활동을 활발하게 즐기는 20대라면 자칫 치아가 심하게 부러지거나 크게 깨지면서 결국 해당 자연 치아를 살릴 수 없게 되는 상황에 이를 수도 있기 때문에 주의하실 필요가 있어요.



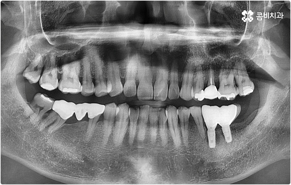
요즘은 치아를 상실했을 때 예전에 많이 이용했던 틀니나 브릿지 보다는 임플란트 시술을 더 선호하시고 있는데요. 임플란트 치아의 저작력 회복이 80~90% 정도이기 때문에 사용하기에 크게 무리가 없고 편안하다는 점 그리고 자신의 원래 자연 치아와 비교해 봤을 때 별로 차이가 나지 않을 정도로 자연스러워서 심미적인 만족도 역시 높다는 점이 대표적인 장점일 거예요. 또한 관련 치의학 기술이 꾸준히 발달해 왔다는 점과 국산 재료 개발을 통해 비용적인 부담이 예전에 비해 많이 줄어 들었다는 점도 임플란트의 대중화에 기여했다고 볼 수 있습니다.


물론 임플란트가 여전히 시술자의 숙련도에 영향을 받는 고난도의 복잡한 치과 진료임에는 틀림이 없기 때문에 임플란트 치료를 받을 치과를 선택할 때 의료진의 경력 사항 등을 꼼꼼하게 따져 보실 필요가 있으며 또한 환자분들에게 딱 맞는 계획을 세우기 위한 정밀 검진 장비를 제대로 갖추고 있는지, 양질의 데이터가 축적된 정품 재료를 사용하는지 여부도 함께 체크해 보시는 게 매우 중요하다고 할 수 있어요. 자연 치아를 대신하여 보다 오랜 기간 동안 건강하게 사용할 수 있는 인공 치아를 식립하는 치료이므로 자신의 상황을 정확하게 검사받고 임상 경험이 풍부한 의료진과 충분하게 상담을 하여 신중하고 무리하지 않게 치료를 진행하시기를 권유드리는 거예요. 또한 사후 관리에 따라 임플란트 수명이 크게 좌우되는 만큼 처음부터 끝까지 책임 진료하는지, 체계적인 시스템을 갖추고 철저하게 관리를 도와주는지 알아보시는 것도 중요한 체크 포인트라고 할 수 있습니다.


임플란트 시술을 받을 때 치아를 상실한 원인이 무엇인지, 상실하고 나서 그대로 둔 시간이 얼마나 되는지, 현재 치아나 잇몸 등 구강 내부 상황이 어떤지 등등을 먼저 꼼꼼하게 파악할 필요가 있는데요. 예를 들어 20대임플란트 를 받게 된 원인이 사고와 같은 외부 충격으로 인한 것이고 시간이 많이 흐르지 않은데다 다른 구강 질환 (충치나 치주 질환) 이 크게 문제가 되지 않는 상황이라면 젊은 나이이기 때문에 바탕이 되는 잇몸뼈 건강이 비교적 양호할 것이라고 예상할 수 있으며 이런 경우 즉시 임플란트 방식을 검토해 볼 수 있어요. 면밀한 정밀 검사 후 가능하다는 의료진의 진단이 내려진다면 당일에 인공 치근을 심고 임시 크라운까지 올려 바로 사용할 수 있는 즉시 임플란트 방식을 통해 보다 빠르고 간편하게 수복을 할 수 있습니다.
그러나 나이가 젊다고 해도 만약 치아를 상실한 원인이 심각한 구강 질환으로 인한 것이거나 치아를 잃고 나서 오랜 시간 방치를 하였거나 평상시에 당뇨 또는 고혈압 등을 앓고 있었다면 환자분의 잇몸뼈 건강이 양호하지 않을 수 있으며 그런 경우에는 즉시 임플란트 시술을 받을 수 없고 먼저 뼈이식 과정을 통해서 잇몸뼈를 보충해 준 다음 20대임플란트 식립을 진행하는 것이 정확도와 지속성을 높여주는 방법이라고 할 수 있어요.


즉시 임플란트 시술은 시간적인 부담이나 수술 과정에서의 불편 등을 줄여줄 수 있는 장점을 가지고 있으며 특히 앞니 등 입을 벌렸을 때 바로 보이는 치아에 손상을 입으신 분들의 경우 심미적인 이유로도 보다 빠른 수복을 원하시기 때문에 이에 대해 문의를 주시는 분들이 많이 있어요. 20대임플란트 시술을 받아야 하는 상황이라면 대인 관계가 넓어지고 사회 활동이 활발해지는 시기인 만큼 더욱 더 치아의 공백을 빠르게 대체할 수 있기를 희망하실 거예요.
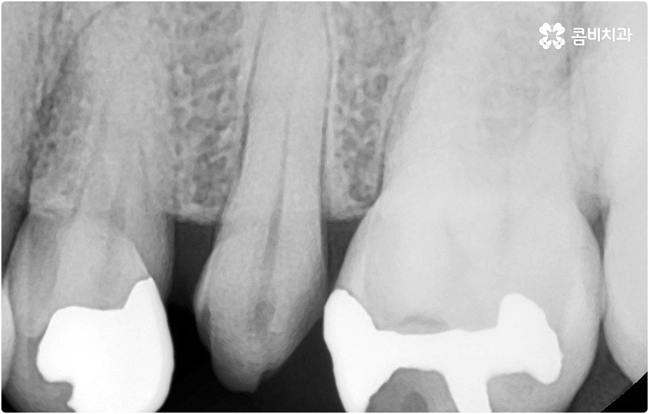
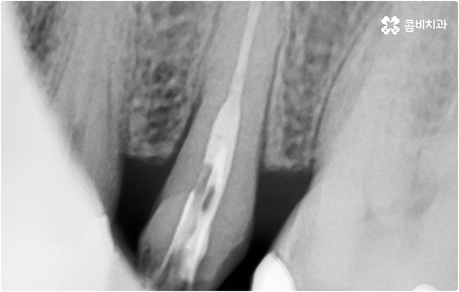
그러나 언급했던 것처럼 잇몸뼈 상태에 대해서 먼저 체크해 봐야 하기 때문에 누구나 받을 수 있는 치료 과정은 아니라는 점을 분명히 알아두실 필요가 있습니다. 이렇게 잇몸뼈를 보충해야 하는 상황 뿐 아니라 충치 또는 치주 질환을 먼저 깨끗하게 치료해야 하는 상황, 상악동까지의 거리가 너무 짧아서 거상술을 통해 혹시 모를 천공과 염증을 방지해야 하는 상황 등 여러 가지 선치료가 필요한 케이스들이 있을 수 있기 때문에 먼저 환자분들의 상황을 자세하게 파악하기 위해서 꼼꼼한 검진을 해 볼 필요가 있으므로 3D CT 등 정밀 검진 장비 보유 여부가 필수적이라고 말씀드린 거예요.
또한 20대임플란트 의 경우 남은 생 동안 인공 치아의 도움을 받아야 하는 기간이 보다 긴 만큼 빠른 속도 자체 보다는 식립의 정확성과 성공률, 지속적인 안정성 및 수명 등에 좀 더 초점을 맞출 필요가 있으므로 자신의 상황을 꼼꼼하게 검진 받고 그에 맞는 치료를 무리하지 않게 받으시길 권유드리고 있어요.



젊은 나이에 구강 질환 또는 사고 등 여러 가지 원인으로 자연 치아를 상실하고 20대임플란트 시술을 통해 인공 치아로 대체를 해야 하는 상황에 맞닥뜨리게 된다면 아마도 예상하지 못했던 일이기 때문에 크게 당황하거나 덜컥 걱정이 되실 수 있을 거예요. 임플란트 시술의 장점에 대해 알게 되어도 막상 부담스러운 마음에 망설여지실 수도 있는데요.
그러나 치아가 빠진 후부터 잇몸뼈는 수축을 하기 시작하기 때문에 오랜 기간 그대로 방치를 하게 되면 잇몸이 내려앉아 주변 치아가 쓰러지고 치열이 흩뜨러지며 악관절까지 좋지 않은 영향을 받게 되는 등 구강 내부적으로 문제가 더 커질 수 있으며, 치아가 크게 부러진 뒤 치근이 일부 남아 있는 상황이라고 하더라도 기능을 전혀 하지 못하여 주변 치아와 잇몸에 지속적인 부담을 주고 있거나 해당 부위를 통해 감염이 일어날 가능성이 높다면 이를 발치하고 빠르게 기능적 심미적 대체를 해 줄 필요가 있으니 될 수 있는대로 바로 치과로 내원하셔서 검진부터 꼼꼼하게 받아보시고 그에 적합한 치료를 받으시길 권유드리고 있어요.
환자분들의 상황에 따라 즉시 임플란트 시술이 가능하지 않은 경우라고 해도 만약 본원과 같이 치과 내부에 자체 기공소를 갖추고 있다면 기간 단축은 물론이고 보다 정교하고 섬세한 보철물 제작 및 혹시 모를 수리와 수정 역시 빠르고 원활하게 이루어진다는 점에서 환자분들의 부담과 불편이 크게 줄어들 테니 너무 걱정하실 필요는 없을 거예요. 또한 임플란트 치아의 경우 정기 검진을 꼬박꼬박 받고 스케일링 치료 등을 통해 주변 잇몸 건강을 철저하게 돌본다면 거의 반영구적으로도 사용할 수 있으니 임플란트 시술 후 일상 생활 속에서 이를 건강하게 유지 관리할 수 있도록 식습관 및 생활 습관, 칫솔질 등에 주의하면서 내원 주기를 잘 맞춰주시길 당부드리고 있습니다.
본 글은 콤비치과의 의료광고 포스팅입니다.
개인에 따라 출혈 및 부작용이 발생할 수 있고,
환자마다 치료 결과 및 기간이 상이할 수 있으므로,
정확한 치료 기간 및 치료 계획은
가까운 치과에서 상담을 받아보시길 권장 드립니다.
더 보기
이 병원의 공개 콘텐츠를 계속 살펴보세요
출처 아카이브로 돌아가 더 많은 글을 보거나, 병원 프로필로 이동해 다른 공개 채널도 함께 비교해보세요.