아카이브 요약
이 페이지의 역할
명동콤비치과의원의 네이버 블로그 원문을 보존한 아카이브 페이지입니다. 치아스토리♡ 카테고리의 전악임플란트 고려할 사항들은 글을 통해 병원의 한국어 정보 제공 방식과 진료 관련 안내 톤을 확인할 수 있습니다.
원문 검증
필요하면 원문 블로그와 병원 프로필로 바로 이동해 문맥을 다시 확인할 수 있습니다.
출처 아카이브 열기아카이브된 블로그 글
명동콤비치과의원 · Naver Blog
치아는 기본적으로 우리가 삼시세끼 식사를 할 때 음식물을 잘게 잘라 소화를 돕는 저작 기능을 담당하기 때문에 일상 생활을 하는데 매우 중요하다고 할 수 있습니다. 또한 말을 할 때 분명한 발음을 할 수 있도록 해 주며 아래턱의 윤곽을 잡아주고 웃을 때 보기 좋은 인상을 만드는 등 심미적인 기능도 하고 있기...
게시일
2023년 4월 14일
원문 기준으로 확인된 발행일입니다.
카테고리
치아스토리♡
원문 블로그 카테고리를 정리해 함께 표시합니다.
이미지 수
14
현재 아카이브에 연결된 이미지 수입니다.
아카이브 요약
명동콤비치과의원의 네이버 블로그 원문을 보존한 아카이브 페이지입니다. 치아스토리♡ 카테고리의 전악임플란트 고려할 사항들은 글을 통해 병원의 한국어 정보 제공 방식과 진료 관련 안내 톤을 확인할 수 있습니다.
원문 검증
필요하면 원문 블로그와 병원 프로필로 바로 이동해 문맥을 다시 확인할 수 있습니다.
출처 아카이브 열기치아는 기본적으로 우리가 삼시세끼 식사를 할 때 음식물을 잘게 잘라 소화를 돕는 저작 기능을 담당하기 때문에 일상 생활을 하는데 매우 중요하다고 할 수 있습니다. 또한 말을 할 때 분명한 발음을 할 수 있도록 해 주며 아래턱의 윤곽을 잡아주고 웃을 때 보기 좋은 인상을 만드는 등 심미적인 기능도 하고 있기 때문에 만약 노화나 구강 질환, 예상치 못한 사고 등으로 자연 치아를 상실하게 된다면 여러 가지 어려움이 따를 수 있는데요.
특히 한 두 개가 아니라 대부분의 치아를 잃게 되었을 때는 식사를 할 때 문제가 생겨 살아가는 데 필요한 영양소를 제대로 공급받지 못할 가능성이 높아질 뿐 아니라 장기적으로 소화 불량, 위장 장애 등을 겪을 수 있어요. 잘 씹지 못하면 치매에 걸릴 수 있다는 연구 결과도 있기 때문에 무심하게 넘어가시면 안 될 거예요. 또한 치아 상실을 오랜 시간 방치하면 잇몸뼈가 흡수되고 주변 치열이 쓰러지는 등 교합이 어긋날 수 있으며 얼굴 균형이 달라지는 등 심미적으로도 좋지 않은 영향을 받을 수 있어서 될 수 있는대로 빨리 이를 대체해 주실 필요가 있어요.



이럴 때 예전에는 틀니나 브릿지 시술을 많이 이용했었어요. 틀니는 잃어버린 치아의 기능성을 좀 더 빠르게 회복할 수 있다는 장점을 가지고 있으나 가철식이기 때문에 사용 중 흔들리고 탈락할 위험이 높다는 단점을 가지고 있어요. 또한 잇몸에 얹어서 사용하는 구조이기 때문에 저작시 통증이나 불편함이 있을 수 있고 장기간 사용할 경우 잇몸뼈가 흡수되거나 안모 변화가 일어날 수 있어 주의할 필요가 있습니다.
브릿지 역시 보다 빠른 기능적 심미적 회복을 할 수 있는 방법이지만 양 옆 치아를 조금씩 삭제하고 걸쳐주는 구조이기 때문에 상실된 치아 주변 치아가 멀쩡한 경우 아무래도 이를 갈아내는 것이 망설여지고 또한 3개의 치아가 받을 힘을 2개의 치아가 받게 된다는 점에서 저작력이 가중될 수 있어요.


요즘은 대부분 치아 상실에 대한 대처 방법으로 임플란트 시술을 많이 이용하시고 있는데요. 임플란트란 턱뼈와 잘 결합하고 부작용이 없는 티타늄으로 인공치근을 만들어 잇몸뼈에 직접 식립한 뒤 중간 지대 부분, 맨 위 크라운 보철물을 차례대로 연결하여 자연 치아의 기능적 심미적 대체를 해주는 인공 치아를 의미하는 거예요. 고정력이 강하여 저작력 회복 정도가 좋기 때문에 (자연 치아 대비 80~90% 정도) 틀니보다 사용이 편하고 식사를 할 때 특별히 조심해야 하는 음식물이 많지 않아 삶의 질이 크게 떨어지지 않는다는 점에서 거의 자신의 치아와 다름없다는 장점을 가지고 있어요. 심미적으로도 주변 치아와 별로 달라보이지 않는다는 점에서 만족도가 높은 편이기에 연간 50만명에 이르는 환자들이 임플란트 시술을 받을 정도로 널리 사용되고 있습니다.
비용적인 부담이 만만치 않다고 생각하실 수 있으나 관리만 잘해준다면 거의 반영구적으로 사용할 수 있기 때문에 수명이 비교적 짧아 자주 교체해 주어야 하는 틀니에 비해 장기적인 관점에서 볼 때 오히려 합리적인 선택이 될 수도 있어요. 만 65세 이상 부분무치악 건강 보험 가입자의 경우 평생 2개까지 자기 부담금 30%라는 저렴한 비용으로 임플란트 시술을 이용해 볼 수 있으니 이에 대해서도 잘 알아보시면 도움이 될 거예요.



이때 환자분들의 상황에 따라서 임플란트 시술이 어려운 분들도 있을 수 있고 시술 전에 다른 치료를 선행해야 하는 분들도 있을 수 있기 때문에 먼저 꼼꼼하게 검진을 받아보실 필요가 있습니다. 특히 대다수의 치아를 잃어버리고 전악임플란트 를 진행하시는 분들의 경우 원인에 따라서 대처 방법이 다를 수 있는데요.
예를 들어 사고를 통해 한꺼번에 여러 개의 치아가 부러지거나 빠진 경우 연령 또는 전신 질환 여부 등을 살펴보고 치조골 상태가 양호하다면 보다 빠르고 간편한 당일 식립 방식을 이용해 볼 수 있어요. 그러나 하나 둘씩 치아가 빠질 때 마다 제때 치료를 해 주지 않아 치료 시기를 놓치고 결과적으로 무치악 상태에 이른지 오래 된 경우 또는 틀니를 오래 착용하여 잇몸뼈가 이미 많이 내려앉은 경우라면 바탕이 되는 잇몸뼈를 보충해 준 후 식립을 진행하는 방식을 이용해야 할 거예요.
또한 상악동과의 거리가 짧다면 거상술을 선행해야 할 수도 있고 심각한 치주 질환이 원인이라면 이를 먼저 깨끗하게 치료해 준 후 식립을 진행해야 성공률 또는 지속률이 높아질 수 있어요.


언급했던 임플란트 건강 보험 혜택의 경우 이러한 선치료들은 대상 범위에 포함되지 않으나 결국 자신의 자연 치아를 대신하여 보다 오랜 기간 동안 건강하게 사용할 수 있는 인공 치아를 식립하는 시술인 만큼 필요한 치료가 있다면 이에 대해 잘 알아보시고 도움 받아 보시길 바라고 있어요.
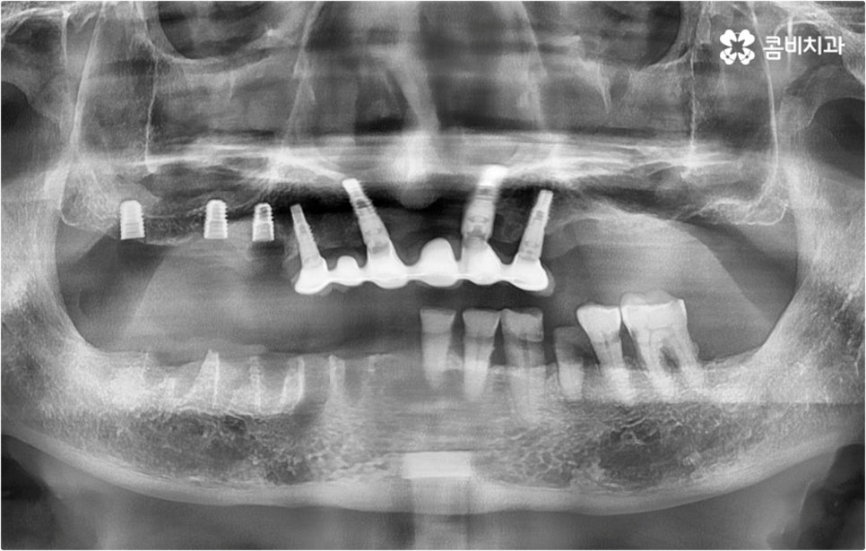
모든 치아를 상실하신 분들의 경우 전악임플란트 를 하게 되는데 이 역시 현재 임플란트 건강 보험 혜택 대상에서 제외되어 있습니다. 그러나 예전부터 임플란트 보험 혜택 대상 범위가 꾸준하게 늘어나 왔고, 국민 건강 증진과 구강 건강이 밀접하게 연관되어 있다는 것을 국가에서도 충분히 인지하고 있으며 앞으로 임플란트 건강 보험 혜택 대상을 더욱 넓혀 완전무치악 환자에게도 적용할 예정이라고 보건복지부에서 발표한 만큼 확정 적용 시기가 언제가 될지 관심을 가지고 지켜보시면 좋을 거예요.


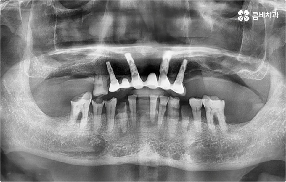
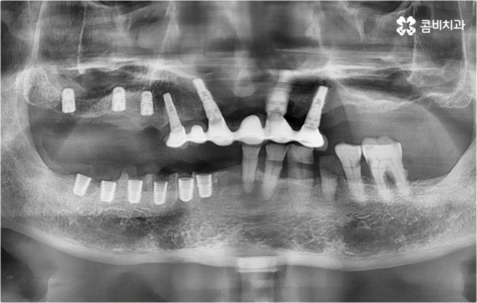
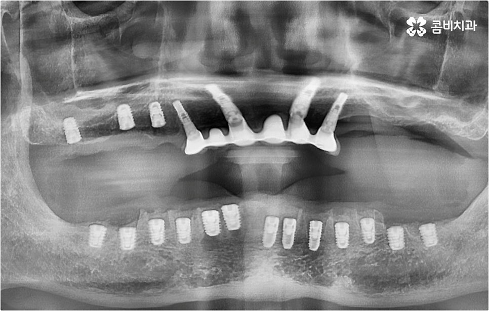
아무 것도 없는 상태에서 제대로 저작 기능을 발휘할 수 있도록 다시 구강 내부를 재현하는 전악임플란트 는 굉장히 고난도에 속하는 치료이기 때문에 충분한 임상 경험을 가지고 있는 숙련된 의료진과 함께 하실 필요가 있어요. 전악임플란트 방식이 빠진 영구치 자리마다 다 임플란트를 식립하는 것이 아니라, 상하악 각각에 8~12개 정도로 필요한 최소한의 인공 치근을 심고 그 사이 사이는 브릿지 방식으로 보철물을 연결하는 것이기 때문에 저작력을 골고루 분담하여 안정적인 지속성을 높일 수 있도록 환자 개개인의 상태에 맞게 인공 치근의 위치, 각도, 간격, 심는 깊이 등을 세밀하게 설정하여 교합을 제대로 맞출 수 있는 시술자의 뛰어난 기술력과 풍부한 노하우가 요구되는 거예요.
또한 이를 위해서 치아 주변 조직과의 거리나 잇몸뼈 높이, 밀도 등을 정확하게 파악할 수 있도록 도와주는 3D CT와 같은 정밀 진단 장비를 갖추고 환자분들의 상황에 맞는 계획을 세워 무리하지 않게 진행할 수 있는 체계적인 시스템을 운용하는 치과에서 임플란트 시술을 받으실 필요가 있어요. 만약 치과내 자체 기공소를 갖추고 있다면 보철물 제작에 대한 피드백이 보다 빠르게 전달, 반영될 수 있어 환자분들이 이용하시기에 좀 더 편안하실 거예요.


임플란트 수술 후 발생할 수 있는 혹시모를 부작용 중 가장 대표적인 것은 주변 잇몸에 염증이 생기는 거예요. 임플란트 치아는 구조상 자연 치아와 다르게 자연스럽게 움직이면서 충격을 흡수하는 치주 인대가 없는 만큼 갑작스럽게 큰 힘이 가해질 수 있는 너무 딱딱한 음식을 씹으면 잇몸에 부담이 가서 피가 나거나 부어 오를 수 있으며, 주변 위생을 청결하게 유지하지 않으면 세균이 증식하여 염증이 생길 수 있으니 항상 잇몸 건강 상태를 양호하게 관리하는데 신경쓰실 필요가 있어요.
이러한 사후 관리 역시 임플란트 치아의 수명에 큰 영향을 미치는 만큼 정기 검진 및 스케일링 치료를 꾸준하게 받을 수 있도록 스케줄 관리를 철저하게 해주는 치과에서 전악임플란트 시술 받으시길 권유드리고 있습니다.
본 글은 콤비치과의 의료광고 포스팅입니다.
개인에 따라 출혈 및 부작용이 발생할 수 있고,
환자마다 치료 결과 및 기간이 상이할 수 있으므로,
정확한 치료 기간 및 치료 계획은
치과에서 상담을 받아보시길 권장 드립니다.