명동콤비치과의원 (명동)
어금니신경치료 케이스마다 달라요
충치는 흔하게 발생하는 구강질환으로 한 번 생기면 자연적으로 낫지 않기 때문에 자신의 상황에 맞게 제 때 적합한 치료를 받는 것이 굉장히 중요한 포인트라고 할 수 있어요. 처음에는 별다른 증상이 느껴지지 않지만 시간이 지날수록 병증이 깊어지면서 내부까지 세균이 침투하여 감염이 일어나고 손상이 심해질 수 있는데요...
아카이브 요약
이 페이지의 역할
명동콤비치과의원 (명동)의 네이버 블로그 원문을 보존한 아카이브 페이지입니다. 치아스토리♡ 카테고리의 어금니신경치료 케이스마다 달라요 글을 통해 병원의 한국어 정보 제공 방식과 진료 관련 안내 톤을 확인할 수 있습니다.
충치는 흔하게 발생하는 구강질환으로 한 번 생기면 자연적으로 낫지 않기 때문에 자신의 상황에 맞게 제 때 적합한 치료를 받는 것이 굉장히 중요한 포인트라고 할 수 있어요. 처음에는 별다른 증상이 느껴지지 않지만 시간이 지날수록 병증이 깊어지면서 내부까지 세균이 침투하여 감염이 일어나고 손상이 심해질 수 있는데요. 치아 겉면 일부만 손상될 정도의 초기 충치라면 보다 빠르고 간단한 레진 치료로 증상을 개선시킬 수 있으나 이 단계에서는 통증이 거의 없기 때문에 환자분들의 입장에서 모르고 지나치기 쉬우므로 주기적인 검진을 통해 초기 충치에 대처하실 필요가 있어요.
많은 분들이 바쁘고 시간이 없다는 이유, 두렵거나 귀찮다는 이유로 내원을 미루시다가 참을 수 없을 정도로 치통이 심해지고 나서야 치과에 방문하시고 있는데요. 음식물을 씹었는데 시큰했거나 평상시와 다른 불편한 느낌이 있었다면 정도가 심하지 않더라도 무심하게 넘어가지 마시고 바로 치과에서 검진과 치료를 받아보시길 권유드리고 있어요.


치아의 겉면인 법랑질은 우리 신체 조직 중에서 가장 단단하지만 내부로 들어갈수록 상아세관 다발이 모여있는 상아질, 그리고 신경과 혈관이 조밀하게 모여있는 연조직인 치수가 나오기 때문에 한 번 충치가 생기면 안쪽으로 악화되는 속도가 빨라질 수 있어서 치료 시기를 놓치지 않도록 주의하실 필요가 있어요. 또한 충치는 치료 후에도 관리를 제대로 해주지 않으면 재발하기 쉽기 때문에 일상 속에서 꼼꼼하게 양치질을 잘 해 주고 1년에 한 번 또는 두 번 정도 정기적으로 치과에 내원하셔서 위생 관리에 힘써 주시길 당부드리고 있어요.


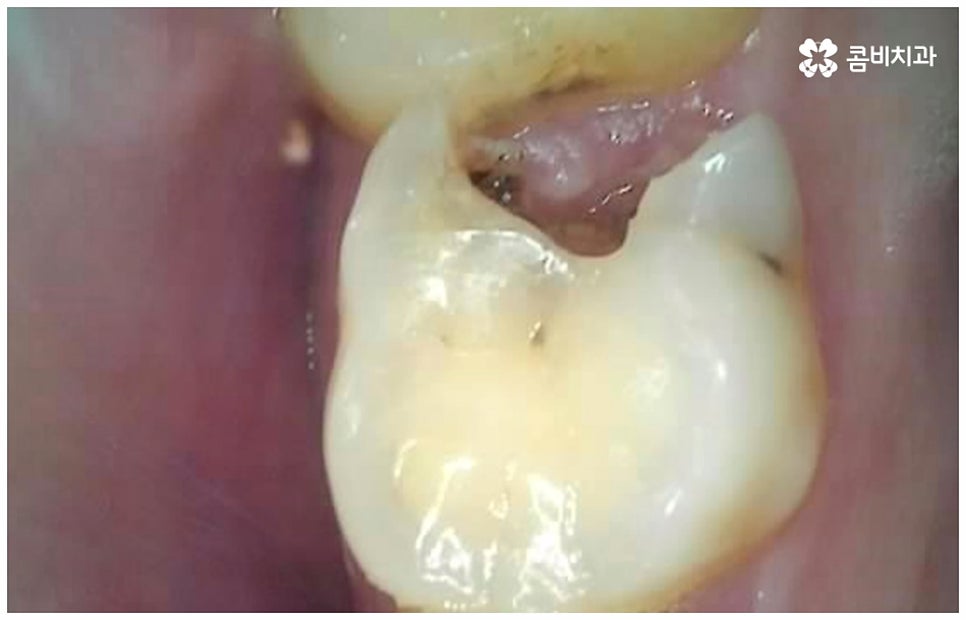
법랑질 안 쪽의 상아질이 손상되면 치아가 시린 증상이 점점 심해지며 이후로 병증도 더 빠르게 악화될 수 있기 때문에 예전보다 불편함을 자주 느끼게 되었다면 치료를 서둘러야 하는데 초기에는 치아 손상 부위를 제거하고 레진으로 직접 때웠다면 이때는 인레이 또는 온레이처럼 본을 떠서 만든 보철물을 끼워넣는 간접적인 방법으로 충치 치료를 할 수 있어요. 특히 보철물을 선택할 때는 환자분들의 상황을 고려하여 치아의 위치 및 역할에 적합한 재질을 이용하게 되는데 보통 입을 벌렸을 때 잘 보이는 앞니는 심미성을 좀 더 중시하게 되고 어금니는 강한 저작력을 견딜 수 있는 내구성을 중시하고 있는데요.
옛날에는 어금니 보철물로 금을 많이 사용했었어요. 금은 잘 부러지지 않고 얇게 늘어나는 성질을 가지고 있기 때문에 치아를 많이 삭제하지 않고도 원하는 모양대로 정확하게 보철물을 만들 수 있으며 압력이나 교합 등 대합치와의 적응 역시 보다 빠르고 적절하게 이뤄질 수 있다는 점에서 아주 오래 전부터 보철물 재료로 사용되어 왔어요. 그러나 치아 색상과 너무 다르기 때문에 눈에 잘 띄인다는 점 (특히 아래 어금니는 입을 크게 벌렸을 때 보이는 위치라서 심미적으로 좋지 않을 수 있음) 그리고 온도 자극을 잘 전달하는 편이므로 어금니신경치료 를 하지 않은 치아의 경우 불편함을 느낄 수 있다는 점 때문에 요즘은 치아 색상 재질 중에 강도와 내구성이 강한 지르코니아 재질을 많이 이용하고 있어요.


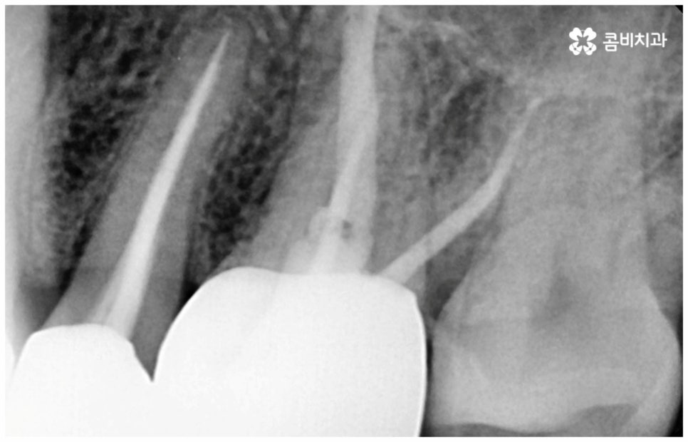
여기서 어금니신경치료 란 법랑질과 상아질을 지나 치아 안쪽 깊은 곳의 치수 조직까지 감염이 되었을 때 손상 부위를 모두 제거하고 치근관을 소독, 밀폐하는 치료를 의미하고 있는데요. 사람의 치신경은 아주 얇고 치근관의 모양과 개수는 모두 다 다른데 만약 끝이 구부러져 있거나 미세 부근관이 여러 갈래로 많이 퍼져 있는 경우, 신경관이 막힌 경우라면 신경을 제거할 때 난이도가 올라가므로 더욱 주의깊게 치료할 필요가 있어요.
감염 조직을 완전히 제거하지 않으면 통증이 지속될 수 있고 재발 가능성 또한 높아지므로 어금니신경치료 시 담당의 선생님의 높은 숙련도 및 세심한 기술력이 요구되고 있는데요. 혹시 모를 부작용을 방지하기 위해 3D CT 와 같은 정밀 진단 기계를 갖추고 신경관의 위치와 모양, 환자분들의 골조직 및 치아까지의 거리 등을 꼼꼼하게 파악하여 치료 계획을 세운 후 손상 부위를 세심하게 제거한다면 고난도의 경우라도 보다 안전하게 진행할 수 있어요.
또한 어금니 신경치료를 할 때 러버댐 장착은 필수적인데요 (사진에서 볼 수 있는 하얀막), 이와 같이 고무막으로 치료할 치아만 빼고 나머지는 격리시키는 이유는 해당 부위로 침이 유입되는 것을 막고 최대한 습기를 예방하여 (방습법) 치료의 효율성과 치과 재료 기능을 향상시키는 것, 환자와 시술자간 교차 감염을 막아 오염 확률을 낮추는 것, 신경 치료할 때 쓰이는 약제 또는 치아 삭제시 생기는 찌꺼기 등이 입 안으로 흘러 들어가는 현상을 방지하는 것 등등 환자분들을 보호하고 치료의 질을 높이기 위한 목적이니 안쪽 치아라서 조금 불편하시더라도 필요성에 대해서 잘 인지하시길 바라고 있어요.


단계적으로 진행하는 충치의 특성상 신경치료는 자연 치아를 발치하지 않고 살릴 수 있는 거의 마지막 단계에서 시행하는 것인 만큼 치료 후 남아있는 치아양이 그다지 많지 않고 내구도 역시 크게 떨어진 상태일 수 있어요. 이렇게 약해진 치아를 보호해 주고 저작 기능을 제대로 수행할 수 있도록 돕기 위해서 치아 외형을 복원하는 보철물을 만들어 덮어씌우는 크라운 치료를 함께 해 줄 필요가 있는데요. 환자분들의 상황에 따라 앞니의 경우에는 크라운 치료를 하지 않는 경우도 있지만 어금니신경치료 후에는 저작력을 많이 받는 위치인 만큼 크라운 치료가 필수적이라고 할 수 있어요.
보철물들의 종류는 다양하며 각각의 장단점이 있는 만큼 의료진과 충분하게 상담을 해 보신 후 선택하시길 바라고 있는데요. 환자분들의 상황에 가장 적합한 재료를 골라 보철물을 제작할 때 치과에 자체 기공소가 있다면 의료진과의 소통이 더욱 긴밀하게 이루어지기 때문에 각자에게 딱 맞는 보철물의 정밀성을 높이는데 크게 도움이 되며 또한 소요되는 시간 역시 줄일 수 있어요. 혹시나 보철물이 잘 맞지 않아 들뜨거나 약간 수정할 부분이 필요하다면 피드백 역시 보다 빠르고 간편하게 이루어질 수 있으며 추후 외상 등으로 파손이 일어났을 때도 좀 더 안정적인 개선이 가능할 수 있습니다


어금니는 위치상 구강 내 가장 안쪽에 위치하므로 평상시 양치질을 잘 해 준다고 해도 음식물 찌꺼기가 남아있을 가능성이 커 충치 발생률이 높은 치아라고 할 수 있는데요. 이렇게 충치로 인한 손상 때문이 아닌 다른 이유로 어금니신경치료 를 진행해야 하는 경우도 있을 수 있어요. 예를 들어 20살 전후로 사랑니가 나오면서 삐뚤어지거나 일부가 매복된 채로 비정상적인 맹출을 하게 되면 앞의 어금니 뿌리에 압박을 주는 등 좋지 않은 영향을 줄 수 있는데요. 이 때 바로 사랑니를 발치하지 않고 그대로 방치한 채 시간이 오래 흘러 어금니까지 손상이 생겼을 경우 어금니신경치료 를 받아야 할 수 있어요. 그밖에도 외부에서 큰 충격을 받아 어금니가 깨지거나 부러져서 드물게 신경이 노출된 경우에도 감염된 신경 제거가 필요할 수 있는데요.
지금까지 살펴본 바와 같이 신경 치료는 자연치를 보호, 유지하고 심한 통증을 완화해 주기 위한 것으로 이렇게 신경치료를 받은 어금니를 보다 오랜 기간 동안 건강하게 사용하기 위해서는 정기적인 검진을 통해 치아의 상태를 꼼꼼하게 확인하고 스케일링 치료를 통해 관리해 주시길 권유드리고 있어요.
본 글은 콤비치과의 의료광고 포스팅입니다.
개인에 따라 출혈 및 부작용이 발생할 수 있고,
환자마다 치료 결과 및 기간이 상이할 수 있으므로,
정확한 치료 기간 및 치료 계획은
가까운 치과에서 상담을 받아보시길 권장 드립니다.
더 보기
이 병원의 공개 콘텐츠를 계속 살펴보세요
출처 아카이브로 돌아가 더 많은 글을 보거나, 병원 프로필로 이동해 다른 공개 채널도 함께 비교해보세요.