명동콤비치과의원 (명동)
부정교합 3급 왜 고쳐야 하나요
대화를 할 때 상대방이 환하게 웃으면서 얘기를 하면 자기도 모르게 기분이 좋아지고 그 사람에 대한 호감도가 올라가는 것을 알 수 있는데요. 이와 같이 아름다운 미소는 대인 관계에서 사람의 인상을 긍정적으로 만들어 주는데 여기에는 희고 가지런한 치아가 큰 영향을 미치기 때문에 치열이 고르지 않은 분들께서는 이를...
아카이브 요약
이 페이지의 역할
명동콤비치과의원 (명동)의 네이버 블로그 원문을 보존한 아카이브 페이지입니다. 치아스토리♡ 카테고리의 부정교합 3급 왜 고쳐야 하나요 글을 통해 병원의 한국어 정보 제공 방식과 진료 관련 안내 톤을 확인할 수 있습니다.
대화를 할 때 상대방이 환하게 웃으면서 얘기를 하면 자기도 모르게 기분이 좋아지고 그 사람에 대한 호감도가 올라가는 것을 알 수 있는데요. 이와 같이 아름다운 미소는 대인 관계에서 사람의 인상을 긍정적으로 만들어 주는데 여기에는 희고 가지런한 치아가 큰 영향을 미치기 때문에 치열이 고르지 않은 분들께서는 이를 개선하고 싶은 마음이 있으실 거예요.
위아래 치아의 교합이 잘 맞지 않는 부정교합을 가지고 있으면 외적인 자신감이 떨어질 뿐 아니라 기능적으로 잘 씹지 못하고 말을 할 때도 발음이 부정확해지는 문제가 생길 수 있기 때문에 교정 치료 등으로 바로잡아 줄 필요가 있어요. 부정교합은 1급, 2급, 3급으로 나눌 수 있는데 오늘은 특히 부정교합 3급 중 절단교합 케이스에 대해 자세하게 알아보려고 하고 있습니다.



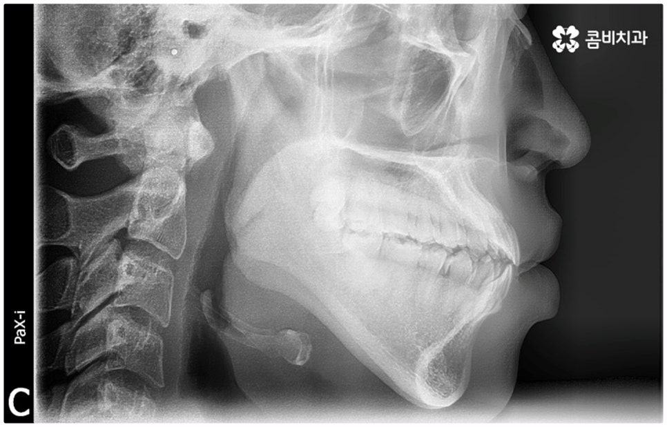
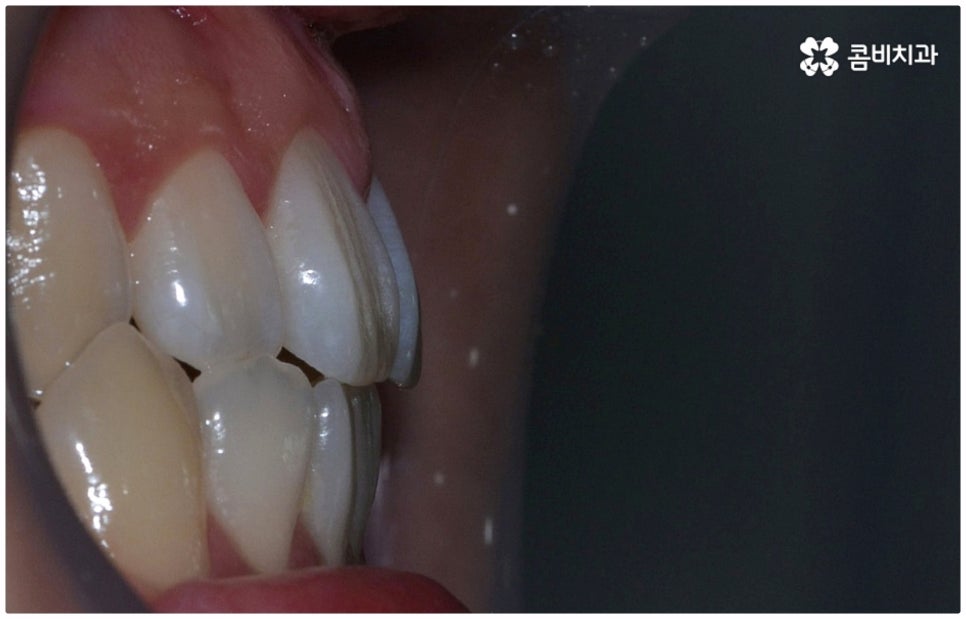
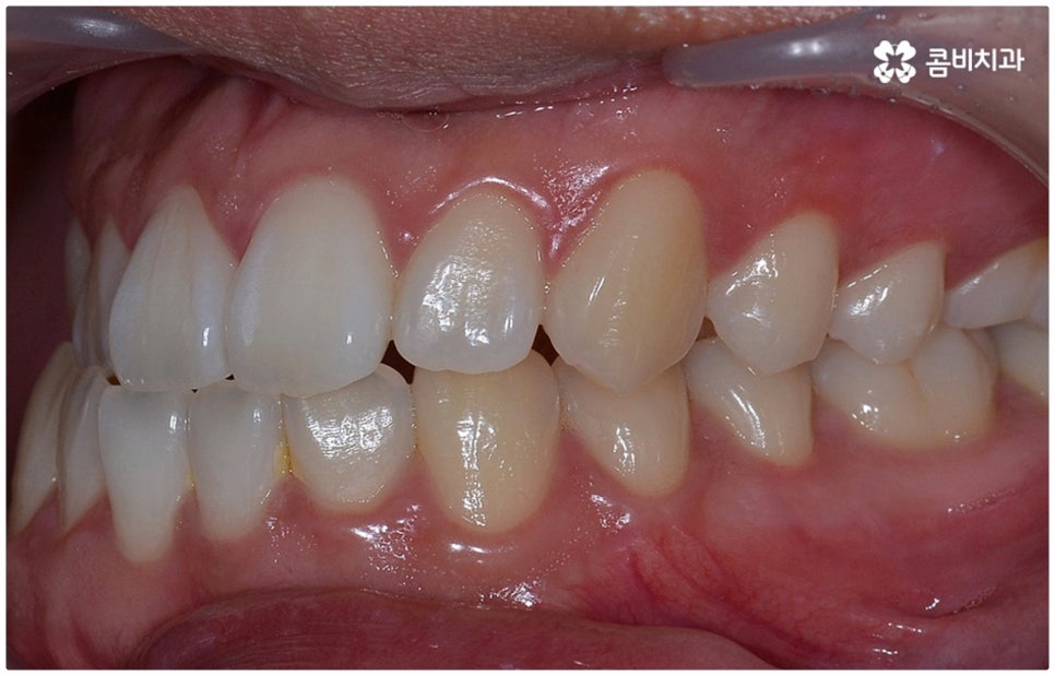
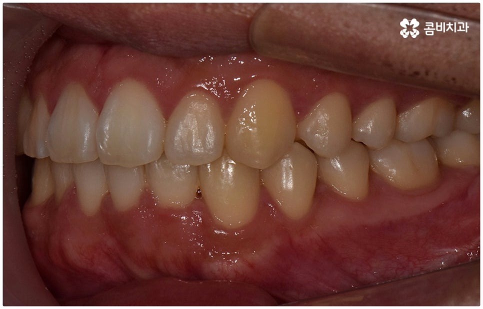
부정교합 3급 이란 입을 다물었을 때 아래 어금니가 윗 어금니보다 전방에 위치한 경우를 가리키는 것으로 그 중 절단교합은 이 상태에서 위아래 앞니 끝과 끝이 맞닿는 교합을 의미하는 거예요. 이에 비해 정상적인 교합은 어금니는 똑바로 맞물리고 윗 앞니는 아랫 앞니를 살짝 덮는 정도로 겹쳐지면서 자연스럽게 조금 앞으로 나와 있는 상태를 말하고 있습니다.
이때 심하지 않은 절단교합의 경우 환자분들의 입장에서는 하악이 상악보다 상대적으로 튀어나와 주걱턱처럼 보이는 정도가 그렇게까지 크지는 않다 느끼실 수 있는데요. 특히 또 다른 부정교합 3급 케이스 중 하나인 반대교합 (아래 앞니가 윗 앞니보다 더 앞으로 나가 거꾸로 물리는 경우) 과 비교해 보면 더욱 심각하게 생각되지 않을 수 있어요.



사실 절단교합이 초래하는 문제에 대해 인식하게 된 것은 인류진화적인 측면에서 봤을 때 그리 오래되지 않은 일로, 절단교합 자체가 침팬지와 같은 영장류에서 흔히 볼 수 있는 것인 데다 인간의 치열 역시 조리 도구 역사상 나이프와 포크가 등장한 200250년 전, 즉 사람들이 도구를 써서 음식물을 잘라먹기 시작한 때부터 윗 앞니가 아래 앞니를 살짝 덮는 형태로 점차 바뀌게 된 것이기 때문에 불과 23세기 전 만해도 효율적으로 음식을 잘라먹을 수 있는 절단교합을 고칠 필요성을 크게 느끼지 못했으리라는 것을 짐작할 수 있는데요.
그러나 현재는 이를 바로잡지 않으면 위아래 앞니 사이의 공간이 없기 때문에 어금니가 음식물을 잘게 자르고 부수는 역할을 할 때 생기는 교합력이 앞니에 그대로 전해져서 큰 부담을 주게 되고, 앞니 끝이 부딪히면서 마모가 되거나 치아 수명을 짧아지게 만드는 원인으로 작용하게 될 수 있습니다. 저작 기능을 할 때마다, 즉 식사를 하면서 음식물을 씹을 때마다 치아와 잇몸에 무리한 힘을 가하여 약해지게 만들고 치근까지 좋지 않은 영향을 받게 되는 상황이 발생하므로 교정 치료를 통해 하루 빨리 개선해 주시는 게 좋을 거예요. 특히 절단교합 케이스에서 과도한 교합력이 걸리는 앞니는 심미적으로나 기능적으로나 굉장히 중요한 치아이기 때문에 더욱 주의하실 필요가 있어요.



상악에 비해 하악이 과성장한 부정교합 3급 의 경우 어려서부터 주걱턱을 방지하는 교정 치료를 해 준다면 상하악의 조화롭고 균형잡힌 성장을 유도하면서 치열을 가지런하게 바로잡을 수 있기 때문에 보다 빠르고 효율적인 개선이 가능할 수 있어요. 만약 주걱턱이 의심되는 상황인데도 성인이 될 때까지 그대로 방치한다면 오히려 주걱턱이 심해지는 방향으로 뼈가 성장하여 위아래 치열이 더욱 안 맞게 될 수도 있고 정도가 많이 심한 경우 양악 수술과 같은 방법을 써야 할 수도 있으므로 부담이 커질 수 있습니다. 삐뚤어진 치열의 경우 부모님의 유전적인 영향이 30% 정도라고 하니 만약 자신이 부정교합으로 불편함을 겪어보신 경험이 있으시다면 아이가 어렸을 때부터 관심을 가지고 지켜보면서 필요하다면 함께 치과에 내원하여 검진을 통해 성장기 때 교정 치료 시기를 조율해 보는 것도 좋을 거예요.



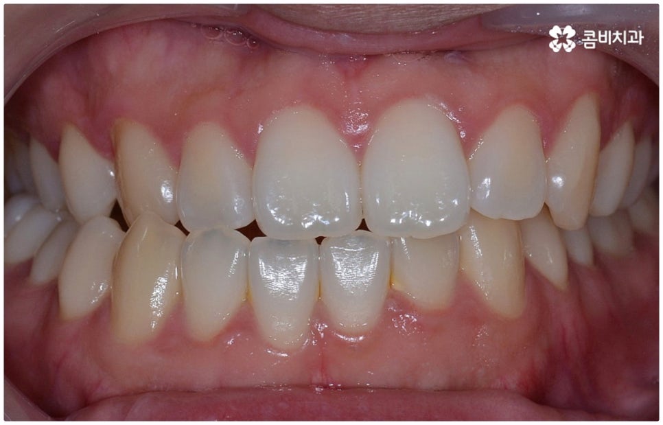
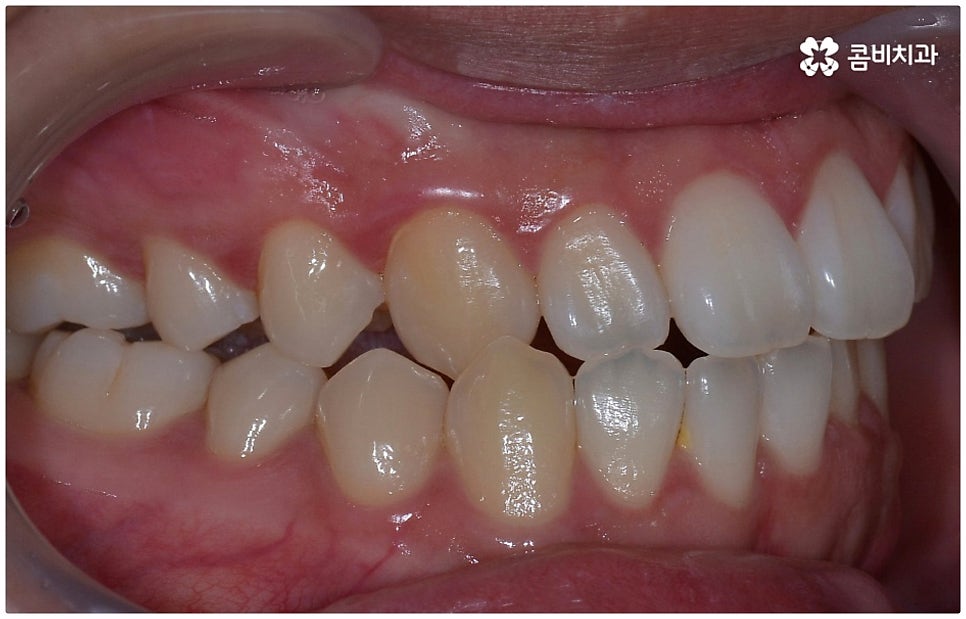
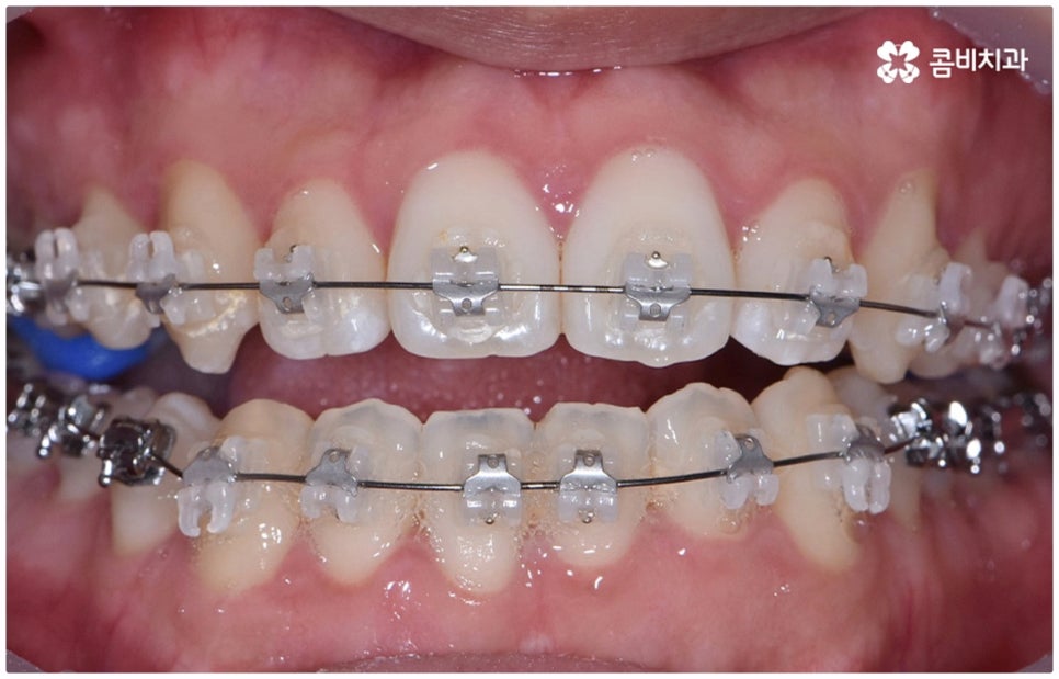
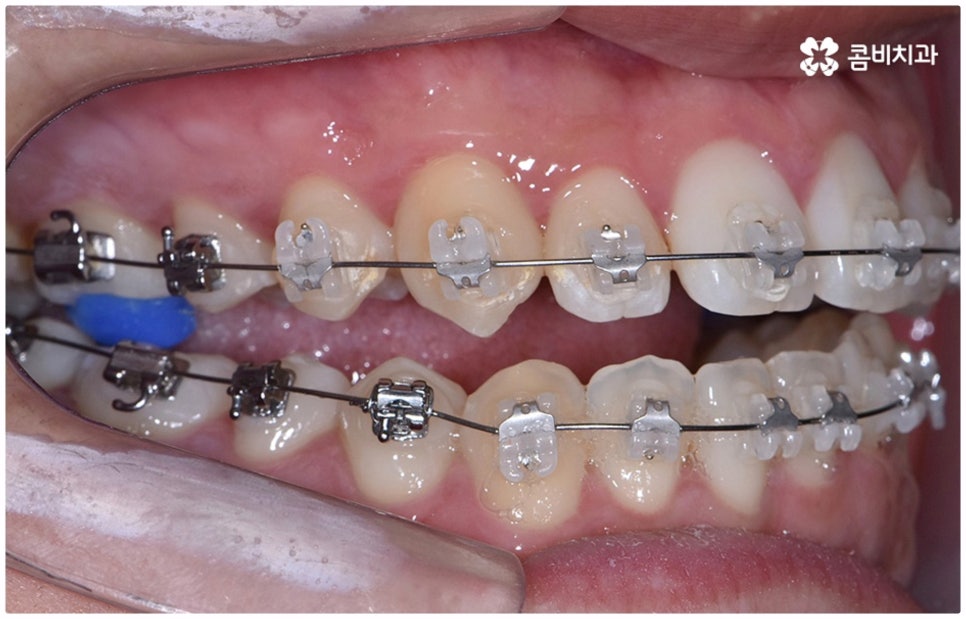
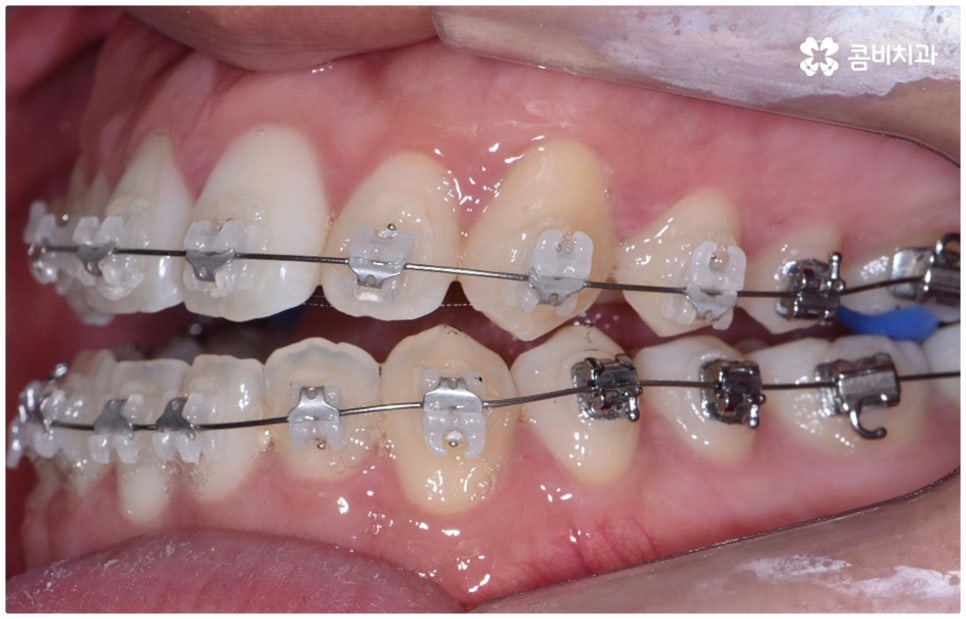
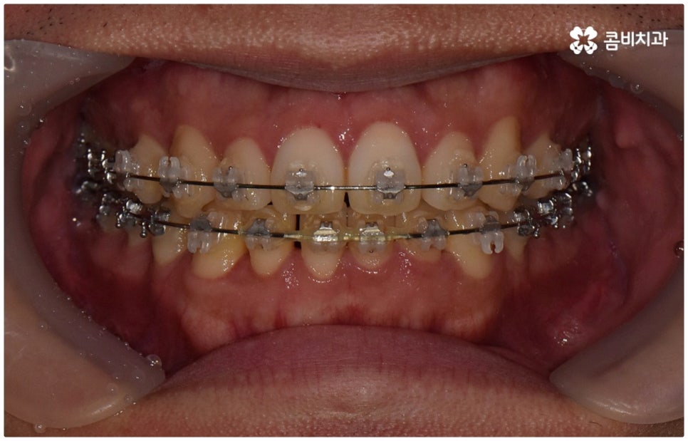
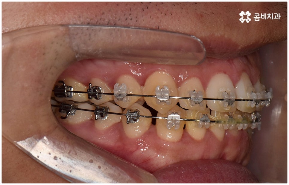
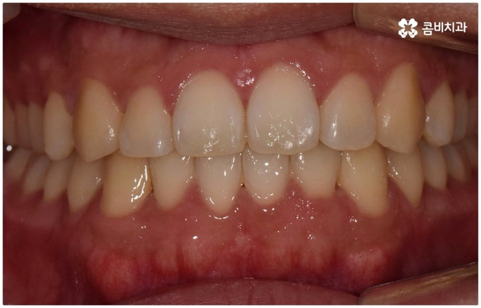
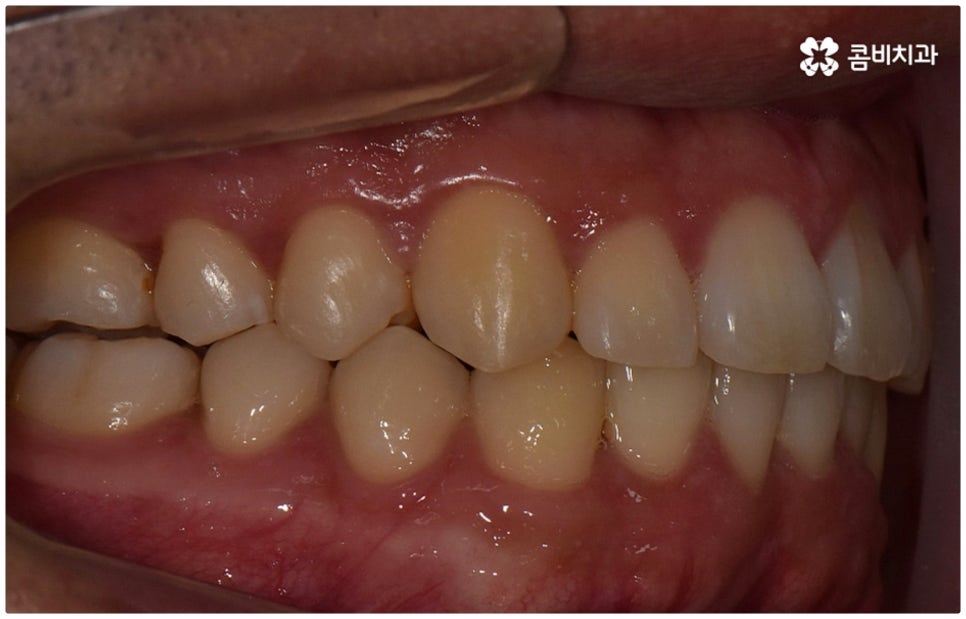
물론 교정 치료에 적기가 정해져 있는 것은 아니기 때문에 성인 이후 중장년 환자분들이라도 교정 치료가 불가능하지는 않으며 상황에 따라 비수술적인 방법으로도 얼마든지 불편함을 줄일 수 있는 경우가 있으니 정확하게 진단한 후 각자에게 맞는 교정 계획을 세워 무리하지 않게 치료를 진행하시길 바라고 있어요. 특히 턱관절과 관련된 부분을 개선하기 위해서는 양악 수술 밖에 방법이 없는 것이 아닌가 생각하셨던 분들이라면 먼저 치과에 내원하셔서 검진과 상담부터 진행해 보시면 마음의 부담을 덜 수 있어 좋을 거예요. 부정교합 3급 치열 (절단교합과 일부 반대교합이 병행되어 있음) 을 가지고 있는 성인분도 교정 치료를 통해 훨씬 자연스럽게 개선이 가능할 수 있으며, 관련 기술 개발 및 미니스크류 등 여러 장치의 발전을 통해 예전에는 적용이 어려웠던 케이스들도 이제는 교정 치료의 도움을 받을 수 있습니다.



치료 계획을 세울 때는 3D CT 같은 정밀 검진 기계를 통해 부정 교합의 정도 및 상하악 관계, 잇몸 건강 상태 등을 꼼꼼하게 살펴보고 회복력과 진행 속도에 영향을 주는 연령, 생활 습관, 평소에 앓고 있는 질환은 없는지 등도 모두 고려하여 세밀한 맞춤 플랜을 세워야 하며 같은 주걱턱 증상이라도 심각한 정도와 턱의 모양에 따라 교정 방법이 달라질 수 있는 만큼 다양한 케이스를 다뤄본 임상 경험을 바탕으로 높은 기술력을 가지고 있는 의료진에게 교정 치료를 받는 것이 굉장히 중요한 포인트라고 할 수 있어요. 정밀 검진 장비 보유 여부, 술자의 뛰어난 숙련도와 함께 체계적인 교정 시스템을 갖추고 사후 관리를 철저하게 해 주는 치과에서 처음부터 끝까지 무리하지 않게 치료를 받는 것도 중요하니 이런 부분도 체크해 보시길 권유드리고 있습니다.
본 글은 콤비치과의 의료광고 포스팅입니다.
위 사진은 이해를 돕기 위한 이미지이며, 환자의 동의하에 진행되었습니다.
전체 치료 기간은 약 18개월이 소요되었으며,
개인에 따라 출혈 및 부작용이 발생할 수 있고,
환자마다 치료 결과 및 기간이 상이할 수 있으므로,
정확한 치료 기간 및 치료 계획은
치과에서 상담을 받아보시길 권장 드립니다.
더 보기
이 병원의 공개 콘텐츠를 계속 살펴보세요
출처 아카이브로 돌아가 더 많은 글을 보거나, 병원 프로필로 이동해 다른 공개 채널도 함께 비교해보세요.