아카이브 요약
이 페이지의 역할
명동콤비치과의원의 네이버 블로그 원문을 보존한 아카이브 페이지입니다. 치아스토리♡ 카테고리의 앞니설측교정 망설여질때는 글을 통해 병원의 한국어 정보 제공 방식과 진료 관련 안내 톤을 확인할 수 있습니다.
원문 검증
필요하면 원문 블로그와 병원 프로필로 바로 이동해 문맥을 다시 확인할 수 있습니다.
출처 아카이브 열기아카이브된 블로그 글
명동콤비치과의원 · 콤비덴탈 치과의사 황용인
예전에는 치아 교정이 어렵고 비싸다는 인식이 많았기 때문에 부정 교합이 심각하여 큰 불편을 초래하는 케이스와 같이 꼭 필요한 경우에 교정 치료를 받는 분위기였지만 요즘은 관련 기술 및 장치들이 많이 발달하고 임상 경험이 풍부한 의료진들도 늘어남에 따라 교정 과정이 대중화되면서 ‘나도 교정 한 번 받아볼까?’하는...
게시일
2023년 3월 17일
원문 기준으로 확인된 발행일입니다.
카테고리
치아스토리♡
원문 블로그 카테고리를 정리해 함께 표시합니다.
이미지 수
11
현재 아카이브에 연결된 이미지 수입니다.
아카이브 요약
명동콤비치과의원의 네이버 블로그 원문을 보존한 아카이브 페이지입니다. 치아스토리♡ 카테고리의 앞니설측교정 망설여질때는 글을 통해 병원의 한국어 정보 제공 방식과 진료 관련 안내 톤을 확인할 수 있습니다.
원문 검증
필요하면 원문 블로그와 병원 프로필로 바로 이동해 문맥을 다시 확인할 수 있습니다.
출처 아카이브 열기예전에는 치아 교정이 어렵고 비싸다는 인식이 많았기 때문에 부정 교합이 심각하여 큰 불편을 초래하는 케이스와 같이 꼭 필요한 경우에 교정 치료를 받는 분위기였지만 요즘은 관련 기술 및 장치들이 많이 발달하고 임상 경험이 풍부한 의료진들도 늘어남에 따라 교정 과정이 대중화되면서 ‘나도 교정 한 번 받아볼까?’하는 마음으로 치과를 찾아오시는 분들이 많아지고 있어요.
특히 요즘은 겉모습 역시 하나의 스펙으로 받아들이고 자기 관리의 일환으로 인식하는 경향이 강하다보니 기능 개선을 위한 치료적인 목적이 아니라 심미적인 목적, 즉 환하고 아름다운 미소를 가지고 싶어서 치과 교정에 대해 고민하시는 분들도 많이 있는데요. 희고 고른 치열을 가지고 있으면 대화를 하거나 웃을 때 드러나 보이는 치아가 가지런하여 깔끔하고 단정한 인상을 줄 수 있는 반면 치아가 삐뚤다면 대인 관계에서 자신감이 떨어져 자기도 모르게 입을 손으로 가리는 습관이 생길 수도 있으니 주의하실 필요가 있어요.


특히 앞니는 가장 노출이 잘 되는 부위이기 때문에 앞니가 툭 튀어나와 있거나 삐뚤빼뚤하면 전체적으로 심미성을 크게 떨어뜨릴 수 있어요. 물론 심미적인 문제 뿐 아니라 앞니 사이가 벌어져 있으면 발음이 샐 수도 있고 각도나 배열의 문제 때문에 교합이 잘 맞지 않으면 음식을 잘라 먹는데도 불편이 따를 수 있으니 이런 경우 교정 치료를 통해 바로잡아 주시는 게 좋을 거예요.
이 때 다른 치아는 괜찮고 앞니만 마음에 들지 않아서 혹시 해당 부위만 부분 교정 치료를 할 수 있는지 문의 주시는 분들이 있는데요. 물론 치아 전체가 아닌 필요한 부위만 교정하는 부분 교정 치료의 경우 치료 기간이 단축되고 비용도 줄일 수 있으며 치아 이동 통증이나 발치에 대한 두려움 등 환자분들이 느끼실 수 있는 여러 가지 부담감도 덜 수 있다는 장점을 가지고 있지만 누구나 부분 교정을 받을 수 있는 것은 아니기 때문에 먼저 정밀 검진을 통해 자신이 부분 교정이 가능한 케이스인지 여부 부터 확인해 볼 필요가 있어요.
만약 위아래 교합에 별다른 문제가 없고 앞니를 가지런하게 만들 공간이 충분하다고 한다면 부분 교정 치료를 고려해 볼 수 있는데요. 개인차가 있지만 앞니 부분 교정은 보통 36개월 정도 소요되므로 2년 여 정도 걸리는 전체교정에 비해 비교적 짧은 시간 안에 치료가 마무리 될 수 있어요. 환자분들의 상황에 따라 다르지만 보통 비발치 과정으로 진행되며 앞니와 옆 치아 포함 68개 정도의 치아에만 브라켓을 부착하기 때문에 불편함이나 통증 역시 줄어들 수 있습니다.



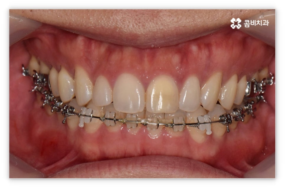
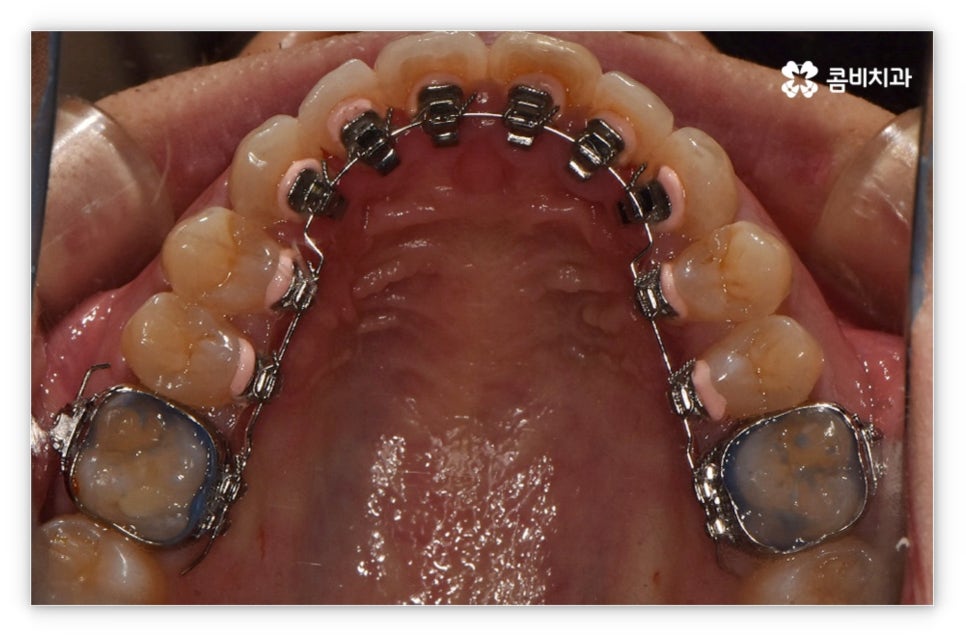
부분 교정의 여러 장점에도 불구하고 생활상 그리고 업무상 대인 관계가 많으신 분들은 교정 장치가 외부로 드러나는 것에 대해 부담을 느끼실 수 있고 만약 툭 튀어나온 앞니를 개선하고자 하는 경우라면 장치를 부착했을 때 오히려 입이 더 튀어나와 보이는 점 때문에 스트레스를 받으실 수도 있기 때문에 교정 치료 자체에 대해 쉽게 결정을 내리지 못할 수도 있는데요. 그럴 때는 앞니설측교정 방법을 이용하여 겉에서 봤을 때 장치가 드러나지 않고 두께감도 더하지 않도록 할 수 있어요.
앞니설측교정 방법은 말 그대로 일반적인 치아 교정과 달리 브라켓을 치아 안 쪽에 부착하는 것이기 때문에 외부로 교정 장치가 보이지 않아서 심미적으로 뛰어난 장점을 가지고 있어요. 자신이 밝히지 않으면 주변에서 언뜻 봤을 때 교정 치료를 하고 있는 줄도 모를 정도이기 때문에 6개월 정도의 짧은 기간에 티 나지 않고 자연스럽게 치열을 가지런하게 만들 수 있는 거예요. 또한 입술 안쪽 여린 살에 상처를 낼 수 있는 치아 겉면 브라켓과 와이어를 안쪽으로 넣어서 붙였기 때문에 그로 인한 불편함이나 통증을 줄일 수 있는데요.


이러한 앞니설측교정 방법은 치아 겉면보다 좁은 치아 안쪽 굽어진 면, 잘 보이지 않는 곳에 브라켓을 정확하게 부착해야 하는 고난도 치과 진료이기 때문에 시술자에게 굉장히 높은 수준의 섬세함과 기술력을 요구하므로 관련 임상 경험이 풍부하고 뛰어난 노하우를 갖춘 의료진과 함께 하시는 것이 무엇보다 중요하다고 할 수 있어요. 담당 의료진의 경력 사항을 꼼꼼하게 체크하시고 또한 사전 상담부터 체계적인 맞춤 계획 수립, 중간 중간 진행 상황 보고, 사후 관리까지 책임지고 철저하게 케어하는지 여부도 함께 살펴 보시면 도움이 되실 거예요.

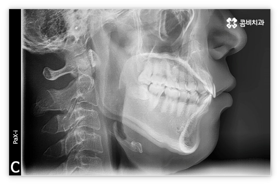
그리고 교정 치료는 그 목적상 위아래 교합이 똑바로 맞아 저작 기능을 제대로 수행할 수 있도록 하면서 가지런한 치열을 통해 발란스를 잡아주고 심미적으로도 좀 더 보기 좋은 안모를 형성하도록 하는 과정이기 때문에 환자의 치열과 교합, 얼굴 형태, 턱 관절 및 골격 구조 등 모든 부분을 세밀하게 파악하고 종합적으로 고려하여 각자에게 딱 맞는 교정 플랜을 세울 수 있도록 3D CT 와 같은 정밀 검진 기계를 갖추고 있는 치과에서 치료 받으시길 권유드리고 있는데요. 3D CT 는 일반 CT와 다르게 다각도에서 촬영을 하므로 환자분의 치아 위치, 턱관절, 얼굴의 정면 및 측면 등 다양한 정보를 수집하여 의료진 분들의 세밀한 파악을 돕는다는 장점이 있어요.



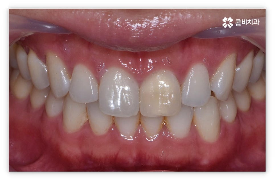
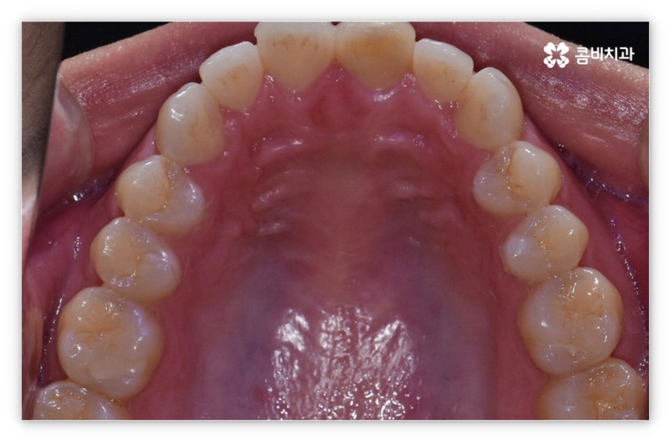
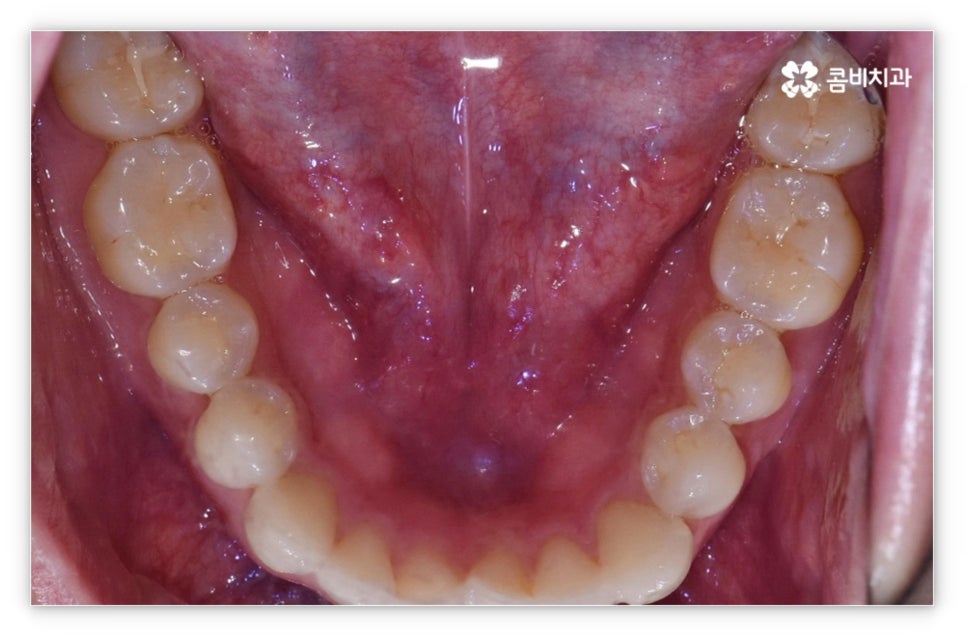
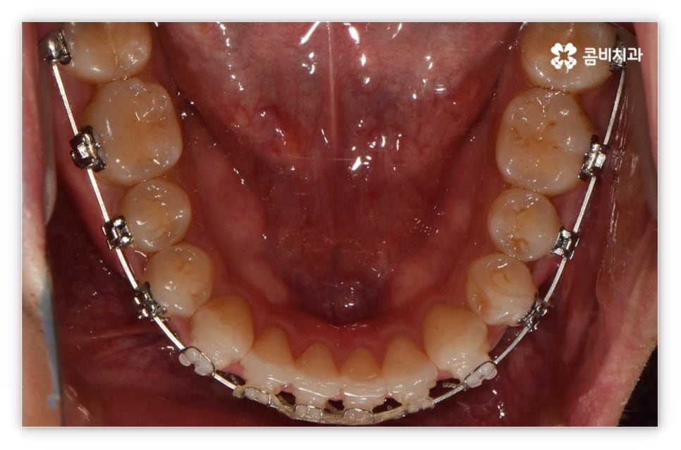
살펴본 바와 같이 앞니설측교정 의 장점에도 불구하고 아랫니 부분은 장치가 혀에 닿게 되기 때문에 환자분들께서 불편함을 느낄 수 있고 혹시라도 혀가 브라켓에 잘못 쓸리거나 눌렸을 때 통증이 발생할 수도 있으며 발음이 불분명해지는 문제가 생길 수 있는데요. 이러한 이유로 앞니설측교정 에 대해서 고민이 되시는 분들은 윗니 부분은 설측으로, 아랫니 부분은 일반 교정처럼 순측으로 진행하는 콤비 교정에 대해서 알아보시면 좋을 거예요. 위의 사진에서 살펴보실 수 있는 경우가 바로 이렇게 콤비 교정으로 진행한 환자분의 케이스인데 아랫니의 경우 보통 입술에 가려 별로 드러나지 않는 데다가 치아 색상인 세라믹 재질로 된 브라켓을 이용하기 때문에 설측 교정과 비교해도 심미성이 크게 떨어지지 않는다는 것을 알 수 있어요. 콤비 교정의 경우 설측 교정보다 비용적인 부담도 줄일 수 있으니 각 장치에 대한 장단점을 의료진분들과 충분히 상담하셔서 자신에게 맞는 장치를 선택하시면 좋을 거예요.
본 글은 콤비치과의 의료광고 포스팅입니다.
개인에 따라 출혈 및 부작용이 발생할 수 있고,
환자마다 치료 결과 및 기간이 상이할 수 있으므로,
정확한 치료 기간 및 치료 계획은
치과에서 상담을 받아보시길 권장 드립니다.