명동콤비치과의원 (명동)
뼈이식임플란트 언제하나요?
세월이 흐르면서 나이를 먹게 되면 자연스럽게 노화가 진행되기 때문에 이곳 저곳 몸의 변화가 일어날 수 있어요. 이 중 잇몸이 점차 퇴축되어 드러난 이뿌리 부분이 시리고 치아가 예전보다 온도에 민감해지는 것과 같은 구강 내부 변화는 음식을 먹을 때나 무엇을 마실 때 바로 느껴지는 변화이기 때문에 일상 생활을 하면...
아카이브 요약
이 페이지의 역할
명동콤비치과의원 (명동)의 네이버 블로그 원문을 보존한 아카이브 페이지입니다. 치아스토리♡ 카테고리의 뼈이식임플란트 언제하나요? 글을 통해 병원의 한국어 정보 제공 방식과 진료 관련 안내 톤을 확인할 수 있습니다.
세월이 흐르면서 나이를 먹게 되면 자연스럽게 노화가 진행되기 때문에 이곳 저곳 몸의 변화가 일어날 수 있어요. 이 중 잇몸이 점차 퇴축되어 드러난 이뿌리 부분이 시리고 치아가 예전보다 온도에 민감해지는 것과 같은 구강 내부 변화는 음식을 먹을 때나 무엇을 마실 때 바로 느껴지는 변화이기 때문에 일상 생활을 하면서 유독 신경이 쓰일 수 있는데요.
만약 이전까지 칫솔질 외 별다른 관리를 해 주지 않았던 분들이라도 이렇게 약간의 불편함을 느끼시게 된 초기에 치과에 들러 검사를 받아야 할 거예요. 또한 필요하다면 상황에 맞게 적합한 치료를 진행하신 다음 앞으로 정기 검진이나 스케일링 치료 등 구강 관리를 철저하게 해 주는 계기로 삼을 필요가 있어요.


이때 누구나 겪는 과정이라는 생각에 대수롭지 않게 여기거나 무심하게 지나치는 분들도 있을 수 있는데 잇몸이 약해진 상태를 그냥 방치하게 되면 점차 악화되어 더 자주 붓고 피가 많이 나면서 퇴축도 빨라지고 (한 번 내려앉은 잇몸을 되돌리는 것은 거의 불가능합니다) 치주 질환이 심해지며 결국 치아를 상실하게 되는 결과로 이어질 수도 있기 때문에 주의하실 필요가 있어요. 잘 아시다시피 치아는 영구치 이후 탈락되면 다시 새롭게 나지 않는데 특히 성인 환자분들의 경우 치아 상실의 가장 주된 원인을 풍치에서 찾을 수 있는 만큼 잇몸 건강 관리를 잘 해 주는 것이 치아 상실의 위험에 대한 초기 대처 및 예방법으로 중요한 포인트라고 할 수 있습니다.


이와 같이 자연스러운 노화 또는 심각한 구강 질환이나 큰 외부의 충격으로 인해 치아를 잃게 되었다면 어떻게 해야 할까요? 치아는 음식물을 잘게 잘라 소화를 도와주는 저작 기능을 하므로 살아가는데 기본이 되는 동시에 전신 건강과도 밀접한 연관을 가지며 말을 할 때 정확한 발음을 할 수 있도록 도와주거나 얼굴 윤곽을 잡아주고 웃을 때 자연스럽게 보일 수 있도록 하는 심미적인 부분 또한 담당하기 때문에 만약에 치아를 상실하였다면 빠른 시간 안에 이를 대체해 주실 필요가 있는데요. 이를 수복해 줄 수 있는 방법에는 여러 가지가 있으나 현재 자연 치아와 가장 유사한 수준의 기능성과 심미성을 회복할 수 있는 방법으로는 임플란트 시술이 손꼽히고 있습니다.


예전에는 틀니나 브릿지가 많이 쓰였으나 각각 주의할 점이 있어 요즘은 임플란트 시술 방식이 대중적으로 많이 선호되고 있는데요. 틀니는 고정식이 아니기 때문에 저작력이 자연 치아의 20~30% 정도밖에 미치지 못하고 이물감이나 통증이 생길 수 있으며 장기간 착용하였을 때 잇몸이 지속적으로 압박을 받게 되어 잇몸뼈가 소실되고 주변 치아 나아가 구강 구조까지 변형될 수 있는 가능성이 있다는 점, 브릿지는 양 옆 치아를 조금씩 삭제한 후 걸어주는 지지 방식을 이용하므로 자연 치아 삭제에 대한 부담감, 그리고 지지대 역할을 해 주는 치아와 잇몸 상태가 건강하지 않으면 보철물 수명 역시 짧아질 수 밖에 없다는 점 때문에 이러한 틀니와 브릿지의 단점을 보완한 임플란트 방식이 치아 상실에 대처하는 가장 대표적인 방법으로 자리매김하게 된 거예요.




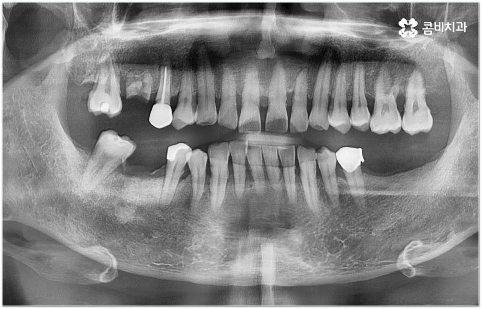
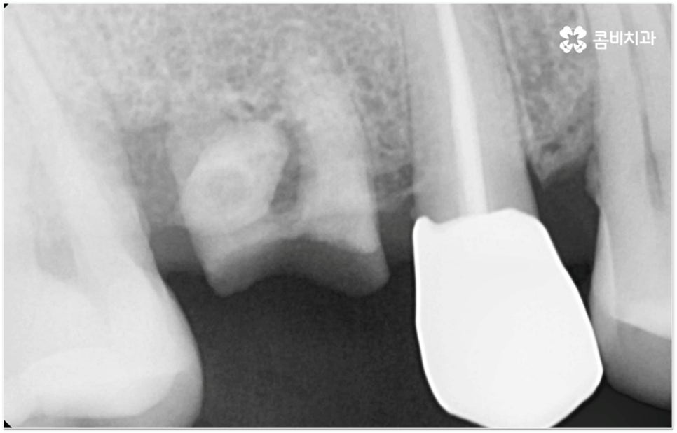
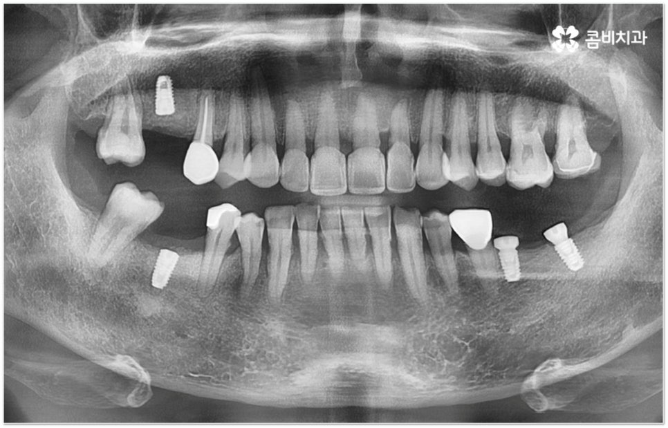
그러나 임플란트는 잇몸뼈에 직접 심어서 고정시키는 방식인 만큼 만약 환자분의 잇몸뼈가 부족하거나 치아가 빠진 후 오랜 시간이 지나 이미 잇몸뼈 소실이 상당 부분 이루어진 상태라고 한다면 먼저 골이식을 통해 이를 보충한 후 식립을 진행하는 뼈이식임플란트 방식을 이용할 필요가 있어요. 골이식 과정은 바탕이 되는 잇몸뼈의 밀도나 높이, 두께가 부족한 부분에 이식 재료를 심어주어 뼈를 재건해 주는 것인데 충분한 시간을 두고 무리하지 않게 진행하는 것이 뼈이식임플란트 수술의 성공률 및 안정적인 지속성을 높일 수 있는 방법이 될 거예요.
다양한 이식 재료는 각각 장단점을 가지고 있기 때문에 꼼꼼한 검진 및 상담을 통해 환자분들의 상황에 맞게 필요한 골이식재의 양과 비율을 조절해 주는 것이 중요하다고 할 수 있는데요. 예를 들어 이식재 중 자가골의 경우 본인의 뼈를 활용하는 것이기 때문에 감염의 위험이 낮고 직접 골아세포에 의한 골형성을 할 수 있어 빠른 골융합을 기대할 수 있으므로 신생골이 필요한 부위에 쓰면 좋으나 많은 양을 채취하기 어려운 만큼 골이식 범위가 넓거나 골이식 해야 하는 치아 개수가 많을 경우 신체 다른 부위에서 떼어내는 외과적인 수술이 병행되어야 하거나 다른 재료(동종골, 이종골, 합성골 등)와 함께 사용할 필요가 있어요. 동종골은 같은 사람의 뼈라는 점에서 골형성에 기여하는 골유도 기능을 할 수 있으나 가격이 비싸고, 이종골은 골형성시 흡수가 느리기 때문에 뼈대를 만들어주고 공간 유지를 해 주는 골전도 능력이 우수하여 새로운 뼈가 채워지는데 오래 걸리지만 자가골이나 동종골보다는 구하기가 쉽기 때문에 가장 많이 사용하는 재료이며 합성골 역시 뼈를 만들어내는 효율은 떨어지지만 비용이 저렴하기 때문에 다른 골이식재와 혼합하여 사용할 때 서로 보완이 될 수 있습니다.


뼈이식임플란트 가 필요한지 살펴볼 때 3D CT 촬영과 같은 정밀 진단을 통해서 환자분의 잇몸뼈 두께 등 치조골 상태 뿐 만 아니라 구강 구조, 치아 및 잇몸 상태, 신경관 위치, 상악동까지의 거리 등을 꼼꼼하게 확인하여 치료 계획을 세우고 필요하다면 구강 질환에 대한 치료나 상악동 거상술 등을 선행하며 잇몸뼈 부족에 대해서도 골이식 과정을 먼저 진행하게 되는데요, 이러한 뼈이식임플란트 시술은 상당히 고난도의 복잡한 치과 진료인 만큼 관련 임상 경험이 풍부한 의료진과 함께 하는 것이 굉장히 중요하며 또한 수술 후 관리 면에서도 더욱 신경을 써 주시길 당부드리고 있어요.
특히 음주와 흡연은 염증 가능성을 높이고 치유 과정을 더디게 만들며 임플란트가 단단하게 자리잡는 것을 방해하므로 식립 실패의 대표적인 원인 중 하나라고 할 수 있는데요. 그렇기 때문에 최소 2주 정도는 술과 담배를 금하시는 것이 좋으며 이 밖에도 뼈이식임플란트 수술 후 치과에서 말씀드리는 주의 사항을 준수하고 꾸준한 검진을 통해 수술 주변 부위를 관리하면서 청결하게 유지할 수 있도록 노력하면 도움이 많이 될 거예요.


또한 전신질환을 앓고 있는 분들이 치아를 잃게 되신 경우 임플란트 수술 가능 여부에 대해 걱정하실 수 있는데 관련 기술과 방법들이 꾸준히 발달해 온 만큼 너무 겁을 먹기 보다는 꼼꼼한 검진 및 면밀한 상담을 통해 치아 상실의 불편함을 대체할 수 있는 방법을 적극적으로 찾아보시는 게 도움이 될 수 있어요. 특히 오랜 기간 상용해 오신 약이 있다면 이로 인해 임플란트 수술의 성공 가능성 내지 예후에 크게 영향을 줄 수 있기 때문에 담당 의료진과 충분히 사전 상담을 하는 것이 중요하다는 점은 분명하나 이로 인해 무조건 임플란트가 불가능하다고 생각하시고 지레 포기하시기 보다는 신경써서 주의할 점이 있다는 쪽으로 생각하시면 좋을 거예요.
대표적으로 고혈압, 당뇨를 가지고 계신 분들을 예로 들어보면 지혈에 문제가 생기거나 감염에 취약할 수 있으므로 의료진과의 지속적인 소통을 통해 약 복용 계획을 수술 일정과 조율하면서 정밀 검진을 통해 혹시 모를 부작용들을 미연에 방지하고 사후까지 꼼꼼하게 케어할 수 있는 치과에서 임플란트 수술을 받으시길 권유드리고 있습니다.
본 글은 콤비치과의 의료광고 포스팅입니다.
개인에 따라 출혈 및 부작용이 발생할 수 있고,
환자마다 치료 결과 및 기간이 상이할 수 있으므로,
정확한 치료 기간 및 치료 계획은
가까운 치과에서 상담을 받아보시길 권장 드립니다.
더 보기
이 병원의 공개 콘텐츠를 계속 살펴보세요
출처 아카이브로 돌아가 더 많은 글을 보거나, 병원 프로필로 이동해 다른 공개 채널도 함께 비교해보세요.