아카이브 요약
이 페이지의 역할
명동콤비치과의원의 네이버 블로그 원문을 보존한 아카이브 페이지입니다. 치아스토리♡ 카테고리의 치아미백시술 관심있다면 글을 통해 병원의 한국어 정보 제공 방식과 진료 관련 안내 톤을 확인할 수 있습니다.
원문 검증
필요하면 원문 블로그와 병원 프로필로 바로 이동해 문맥을 다시 확인할 수 있습니다.
출처 아카이브 열기아카이브된 블로그 글
명동콤비치과의원 · Naver Blog
2023년 1월 30일을 기점으로 실외에 이어 실내 마스크 착용 의무가 해제되고 자율적 착용 권고로 전환됨에 따라 일부 감염취약시설 (의료기관·약국 및 대중교통수단 내에서는 착용 의무 유지) 을 제외하고는 일상 속에서 마스크를 벗을 수 있게 되었어요. 그러면서 자연스럽게 지난 2년여간 크게 신경쓰지 않았던 입냄...
게시일
2023년 3월 13일
원문 기준으로 확인된 발행일입니다.
카테고리
치아스토리♡
원문 블로그 카테고리를 정리해 함께 표시합니다.
이미지 수
9
현재 아카이브에 연결된 이미지 수입니다.
아카이브 요약
명동콤비치과의원의 네이버 블로그 원문을 보존한 아카이브 페이지입니다. 치아스토리♡ 카테고리의 치아미백시술 관심있다면 글을 통해 병원의 한국어 정보 제공 방식과 진료 관련 안내 톤을 확인할 수 있습니다.
원문 검증
필요하면 원문 블로그와 병원 프로필로 바로 이동해 문맥을 다시 확인할 수 있습니다.
출처 아카이브 열기2023년 1월 30일을 기점으로 실외에 이어 실내 마스크 착용 의무가 해제되고 자율적 착용 권고로 전환됨에 따라 일부 감염취약시설 (의료기관·약국 및 대중교통수단 내에서는 착용 의무 유지) 을 제외하고는 일상 속에서 마스크를 벗을 수 있게 되었어요. 그러면서 자연스럽게 지난 2년여간 크게 신경쓰지 않았던 입냄새나 치아 변색 등을 개선할 방법이 있는지 치과로 문의주시는 분들이 늘어나고 있는데요.
사실 입냄새나 치아 변색 등이 그 자체로 건강에 치명적인 병증이라고 할 수는 없으나 혹시 구강 질환 또는 다른 전신 질환으로 인해 유발된 상황일 수도 있기 때문에 꼼꼼하게 검진부터 받아보실 필요가 있어요. 보통 입냄새는 위생과 관련된 문제인 경우가 많고 치아 변색의 원인은 식습관이나 생활 습관에서 비롯되는 경우가 대부분이지만 선천적인 요인, 노화, 특정 약물 부작용 등 그 밖의 원인에 의한 경우도 있기 때문에 이를 정확하게 파악하고 그에 맞는 해결 방법을 생각해 보는 것이 중요한 포인트라고 할 수 있어요.


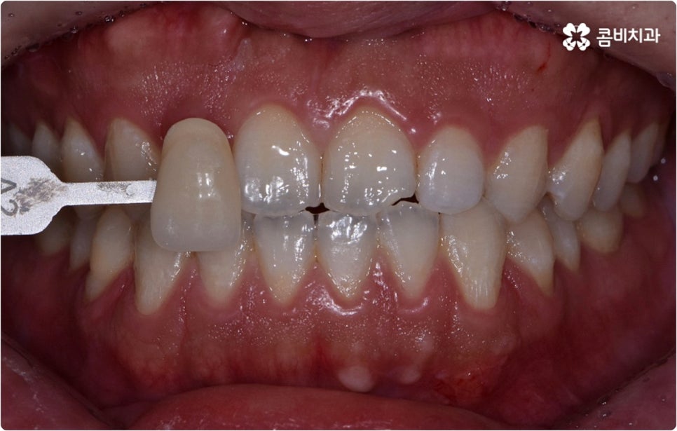
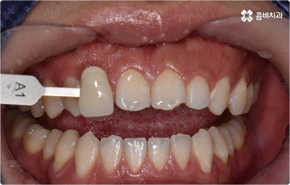
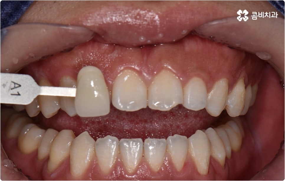
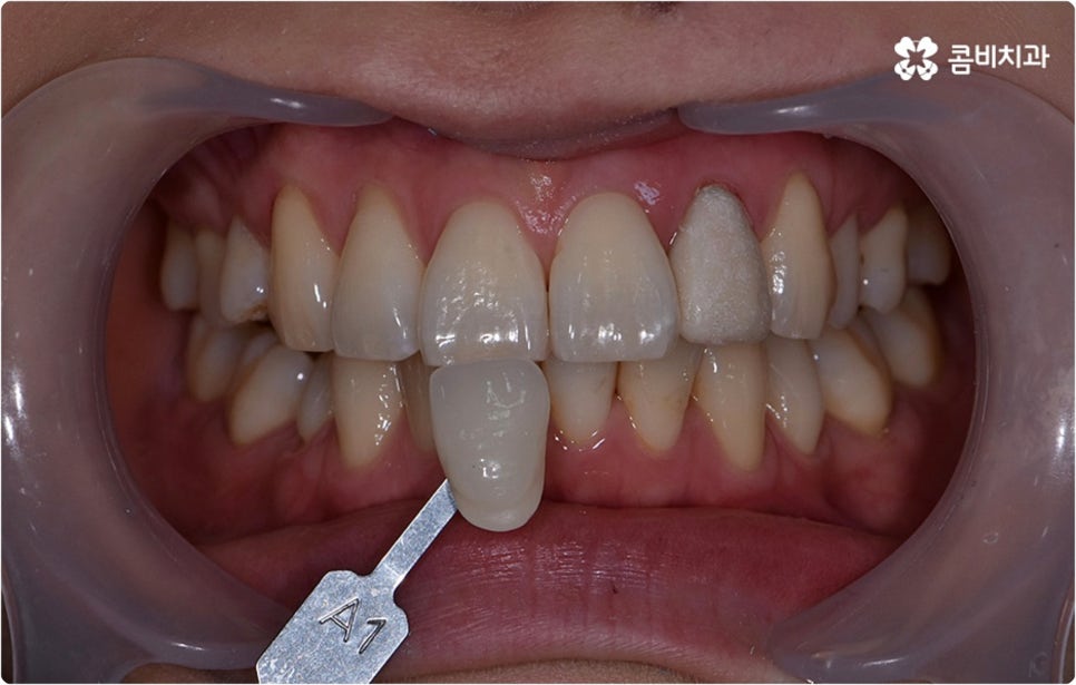
사람의 치아는 원래 옅은 미색을 띄는데 누렇게 변색이 된 경우 단정하지 못하다는 느낌을 주고 대인 관계에서 호감도를 떨어뜨리는 요인이 될 수 있어요. 희고 고른 치아를 드러내며 환하게 웃는 사람을 봤을 때 자신까지 덩달아 기분이 좋아지는 경험을 해 보신 분들이라면 이러한 미소가 갖는 긍정적인 영향력이 상당하다는 데 동의하실 거예요. 요즘은 특히 외적인 요소가 자기 관리의 일부로 받아들여지는 만큼 치아 색상이 누렇다면 자칫 게으르다는 인상마저 줄 수 있는데요. 평상시 칫솔질을 꼬박꼬박 잘 해주고 주기적인 스케일링 치료를 통해 위생 관리를 해 주는 분들이라면 더욱 이러한 시선이 고민이 되실 수 있어요. 이와 같이 변색된 치아로 인해서 자기도 모르게 콤플렉스처럼 위축되는 느낌을 받으시는 분들, 결혼이나 취업과 같은 이벤트를 앞두고 단기간에 자신감 있는 미소를 되찾고 싶으신 분들께는 치아미백시술 을 권유드리고 있는데요.


치아 겉표면에는 눈에 보이지 않는 수없이 많은 유기구멍이 뚫려 있으며 보통 이를 통해 카레, 와인, 커피 등의 음식물 색소가 스며들어 착색이 일어나면 시간이 지나 치아가 전체적으로 누렇게 변색될 수 있어요. 칫솔질로 바뀌지 않는 이를 개선시키는 방법은 크게 홈케어와 치과 치료로 나누어 볼 수 있는데요. 요즘은 셀프 미백제 등 가정에서 시도해 볼 수 있는 여러 방법들이 나와 있으며 착색이나 변색의 정도가 심하지 않은 경우 이러한 홈케어를 꾸준하게 해 준다면 개인차가 있지만 효과를 볼 수 있어요. 주변에서 실제 사용 후기에 대한 이야기도 쉽게 접할 수 있는데요.
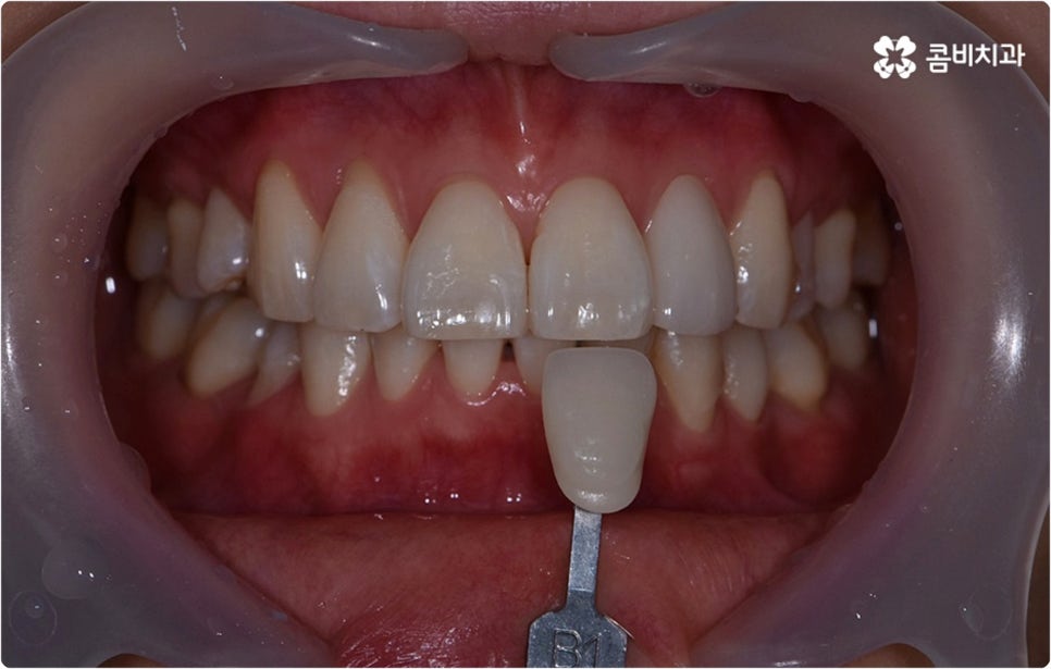
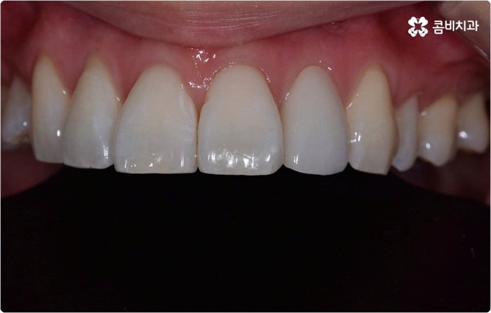
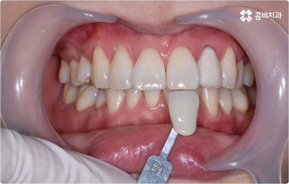
그러나 정도가 심하여 홈케어로 크게 효과를 보지 못하신 분들이라면 의료적인 도움을 고려해 보시는 게 좋을 거예요. 이때 환자분들마다 상황이 다르고 원인이 다른 만큼 꼼꼼한 검진 후 각자에게 맞게 적정 농도의 미백제와 특수 광선의 양, 시술 시간 및 횟수 등을 잘 맞추어 세심하게 시술을 해 주지 않으면 혹시 모를 부작용이 생길 수 있어 주의하실 필요가 있어요. 즉 농도가 너무 낮으면 제대로된 미백 효과가 나타나지 않고 농도가 너무 높으면 법랑질을 녹이거나 구강내 점막, 잇몸, 입술 등에 화상을 일으킬 수 있으니 다른 조직의 손상 없이 제대로 된 치아미백 효과를 거두기 위해서는 치아 미백에 관한 노하우가 풍부하고 임상 경험이 많은 의료진에게 안정성이 검증된 정품 미백제를 이용한 치아미백시술 치료를 받으시길 권유드리고 있습니다.


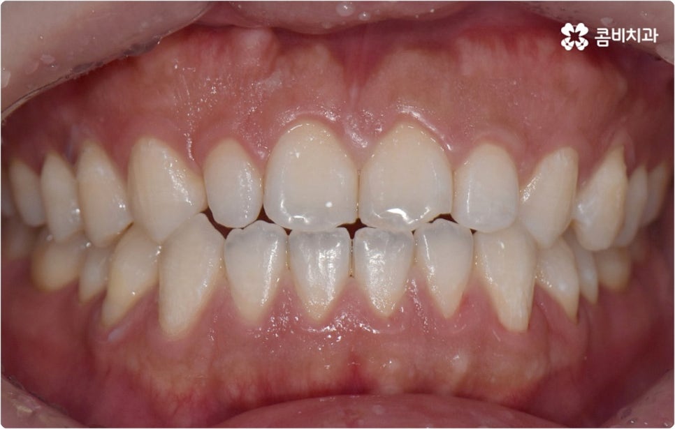
치아미백시술 과정을 살펴보면 혹시모를 잇몸 손상을 막고 혀에 닿지 않도록 레진 소재 보호제로 안전하게 막은 후 검증된 미백제를 치아 표면에 발라 미백기에서 방출하는 특수광선을 통해 미백제의 반응을 촉진하게 되는데 환자분들의 치아 상태, 착색된 정도에 따라 시술 시간이나 횟수 등을 세심하게 조절해야 하기 때문에 치아 미백 효과 및 안정성, 지속성을 높이기 위해서는 시술할 치과를 선택할 때 식약처에서 인증 받은 정품 미백제를 이용하는지, 미백 관련 인상 경험이 많은 의료진인지 여부를 신중하게 체크한 후 결정하시길 권유드리는 거예요.

충치나 치주 질환 등으로 치아 색상이 변한 경우 이를 먼저 치료하고 혹시 필요하다면 미백 시술을 추후 진행해 볼 수 있는데요. 만약 나이가 들어가는 과정에서 자연스럽게 노화로 인해 법랑질이 마모되어 상아질이 많이 비쳐보이는 것이 원인이라면 환자분들의 상황에 따라 치아미백시술 로 효과를 크게 볼 수 없을 수도 있기 때문에 라미네이트 또는 올세라믹처럼 치아 겉면에 덧씌우는 치료를 통해 변색 개선 및 제반 증상들로 인한 불편을 해결할 수 있어요.


환자분들 중에 스케일링 치료 후 치아 색상이 밝아졌다고 생각하시는 분들이 있을 수 있는데 스케일링 치료는 치아 사이 사이 치석을 물리적으로 제거하는 것으로 치석이 많이 쌓여 착색까지 일어났던 경우 이를 없애주는 것이 어느 정도 도움이 될 수는 있으나 근본적인 해결책이라고 할 수는 없을 거예요. 착색된 부분을 돌려놓기 위해서는 과산화수소 및 특수 광선을 이용한 화학적인 치료가 필요하기 때문에 치과에서 치아미백시술 을 받아보시길 권유드리며 효과가 될 수 있는대로 오래 지속될 수 있도록 사후 관리 또한 철저하게 해 주시길 당부드리고 있어요.
담배에 함유된 니코틴, 타르 등의 화학 물질이 치아 변색의 원인으로 손꼽히는 만큼 미백 시술 후 되도록 금연을 실천해 주시면 좋을 거예요. 또한 말씀드렸던 커피나 카레 등 색소가 강한 음식 섭취를 자제하시면서 치아에 붙은 색소를 제거하는데 좋은 섬유질이 풍부한 야채나 과일 등을 많이 드시길 권유드리고 있어요. 이렇게 음식물을 섭취한 후 바로 바로 양치질을 해 주시는 습관을 들이면 치아 색상을 밝게 유지하는 데 좋을 뿐 아니라 구강 건강을 위해서도 좋은데요, 이때 올바른 양치질 방법 즉 가로나 세로 방향으로 너무 세지 않게 해 주시는 것에 대해 명심하시길 바라고 있습니다.
정기적으로 검진 및 스케일링 치료를 꾸준히 받으시는 것도 굉장히 중요한데요, 특히 치열이나 치아 모양 등 선천적인 이유 또는 식습관 같은 후천적인 이유로 치석이 자주 또 많이 쌓이시는 분들 같은 경우 스케일링 주기를 1년에 3~4번 정도로 잡아주시는 게 바람직한 습관이 될 수 있어요. 1년에 한 번은 건강 보험 혜택을 통해 보다 합리적인 가격으로 이용해 보실 수 있으니 스케일링 치료에 대해서 잘 인지해 두시고 도움받아 보시길 권유드리고 있어요.
본 글은 콤비치과의 의료광고 포스팅입니다.
개인에 따라 출혈 및 부작용이 발생할 수 있고,
환자마다 치료 결과 및 기간이 상이할 수 있으므로,
정확한 치료 기간 및 치료 계획은
치과에서 상담을 받아보시길 권장 드립니다.