아카이브 요약
이 페이지의 역할
명동콤비치과의원의 네이버 블로그 원문을 보존한 아카이브 페이지입니다. 치아스토리♡ 카테고리의 클리피씨교정 합리적인 초이스! 글을 통해 병원의 한국어 정보 제공 방식과 진료 관련 안내 톤을 확인할 수 있습니다.
원문 검증
필요하면 원문 블로그와 병원 프로필로 바로 이동해 문맥을 다시 확인할 수 있습니다.
출처 아카이브 열기아카이브된 블로그 글
명동콤비치과의원 · Naver Blog
교정 치료는 교합이 잘 맞지 않거나 치열이 삐뚤어졌을 때 장치를 치아에 부착하여 기능성과 심미성을 회복할 수 있도록 해 주는 것으로 최근들어 관련 기술과 장치 등이 많이 발전하면서 보다 대중화되고 있습니다. 그러면서 예전에 교정을 하고 싶었다가도 오래 걸리고 불편하다, 장치가 겉으로 드러나는 것이 부담스럽다...
게시일
2023년 2월 15일
원문 기준으로 확인된 발행일입니다.
카테고리
치아스토리♡
원문 블로그 카테고리를 정리해 함께 표시합니다.
이미지 수
13
현재 아카이브에 연결된 이미지 수입니다.
아카이브 요약
명동콤비치과의원의 네이버 블로그 원문을 보존한 아카이브 페이지입니다. 치아스토리♡ 카테고리의 클리피씨교정 합리적인 초이스! 글을 통해 병원의 한국어 정보 제공 방식과 진료 관련 안내 톤을 확인할 수 있습니다.
원문 검증
필요하면 원문 블로그와 병원 프로필로 바로 이동해 문맥을 다시 확인할 수 있습니다.
출처 아카이브 열기교정 치료는 교합이 잘 맞지 않거나 치열이 삐뚤어졌을 때 장치를 치아에 부착하여 기능성과 심미성을 회복할 수 있도록 해 주는 것으로 최근들어 관련 기술과 장치 등이 많이 발전하면서 보다 대중화되고 있습니다. 그러면서 예전에 교정을 하고 싶었다가도 오래 걸리고 불편하다, 장치가 겉으로 드러나는 것이 부담스럽다 등등 여러 가지 이유들로 인해 이를 미뤄두셨던 분들 중 다시 치과를 찾아 문의를 주시는 경우가 늘어나고 있는데요.
특히 클리피씨교정 장치는 전체 치료 기간을 단축시키고 치아 이동 통증 역시 감소시켜 주기 때문에 요즘 가장 많은 분들이 선호하고 있어요. 물론 자세한 교정 치료 과정은 환자분들마다 달라지므로 꼼꼼한 검진 및 상담을 통해 맞춤 교정 계획을 세우는 것이 무엇보다 우선시 되어야 할 것이나 장치 자체가 결과에 미치는 영향은 그다지 크지 않은 만큼 현재 가장 널리 쓰이고 있는 클리피씨교정 장치에 대해 알아보는 시간을 가지면 교정 치료를 진행하고자 하실 때 도움이 되실 거예요.


물론 예전에 비해 훨씬 나아졌다고 해도 업무가 많이 바쁜 현대 직장인분들의 경우 짧지 않은 치료 기간으로 인해 교정 치료에 대해 여전히 부담을 느끼시는 분들이 있을 거예요. 기간을 줄일 수 있는 방법이 없는지, 급속 교정이 어떤 것인지에 대해서도 문의를 많이 주시고 있는데요. 소위 말하는 급속 교정은 부분 교정을 뜻하는 것으로 (상황에 따라 다르지만) 평균적으로 6~8개월 정도 걸리기 때문에 1년 반에서 2년 반까지 걸릴 수 있는 전체 교정에 비해 시간적인 부담이 확연히 줄어든다는 측면에서 선호하시는 분들이 많이 있지만 누구나 할 수 있는 것이 아니기 때문에 주의하실 필요가 있어요. 또는 외과 수술을 병행한 급속교정도 있으나, 높은 치료 비용과 아무래도 외과 수술을 병행해야 하기 때문에 그만큼 부작용이 생길 가능성이 높다는 단점이 있어요.
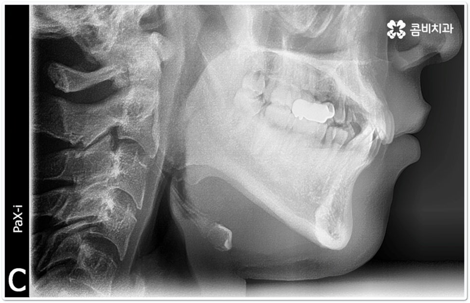
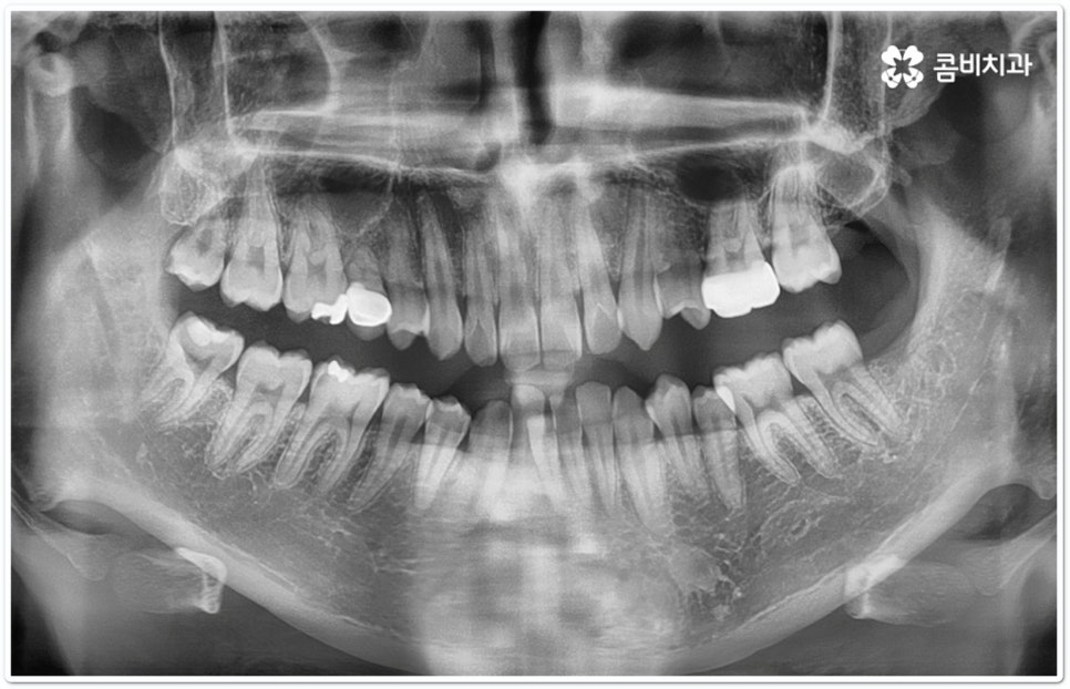
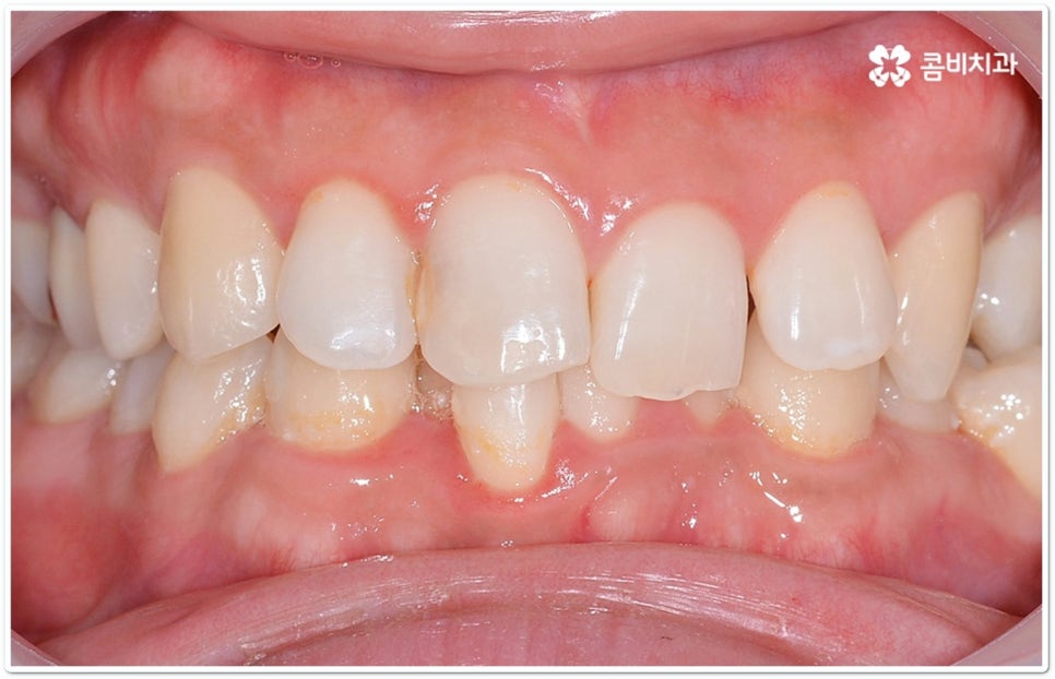
만약 치열이 많이 삐뚤어지지 않고 부정교합 정도가 심각한 것이 아니라면, 예를 들어 치아 사이가 약간 벌어져 있거나 조금 덧니로 겹쳐진 케이스라면 해당 부위에만 브라켓을 부착하는 부분 교정을 통해 보다 간편하고 신속하게 치열을 고르게 만들 수 있지만 대부분은 골격적인 원인이 함께 작용하기 때문에 꼼꼼하게 검진을 해 본 후 전체 치아 이동을 통해 교합을 맞춰줄 필요가 있다는 진단 결과가 나오는 경우가 더 많이 있는 거예요.



이때 부분 교정을 할 수 없다고 해서 너무 실망하시거나 부분 교정을 고집하시기 보다는 장치적인 부분에서 도움을 받을 수 있는 방법을 생각하셔서 자가결찰방식을 이용한 클리피씨교정 장치를 통해 기간적인 부담을 줄이시길 권유드리고 있습니다. 교정 관련 임상 경험이 풍부한 치과교정과 전문의 선생님과 충분한 상담을 하신다면 자신에게 꼭 맞는 교정 치료를 진행하는데 도움을 많이 받으실 수 있을 거예요.



또한 혹시라도 치아 이동을 할 때 통증을 많이 느끼는 것이 교정 치료 기간을 단축시킬 수 있는 방법이 아닐까 궁금해 하실 수 있는데 과도한 통증이라는 것은 무리한 진행을 의미하며 중장년 성인분들의 경우 성장기 환자에 비해 잇몸뼈가 단단하고 교정 치료 중 잇몸뼈가 파괴되면서 주변 세포가 다시 활성화 되는 과정에서 시간이 더 오래 걸리는 만큼 이렇게 무리한 치아 이동을 반복하게 되면 오히려 잇몸이 약해지거나 치아 뿌리가 흡수되는 등의 부작용이 생길 수 있으니 주의하실 필요가 있어요. 교정 중에는 음식물이 장치에 끼어 치아에 문제가 생길 가능성도 높아지므로 잇몸 질환이나 충치 등 기본적인 구강 관리도 놓치지 않고 통합적이고 철저하게 케어해 줄 수 있는 치과에서 교정 치료를 진행하시길 권유드리고 있습니다.



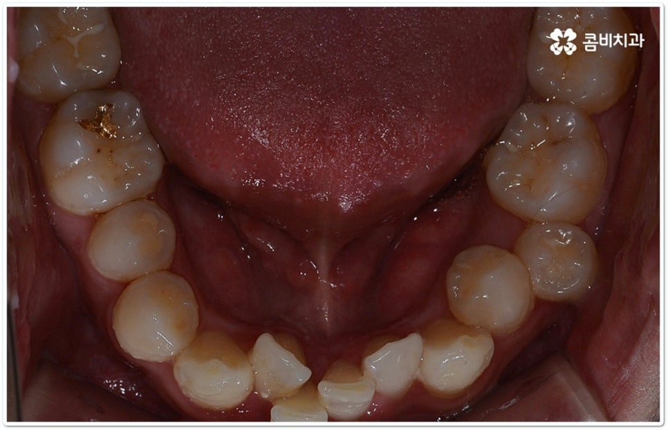
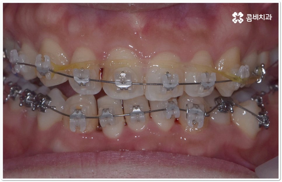
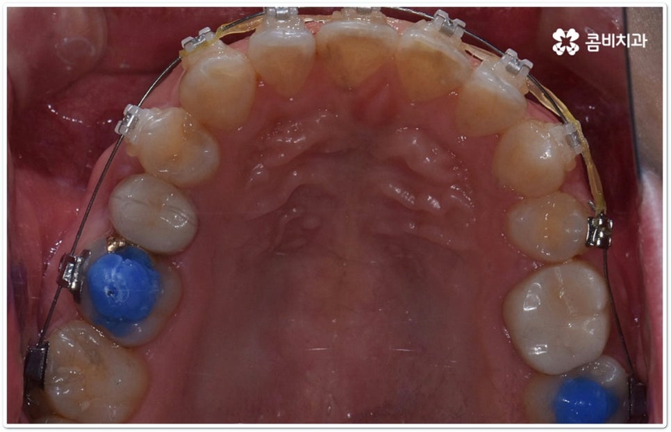
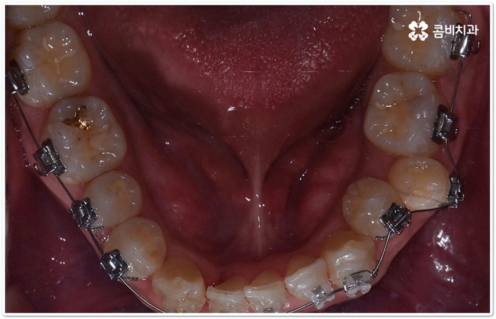
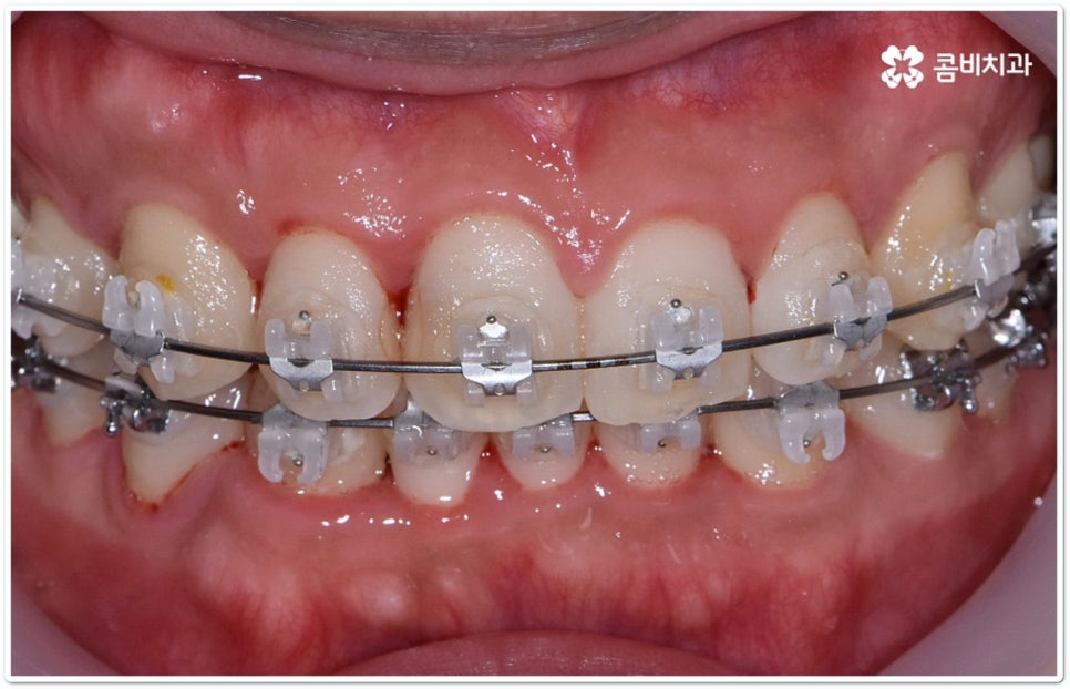
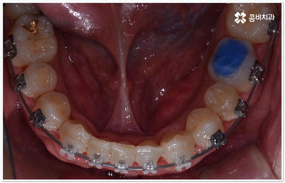
클리피씨교정 장치란 clippy-c 라는 단어 뜻에서 알 수 있듯이 클립이 달린 (clippy) 세라믹(ceramic) 브라켓 장치를 의미하고 있어요. 예전에 교정 장치에서 많이 쓰이던 방식은 고무줄 또는 미세철사를 이용하여 브라켓마다 각각 와이어를 묶어주는 것으로 날카롭게 잘린 철사 끝부분에 자칫 상처를 입을 수도 있고 한 달에 한 번 정도 치과에 내원하여 진행 상황에 따라 교정력을 조정하는 시간도 훨씬 더 많이 걸렸다고 할 수 있습니다.
이와는 다르게 클리피씨교정 장치는 자가결찰방식이라고 해서 각 브라켓에 여닫을 수 있는 특수한 클립(뚜껑)이 달려 있어 전체 와이어를 통과시켜 잡아주는 방식을 이용하기 때문에 겉면이 매끄럽고 진료 시간도 짧아지며 마찰로 빠져나가는 교정력을 줄여주어 좀 더 효율적으로 치아를 이동시킨다고 할 수 있어요. 즉 보다 적은 힘으로 지속적이고 부드러운 치아 이동을 가능하게 하므로 언급했던 것처럼 개인차가 있지만 전체 기간을 약 6개월 정도 단축시키고 치아가 이동할 때 느낄 수 있는 초기 통증도 감소시켜 줄 수 있는 거예요. 또한 치아 색상과 비슷한 세라믹 재질을 이용하기 때문에 음식을 먹거나 대화를 하는 등 입을 벌렸을 때 보일 수 있는 교정 장치가 그렇게 크게 눈에 띄지 않아 심미적으로도 뛰어나다는 장점을 가지고 있습니다.


클리피씨교정 장치 외에도 다양한 장치들이 있으며 각각의 장단점이 있으므로 이에 대해서 의료진과 충분히 상담해 보시고 자신의 상황에 맞는 장치를 신중하게 선택해 보시면 좋을 거예요. 특히 말씀드렸던 것처럼 장치를 선택하는 데 있어서는 환자분들께서 중요하게 생각하시는 우선 순위를 반영할 수 있는 여지가 있기 때문에 이에 대해서 담당의 선생님께 말씀을 드리고 의견을 나눠보셔야 교정 과정 중에 신경 쓰일 수 있는 부분에 대해서 부담을 덜 수 있어요.
예를 들어 심미성도 중요하지만 가격적인 부담을 좀 더 줄일 수 있는 방법이 없을까 싶을 때는 일반 세라믹 교정을 이용하여 교정 치료를 진행할 수 있고 세라믹 브라켓보다 더 심미성이 뛰어나면서도 불편함이나 이물감이 크지 않은 방법은 무엇일까 궁금할 때는 겉으로 보이지 않는 설측교정의 단점을 보완한 콤비교정을 고려해 볼 수 있는 거예요. 이와 같이 환자분들 상황에 맞게 도움을 받을 수 있는 여러 장치들이 있으니 환하고 밝은 미소에 대한 로망이 계속 있으셨다면 더이상 망설이지 말고 정밀 검진과 상담부터 차근차근 진행해 보시길 권유드리고 있습니다.
본 글은 콤비치과의 의료광고 포스팅입니다.
개인에 따라 출혈 및 부작용이 발생할 수 있고,
환자마다 치료 결과 및 기간이 상이할 수 있으므로,
정확한 치료 기간 및 치료 계획은
가까운 치과에서 상담을 받아보시길 권장 드립니다.