아카이브 요약
이 페이지의 역할
명동콤비치과의원의 네이버 블로그 원문을 보존한 아카이브 페이지입니다. 치아스토리♡ 카테고리의 치통이 심할때 어떻게 해야하나요 글을 통해 병원의 한국어 정보 제공 방식과 진료 관련 안내 톤을 확인할 수 있습니다.
원문 검증
필요하면 원문 블로그와 병원 프로필로 바로 이동해 문맥을 다시 확인할 수 있습니다.
출처 아카이브 열기아카이브된 블로그 글
명동콤비치과의원 · Naver Blog
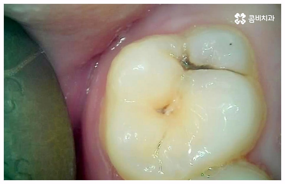
치통의 원인은 굉장히 다양한데 그 중 가장 대표적인 것으로는 구강 질환과 치아파절을 생각해 볼 수 있을 거예요. 충치나 잇몸병과 같이 구강 내부 상황으로 인해 발생하는 것이 구강 질환이라면 외부에서 충격을 받아 치아가 부러지거나 깨지는 것을 치아파절 이라고 할 수 있는데요. 이렇게 내적 또는 외적인 원인으로...
게시일
2023년 2월 11일
원문 기준으로 확인된 발행일입니다.
카테고리
치아스토리♡
원문 블로그 카테고리를 정리해 함께 표시합니다.
이미지 수
10
현재 아카이브에 연결된 이미지 수입니다.
아카이브 요약
명동콤비치과의원의 네이버 블로그 원문을 보존한 아카이브 페이지입니다. 치아스토리♡ 카테고리의 치통이 심할때 어떻게 해야하나요 글을 통해 병원의 한국어 정보 제공 방식과 진료 관련 안내 톤을 확인할 수 있습니다.
원문 검증
필요하면 원문 블로그와 병원 프로필로 바로 이동해 문맥을 다시 확인할 수 있습니다.
출처 아카이브 열기치통의 원인은 굉장히 다양한데 그 중 가장 대표적인 것으로는 구강 질환과 치아파절을 생각해 볼 수 있을 거예요. 충치나 잇몸병과 같이 구강 내부 상황으로 인해 발생하는 것이 구강 질환이라면 외부에서 충격을 받아 치아가 부러지거나 깨지는 것을 치아파절 이라고 할 수 있는데요. 이렇게 내적 또는 외적인 원인으로 생긴 치아 손상은 자연적으로 낫지 않으며 시간이 지날수록 빠르게 악화되기 때문에 구강 질환이 발생했거나 치아가 파절되었을 때 시기를 늦추지 말고 바로 치과에 내원하셔서 꼼꼼하게 검진을 받고 상황에 적합한 치료를 받으실 필요가 있습니다.


충치나 잇몸 질환은 보통 단계적으로 서서히 발전하기 때문에 환자분들께서 하루 아침에 극심한 통증을 느끼게 되는 경우는 많지 않지만 혹시라도 갑작스럽게 치통이 심할때 혹은 밤에 자려고 누웠는데 더욱 치통이 심할때 는 급성치수염을 의심해 볼 수 있어요. 급성치수염은 언급했던 충치나 외상성 치아 파절로 인해 치아 가장 안 쪽에 있는 치수 부분까지 세균이 침투하여 염증이 발생하는 것을 의미하는데, 이 때 감염된 혈관이 부어오르면서 단단한 치아 외벽에 둘러쌓인 치아 내부 압력이 올라가 작은 움직임에도 극심한 통증을 느끼게 되는 거예요.
특히 눕게 되면 머리 쪽으로 혈액이 몰리게 되면서 압력이 팽창하여 치통이 더욱 극심해지기 때문에 밤에 잠을 이루지 못할 정도로 고통스러운 경우가 많으며 상황에 따라 심각한 경우 발치까지 해야 할 수도 있기 때문에 될 수 있는대로 빠르게 치료를 받으실 필요가 있습니다. 보통 늦은 밤에는 치과 진료를 보지 않기 때문에 진통제를 복용하시는 분들이 많이 있는데 충치로 인한 통증에는 진통제가 효과가 있지만 급성치수염 같은 경우 진통제가 잘 듣지 않을 수도 있으니 너무 남용하지 않도록 주의하시길 당부드리고 있어요.


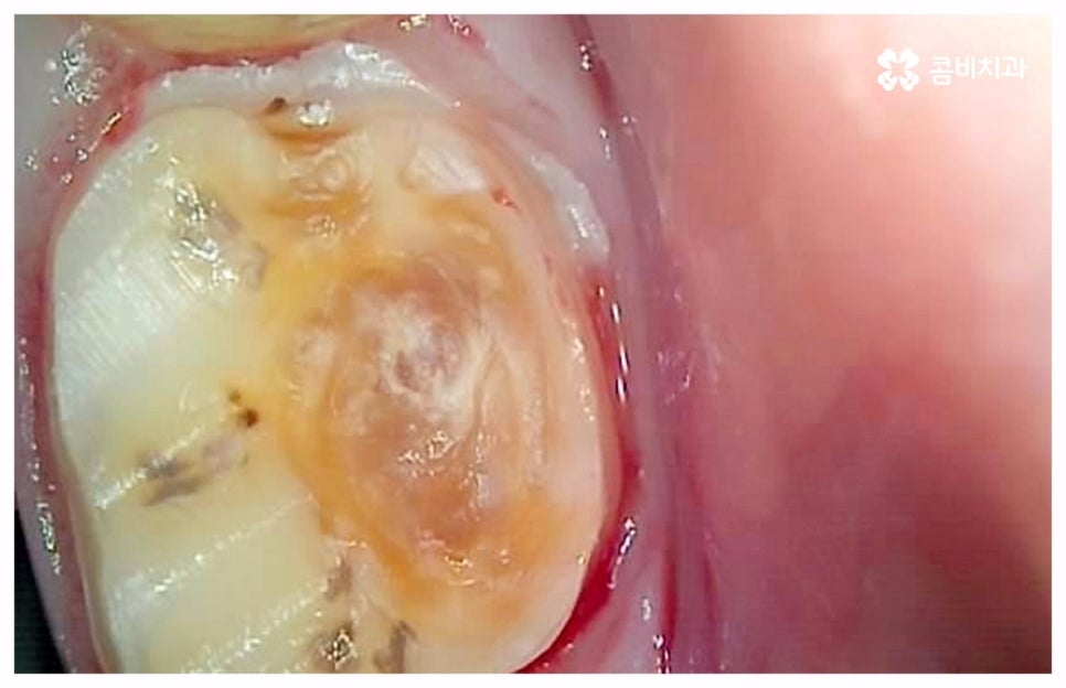
급성치수염에 대한 치료는 보통 안쪽까지 침투한 세균을 깨끗하게 긁어내고 염증 및 괴사된 치수 부분을 삭제한 다음 뿌리관(근관)을 소독하고 치과 충전물로 밀봉하는 신경 치료를 통해 이루어지는데, 이렇게 신경 치료를 진행하고 나서 후속 치료로서 남아있는 자연 치아를 보호하고 저작 기능을 제대로 수행할 수 있도록 하기 위해 주변 치아와 크기, 높이 등을 맞추어 딱 맞게 제작한 보철물을 덮어씌우는 크라운 치료를 해 주는 것이 자연 치아를 보다 오랜기간 동안 건강하게 사용할 수 있도록 하는데 크게 도움이 된다고 할 수 있어요. 경우에 따라서 앞니의 경우 신경관이 많지 않기 때문에 레진으로 치료를 마무리하는 경우도 있으니 참고해 주시면 좋을 것 같아요.
이 때 신경 치료가 끝나면 보통 통증이 사라지기 때문에 추후 시간적인 부분, 금전적인 이유 등 여러 가지 사정들로 인해서 크라운 치료가 필수적이지 않으면 신경 치료만 받고 끝마쳐도 되는지 문의를 주시는 분들이 있는데요. 크라운 치료를 해 준 치아의 경우 밀봉만 한 치아 보다 훨씬 수명이 길기 때문에 환자분들께서 크라운 치료의 필요성에 대해서 잘 인지하실 필요가 있어요. 이것은 신경 치료를 받은 치과 환자 4만 6000명을 분석한 미국 연구팀의 발표를 통해서도 알 수 있는데요. 이에 따르면 근관 속의 손상된 치수를 긁어내고 소독한 뒤 충전물로 밀봉한 치아의 경우 평균 생존 기간이 11.1년이었던 것에 반해서 추후 크라운까지 씌운 치아의 평균 수명은 약 20년으로 길어졌다고 하니 의료진과 충분히 상담하셔서 자신의 상황에 잘 맞는 보철물로 크라운 치료까지 끝마치시길 권유드리고 있습니다.


구강 질환으로 인한 급성치수염을 예방하기 위한 가장 좋은 방법은 위생 관리를 철저하게 잘 해주는 거예요. 평상시에 식후 양치질을 빼놓지 않고 해주며 특히 치아 사이사이 치실 또는 치간 칫솔을 사용하여 음식물 찌꺼기가 남아있지 않도록 신경쓰실 필요가 있어요. 잔존 음식물과 침 그리고 세균 등이 엉겨붙어 딱딱하게 굳어버린 치석은 양치질로는 제거되지 않으니 6개월에서 1년 주기로 치과에 내원하여 정기적인 스케일링을 받는 것도 구강 건강을 위해 바람직한 습관이라고 할 수 있습니다. 스케일링을 받을 때 꼼꼼한 정밀 검진을 함께 진행하여 혹시 발생했을지 모를 구강 질환에 초기 대처할 수 있도록 하면 더욱 좋을 거예요. 또한 스케일링의 경우 1년에 한 번 건강 보험을 통해 보다 합리적인 가격으로 이용해 볼 수 있으니 이 점도 잘 알아두시길 권유드리고 있어요.


이 밖에 치통이 심할때 치과적인 원인으로 생각해 볼 수 있는 것은 사랑니 관련 이슈로 만약 묵직하게 통증이 느껴지는 부위가 어금니 뒤쪽이라면 이것이 사랑니 때문일 수도 있어요. 물론 어금니는 평상시에도 관리가 까다롭기 때문에 음식물 찌꺼기가 잔존하여 충치나 잇몸 질환이 발생할 가능성이 높은 부위이지만 20살 전후로 해당 부위가 붓고 피가 나며 가만히 있어도 욱씬거리는 등 치통이 심할때 는 사랑니가 원인일 수 있으니 치과에서 3D CT 등의 정밀 진단 기계를 이용하여 검진 받아 보시는 게 좋을 거예요.
아무래도 사랑니는 다른 치아가 모두 자리를 잡은 후 뒤늦게 나오기 때문에 공간이 부족하여 삐뚤게 자리를 잡는 경우가 대부분이라서 부분 맹출되거나 완전 매복된 상태로 주변 잇몸에 염증을 자주 일으키므로 치통이 심할때 그 원인으로 사랑니를 의심해 볼 수도 있습니다.


지금까지 치통이 심할때 원인과 대처 방법에 대해서 알아보았는데 혹여 치과를 방문하여 검진 및 치료를 받은 후에도 통증이 지속되는 경우에는 치과적인 원인 때문이 아니라 '삼차신경통' 때문일 수 있으니 주의하실 필요가 있습니다. 얼굴 감각을 담당하는 신경 중 하나인 삼차신경에 이상이 생겨 한쪽 얼굴에 극심한 통증을 일으키는 삼차신경통은 환자분들이 느끼시기에는 치통과 비슷하게 양치질을 하거나 음식을 먹을 때 날카로운 통증이 나타나기 때문에 헷갈릴 수 있으니, 이런 경우 신경과 진료를 받아보시길 권유드리고 있어요.
본 글은 콤비치과의 의료광고 포스팅입니다.
개인에 따라 출혈 및 부작용이 발생할 수 있고,
환자마다 치료 결과 및 기간이 상이할 수 있으므로,
정확한 치료 기간 및 치료 계획은
가까운 치과에서 상담을 받아보시길 권장 드립니다.