명동콤비치과의원 (명동)
누운사랑니발치 이모저모 알아봐요
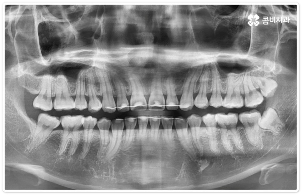
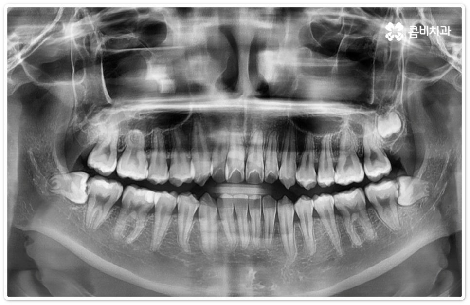
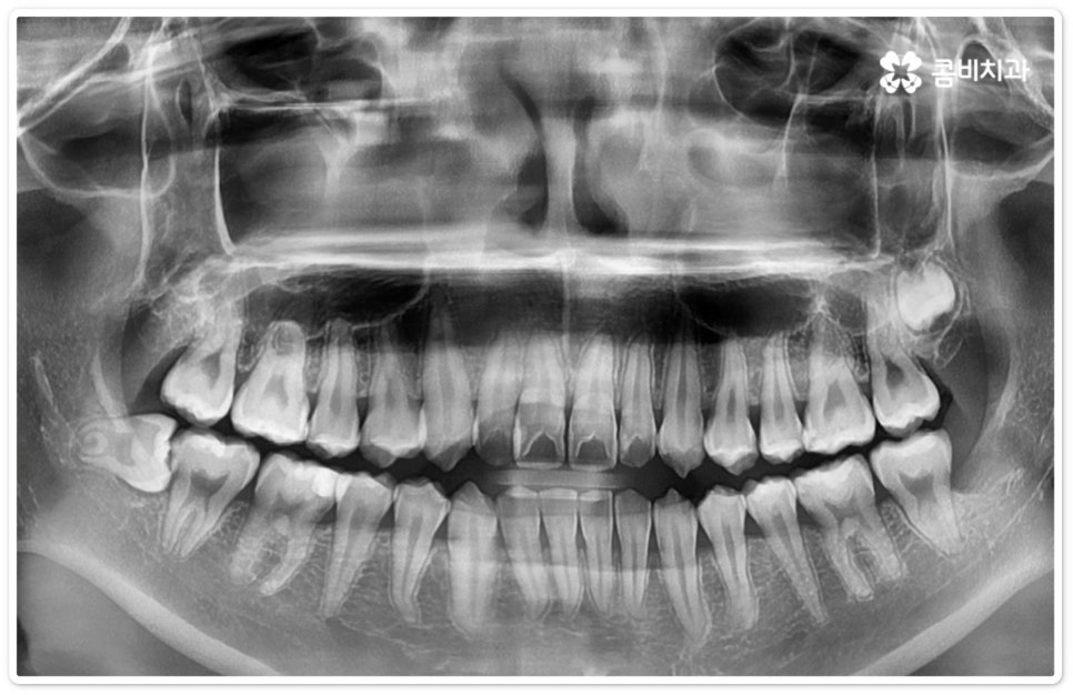
사랑니는 17세부터 25세 전후까지의 시기에 제일 늦게 나오는 치아로 만약 똑바로 맹출이 되었으며 관리를 하기에도 크게 어려움이 없는 경우라면 반드시 뽑아야 하는 것은 아니지만 자리가 비좁아 부분적으로만 나오거나 매복되어 누운 상태로 인접 치아에 악영향을 주는 경우라면 정확하게 검사를 한 후에 발치해 주는...
아카이브 요약
이 페이지의 역할
명동콤비치과의원 (명동)의 네이버 블로그 원문을 보존한 아카이브 페이지입니다. 치아스토리♡ 카테고리의 누운사랑니발치 이모저모 알아봐요 글을 통해 병원의 한국어 정보 제공 방식과 진료 관련 안내 톤을 확인할 수 있습니다.
사랑니는 17세부터 25세 전후까지의 시기에 제일 늦게 나오는 치아로 만약 똑바로 맹출이 되었으며 관리를 하기에도 크게 어려움이 없는 경우라면 반드시 뽑아야 하는 것은 아니지만 자리가 비좁아 부분적으로만 나오거나 매복되어 누운 상태로 인접 치아에 악영향을 주는 경우라면 정확하게 검사를 한 후에 발치해 주는 것이 좋을 거예요. 가장 뒤쪽에서 자라나기 때문에 칫솔이 닿기 어려워 음식물이 잔류할 가능성이 높으므로 충치가 발생하거나 주변 잇몸에 염증이 생기기도 쉬운데요, 이런 경우 통증이나 냄새의 원인이 되고 인접 어금니까지 구강 질환이 번질 수 있기 때문에 주의하실 필요가 있어요.
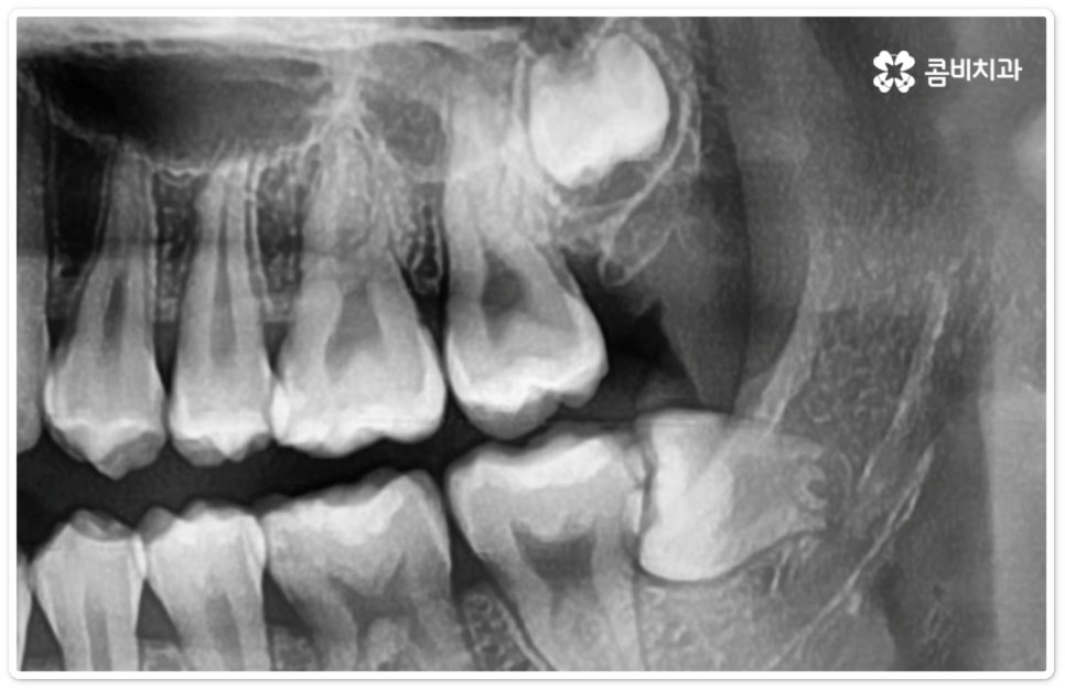
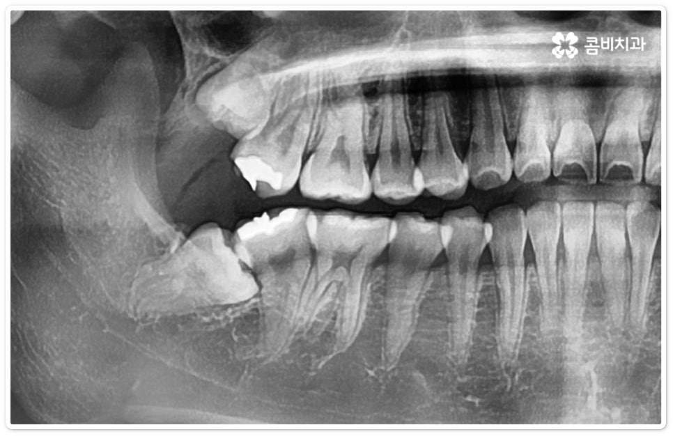
사랑니의 개수, 위치, 각도나 뿌리의 형태, 매복 깊이 등은 사람마다 다른데 그 중에서 특히 완전히 매복된 상태로 비스듬히 누운 채 자리잡은 아래 사랑니의 경우 턱을 가로지르는 하치조 신경과 가깝기 때문에 누운사랑니발치 시 신중을 기하지 않으면 혹시 모를 부작용인 감각 이상을 초래할 수 있으므로 뛰어난 해부학적 지식과 풍부한 임상 경험, 세심한 기술력을 가지고 있는 숙련된 의료진에게 치료를 받으시길 권유드리고 있어요. 혹시라도 신경 손상이 발생하게 되면 입술이나 턱이 마취된 듯 침이 흘러도 감각이 없거나 양치질을 할 때 물이 입술밖으로 세어나가는 상태가 유발될 수 있으니 조심해야 할 거예요.


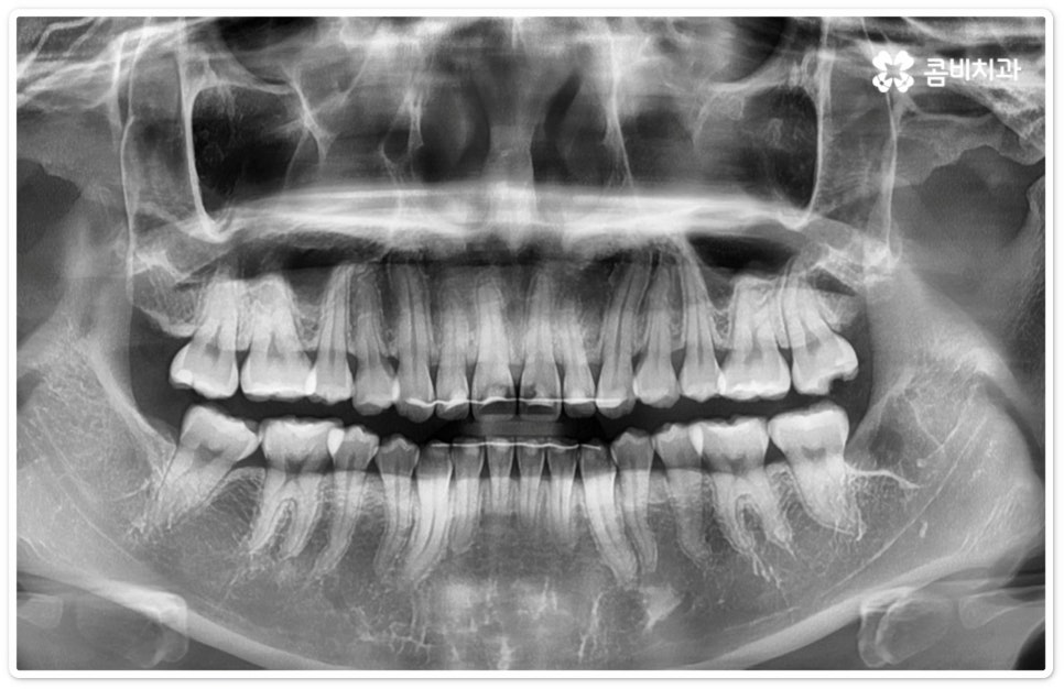
우리나라 사람 중에 약 7% 정도는 사랑니가 아예 없다고 하지만 보통 25세가 지났는데 사랑니가 나오지 않았다면 매복 사랑니이거나 누워있는 사랑니인 경우가 많으므로 정밀 검진을 받아보실 필요가 있는데요. 이때 염증을 지속적으로 유발하거나 음식물이 끼면서 관리가 잘 안 되면서 발생하는 충치 등 좋지 않은 영향을 주고 있다면 발치 처치를 해 주는 게 좋은데, 20대에 누운사랑니발치 를 진행하는 것이 40대 이후에 하는 것보다 통증 및 출혈도 덜하고 회복도 빠를 수 있으니 이를 염두에 두시길 바라고 있어요.
특히 40세 이상 성인분들의 경우 치아의 긴 뿌리가 완전하게 형성이 되어 있어 치근 유착이 심한 케이스가 있을 수 있으며 대부분 연령이 증가할수록 사랑니 주위 뼈가 단단해지고 탄력성이 감소하는 경향을 보이기 때문에 상황에 따라 무리하게 매복된 뿌리까지 발치할 경우 턱뼈가 부러지거나 신경이 손상되는 등의 합병증 위험이 증가하는 케이스에서는 치아 뿌리는 남긴 채 사랑니의 머리 부분만 잘라서 빼내는 치관절제술을 시행해야 할 수도 있는데요. 이런 경우 약 14%81%는 치관절제술 후 치아 뿌리가 상방으로 움직여서 잇몸 밖으로 노출이 되기 때문에 다시 치근을 제거하는 수술을 해주게 되는데, 환자분들의 입장에서는 수술을 두 번에 걸쳐 하기 때문에 거부감이 들 수 있으나 하치조 신경과의 거리를 벌린 후 완전히 제거하는 것이 통증 및 감염의 위험을 줄이는 보다 안전한 방법이므로 치관절제술 후 1달1년 정도의 시간을 두고 3D CT 촬영을 통해 다시 위치를 꼼꼼하게 확인한 후 치료 받으시길 권유드리고 있어요.


매복 형태의 사랑니는 잇몸을 절개하고 발치해야 하며, 특히 깊숙하게 누운사랑니발치 시에는 신경을 건드리지 않도록 사랑니를 조각내어 조심해서 빼내야 할 뿐 아니라 환자분들의 상태에 따라 잇몸뼈를 조금씩 삭제해야 할 수도 있기 때문에 이러한 고난도 시술에는 주변 조직의 손상을 최소화하고 혹시 모를 부작용의 위험을 줄이며 출혈 및 통증이 커지지 않도록 하기 위해서 시술자의 높은 숙련도가 더욱 요구된다고 할 수 있어요. 또한 매복된 사랑니의 각도, 뿌리 형태, 인접 치아와의 관계, 신경 위치 등을 정확하게 파악하고 체계적인 맞춤 계획을 세워 무리하지 않게 사랑니 발치 수술을 진행하기 위해서 정밀 진단이 가능한 3D CT 장비가 있는 치과에서 꼼꼼한 검사부터 받아보는 것이 중요할 거예요.
대부분의 환자분들이 치과에 대해 가지고 있는 두려움 중 많은 부분이 치아를 뽑아야 하는 상황과 관련되어 있는데요. 특히 누운사랑니발치 의 경우 말씀드린 것처럼 발치 전후로 해당 부위가 많이 부어오르고 피가 나며 통증과 멍 등을 동반하기도 하기 때문에 더욱 불안하게 생각하시고 치과 내원을 미루시는 분들도 있는데 안전하고 충분한 마취, 꼼꼼한 검진 및 각각의 케이스에 맞는 신중한 발치, 그리고 발치후 철저한 관리 및 환자분 입장에서의 주의사항 준수 등이 이행된다면 별다른 문제없이 시행할 수 있으니 너무 걱정하지 마시고 3D CT 등 정밀 검진 장비를 갖추고 처음부터 끝까지 면밀하게 케어해 주는 치과에서 숙련된 의료진과 함께 하시길 권유드리고 있어요.



누운사랑니발치 후 가장 먼저 신경써야 하는 것은 지혈로 1시간~1시간 30분 정도 거즈를 꽉 물고 있는 것이 좋으며 피를 빨지 않도록 주의하셔야 할 거예요. 압박한지 1시간 30분이 지났는데도 피가 멈추지 않는 경우 깨끗한 거즈로 갈아가면서 1시간 정도 더 지혈해 주실 필요가 있어요. 지혈이 제대로 되지 않으면 해당 부위의 회복이 느리고 감염 위험이 높아지기 때문에 혹시라도 혈액의 응고를 더디게 하는 약 (ex. 아스피린) 을 상용하시는 환자분이라면 미리 내과 의료진과 상의하여 발치 수술 전후로 며칠간 약을 중단하는 등 스케줄을 조정 하시는 게 좋을 거예요.
사랑니는 제 3 대구치, 즉 큰 어금니 중 하나이기 때문에 뿌리가 깊고 발치 구멍이 커서 이것이 새로운 잇몸뼈로 차기까지 어느 정도 시간이 걸리므로 (환자분들에 따라 다르지만 보통 잇몸뼈 회복에 6개월 정도 소요됨) 그동안 해당 부위를 막고 있는 딱지, 즉 혈병이 떨어지지 않도록 주의하지 않으면 감염이 일어날 수 있는데요. 제일 흔한 후유증 중 하나인 이러한 드라이소켓을 방지하기 위해서 사랑니를 뽑기 전에 미리 향후 발생 가능성이 있는 감염원을 제거하는 것이 필요하기 때문에 주변 치아에 충치나 잇몸 염증이 있다면 이를 먼저 치료하고 전체 구강 내 스케일링을 진행한 후 사랑니를 뽑는 것이 좋을 거예요. 발치 후 해당 부위 청결에도 특히 신경써야 하며 빨대를 사용하거나 침을 뱉는 등 입 속에 음압이 발생할 수 있는 행위는 삼가할 필요가 있습니다. 담배나 술 역시 회복을 더디게 하고 감염 위험을 높이므로 2주 정도는 금연과 금주를 권장하고 있어요.



사랑니를 뽑은 뒤에는 말씀드린 것처럼 붓기, 통증, 출혈 등의 다양한 증상이 동반될 수 있으며 위생 관리를 제대로 해주지 않으면 감염과 같은 합병증이 생길 수도 있는데요. 보통 붓기는 수술 후 48시간까지가 가장 심하고 이후부터는 점차 감소하므로 2일 정도는 붓기를 완화시키기 위해 냉찜질을 해 주고 이후에는 회복을 돕는 치유 성분이 피 속을 잘 돌 수 있도록 온찜질을 해 주는 것이 좋을 거예요. 의료진과 상의하여 수술 전부터 진통제를 먹어 두면 마취가 풀리는 시간에 맞춰 통증을 완화시킬 수 있으며 청결 유지가 중요하다고 해서 수술 부위를 세게 닦으면 다시 피가 날 수 있으니 너무 자극을 주지 말고 가글만 해주거나 끼인 음식물이 없도록 부드럽게 빼내준다는 느낌으로 닦아주시길 권유드리고 있어요.
발치 후 식사로는 너무 뜨겁거나 너무 차갑지 않은 유동식을 먹는 것이 좋으며 해당 부위 주변이 부어오르고 통증이 있어 불편하더라도 음식을 거르지 않고 드시는 것이 빠른 회복을 위해 도움이 되니 이를 명심하시길 바라고 있어요. 보통 상하좌우 4개의 사랑니가 있을 때 한꺼번에 다 발치하지 않고 오른쪽, 왼쪽 나누어 2개씩 진행하는 이유도 식사와 사후 관리를 위해서라고 할 수 있는데요. 만약 며칠이 지났는데도 통증이 감소하지 않고 오한 및 발열 등의 증상이 동반될 때는 드라이소켓과 같은 후유증일 수 있으니 바로 치과에 방문하여 꼼꼼하게 점검을 받아보실 필요가 있어요.
본 글은 콤비치과의 의료광고 포스팅입니다.
개인에 따라 출혈 및 부작용이 발생할 수 있고,
환자마다 치료 결과 및 기간이 상이할 수 있으므로,
정확한 치료 기간 및 치료 계획은
치과에서 상담을 받아보시길 권장 드립니다.
더 보기
이 병원의 공개 콘텐츠를 계속 살펴보세요
출처 아카이브로 돌아가 더 많은 글을 보거나, 병원 프로필로 이동해 다른 공개 채널도 함께 비교해보세요.