아카이브 요약
이 페이지의 역할
명동콤비치과의원의 네이버 블로그 원문을 보존한 아카이브 페이지입니다. 치아스토리♡ 카테고리의 덧니교정 하고싶다면 글을 통해 병원의 한국어 정보 제공 방식과 진료 관련 안내 톤을 확인할 수 있습니다.
원문 검증
필요하면 원문 블로그와 병원 프로필로 바로 이동해 문맥을 다시 확인할 수 있습니다.
출처 아카이브 열기아카이브된 블로그 글
명동콤비치과의원 · 콤비덴탈 치과의사 황용인
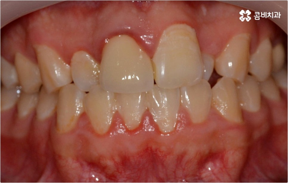
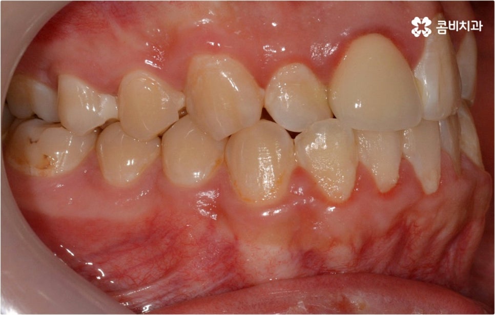
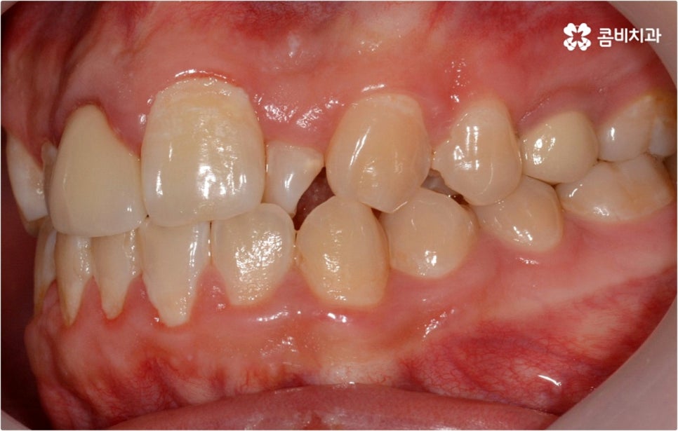
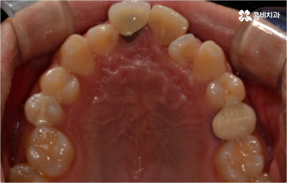
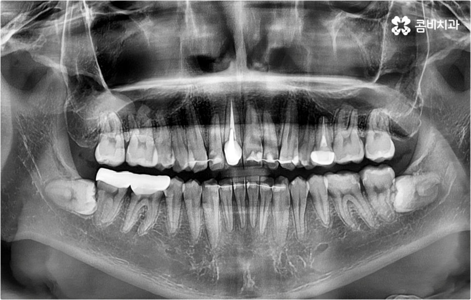
웃을 때 살짝 드러나는 덧니는 사람에 따라 매력 포인트로 느껴지는 경우도 있지만 구강 건강 측면에서 보면 치아와 치아가 겹쳐진 부분에 음식물 찌꺼기가 남아 치석이 쌓이기 쉽기 때문에 충치나 잇몸병이 더 자주 발생할 수 있으므로 주의하실 필요가 있습니다. 이와 같이 덧니는 옆 치아와 잇몸에까지 지속적으로 좋지...
게시일
2023년 1월 26일
원문 기준으로 확인된 발행일입니다.
카테고리
치아스토리♡
원문 블로그 카테고리를 정리해 함께 표시합니다.
이미지 수
11
현재 아카이브에 연결된 이미지 수입니다.
아카이브 요약
명동콤비치과의원의 네이버 블로그 원문을 보존한 아카이브 페이지입니다. 치아스토리♡ 카테고리의 덧니교정 하고싶다면 글을 통해 병원의 한국어 정보 제공 방식과 진료 관련 안내 톤을 확인할 수 있습니다.
원문 검증
필요하면 원문 블로그와 병원 프로필로 바로 이동해 문맥을 다시 확인할 수 있습니다.
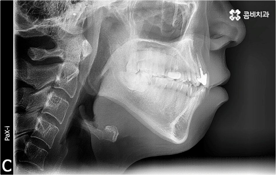
출처 아카이브 열기웃을 때 살짝 드러나는 덧니는 사람에 따라 매력 포인트로 느껴지는 경우도 있지만 구강 건강 측면에서 보면 치아와 치아가 겹쳐진 부분에 음식물 찌꺼기가 남아 치석이 쌓이기 쉽기 때문에 충치나 잇몸병이 더 자주 발생할 수 있으므로 주의하실 필요가 있습니다. 이와 같이 덧니는 옆 치아와 잇몸에까지 지속적으로 좋지 않은 영향을 주기 때문에 개선해 주는 게 좋은데요, 특히 덧니의 개수가 많아 삐뚤빼뚤한 정도가 심하다면 교합이 잘 맞지 않아 씹기가 불편하거나 턱관절 압박, 통증 등을 유발할 수 있으며 나아가 안면비대칭으로 이어질 수 있기 때문에 방치하지 말고 될 수 있는대로 빨리 덧니교정 을 통해 이를 바로잡아 주시길 권유드리고 있습니다.



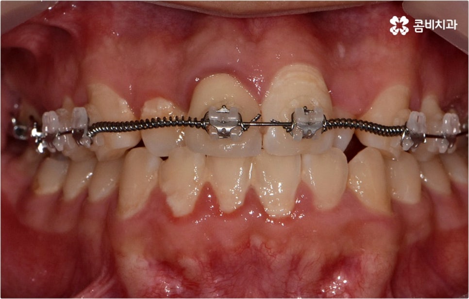
요즘은 관련 치의학 기술이 많이 발달하고 장치도 다양해져서 교정 치료가 예전보다는 훨씬 더 대중화 되었다고 볼 수 있으나 그럼에도 불구하고 막상 덧니교정 을 시작하려고 하면 오래 걸리는 시간이나 치아 이동 통증, 비용적인 부담 등의 이유로 망설여지는 분들도 있을 거예요. 또한 덧니교정 의 적기가 따로 있는지, 덧니를 교정할때 반드시 치아를 발치하는지에 대해서도 자주 문의를 주시고 있는데요.


덧니 치료 방법은 어릴 때나 성인 이후나 크게 다르지 않으며 교정 치료 자체에 적기가 따로 정해져 있는 것은 아니지만 환자분들의 상황에 따라 잇몸뼈가 완전히 굳어지기 전인 성장기에 좀 더 빠르고 효율적인 결과를 얻을 수 있는 반면 중장년 이후에는 무리하게 치아를 이동시킬 경우 부작용이 발생할 수 있는데요. 이런 이유로 상대적으로 천천히 치아를 이동시켜야 해서 치료 기간이 길어질 수 있기 때문에 부정교합의 양상이 보인다면 10~12세 정도에 먼저 숙련된 치과교정과 전문의 선생님께 정밀 진단을 받아보시고 언제가 좋을지 치료 시기를 신중하게 조율해 보시길 권유드리고 있어요.
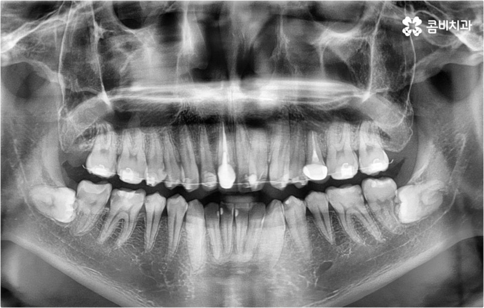
덧니의 원인에는 여러 가지가 있을 수 있으나 보통 혼합치열기, 즉 유치가 영구치로 교체되면서 둘이 공존하는 시기인 6~13세 사이에 교체가 원활하게 이루어지지 않는 것 (유치가 너무 빨리 빠져 충분한 공간 유지가 되지 않거나 너무 늦게까지 빠지지 않아 영구치와 겹쳐 나게 됨), 선천적으로 치아가 나올 공간이 부족하거나 영구치가 너무 크게 자라는 것 등을 원인으로 발생하는 경우가 많아 초등학교 고학년에서 중학교 저학년까지의 시기를 덧니교정 치료를 위한 정밀 검진의 골든 타임으로 여기고 있습니다.


덧니교정 시 환자분들의 상황에 따라 치아 이동에 필요한 공간이 부족하지 않다면 비발치 교정이 가능한데요, 이런 경우 치아 사이를 살짝 갈아서 여유 공간을 만드는 치간 삭제 방법, 마지막 어금니를 후방으로 이동시키는 방법, 그리고 악궁 확장 장치를 사용해 치아 사이를 벌려주는 방법 등 다양한 방법으로 공간을 만들어 치열을 가지런하게 바로잡아 줄 수 있습니다. 이때 환자분들의 구강 상태, 즉 악궁 크기 대비 치아의 크기, 치아가 겹친 정도, 덧니의 위치와 개수 등을 자세하게 검진한 다음 치아가 이동할 충분한 공간이 확보되지 않는다면 발치 교정을 하게 될 거예요.
아마도 많은 분들이 치아를 뽑는다는 것에 대한 두려움을 가지고 있으시겠지만 그렇다고 해서 발치 교정이 필요한 케이스임에도 불구하고 치아를 뽑지 않고 진행을 하게 되면 치아 이동이 생각했던 것만큼 이루어지지 않기 때문에 결과에 따른 만족감이 떨어질 수 있어요. 특히 부정교합의 정도가 심각하고 골격적인 원인이 영향을 주고 있는 경우에는 발치 과정이 불가피 할 수 있으므로 의료진과 충분하게 상담을 하셔서 자신의 현재 상황에 따른 발치 교정의 필요성을 정확하게 이해하고 치료를 받으시길 권유드리고 있습니다.


발치에 대한 두려움으로 교정 치료를 망설이시게 되면 일상 생활에 불편이 클 뿐 아니라 시간이 지날수록 오히려 이를 악화시키는 쪽으로 적응을 하게 되면서 악관절 문제를 넘어 만성적인 두통까지 유발할 가능성이 있기 때문에 시간을 지체하지 말고 검진 및 치료를 받으시길 바라고 있어요. 말씀드린 것처럼 발치 여부는 환자분들의 상황에 맞게 달라지는 것이며 모든 경우에 무조건 치아를 뽑게 되는 것은 아니니 너무 크게 걱정하실 필요는 없을 거예요.
오히려 경우에 따라 무리하게 발치를 할 경우 혹시 모를 부작용, 즉 너무 많은 치아 이동으로 인해 입이 들어가 보이는 합죽이 같은 결과로 이어질 수 있어 주의하실 필요가 있어요. 특히 환자분들 각자에게 맞는 치료 계획을 세울 때 구강 구조, 교합, 상하악 골격 등 기능적인 부분과 함께 연령별 특성에 따른 골밀도나 발달 상황 등을 전체적으로 고려하지 않고 일부만 선택적으로 개선하려고 하면 추후 턱관절과 저작력에 계속 문제가 생길 수 있으며 잇몸 상태를 고려하지 않은 채 무리한 진행을 하게 되면 치아와 잇몸 건강에 좋지 않은 영향을 줄 수 있기 때문에 교정 치료는 의료진의 섬세한 기술력을 요하는 복잡한 고난도 진료라고 할 수 있습니다. 임상 경험이 풍부하고 다양한 케이스에 대한 노하우를 가지고 있는 숙련된 담당의 선생님과 함께 하는 것이 굉장히 중요한 포인트인 거예요.


정밀 검진 후 상담을 통해 덧니교정 치료 계획을 자세하게 듣고 중간 중간 진행 과정에 대한 브리핑을 받는 등 담당의 선생님과 지속적으로 소통하게 된다면 1~2년 정도 비교적 오래 걸리는 기간 동안 보다 편안한 마음으로 치료에 임하실 수 있으실 거예요. 이를 위해 3D CT 같은 정밀 진단 장비를 갖추고 있는지, 처음부터 끝까지 의료진의 변화없이 책임 진료하는지 꼼꼼히 따져보고 치과를 선택하는 게 필요하다고 할 수 있어요.
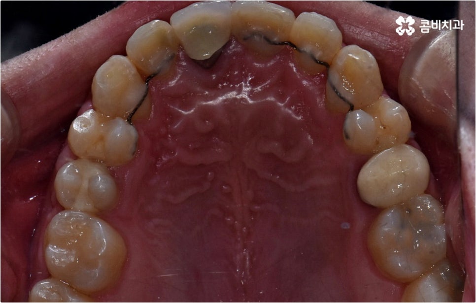
또한 교정 치료는 사후 관리도 굉장히 중요하기 때문에 치과에서 정해준 시간 만큼 유지 장치를 잘 착용하지 않으면 치아가 원래 자리로 돌아가서 부정교합이 다시 생길 수도 있고 검진이나 스케일링 등 구강 관리에 부주의하면 주변 잇몸이 약해지면서 치주 질환이 생기기 쉬우니 이런 점들에 주의하시고 시기에 맞춰 내원하셔서 치과 케어 시스템의 도움을 받으시길 권유드리고 있습니다.
본 글은 콤비치과의 의료광고 포스팅입니다.
개인에 따라 출혈 및 부작용이 발생할 수 있고,
환자마다 치료 결과 및 기간이 상이할 수 있으므로,
정확한 치료 기간 및 치료 계획은
가까운 치과에서 상담을 받아보시길 권장 드립니다.