명동콤비치과의원 (명동)
중년치아교정 원한다면
의학의 발달로 기대 수명이 늘어나면서 청년, 중년, 노년 등 연령층을 구분하는 기준 나이 역시 좀 더 높아져야 한다는 의견이 많아지고 있습니다. 현대의 40~50대는 사회 생활을 활발히 하고 대인 관계가 많다는 측면에서 예전의 30대와 비슷하다고 볼 수 있는데요. 그래서인지 자기 관리의 일환으로 외모를...
아카이브 요약
이 페이지의 역할
명동콤비치과의원 (명동)의 네이버 블로그 원문을 보존한 아카이브 페이지입니다. 치아스토리♡ 카테고리의 중년치아교정 원한다면 글을 통해 병원의 한국어 정보 제공 방식과 진료 관련 안내 톤을 확인할 수 있습니다.
의학의 발달로 기대 수명이 늘어나면서 청년, 중년, 노년 등 연령층을 구분하는 기준 나이 역시 좀 더 높아져야 한다는 의견이 많아지고 있습니다. 현대의 40~50대는 사회 생활을 활발히 하고 대인 관계가 많다는 측면에서 예전의 30대와 비슷하다고 볼 수 있는데요.
그래서인지 자기 관리의 일환으로 외모를 가꾸고 치아 건강을 증진시키기 위해 중년치아교정 을 고려하시는 분들도 늘어나고 있어요. 치열이 삐뚤어지고 교합이 잘 맞지 않는다면 교정 치료를 통해 이를 바로잡아 저작 기능을 향상시키고 발음을 정확하게 할 수 있으며, 심미적으로도 호감가는 인상을 만들고 추후 치아 관리도 보다 수월하게 할 수 있도록 도움을 받을 수 있기 때문에 이에 대한 수요가 많아지고 있는 거예요.


특히 관련 기술이 발달하여 교정 치료에 대한 접근성이 높아지면서 과거 ‘교정은 성장기에 해야 하는 것이 아닌가’ 하는 인식도 조금씩 변화하고 있는데요. 일반적으로 치과에서 유치가 영구치로 바뀌는 혼합치열기인 초등학교 고학년부터 중학교 저학년까지의 청소년기에 교정 치료를 시작하는 것이 좋다고 권하는 것은 치아나 잇몸이 성장을 멈추지 않은 이때에 치아를 이동시키면 보다 빠르고 효율적인 결과를 얻을 수 있고, 부정교합의 경우 정상적인 성장을 유도하는데 기인하는 것이지 따로 교정 치료 적기가 정해져 있기 때문은 아니므로 중년치아교정 시기에 대해서 너무 걱정하실 필요는 없을 거예요.




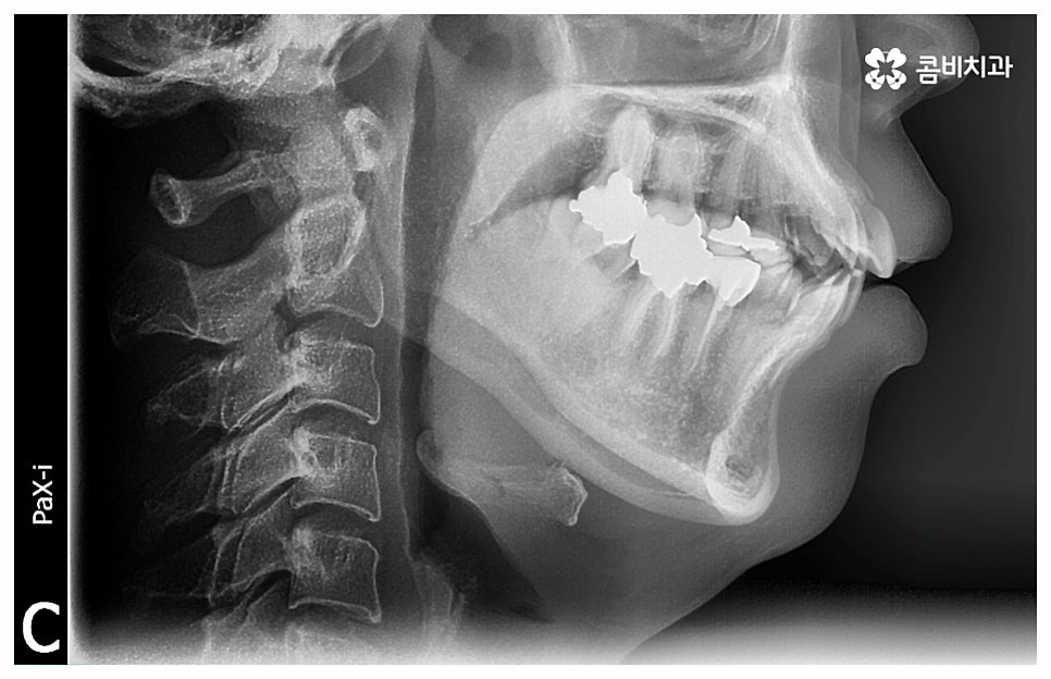
즉 중장년기에는 이미 골격이 완성된 상태이기 때문에 치아 이동 속도가 느려서 청소년기에 교정을 시작하는 것보다 전체 치료 기간이 조금 더 오래 걸릴 수 있으나 치아 교정이 아예 불가능한 것은 아니기 때문에 하고 싶다는 생각이 든다면 먼저 치과에 내원하셔서 자신의 상황에 대해 꼼꼼하게 검진부터 받아 보시길 권유드리고 있어요. 이때 3D CT 와 같은 정밀 검진 장비를 갖춘 치과라면 더욱 편안한 마음으로 검진 및 상담에 임하실 수 있을 거예요.
또한 중장년 분들은 젊은 분들에 비해 웃을 때 자연스럽게 윗니보다 아랫니가 더 많이 보이는 경향이 있기 때문에 아름다운 미소에 대해 생각하는 바가 다를 수 있는데요. 이런 경우 만약 치료 후 모습을 미리 예상해서 볼 수 있는 3D 모르페우스 장비가 있다면 상담을 할 때 치료의 목표나 한계에 대해 명확하게 설정하여 환자분들의 만족도를 보다 높일 수 있을 것이므로 치과를 선택하실 때 이런 부분도 잘 체크해 보시길 바라고 있어요.




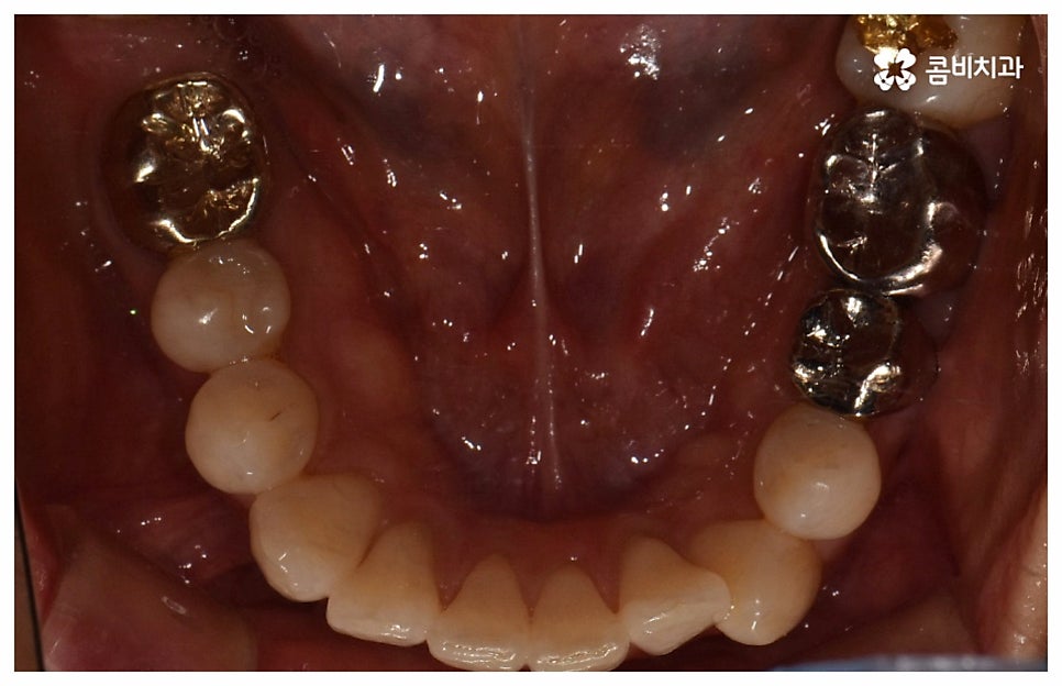
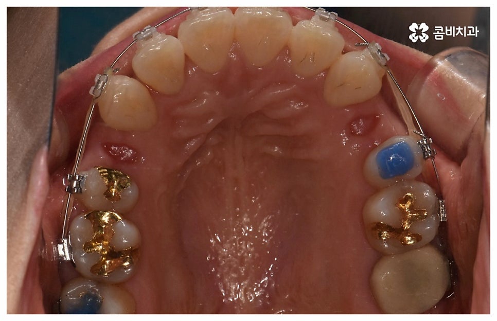
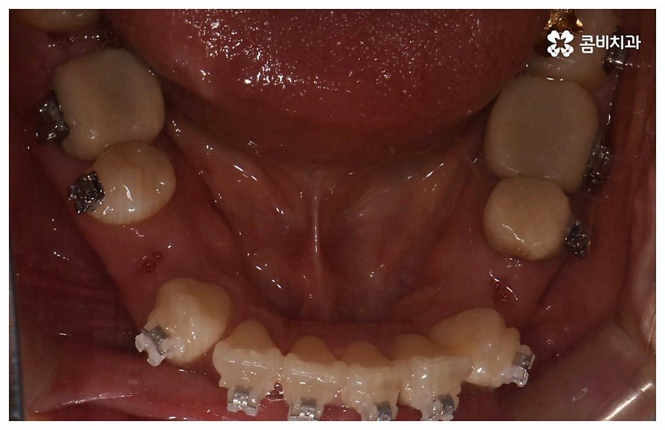
나이가 들어가면서 치아와 주위 조직들이 약해질 수 있고 치주 질환이 발생할 위험도 높아지기 때문에 중년치아교정 치료시 환자분들의 상황에 따른 맞춤 진료를 더욱 세심하게 진행할 필요가 있어요. 교정 방법이나 주의점에 대해서 꼼꼼하게 확인하고 계획을 세워야 할 뿐 아니라 교정 치료 전에 충치나 잇몸병과 같은 구강 질환이 발견되었다면 이를 미리 깨끗하게 치료하고 진행 과정 중간에도 장치에 음식물 찌꺼기가 끼지 않도록 위생 관리를 철저하게 해주며 치료 후 치아와 잇몸이 약해지지 않도록 환자분들 각각의 치아 이동 속도에 따라 무리하지 않는 것이 중요한 포인트라고 할 수 있습니다.
이때 환자분들에 따라 치열을 가지런하게 만들기 위한 구강 내 공간이 부족하다면 발치를 해야하는 경우도 있는데 혹시 평상시 상용하는 약이 있는 분들은 미리 의료진에게 얘기하고 복용 스케줄을 조절 하시는 게 좋을 거예요. 또한 골다공증이나 관절염, 당뇨 등 만성 질환을 앓고 있는 분들의 경우 치아 이동 속도가 더욱 더딜 수 있으므로 이에 대해서도 충분히 인지하실 필요가 있어요.




이와 같이 자연스러운 노화로 인한 변화를 주의깊게 신경쓰면서 충분한 시간을 들여 치아를 이동시키는, 다양한 임상 경험이 풍부한 숙련된 의료진이 처음부터 끝까지 세심하게 케어하는 치과에서 함께 하신다면 중년치아교정 치료를 받는 것을 크게 걱정하실 필요는 없을 거예요. 또한 요즘은 정기 검진 및 스케일링 치료와 같은 평상시 관리의 중요성에 대해 정확하게 인지하고 이를 꾸준하게 해주시는 분들이 늘어나 전반적으로 구강 건강 상태의 양호도가 상향되었기 때문에 40~50대 중년치아교정 치료를 받으시는 데 별 무리가 없는 경우가 많으니 ‘이 나이에 교정은 안될 거다’ 라고 지레 포기하지 마시고 검진과 상담부터 차근차근 받아보시길 권유드리고 있어요.


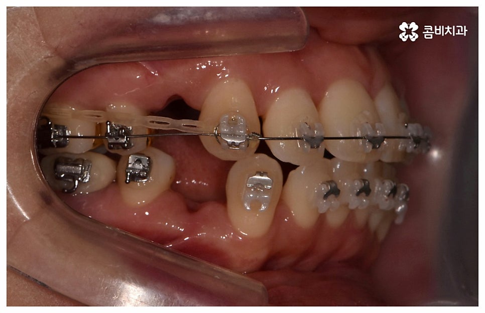
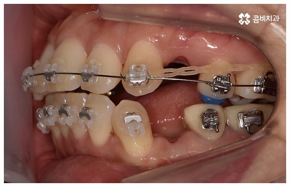
교정의 경우 보통 1년 반에서 2년 정도로 짧지 않은 기간이 걸리기 때문에 장치가 겉으로 드러나는 것에 대해 부담을 느끼시는 중장년분들이 많이 있습니다. 하지만 환자분들의 상황에 따라 부정 교합 정도가 심각하지 않고 골격적인 원인이 크지 않다면 6~8개월 정도 소요되는 부분 교정으로 필요한 부위만 보다 빠르고 간편하게 바로잡을 수 있으니 먼저 검진부터 진행해 보시길 권유드리고 있어요.
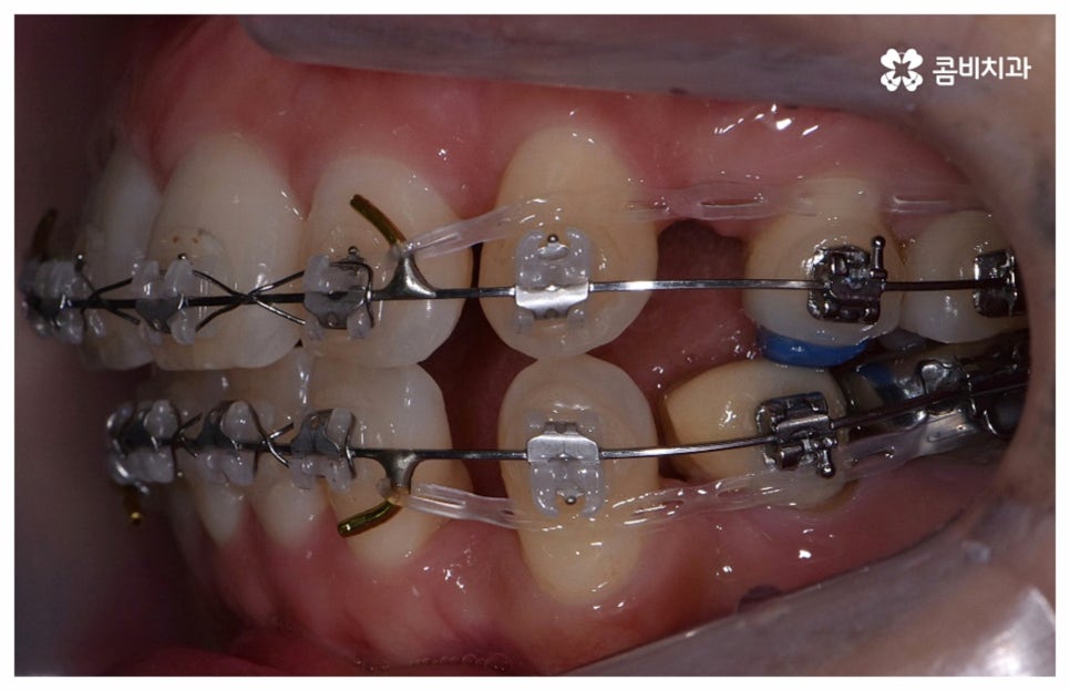
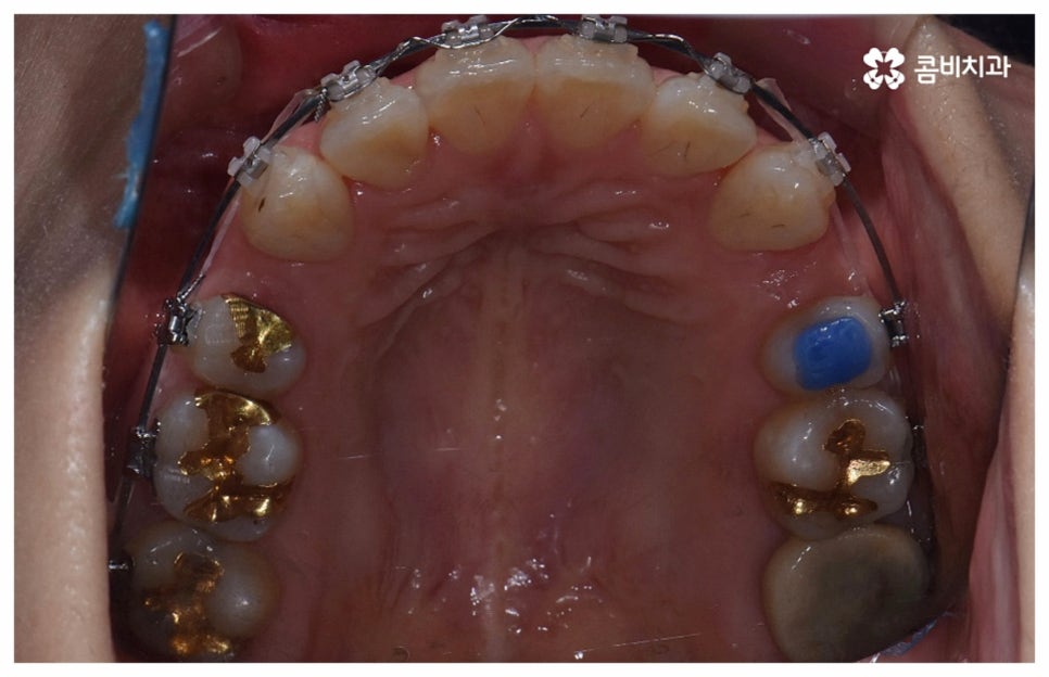
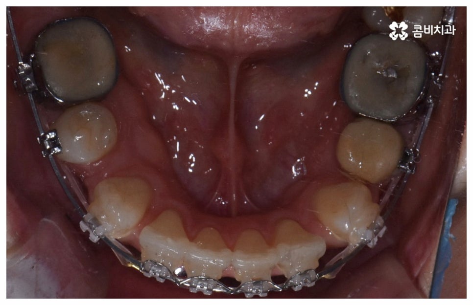
검진 후 부분 교정이 가능하지 않은 케이스라고 해도 요즘은 심미적인 교정 장치가 많이 나와 있으며 장치 자체로 인해 결과에 미치는 영향이 크지 않기 때문에 자신의 상황에 맞는 장치를 직접 선택할 수 있으니 의료진과 충분히 상담을 해 보시면 도움 받아 보실 수 있을 거예요. 특히 치아 색상의 브라켓을 이용한 세라믹 장치들이 심미성이 뛰어난데, 그 중에서도 자가결찰방식을 이용한 클리피씨 교정 장치를 이용하면 눈에 크게 띄지 않을 뿐 아니라 보다 적은 힘으로 부드럽고 지속적인 치아 이동을 가능하게 하기 때문에 통증도 줄이고 전체 교정 기간 역시 단축시킬 수 있다는 장점이 있으니 이에 대해서도 자세하게 알아보시길 바라고 있습니다.




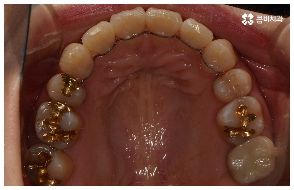
교정 치료 후 가지런해진 치열을 보다 오랜 기간 건강하게 사용하기 위해서는 적절한 기간 동안 유지 장치를 잘 착용해 주어야 하며 정기 검진 및 스케일링 치료 등을 꼬박꼬박 받아줄 필요가 있어요. 유지 장치의 종류는 치아 뒷면에 가느다란 철사를 부착 시키는 고정식과 치아 전체를 감싸 고정하는 가철식 (뺐다 꼈다 하는 방식) 두 가지로 나눌 수 있는데요. 고정식 장치의 경우 치석으로 인해 충치나 잇몸 질환이 발생할 수 있다는 점을 주의해야 하고 가철식 장치는 일정 시간 착용해야 효과가 있다는 점을 주의해야 하므로 환자분들의 상황에 맞춰 적합한 장치를 사용하면 좋을 거예요.
본 글은 콤비치과의 의료광고 포스팅입니다.
개인에 따라 출혈 및 부작용이 발생할 수 있고,
환자마다 치료 결과 및 기간이 상이할 수 있으므로,
정확한 치료 기간 및 치료 계획은
치과에서 상담을 받아보시길 권장 드립니다.
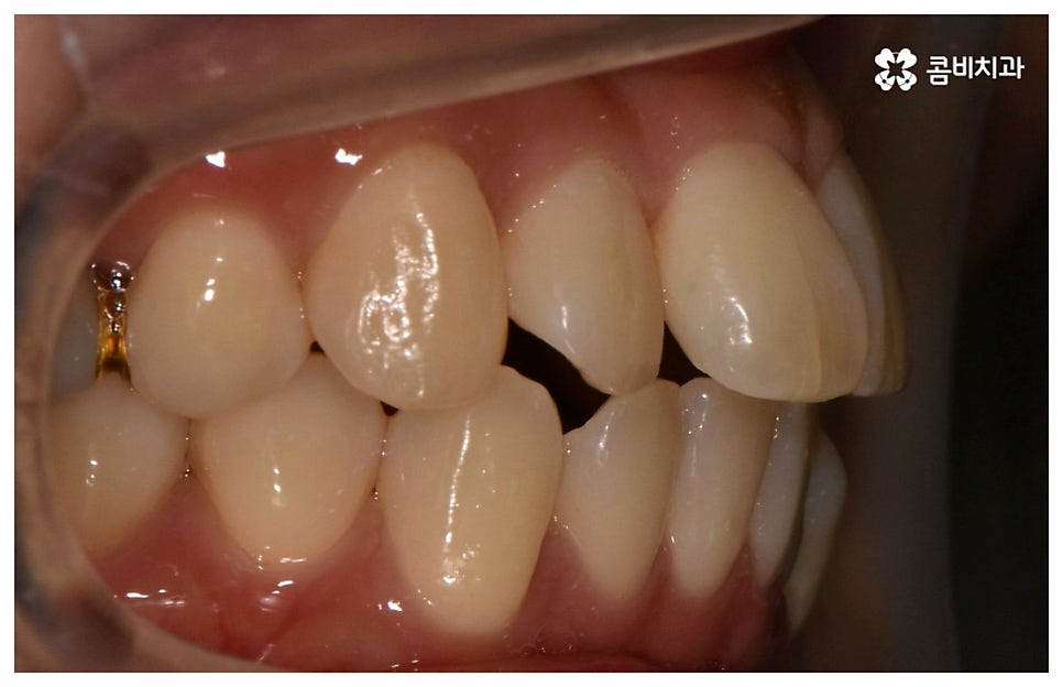
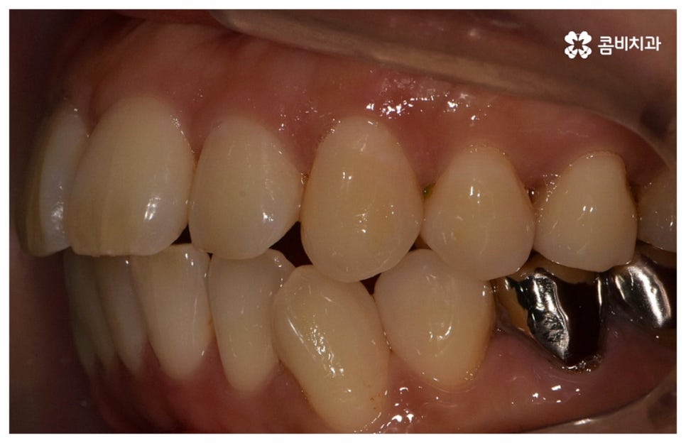
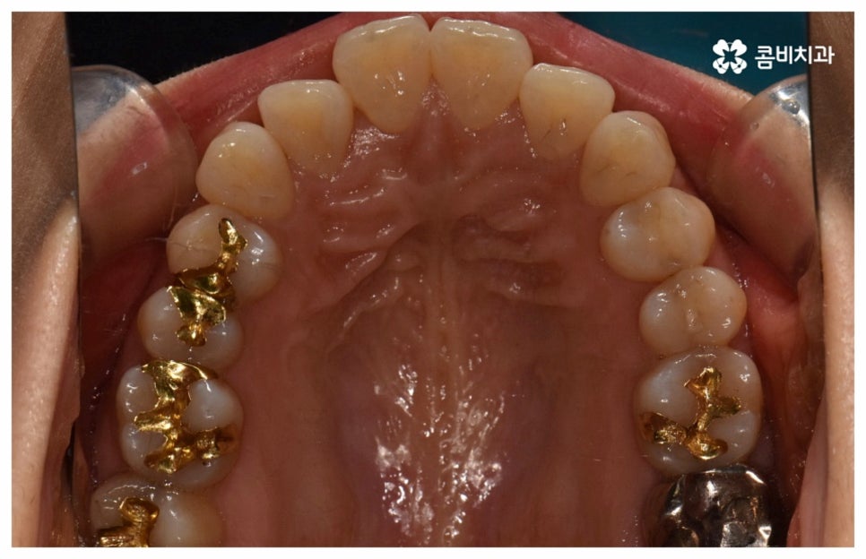
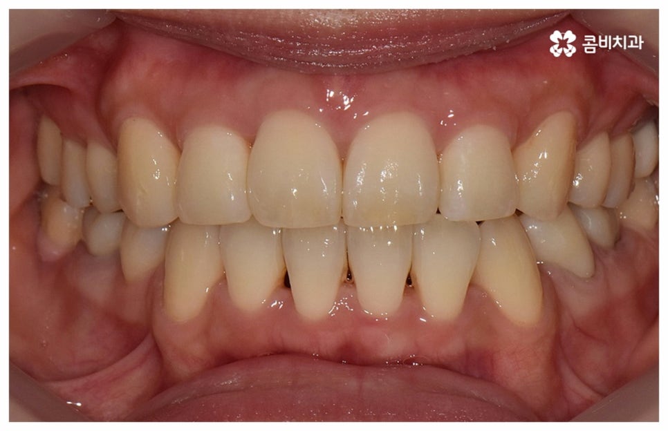
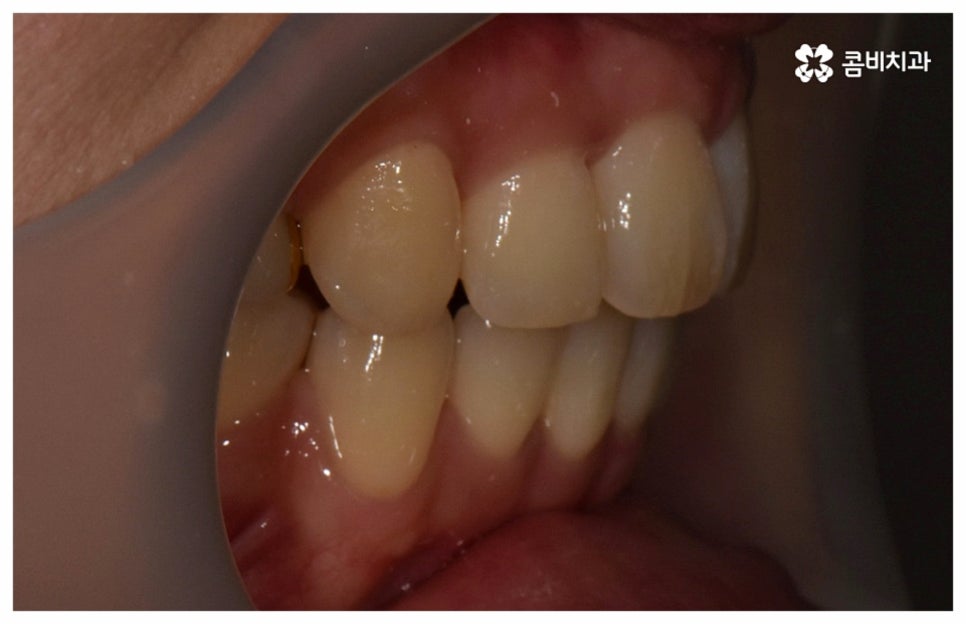
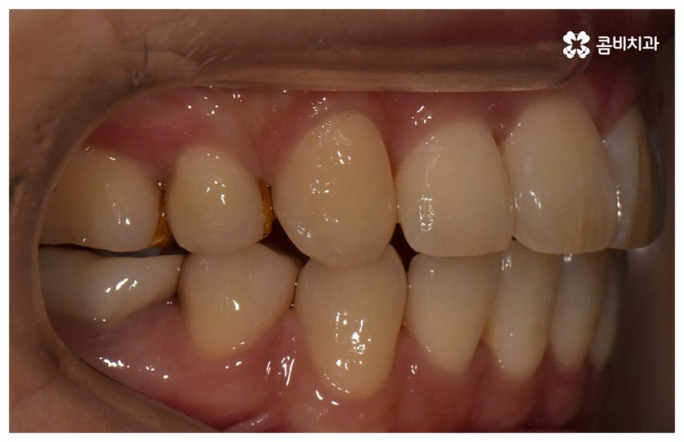
위 사진은 환자분의 동의를 받아 이해를 돕기 위한
사진이며, 실제 치료 결과는 다를 수 있습니다.
더 보기
이 병원의 공개 콘텐츠를 계속 살펴보세요
출처 아카이브로 돌아가 더 많은 글을 보거나, 병원 프로필로 이동해 다른 공개 채널도 함께 비교해보세요.