아카이브 요약
이 페이지의 역할
명동콤비치과의원의 네이버 블로그 원문을 보존한 아카이브 페이지입니다. 치아스토리♡ 카테고리의 치아사이충치 놔두면 안돼요 글을 통해 병원의 한국어 정보 제공 방식과 진료 관련 안내 톤을 확인할 수 있습니다.
원문 검증
필요하면 원문 블로그와 병원 프로필로 바로 이동해 문맥을 다시 확인할 수 있습니다.
출처 아카이브 열기아카이브된 블로그 글
명동콤비치과의원 · 콤비덴탈 치과의사 황용인
살면서 충치로 인한 불편함을 한 번도 겪어보지 않은 사람은 아마도 없을 거예요. 실제로 질병관리청 자료에 따르면 만 19세 이상 성인의 충치 유병률은 (2019년 기준) 26.5% 이며 건강보험 심사평가원 발표에 따르면 지난 2019년 충치로 진료받은 환자분들의 수는 전체 대한민국 국민 중 12% 에 해당하...
게시일
2023년 1월 16일
원문 기준으로 확인된 발행일입니다.
카테고리
치아스토리♡
원문 블로그 카테고리를 정리해 함께 표시합니다.
이미지 수
10
현재 아카이브에 연결된 이미지 수입니다.
아카이브 요약
명동콤비치과의원의 네이버 블로그 원문을 보존한 아카이브 페이지입니다. 치아스토리♡ 카테고리의 치아사이충치 놔두면 안돼요 글을 통해 병원의 한국어 정보 제공 방식과 진료 관련 안내 톤을 확인할 수 있습니다.
원문 검증
필요하면 원문 블로그와 병원 프로필로 바로 이동해 문맥을 다시 확인할 수 있습니다.
출처 아카이브 열기살면서 충치로 인한 불편함을 한 번도 겪어보지 않은 사람은 아마도 없을 거예요. 실제로 질병관리청 자료에 따르면 만 19세 이상 성인의 충치 유병률은 (2019년 기준) 26.5% 이며 건강보험 심사평가원 발표에 따르면 지난 2019년 충치로 진료받은 환자분들의 수는 전체 대한민국 국민 중 12% 에 해당하는 645만 1211명에 달한다고 하는데요, 그만큼 남녀노소 불문하고 흔하게 발병할 수 있는 구강 질환이며 또한 제대로 관리를 해 주지 않으면 치료를 한 후에도 얼마든지 재발할 수 있는 것이 충치이기 때문에 주의하실 필요가 있습니다.


그렇다면 평상시에 어떻게 구강 관리를 하는 것이 좋을까요? 매일 우리가 세끼 식사를 하거나 중간 중간 과일, 간식 등을 먹을 때 늘 치아를 사용하여 꼭꼭 씹어먹게 되기 때문에 우선 칫솔질을 올바르게 꼬박꼬박 해주는 것이 중요하고 혹시라도 외부에 있어서 칫솔질 하는 것이 불가능한 상황이라고 한다면 먹고 나서 물로라도 헹궈주는 습관을 갖는 것이 도움이 될 거예요.
충치의 원인이 되는 세균이 급격하게 증식하게 되는 온상인 치석은 치아와 치아 사이, 또는 치아와 잇몸 사이에 플라그와 음식물 찌꺼기가 엉겨붙어 딱딱하게 굳은 것이라서 칫솔질로 제거되지 않기 때문에 주기적인 스케일링 치료를 통해 물리적으로 떼어낼 필요가 있어요. 또한 초기 충치 또는 치아사이충치 같은 경우 환자분들의 입장에서 바로 발견하는 것이 어려울 수 있기 때문에 혹시 자신이 모르는 사이에 충치가 진행되고 있지는 않은지 꼼꼼하게 살펴보고 빠르게 대처할 수 있도록 하기 위해 1년에 한 번 또는 두 번 정도 치과에 내원하셔서 정밀 검진을 받으시길 권유드리고 있습니다.


충치를 일으키는 원인을 살펴보면 평소 우리가 먹는 음식 속 당 성분 증가 (식이 요소), 충치에 대한 신체의 저항 능력 저하 (숙주 요소), 구강 내 이미 존재하고 있는 충치균의 급증 (세균 요소) 이렇게 세 가지 요소가 모두 충족이 된 상황에서 발병이 된다는 것을 알 수 있어요.
그렇기 때문에 충치 예방을 위해서는 일상 생활 속에서 탄산 음료, 산성 음료를 줄이고 물을 많이 마시며 당 성분이 많은 음식보다는 섬유질이 많이 든 음식을 충분히 섭취하는 것이 좋고, 잘 먹고 잘 자며 필요한 휴식을 잘 취해 주어 신체의 항상성 및 면역력을 늘 적정 수준으로 유지해 주고 정확한 칫솔질을 통해 구강 위생을 청결하게 지켜주면서 또한 언급했던 것처럼 정밀 검진 및 치석 제거를 정기적으로 해 주는 것이 굉장히 중요한 포인트라고 할 수 있습니다.


요즘은 스케일링 치료에 대해서 꼭 필요한 것이라고 생각하시고 관리를 꾸준히 하시는 분들이 늘어나고 있지만 예전에는 칫솔질을 꼬박꼬박 잘 해 주는 것으로 충분하지 않나 생각하시는 분들이 많이 있었고, 또한 치과는 치통이 있을 때만 가는 곳이라는 인식이 좀 더 강했다고 할 수 있는데요. 여기에 치과에 대한 막연한 두려움까지 더해지면 충치나 잇몸병과 같은 구강 질환이 발병하였을 때 (초기에 치료를 받는 것이 훨씬 빠르고 간편하며 부담이 줄어드는 방법임에도 불구하고) 차일피일 내원을 미루시다가 더이상 참을 수 없는 지경에 이르러야 치과에 방문하실 가능성이 높은데 그렇게 되면 가만히 있어도 해당 치아 주변까지 욱씬거리는 등 통증도 극심하고 치료를 받을 때 역시 많이 힘들며 결국 자연 치아를 살리기 어려워 질 수도 있으니 시기를 놓치기 전에 필요한 치료를 받으시길 권유드리고 있습니다.


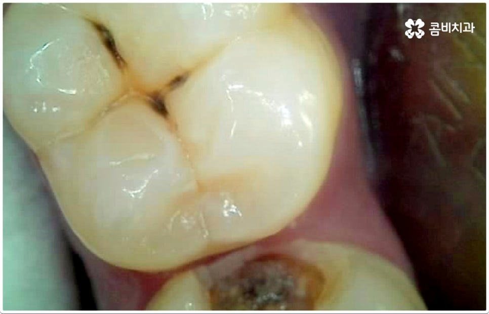
게다가 치아사이충치 는 두 치아의 인접면에 발생하여 한꺼번에 두 치아에 손상을 주기 때문에 보다 빠른 대처가 필요한데도 불구하고 말씀드린 것처럼 발견하기도 쉽지 않을 뿐더러 음식을 저작하는 치아의 교합면 (위아래 맞물리는 면) 에 생기는 충치가 아니기 때문에 수직으로 우식 부분까지 파고 내려가는 치과 충치 치료 기구들의 특성상 접근하기가 용이하지 않아 까다로운 진료에 속한다고 할 수 있어요. 특히 환자분들의 치아사이충치 발병 상황에 따라 치료 과정에서 부득이하게 삭제해야 하는 치아량이 생각보다 많아지는 케이스가 있을 수 있으므로 이에 대해 잘 알아두실 필요가 있습니다.
즉 환자분들이 느끼시기에는 육안으로 확인되는 우식 부위가 작은 것 같아도 안쪽으로 깊이 손상이 진행된 치아사이충치 케이스가 있을 수 있는데요. 이 때 맞닿은 치아 옆 면이 완전히 무너질 정도로 손상되었다면 이를 자연스럽게 복원하기 위해서는 레진으로 직접 때워주는 초기 충치 치료 방식을 사용하는 것은 적합하지 않고 인레이 치료를 통해 수복하는 방식이 필요하며, 레진 치료가 대부분 하루 만에 끝나는 비교적 간단한 것이라면 인레이 치료는 삭제한 부위에 딱 맞는 보철물을 만들어야 하기 때문에 시간도 더 오래 걸리고 비용도 커질 수 있으므로 환자분들께서 의료진과의 충분한 상담을 통해 자신의 상황이나 일련의 치아사이충치 치료 과정에 대해 그 필요성을 먼저 정확하게 이해한 후 치료를 받으시길 권유드리고 있어요. 만약 자체 기공소를 갖추고 있는 치과라면 환자분들에게 딱 맞는 보다 섬세하고 정교한 보철물 제작이 훨씬 빠르게 이뤄질 수 있다는 점에서 시간적인 부담을 줄여드릴 수 있으니 이 부분을 체크해 보시는 것도 좋을 거예요.


충치는 누구에게나 흔하게 발생할 수 있지만 특히 단 음식을 좋아하고 칫솔질이 서툰 아이들의 경우 충치 발병률이 높으며 성장기 학생 4명 중 한 명은 충치를 가지고 있다는 통계가 있는 만큼 어릴 때부터 평생 치아 건강에 영향을 미치는 올바른 구강 관리 습관을 가질 수 있도록 부모님들께서 칫솔질 방법이나 검진 및 스케일링 주기를 지키는 방법 등을 자세하게 알려주실 필요가 있어요. 또한 미숙할 수 밖에 없는 아이들의 칫솔질을 보완하여 충치에 노출될 가능성을 줄여줄 수 있는 실란트나 불소 도포와 같은 치과 치료에 대해서도 고려해 보시면 좋을 거예요.
본 글은 콤비치과의 의료광고 포스팅입니다.
개인에 따라 출혈 및 부작용이 발생할 수 있고,
환자마다 치료 결과 및 기간이 상이할 수 있으므로,
정확한 치료 기간 및 치료 계획은
가까운 치과에서 상담을 받아보시길 권장 드립니다.