아카이브 요약
이 페이지의 역할
명동콤비치과의원의 네이버 블로그 원문을 보존한 아카이브 페이지입니다. 치아스토리♡ 카테고리의 돌출입 치아교정 부모와 아이가 함께 알아봐요 글을 통해 병원의 한국어 정보 제공 방식과 진료 관련 안내 톤을 확인할 수 있습니다.
원문 검증
필요하면 원문 블로그와 병원 프로필로 바로 이동해 문맥을 다시 확인할 수 있습니다.
출처 아카이브 열기아카이브된 블로그 글
명동콤비치과의원 · Naver Blog
모든 일에 시간이 최우선적으로 중요한 것은 아니지만 상황에 따라 보다 효율적인 결과를 위한 적기라는 것이 존재하는 일들이 있습니다. 치아 교정 치료 역시 그 중 하나라고 할 수 있는데요. 아마도 많은 분들이 교정 치료를 성장기 때 하는 것이 좋다는 얘기를 들어 보셨을 거예요. 물론 성장기가 지났다고 해서...
게시일
2023년 5월 20일
원문 기준으로 확인된 발행일입니다.
카테고리
치아스토리♡
원문 블로그 카테고리를 정리해 함께 표시합니다.
이미지 수
16
현재 아카이브에 연결된 이미지 수입니다.
아카이브 요약
명동콤비치과의원의 네이버 블로그 원문을 보존한 아카이브 페이지입니다. 치아스토리♡ 카테고리의 돌출입 치아교정 부모와 아이가 함께 알아봐요 글을 통해 병원의 한국어 정보 제공 방식과 진료 관련 안내 톤을 확인할 수 있습니다.
원문 검증
필요하면 원문 블로그와 병원 프로필로 바로 이동해 문맥을 다시 확인할 수 있습니다.
출처 아카이브 열기모든 일에 시간이 최우선적으로 중요한 것은 아니지만 상황에 따라 보다 효율적인 결과를 위한 적기라는 것이 존재하는 일들이 있습니다. 치아 교정 치료 역시 그 중 하나라고 할 수 있는데요. 아마도 많은 분들이 교정 치료를 성장기 때 하는 것이 좋다는 얘기를 들어 보셨을 거예요.
물론 성장기가 지났다고 해서 교정을 하지 못하는 것은 아니지만 치아를 움직이는 원리가 잇몸뼈의 골흡수 및 골생성 과정, 즉 세포의 대사를 이용하는 생물학적인 과정이기 때문에 아무래도 성장기에 해 주는 것이 보다 빠르고 효과적이며 특히 돌출입 치아교정 케이스에 있어서는 좀 더 어릴 때 진행하면 턱골격이 상대적으로 과성장 또는 열성장하는 것을 미리 방지하면서 부정교합을 개선해 줄 수 있기 때문에 장점이 크다고 할 수 있어요.



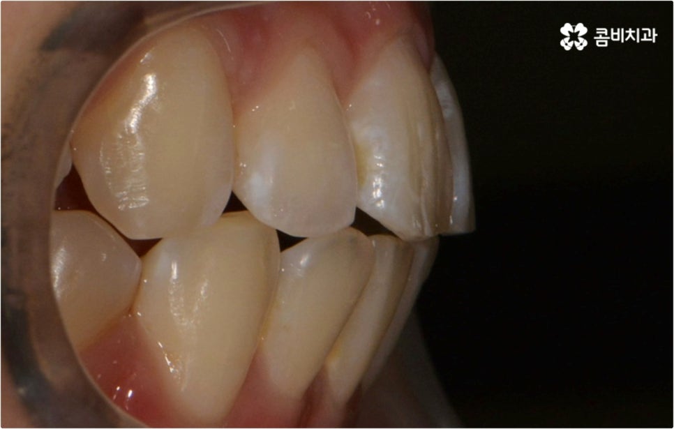
위아래 치아가 제대로 맞물리지 않는 부정교합을 가지고 있으면 음식을 씹을 때 불편하거나 발음이 부정확해 질 수 있고 상황에 따라 주걱턱, 돌출입, 안면비대칭처럼 심미적으로도 좋지 않은 영향을 줄 뿐 아니라 위생 관리가 어려워 충치나 각종 치주 질환에 쉽게 노출될 수 있기 때문에 빠른 시일 안에 개선해 줄 필요가 있는데요. 오늘은 이렇게 다양한 부정교합 사례 중에서 돌출입 치아교정 치료에 대해서 자세하게 알아보려고 하고 있습니다.
돌출입의 경우 언급했던 저작 기능이나 발음상 문제, 뚱해 보이는 인상 문제 외에도 의식적으로 다물고 있지 않으면 입이 벌어지기 쉽기 때문에 자기도 모르게 구호흡하는 습관이 생겨 구강 건조증이나 구취 문제 등이 유발되거나 세균 증식으로 구강 질환이 발생할 가능성이 높아진다는 문제도 있는데요.



부정 교합의 경우 유전적인 원인이 30% 정도이므로 만약 자신이 돌출입으로 인해 이러한 기능적, 심미적인 불편함을 겪은 경험이 있으시다면 자녀의 치열을 잘 관찰하셔서 적기에 검진 및 치료를 받을 수 있도록 도와주시길 권유드리고 있어요. 보통 치과에서 초등학교 고학년부터 중학교 저학년 사이에 교정을 위한 검진을 받아보시라고 말씀드리는 것은 이 때 평균적으로 영구치가 거의 다 나오기 때문인데 부정교합의 종류와 정도에 따라 좀 더 어릴 때 바로 잡아야 하는 케이스도 있으니 6~8세 정도부터 신경써서 관리해 주시면 좋을 거예요.
교정을 시작하는 적절한 시기는 환아의 구강 상태와 연령, 골격 발달 상황 및 성장 속도, 성별 등에 따라 달라질 수 있으니 무엇보다 3D CT 와 같은 정밀 진단 기계를 통해 꼼꼼하게 검사를 진행하는 것, 그리고 정확한 진단 및 맞춤 계획 수립을 위해 다양한 임상 경험을 가진 의료진에게 치료를 받는 것이 중요한 포인트라고 할 수 있습니다.


그렇다면 돌출입 치아교정 치료는 어떻게 이뤄질까요? 돌출입은 크게 두 가지 경우로 나누어 볼 수 있어요. 하나는 입을 다물었을 때 위아래 어금니는 잘 맞물리는 상태에서 앞니 등 일부 치아의 각도만 앞으로 뻗은 경우이고 다른 하나는 골격적으로 상악이 하악보다 전방에 위치하여 전체적으로 입과 입 주변이 주변부보다 튀어나온 경우인데, 전자의 경우 보다 빠르고 간단하게 교정이 가능하지만 골격적인 원인을 바로잡아야 하는 후자의 경우 조금 더 복잡하고 오래 걸리며 두 가지 경우가 혼재된 케이스 역시 마찬가지라고 할 수 있어요. 이때 성장기가 지나 턱관절이 이미 자리를 잡은 상태에서 치아를 후방으로 밀어넣을 공간이 부족한 경우 발치 과정이 포함될 수 있는데 보통 발치는 위아래 소구치를 빼게 되며, 환자분들의 상황에 따라 골격적인 문제가 교정 치료 만으로 해결될 수 없는 정도로 심각하다고 한다면 수술적인 방법도 같이 고려해야 할 수 있습니다.


만약 환자분들의 전체 안모의 균형, 코, 턱관절 위치 등 모든 것을 종합적으로 판단하여 치료 계획을 세우지 않고 무리하여 발치 및 치아 이동을 진행하게 되면 자칫 옥니, 합죽이 팔자주름 등 부작용이 나타날 수 있기 때문에 주의할 필요가 있어요. 3D CT 외에도 안면 윤곽을 오차 범위 0.1mm 이하로 정밀하게 촬영하고 돌출입 치아교정 치료 후의 모습을 예측하여 맞춤 교정 플랜을 세밀하게 세울 수 있게 도와주는 모르페우스 장비를 통해 정교하게 검사를 진행하는 것이 중요하며 중간 중간 위아래 치아의 교합, 치아 주변 조직, 안모의 균형 등을 지속적으로 체크하면서 그에 맞게 유기적으로 교정 치료를 진행할 수 있는 시술자의 높은 숙련도가 요구된다고 할 수 있습니다.


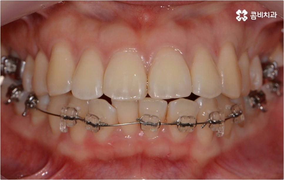
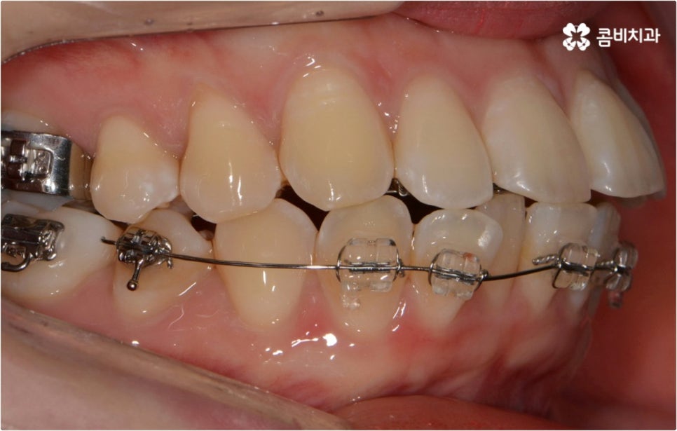
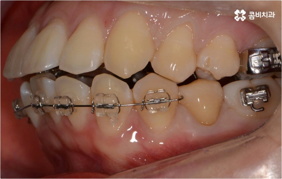
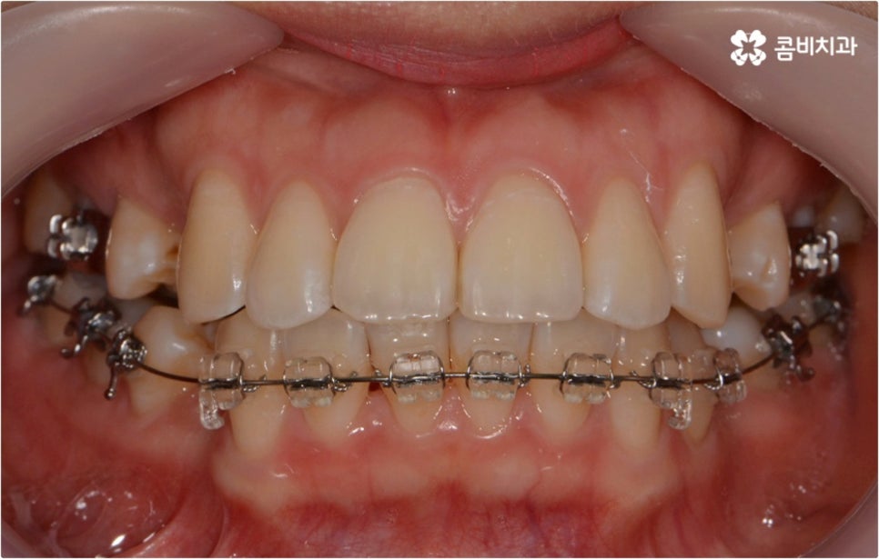
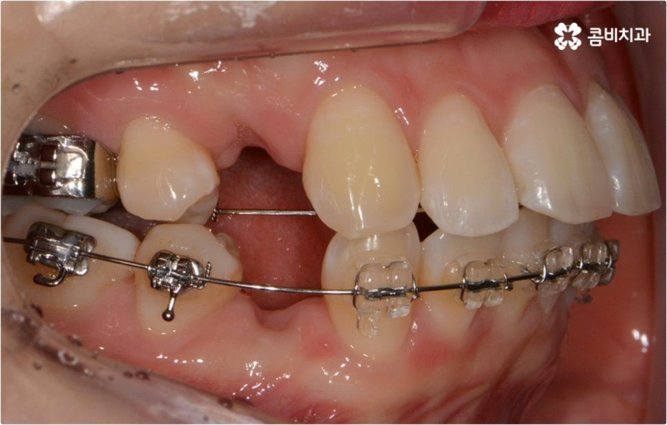
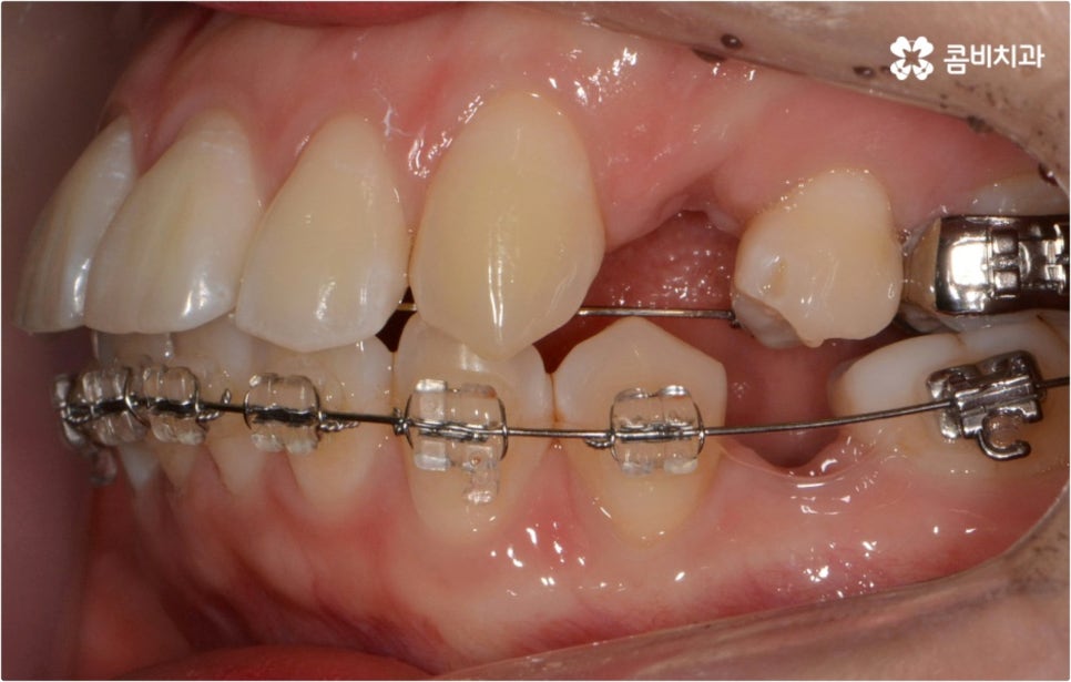
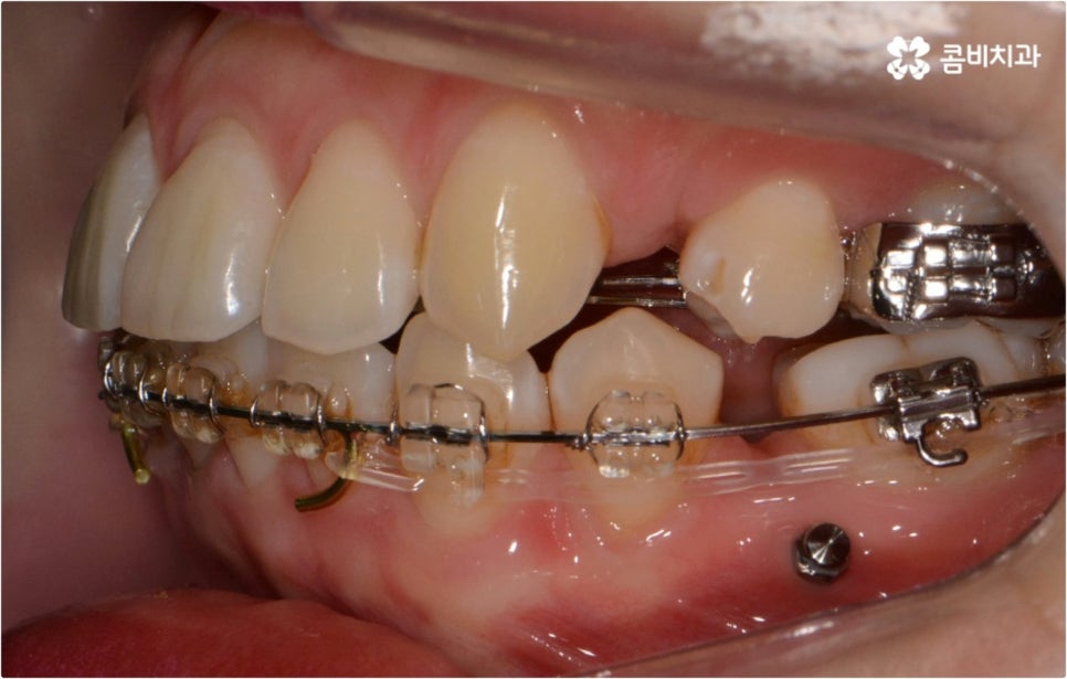
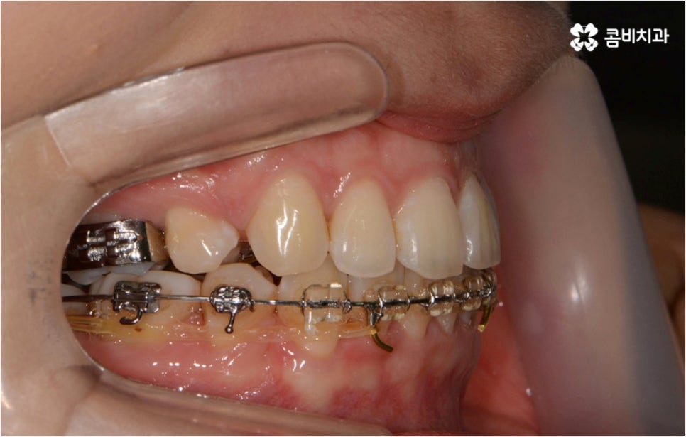
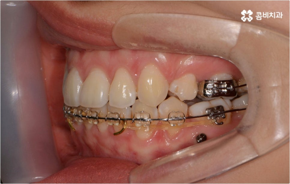
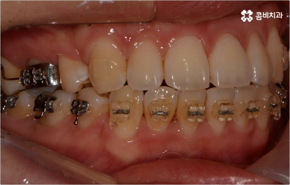
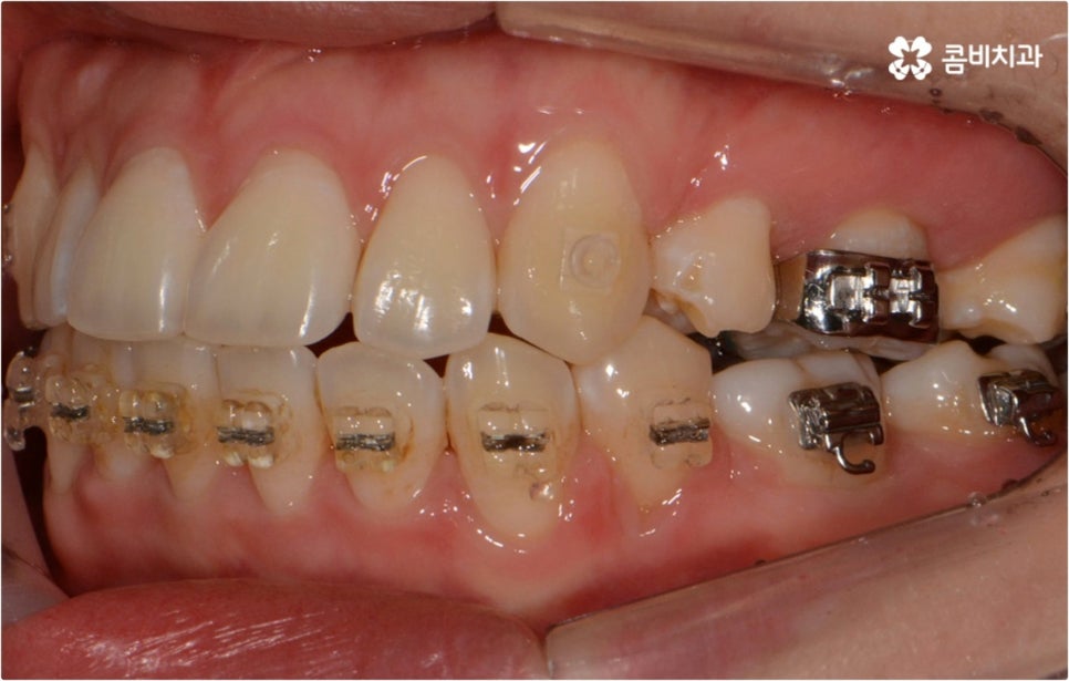
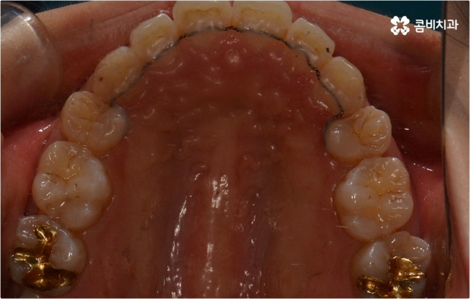
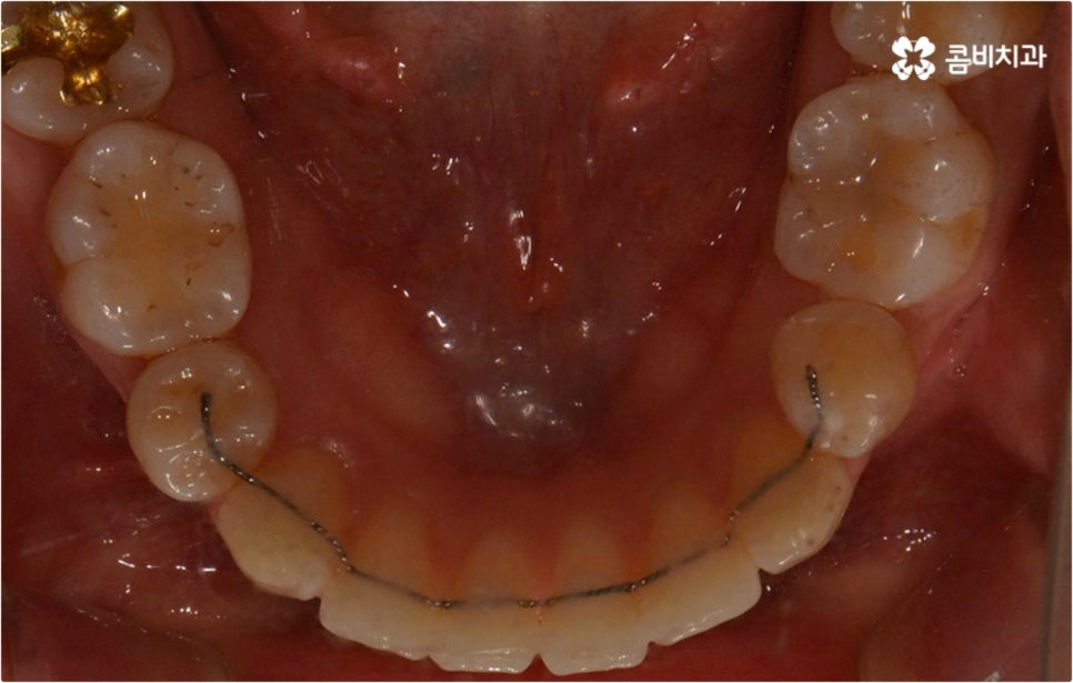
환자분들의 상황에 따라 다르지만 보통 치아 교정의 경우 1년 반에서 2년 정도의 짧지 않은 시간이 소요되는 과정이기 때문에 오랜 시간 교정기를 착용하고 있어야 하는 환자분들의 입장에서 크게 눈에 띄는 장치에 대한 부담을 느끼실 수 있어요. 게다가 돌출입 치아교정 치료를 받는 분들이라면 옆에서 봤을 때 교정 장치만큼 더 튀어나와 보일 수 있는 만큼 치아 겉면에 브라켓을 부착하는 것이 썩 달갑지 않을 수 있는데요. 이럴 때는 브라켓을 치아 뒤쪽으로 부착하는 설측 교정 방법을 이용할 수 있어요.
설측 교정은 치아 뒤쪽으로 장치를 붙이기 때문에 겉에서 봤을 때 교정 치료를 진행한다는 사실이 거의 드러나지 않을 정도로 심미성이 높다고 할 수 있는데 말을 하거나 음식을 먹을 때 혀에 닿는 이물감으로 인해 불편함을 느낄 수 있기 때문에 이를 보완해 줄 수 있는 콤비 교정 방법에 대해서도 알아보시면 좋을 거예요. 윗니는 설측으로, 아랫니는 순측으로 진행하는 콤비 교정 방법은 치아 색상의 브라켓을 이용하여 심미성도 크게 떨어지지 않으면서 비용 역시 설측 교정 보다 저렴하기 때문에 여러 가지로 환자분들의 부담을 덜 수 있어요. 장치 자체가 결과에 미치는 영향이 크지 않은 만큼 다양한 장치들의 장단점에 대해서 알아보고 환자분들의 상황에 맞는 것으로 심사숙고 할 수 있도록 담당의 선생님과 충분히 상담해 보시길 권유드리고 있습니다.




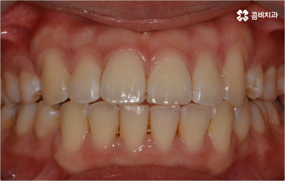
교정은 치료가 모두 끝난 후에도 유지 장치를 통해 치아가 다시 원래대로 돌아가려는 것을 막아주어야 가지런하게 바뀐 치열을 보다 오래 건강하게 사용할 수 있기 때문에 환자분들이 사후 관리를 잘 할 수 있도록 체계적인 시스템으로 케어를 도와주는 치과에서 치료를 진행하실 필요가 있어요. 1년에 한 번 또는 두 번 치과에 내원하셔서 정기 검진을 받아주시고 스케일링 치료를 통해 위생 관리도 꾸준히 해 주시면 좋을 거예요. 또한 유전적인 원인 뿐 아니라 후천적인 원인도 얼마든지 영향을 줄 수 있는 만큼 교정 치료를 끝마치고 나서도 치열을 삐뚤어지게 만들 수 있는 좋지 않은 습관 (손톱을 물어뜯거나 혀로 치아를 밀어내는 등) 이 있지는 않은지 살펴보고 고쳐 나가도록 노력할 필요가 있습니다.
본 글은 콤비치과의 의료광고 포스팅입니다.
개인에 따라 출혈 및 부작용이 발생할 수 있고,
환자마다 치료 결과 및 기간이 상이할 수 있으므로,
정확한 치료 기간 및 치료 계획은
치과에서 상담을 받아보시길 권장 드립니다.