아카이브 요약
이 페이지의 역할
명동콤비치과의원의 네이버 블로그 원문을 보존한 아카이브 페이지입니다. 치아스토리♡ 카테고리의 반대교합교정 늦지 않았어요 글을 통해 병원의 한국어 정보 제공 방식과 진료 관련 안내 톤을 확인할 수 있습니다.
원문 검증
필요하면 원문 블로그와 병원 프로필로 바로 이동해 문맥을 다시 확인할 수 있습니다.
출처 아카이브 열기아카이브된 블로그 글
명동콤비치과의원 · Naver Blog
위아래 치열이 제대로 맞물리지 않으면 음식물을 씹을 때 어려움을 느끼거나 발음상 문제가 생길 수 있습니다. 이것을 부정교합이라고 하며, 그 종류는 상악과 하악의 골격적인 전후방 관계를 기준으로 1급, 2급, 3급으로 나눌 수 있어요. 위아래 어금니는 잘 맞물리는데 치열이 조금씩 삐뚤어져 있거나 치아 사이가...
게시일
2023년 4월 18일
원문 기준으로 확인된 발행일입니다.
카테고리
치아스토리♡
원문 블로그 카테고리를 정리해 함께 표시합니다.
이미지 수
14
현재 아카이브에 연결된 이미지 수입니다.
아카이브 요약
명동콤비치과의원의 네이버 블로그 원문을 보존한 아카이브 페이지입니다. 치아스토리♡ 카테고리의 반대교합교정 늦지 않았어요 글을 통해 병원의 한국어 정보 제공 방식과 진료 관련 안내 톤을 확인할 수 있습니다.
원문 검증
필요하면 원문 블로그와 병원 프로필로 바로 이동해 문맥을 다시 확인할 수 있습니다.
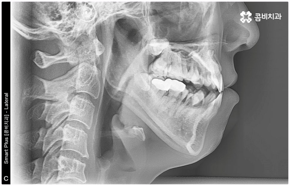
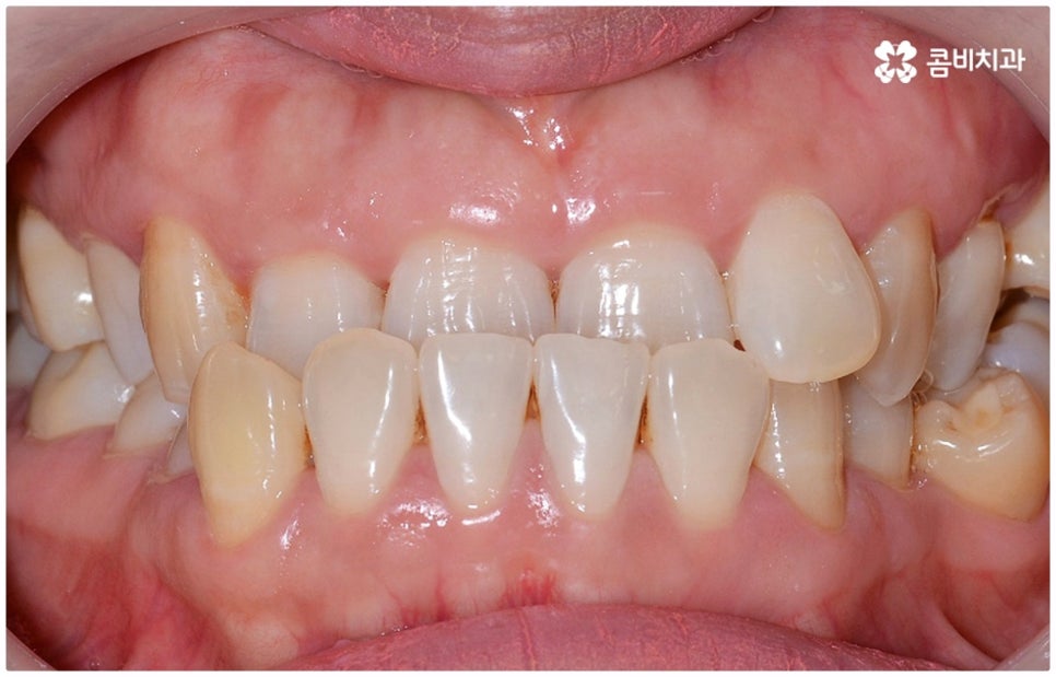
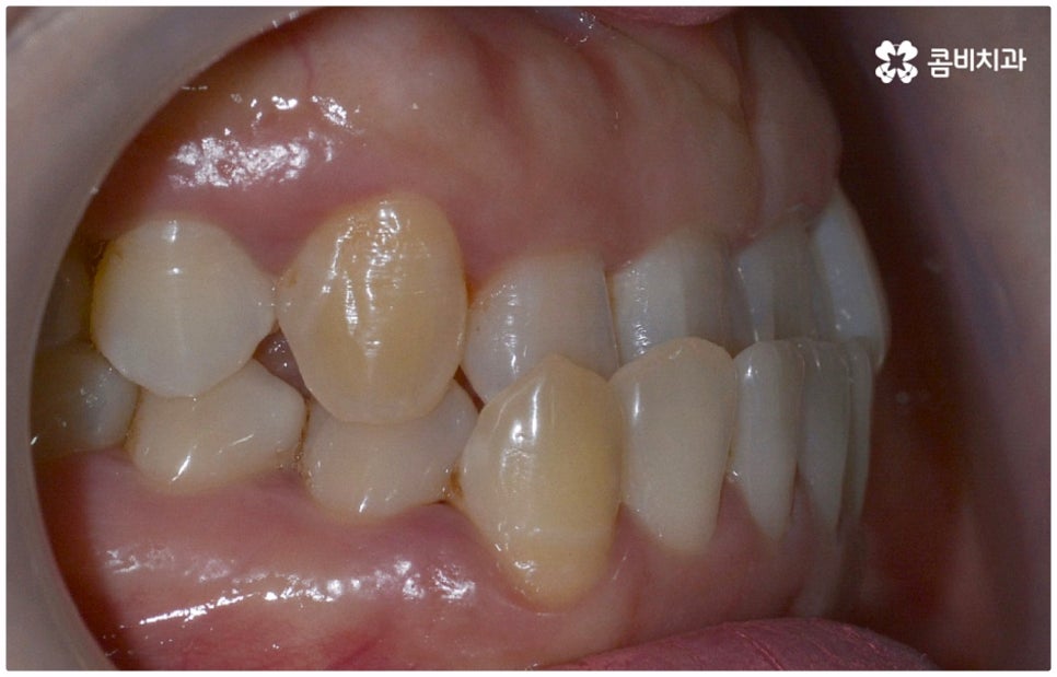
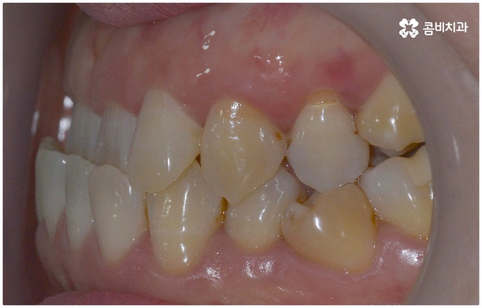
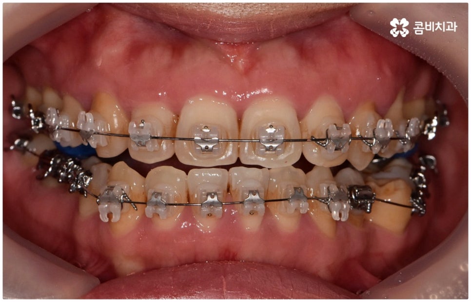
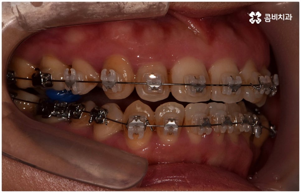
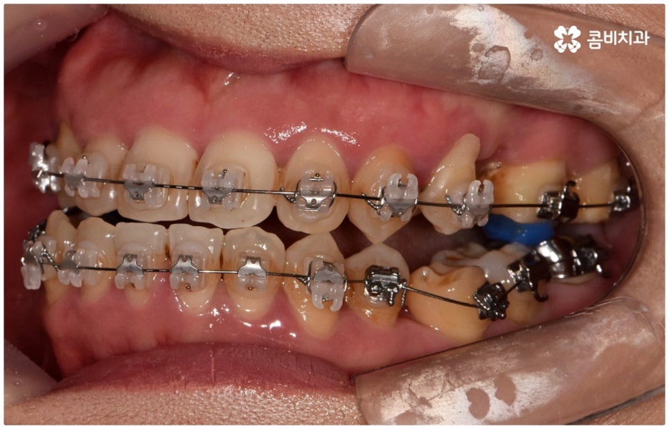
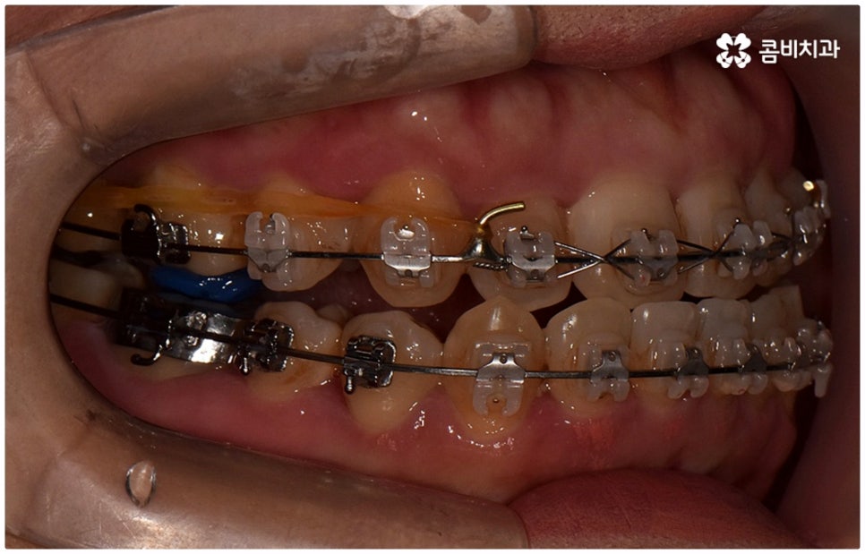
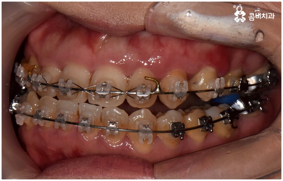
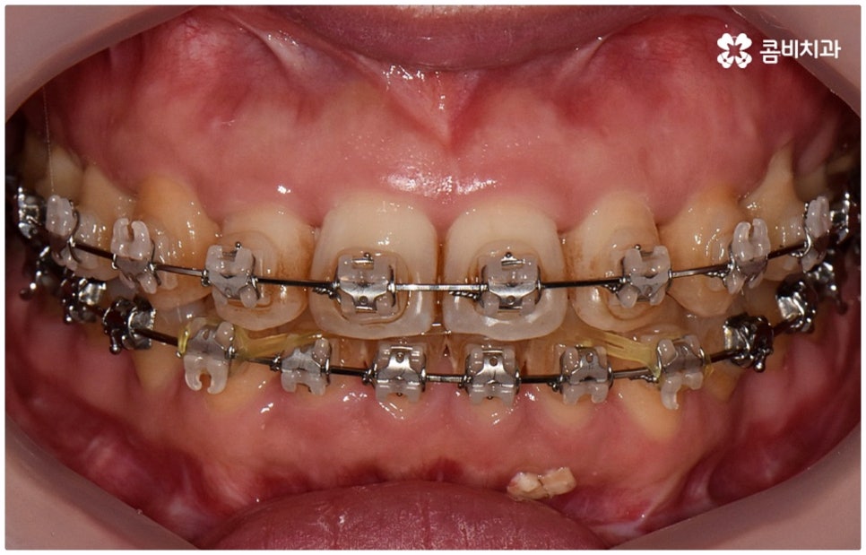
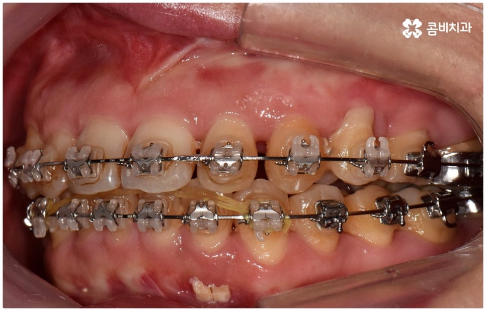
출처 아카이브 열기위아래 치열이 제대로 맞물리지 않으면 음식물을 씹을 때 어려움을 느끼거나 발음상 문제가 생길 수 있습니다. 이것을 부정교합이라고 하며, 그 종류는 상악과 하악의 골격적인 전후방 관계를 기준으로 1급, 2급, 3급으로 나눌 수 있어요. 위아래 어금니는 잘 맞물리는데 치열이 조금씩 삐뚤어져 있거나 치아 사이가 벌어져 있는 등 살짝씩 어긋난 부정교합은 1급, 위 어금니가 더 앞으로 나가있는 부정교합은 2급 (ex. 돌출입), 그리고 아래 어금니가 더 앞으로 나가있는 부정교합은 3급 (ex. 주걱턱) 으로 분류하게 되는데 이 중 오늘 살펴보려고 하는 것은 부정교합 3급에 해당하는 반대교합에 대한 거예요.
정상적인 교합은 윗 앞니가 아래 앞니를 살짝 덮는 정도로 윗니가 조금 더 앞으로 나와 있으면서 위아래 치아가 어금니까지 잘 맞물리는 것을 말하는데 반대교합은 위아래 앞니가 거꾸로 물리는 증상을 보이기 때문에 저작 활동 및 발음 조성이 원활하지 않게 되며 반대교합교정 등 적절한 치료를 받지 않고 방치할 경우 점점 더 주걱턱이 강화되는 쪽으로 뼈가 성장할 수 있어 될 수 있는 대로 빠른 시일 내에 원인을 분명하게 알아보고 그에 맞는 치료를 받는 것이 중요하다고 할 수 있어요.


반대교합의 원인은 크게 유전적인 원인과 후천적인 원인으로 나눌 수 있습니다. 골격적으로 상악보다 하악이 과성장하게 된 경우, 상악이 하악보다 열성장하게 된 경우를 골격성 반대교합이라고 하며 부모님께서 소위 말하는 주걱턱을 가지고 있다면 유전적으로 30% 정도 아이에게도 이러한 성향이 나타날 수 있으니 어릴 때부터 아이의 치열에 관심을 가지고 유치든 영구치든 상관없이 위아래 앞니가 거꾸로 물리는 현상이 나타나면 바로 치과로 가셔서 검진 및 반대교합교정 치료를 받아볼 수 있도록 도와주시길 권유드리고 있어요.
관련 기술이 많이 발달하면서 교정 치료에 나이가 크게 중요하지 않게 된 것은 사실이지만 골격적인 원인을 가진 반대교합의 경우 말씀드린 것처럼 일상 생활을 하는데 크게 불편함을 초래할 수 있을 뿐 아니라 성장하면서 부정교합이 더욱 악화되는 쪽으로 상하악 발달이 불균형적으로 이루어질 수 있기 때문에 다른 부정교합에 비해 조금 더 빠른 시기에 진단과 치료를 진행할 필요가 있어요. 만약 성장기가 지나 정도가 심해지는 쪽으로 뼈가 굳어지게 된다면 교정 만으로 치료가 어렵고 양악 수술 등 외과적인 방법을 통해 치료를 받아야 하는 상황이 생길 수 있으므로 치료 시기를 놓치지 말고 원인을 정확하게 파악하고 그에 맞는 치료를 받는 것이 중요하다고 할 수 있습니다.



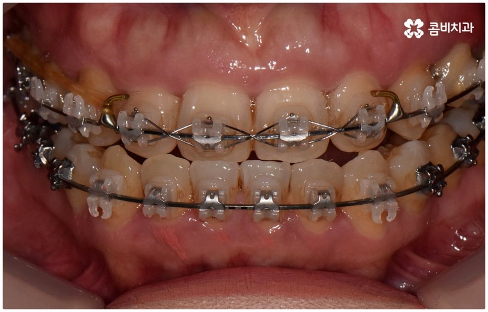
골격적인 원인으로 인한 것이라면 반대교합교정 치료를 할 때 위턱의 성장을 유도하고 상대적으로 아래턱 성장을 저지하는 방향으로 상악과 하악의 위치 관계를 개선하는 방법을 사용하게 되며 환자분들의 상황에 따라 악궁확장장치 또는 페이스마스크 등의 장치를 이용하게 되는데, 이렇게 골격적인 부분에 크게 영향을 받은 경우 재발의 가능성 역시 높기 때문에 어릴 때 교정 치료를 시작하여 치열이 고르게 돌아왔다고 해도 성장이 완료되는 시기까지 꾸준하게 관리를 해 줄 필요가 있어요.
치아는 원래 자리로 돌아가려는 성향을 가지고 있기 때문에 어떤 상황에서든 교정 치료 후 사후 관리를 철저하게 해 주는 것이 굉장히 중요하다는 말씀을 빼놓지 않고 드리고 있는데 이러한 항상성은 사람마다 정도가 다르긴 하지만 특히 유전적인 원인으로 생긴 부정교합의 경우 말씀드린 것처럼 재발 가능성이 다른 상황보다 크기 때문에 이를 더욱 유념하셔서 유지 장치를 잘 착용하고 꼬박꼬박 정기 검진을 받아 주시길 강조드리는 거예요.



골격적인 원인이 아니라면 위턱과 아래턱의 위치나 크기에는 이상이 없는데 치아의 맹출 각도 및 방향의 문제로 인해 치아가 반대로 맞물리게 된 치성 반대교합에 해당하는 경우라고 할 수 있는데요. 그 원인으로는 선천적인 치열의 문제 (아래턱 앞니 치축이 앞으로 기울거나 위턱 앞니 치축이 뒤로 들어감), 유치가 너무 빨리 빠지고 영구치가 자리를 제대로 잡지 못해 생긴 문제, 후천적인 습관 (혀를 내밀거나 손톱을 깨무는 등 치열에 좋지 않은 영향을 주는 행위를 지속적으로 반복) 으로 인한 문제 등등을 살펴볼 수 있으며, 보통 이런 경우 앞니 4~6개 치아 일부에 국한된 문제이기 때문에 보다 빠르고 간단하게 교정 치료가 가능하므로 꼭 성장기에 치료를 시작하지 않고 성인이 된 후라고 해도 비교적 쉽게 개선이 될 수 있습니다.
반대교합의 경우 보통 두 원인이 혼재되어 나타나는 경우가 많으며 또한 환자분들의 상황에 따라 정확한 치료가 달라지기 때문에 꼼꼼한 검진 후 각자에 맞는 반대교합교정 치료를 통해 이를 바로잡아 주시길 권유드리고 있어요. 검진과 치료를 받을 때는 3D CT와 같은 정밀 검사 기계를 갖추고 있는 치과에서 임상 경험이 풍부하고 뛰어난 노하우와 기술을 가지고 있는 숙련된 의료진에게 반대교합교정 치료를 진행하는 것이 좋을 거예요.



어릴 때 발견을 하더라도 혹시 유치가 빠지고 영구치가 나오면서 반대교합이 저절로 나아질 수도 있지 않을까 싶어 치료를 미루시는 분들이 있을 수 있는데요. 보통 유치 자리에 영구치가 나오게 되기 때문에 아이가 유치일 때 반대교합 성향을 보였다면 바로 검진을 받아보시길 권유드리고 있습니다. 환아의 상황에 따라 골격적인 원인이 강하고 정도가 심각한 경우 만 4세부터 교정 치료를 시작하게 될 수도 있으며 보통은 위아래 앞니가 유치에서 영구치로 바뀌기 시작하는 만 6~7세 정도에 상담을 진행하고 치료 시기를 조율하게 되는데 이렇게 어릴 때부터 상악과 하악의 균형잡힌 성장을 유도하면서 반대교합교정 치료를 하게 되면 치열을 고르게 해 줄 뿐 아니라 자라면서 높은 확률로 변형될 수 있는 얼굴형 역시 보다 효과적으로 바로잡을 수 있기 때문에 추후 외과적인 수술의 부담을 줄일 수 있어요.
만약 부모님께서 같은 원인으로 인해 불편을 겪거나 고민을 하신 적이 있다면 아이의 이런 문제를 미리 예방할 수 있는 방법이 될 수 있으며 혹시라도 후천적인 습관이 다른 질병에 기인한 것이라면 (예를 들어 비염이 심해 늘 구호흡을 하면서 혀를 내미는 습관이 생긴 아이의 경우 등) 검진을 통해 이를 알아내고 빠른 대처를 할 수 있다는 점에서 좋으니 시기를 늦추지 말고 검사를 받아보시는 것이 여러모로 중요한 포인트라고 할 수 있습니다.



교정 치료가 생물학적 반응을 이용하는 것이다 보니 성장기에 진행하면 치아 이동 및 회복 속도 등에 장점이 있는 것은 분명하지만 그렇다고 해서 성인 이후 중장년 분들이 교정 치료를 받을 수 없는 것은 아니며 이미 많은 분들이 도움을 받고 계신 만큼 이에 대해서 한 번 고려해 보시면 좋을 거예요. 혹시 성장기 이후로는 양악 수술 등으로만 치료가 가능한 것이 아닐까 생각하셔서 부담스럽게 느끼셨던 분들이라면 지레 겁을 먹고 불편함을 그대로 방치하시기 보다는 검진 및 상담을 통해 적극적으로 이를 해결해 보시길 권유드리고 있어요.
물론 원인과 정도에 따라 외과적인 방법이 필요하신 분들도 있을 수 있지만 교정을 통해 얼마든지 치료가 가능한 경우도 있으며 앞서 말씀드렸던 것처럼 발전된 교정 기술 및 특수 미니스크류 등의 장치 개발을 통해 턱의 방향을 조금씩 회전시켜 원거리 치아 이동을 유발하는 것이 가능해졌기 때문에 예전에는 한계가 있었던 부정교합 케이스도 개선될 여지가 늘어나고 있습니다. 꼼꼼하게 검진을 받으시고 자신의 상황에 맞는 교정 치료를 무리하지 않게 진행하신 후 철저하게 사후 관리를 해주시면 보다 오랜 기간 동안 건강하게 고른 치열을 유지하면서 생활하실 수 있을 거예요.
본 글은 콤비치과의 의료광고 포스팅입니다.
개인에 따라 출혈 및 부작용이 발생할 수 있고,
환자마다 치료 결과 및 기간이 상이할 수 있으므로,
정확한 치료 기간 및 치료 계획은
치과에서 상담을 받아보시길 권장 드립니다.