명동콤비치과의원 (명동)
아래사랑니발치 망설이고 있다면
사랑니 때문에 붓고 아팠던 경험이 있으신 분들은 어금니 뒤쪽으로 통증이 느껴질 때 걱정부터 되실 수 있어요. 그러나 두려움으로 치과 내원을 미루시면 점점 더 치통이 심해질 뿐 아니라 볼과 목까지 부어오르고 주변 어금니, 잇몸까지 좋지 않은 영향을 받을 수 있으므로 평소와 다른 이상 증상을 느꼈을 때는 될 수...
아카이브 요약
이 페이지의 역할
명동콤비치과의원 (명동)의 네이버 블로그 원문을 보존한 아카이브 페이지입니다. 치아스토리♡ 카테고리의 아래사랑니발치 망설이고 있다면 글을 통해 병원의 한국어 정보 제공 방식과 진료 관련 안내 톤을 확인할 수 있습니다.
사랑니 때문에 붓고 아팠던 경험이 있으신 분들은 어금니 뒤쪽으로 통증이 느껴질 때 걱정부터 되실 수 있어요. 그러나 두려움으로 치과 내원을 미루시면 점점 더 치통이 심해질 뿐 아니라 볼과 목까지 부어오르고 주변 어금니, 잇몸까지 좋지 않은 영향을 받을 수 있으므로 평소와 다른 이상 증상을 느꼈을 때는 될 수 있는 대로 빨리 검진 및 치료를 받으실 필요가 있습니다.
어금니는 구강 내 안쪽에 자리잡고 있어서 신경써서 잘 관리해 주지 않으면 평소에도 음식물 찌꺼기가 자주 끼고 그로 인해 잇몸이 붓곤 하는 치아이지만 특히 20세 전후, 즉 17세에서 25세 사이에 어금니 뒤쪽이 부어올랐을 때에는 사랑니 관련 이슈일 가능성이 높으므로 치과에서 꼼꼼히 검진을 하고 제때 필요한 치료를 진행하시길 권유드리고 있어요.


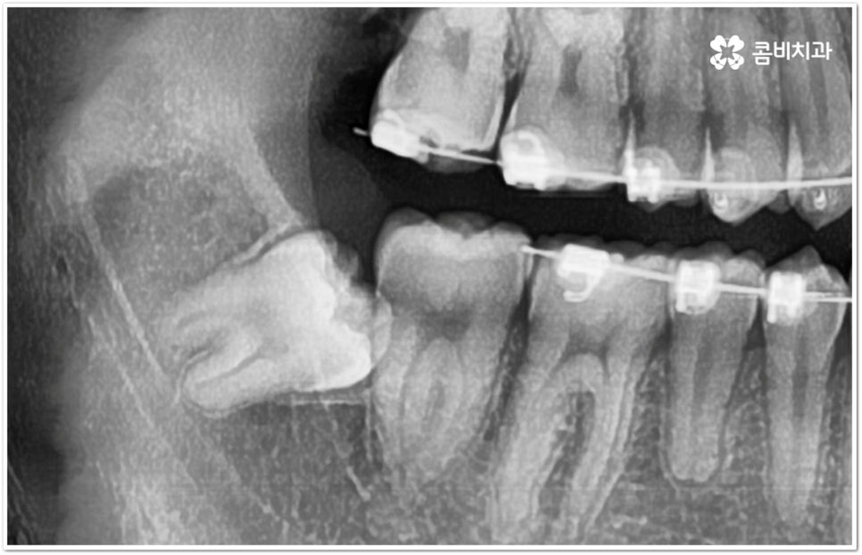
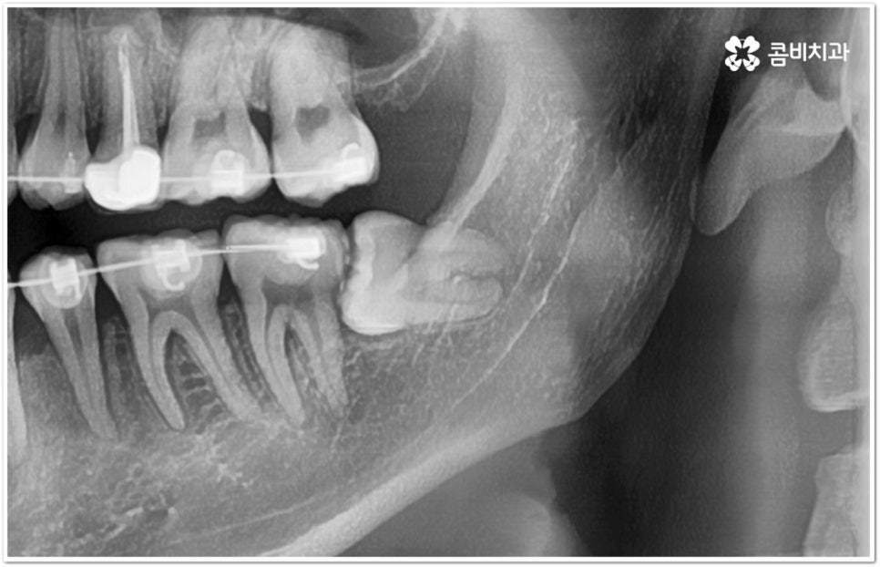
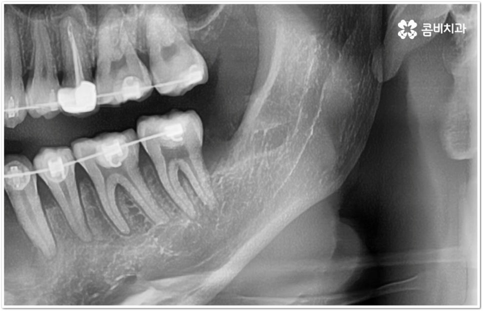
만약 똑바로 자라나고 관리가 용이하며 마주보는 대합치 역시 정상적으로 맹출되었다면 사랑니를 꼭 발치할 필요는 없을 거예요. 그러나 보통 사랑니는 사람의 치아 중에 가장 마지막에 나오는 치아라서 이미 구강 내 공간이 비좁은 상태이기 때문에 비스듬하게 자리를 잡고 일부분만 맹출이 되는 경우가 많이 있어요. 보통 머리가 앞쪽으로 기울어진 근심위로 자리잡는 케이스가 가장 많으며 그 밖에도 치아 머리가 뒤쪽으로 기울어져 있거나 혀쪽, 볼쪽으로 누운 케이스, 아예 옆으로 완전히 누운 케이스 등도 발견되고 있는데요.
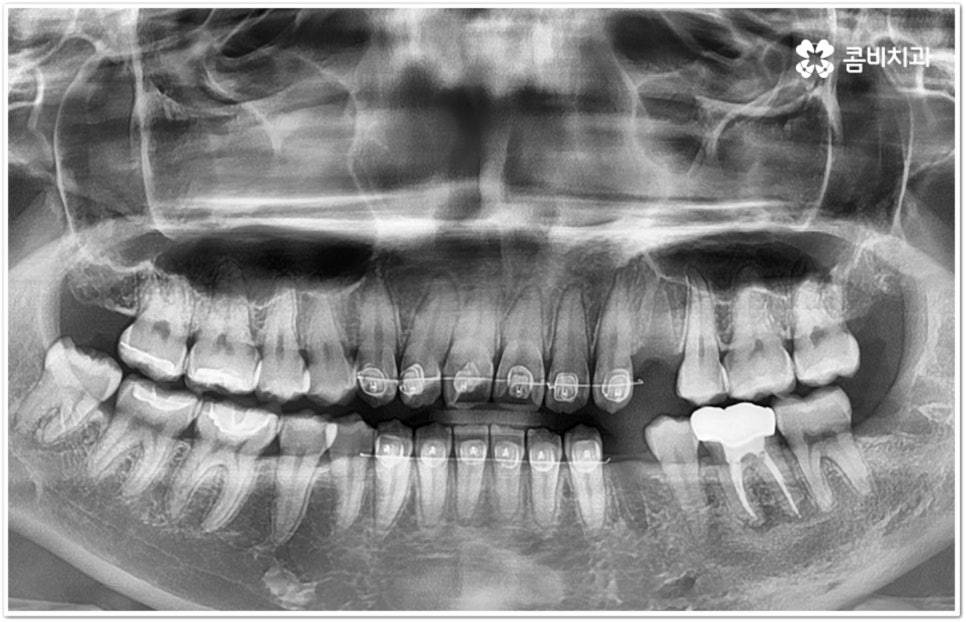
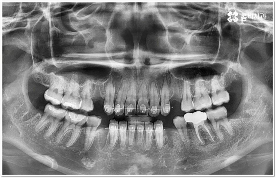
잇몸에 반쯤 덮힌 채로 삐뚤게 나온 사랑니는 칫솔질을 제대로 하기 어렵고 위생 관리가 잘 되지 않아 주변 잇몸에 염증이 생기기 쉬우며 어금니까지 충치가 번질 위험이 높아지게 되어 구강 건강 관리 및 예방 차원에서 발치 처치를 해주실 필요가 있어요. 발치 난이도는 사랑니의 경사 각도와 방향 및 치아 뿌리의 길이와 개수, 사랑니 뒤쪽 턱 뼈의 각도 및 형태, 하치조 신경 또는 상악동까지의 거리 등에 따라서 달라질 수 있습니다.


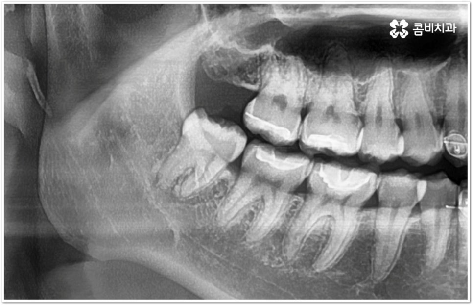
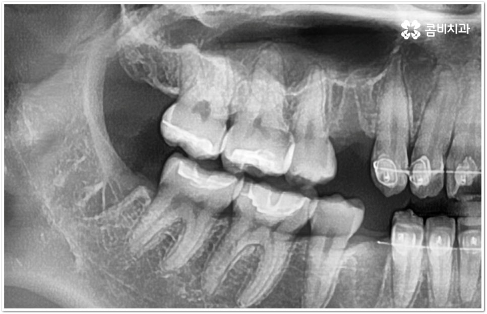
이때 아래사랑니발치 의 경우 아래턱 부근을 지나가는 큰 신경인 하치조 신경을 건드리지 않고 조심스럽게 사랑니만 제거해야 하기 때문에 3D-CT 등 정밀 검진 기계를 통해 사랑니의 매복 위치, 깊이, 각도 등의 상태와 신경까지의 거리 등을 먼저 꼼꼼하게 파악한 후에 발치를 해 줄 필요가 있는데요. 만약 완전히 매복되어 있다면 사랑니 주변에 함치성 낭종이 발생할 수도 있는데 이로 인해 주변 치조골이 파괴되고 어금니 쪽으로 병변이 확산되면 결국 치아를 상실하게 되거나 턱뼈가 약해져서 작은 충격에도 부러지는 현상이 발생할 가능성도 있으므로 될 수 있는대로 치료 시기를 놓치지 않는 것이 중요한 포인트라고 할 수 있어요.
이와 같이 환자분들의 상황에 따라서 잇몸 절개 및 골삭제 후 사랑니를 조각내어 빼내야 하는 고난도의 과정들이 필요할 수도 있기 때문에 아래사랑니발치 시 관련 임상 경험이 많고 섬세한 기술력을 가지고 있는 숙련된 의료진과 함께 하시길 권유드리고 있습니다.


아래사랑니발치 시 혹시라도 하치조 신경을 건드리면 입술 감각 등에 이상이 생길 수도 있다는 설명을 듣고 걱정이 되시는 분들도 있을 거예요. 그러나 지난 2021년 SCIE급 국제저널 '임상의학회지' 10월호에 게재된 내용에 따르면 (하치조 신경과 아래사랑니가 붙어있는 경우가 아니라면) 기본적인 수술 원칙을 잘 지켰을 때 신경 손상 가능성이 거의 없는 것으로 밝혀졌으며 만약 신경이 손상되었더라도 영구적인 손상이 아닌 일시적 손상일 가능성이 높아 약물 치료 후 꾸준하게 경과를 관찰했을 때 대부분 큰 문제 없이 3개월 이내로 회복이 이루어졌다고 하니 너무 많이 두려워 하실 필요는 없을 거예요.


아래사랑니발치 와 다르게 윗 사랑니 발치 시에는 상악동까지의 거리가 너무 짧을 경우 천공 및 감염의 위험이 있으니 이에 대해서 3D CT 를 통해 꼼꼼하게 확인하고 환자분들의 상황에 맞는 치료를 진행할 필요가 있어요. 예를 들어 사랑니로 인한 문제가 크지 않은 경우 그대로 두고 지켜볼 수도 있고 다른 치료를 하는 중에, 즉 교정이나 임플란트 등을 진행하는 과정에서 발치가 꼭 필요한 경우라면 상악동 거상술, 뼈이식 등의 치료를 선행하여 무리하지 않게 뽑아주는 것이 좋을 거예요.
교정 치료를 하기 전에 사랑니를 먼저 발치해야 하는지 문의주시는 분들이 있는데 이 역시 검진 후에 환자분들의 상황에 맞게 결정하는 것이 좋기 때문에 교정과 사랑니 발치에 두루 임상 경험이 풍부하신 의료진을 선택하시면 치과를 옮겨다니는 번거로움 없이 보다 편안하게 적기에 필요한 치료를 받으실 수 있습니다. 또한 처음부터 끝까지 책임지고 철저하게 케어해 주는 치과의 도움을 받으시면 업무 때문에 많이 바쁘신 직장인 분들의 경우 시간을 단축시킬 수 있어 좋을 뿐 아니라 환자분들이 느끼실 수 있는 여러가지 심적인 부담도 덜 수 있을 거예요.


사랑니 발치 후 깨끗하게 아물 때까지는 몇 달 정도 시간이 필요하며 환자분들의 상황에 따라 6개월이 넘어가는 경우도 있는데요. 발치 직후에는 먼저 지혈에 신경써야 하며 이를 위해 거즈를 1시간 30분에서 2시간 정도 꽉 물고 있으면서 그동안 나오는 피나 침을 뱉지 않도록 주의할 필요가 있습니다. 이때 구강 내 음압이 형성되면 지혈이 잘 되지 않을 수 있으므로 빨대를 사용하거나 흡연을 하는 등 빨아들이는 행위를 하는 것을 삼가해야 할 거예요. 또한 발치 후 며칠 정도는 격한 운동, 사우나, 무리한 업무 등은 삼가고 휴식을 취해 주는 것이 회복에 좋고 통증이 있다면 치과에서 처방해준 약을 용법에 따라 먹는 것이 도움이 될 수 있어요.
간혹 사랑니 발치 후 부작용이 일어날 수도 있는데 1~2일이 지나고 약을 복용했는데도 통증이 가라앉지 않거나 입 안 쪽이 부어오르고 잘 안 벌어지는 증상이 심해진 경우, 악취가 심하게 나는 등 해당 부위가 욱씬욱씬거리면서 오한과 발열 등의 증상이 나타나는 경우 등에는 개구장애, 드라이소켓 등이 의심되니 바로 치과를 방문하셔서 검진 및 치료를 받으시길 권유드리고 있어요.


관리하기 까다롭기 때문에 위 아래사랑니발치 를 해 주는 것이 보통이긴 하지만 간혹 사고로 어금니를 상실하거나 유전적으로 어금니가 없으신 분들의 경우 교정 치료를 통해 어금니 대신 사용하는 사례가 있으니 필요하다면 발치 결정 전에 꼼꼼하게 검진을 받아보실 필요가 있어요.
모든 경우에 사랑니가 어금니를 대신할 수는 없으며 사랑니로 어금니를 대체하기 위해서는 사랑니의 상태, 이동 가능 공간, 주변 구조물 및 전체 구강 구조 등 환자분들의 상황을 먼저 면밀하게 살펴본 후 교정 치료 계획을 세심하게 세워 잇몸과 사랑니의 손상 없이 치료할 필요가 있으므로 고난도 과정에 맞게 술자의 높은 숙련도가 요구되는 만큼 노하우가 풍부한 의료진을 선택하시길 권유드리고 있습니다.
본 글은 콤비치과의 의료광고 포스팅입니다.
개인에 따라 출혈 및 부작용이 발생할 수 있고,
환자마다 치료 결과 및 기간이 상이할 수 있으므로,
정확한 치료 기간 및 치료 계획은
치과에서 상담을 받아보시길 권장 드립니다.
더 보기
이 병원의 공개 콘텐츠를 계속 살펴보세요
출처 아카이브로 돌아가 더 많은 글을 보거나, 병원 프로필로 이동해 다른 공개 채널도 함께 비교해보세요.